اختلاف سایز انسیزورهای شیری و دائمی (Incisor Liability)
انسیزورهای دائمی بالا حدود 7.5mm و پایین حدود 6mm بزرگتر از انسیزورهای شیری هستند. این اختلاف در بیماران مختلف فرق میکند. انتظار داریم که با رویش آنها کرادینگ رخ بدهد اما بخاطر چهار مورد زیر با رویش انسیزورهای دائمی کرادینگی نمیبینیم:
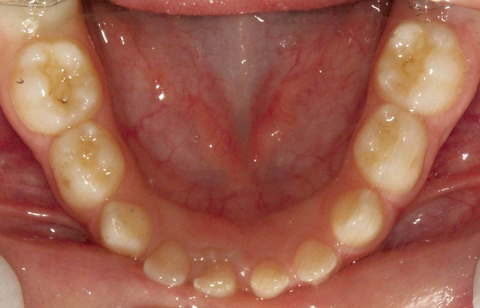
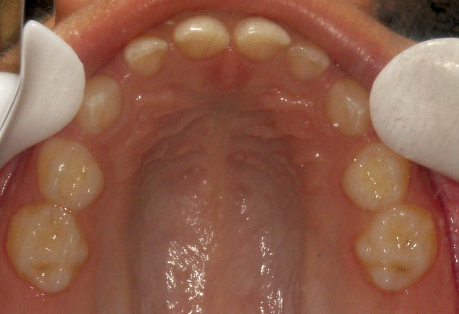
1. بین انسیزورهای شیری بالا حدوداً 4mm (شکل 5-5) و پایین 3mm (شکل 6-5) فضا وجود دارد
2. در اوایل مرحله دندانی شیری-دائمی تکامل زائده آلوئلی را داریم که منجر به افزایش عرض بین کانینی میشود.
3. انسیزورهای دائمی بالا از لیبیال انسیزورهای شیری بالا رویش مییابند، لذا در قوس بزرگتری قرار میگیرند.
4. زاویه رویش انسیزورهای دائمی بالا و پایین نسبت به دندانهای شیری لبیالیتر است (شکل 7-5) که منجر به قرارگیری در قوس بزرگتری میشود. زاویه بین انسیزورهای دائمی حدوداً 123 درجه و زاویه بین انسیزورهای شیری 150 درجه است.

شکل 5-5: سایز کوچک انسیزورهای بالا

شکل 6-5 : سایز کوچک انسیزورهای پایین

شکل 7-5 : انسیزورهای شیری uprightتر هستند (سمت راست) ولی انسیزورهای دائمی (سمت چپ) لبیالیتر و در قوس بزرگتری رویش مییابند.