سومین روش برای چسباندن براکتها روش غیرمستقیم است. کف براکت به دو صورت میتواند باشد: یا کامپوزیت دارد که باید سندبلاست شده باشد و هیچ گونه آلودگی نداشته باشد یا بدون کامپوزیت است (Clean Base) که در آن صورت باید قبل از چسباندن از کامپوزیتهای سلف کیور یا نومیکس در زیر آن استفاده کنید.
اگر کامپوزیت دارد که در آن نیاز به رزینی خاصی داریم (شکل 71-1). این رزینها سلف کیور بوده ولی 5 درصد ذرات سیلیكات به آنها افزودهاند تا قوام بهتری پیدا کند. میزان چسبندگی در این روش، از روشهای bonding مستقیم بیشتر است و به همان نسبت حساسیت کار نیز بیشتر است.

شکل 71-1: رزینA و B دکتر Sondhi برای روش غیرمستقیم چسباندن براکت کامپوزیت دار
شما کست بیمارتان را به لابراتواری که صلاحیت این کار را دارد ارسال میکنید و بعد از اتمام کار یک ایندکس (شکل 72-1) دریافت خواهید کرد که درون آن براکت دندانها (بههمراه کامپوزیتی که کیور شده و سند بلاست گردیده) وجود دارد.
اصطلاحاً به اچ و باند، روش دیروز، به سلف اچ، روش امروز و به روش غیرمستقیم روش فردا میگویند.

شکل 72-1: اچ سطح لبیل دندانها
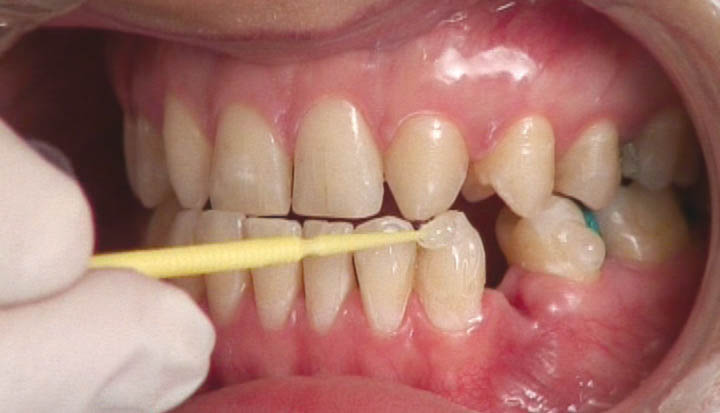
1) اچ همه دندانها با اسید اچ مرغوب (شکل 73-1)؛
بخاطر دکلسیفیه شدن دندانها در حین درمان که ناشی از بهداشت ضعیف بیمار است، بهتر است کل سطح لبیال را اچ کنید و شستشو دهید و رزین بزنید تا مانند محافظی روی دندان را بپوشاند و مانع پوسیدگی دندانها گردد.

شکل 73-1: اچ سطح لبیل دندانها
2) زدن رزین A به همه دندانها (شکل 74-1)؛

شکل 74-1: dab کردن رزین A به دندانها
3) زدن رزین B به كامپوزیت موجود در كف براكتها (شکل 75-1)؛
اگر کف براکتها کامپوزیت ندارد (روش Clean Base) بجای این رزین، باید قدری از مایع کامپوزیت نومیکس را (بعد از اچ و شستشو مینا) به روی دندان و کف براکت بزنید. کامپوزیت مخصوص را روی بیس براکت قرار دهید و ایندکس را روی دندانها منتقل نمایید. درون این مایع اکتیواتور کامپوزیت وجود دارد و از دو طرف به کامپوزیت تماس برقرار میکند و باعث کیور شدن آن میشود.

شکل 75-1: زدن رزین B به کف تمام براکتها
4) قرار دادن تری براكتها در دهان (شکل 76-1)

شکل 76-1: انتقال تری براکتها روی دندانها
و تطابق آنها با فشار انگشتان دست در سمت باكال و اكلوزال به مدت 40 ثانیه برای Setting اولیه در زمانی که براکت کامپوزیت دارد. اگر از روش Clean Base استفاده میکنید و خودتان کامپوزیت اضافه میکنید، باید 2 دقیقه نگه دارید. (شکل 77-1)؛

شکل 77-1: تطابق تری روی دندانها و فشار اکلوزالی و باکالی برای Setting اولیه
5) سفت شدن بعد از 4 دقیقه (setting نهایی)؛
6) تمیز کردن اضافات رزین سفت شده از امبراژور بین دندانی (شکل 78-

شکل 78-1: تمیز کردن اضافه رزین کیور شده از بین دندانها
7) کشیدن نخ دندان (شکل 79-1).
در زمانی که نتیجه کار برای شما دارای اهمیت بالائی میباشد یا درمانهای ارتودنسی ثابت را به تازگی شروع کردهاید بهتر است که از روش غیرمستقیم استفاده کنید تا بتوانید براکتها را در ایدهآلترین محل ممکن بدون صرف وقت اضافی بچسبانید.

شکل 79-1: کشیدن نخ دندان