رویش انسیزورهای دائمی تا 8 سالگی معمولاً تمام میشود. در بعضی بیماران در این سن بخاطر فشار مزیالی تاج کانین بالا که درون استخوان است روی ریشه لترالهای بالا، شاهد دیستوباکالی شدن تاج لترالها هستیم (شکل 11-5). بخاطر ظاهر نامرتب لترال اکثراً والدین به مطب مراجعه و درخواست درمان دارند در حالیکه نباید درمانی بکنیم و تا رویش کانینهای دائمی بایستی صبر کنیم.
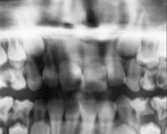
متاسفانه بعضی از همکاران با ساخت یک پلاک متحرک سعی در مرتب کردن آن دارند در حالیکه با دیدن عکس OPG، عمدتاً متوجه تاج دندان کانین در حال رویش میشویم که به ریشه لترال فشار مزیالی اعمال میکند (شکل 12-5). این فشار منجر به دیستال شدن تاج لترال میگردد. اصلاً نباید تاج لترال را مرتب کنید چون ریشه آن باید به دیستال برود و فشار تاج کانین در حال رویش باعث تحلیل ریشه لترال میگردد.

شکل 12-5: فشار مزیالی تاج کانین در حال رویش به ریشه لترال
حدوداً 3% جامعه دارای کانینی با نهفتگی پالاتالی هستند که اکثراً درون قوس آوردن آنها سخت و شانس کشیدن آن زیاد است. نهفتگی پالاتالی کانین در کودکانی که:
1. لترال آنها با تاج دیستاله رویش مییابد؛
2. تاج لترالها کوچک یا peg shape است؛
3. والدینی که کانین نهفته دارند (جنبه ارث)
بیشتر رخ میدهد.
اگر والدی کانین نهفته پالاتالی دارد احتمال اینکه فرزند او نیز همین مشکل را داشته باشد 11% است. اگر با چنین مواردی روبرو شدید بهتر است که دندان C را بکشید. کشیدن دندان C نزدیک به 78% شانس رویش کانین را زیاد میکند.
نتیجه: اگر لترال با تاج دیستاله دیدید و در OPG کودک تاج کانین به ریشه لترال نزدیک بود بهترین کار مرتب نکردن لترال ولی کشیدن دوطرفه C است حتی اگر سالم و مرتب باشند. با این کار شانس نهفتگی پالاتالی کانین را کم میکنید. مراقب باشید که دندان C را یک طرفه نکشید چون منجر به off شدن میدلاین میشود. بعد از رویش کانین نهفته که به سمت دیستال رخ میدهد، دندان لترال موقعیت بهتری درون قوس پیدا میکند (شکل 13-5).
در این مواقع سریال اکسترکشن مفید است. در این بیماران ابتدا C را میکشید. به مرور فضای بین لترال و D از بین میرود. در زمان مناسب (وقتی نصف ریشه 4 تشکیل شد) D را هم بکشید تا رویش دندان 4 سریعتر شود. بدین صورت جا برای تاج کانین ایجاد میشود و از ریشه لترال فاصله میگیرد. با پیدا شدن تاج 4 در حفره دهان آن را نیز بکشید. بدین صورت کانین در ناحیه دیستال فضا پیدا میکند و رویش آن به سمت دیستال یعنی فضای 4 کشیده شده انجام میشود و از ریشه لترال دور میشود. با این کار احتمال تحلیل ریشه لترال از بین میرود.

شکل 13-5: بهتر شدن موقعیت لترال دیستاله بعد از رویش به سمت خلف کانین