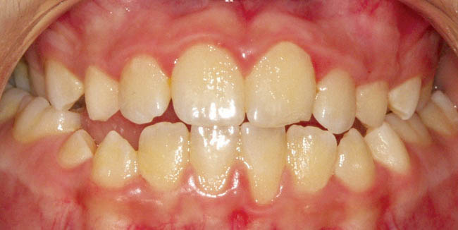
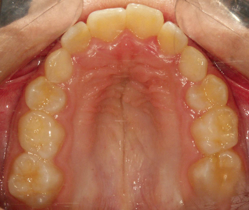
عدهای از بیماران تنگی فک بالا دارند و دندانهای خلفی یک یا دو طرف در کراس هستند (شکل 14-5 الی 18-5). این رابطه فکی نیاز به درمان Expansion دارد.
از آن جایی که این مبحث در قسمت همسطح و مرتب کردن دندانها ذکر شده است لذا میتوانید به آن بخش رجوع کنید.

شکل 14-5: تنگی ماگزیلا

شکل 15-5: کراس بایت خلفی سمت چپ

شکل 16-5: کراس بایت خلفی سمت راست

شکل 17-5: قوس فکی بالا

شکل 18-5: قوس فکی پایین