ارزیابی روابط فکی در بُعد افقی
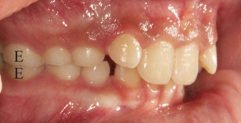
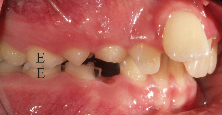
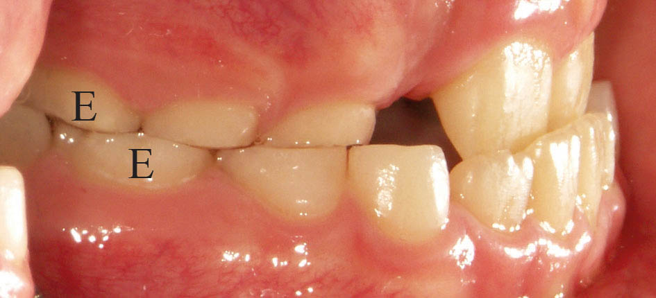
برای ارزیابی روابط افقی دیستال دندانهای E بالا و پائین را نگاه کنید.
اگر دیستال E پائین جلوتر از دیستال E بالا باشد (شکل 19-5) بیمار کلاسIII میشود. بعضی مواقع کلاسI هم میشوند.
اگر دیستال E پائین عقبتر از بالا باشد (شکل 20-5) بیمار حتماً کلاسII میشود.
اگر دیستال E بالا و پایین در یک راستا باشند احتمالاً کلاسI میشود (شکل 21-5). شاید عدهای از همین گروه در آینده کلاسII نیز بشوند.
بدین صورت کلاسI و II و III بودن بیمار در آینده را مشخص میکنید.
اصطلاح دیگری به نام اکلوژن end to end داریم که در واقع بعد از افتادن دندانهای E ، مولر اول پایین حرکت مزیالی نمیکند یا مندیبل رشد نمیکند یا شاید بخاطر رفع کرادینگ خفیف پایین لینگوال آرچ ساختهاید و روابط مولری به صورت دو میل کلاسII باقی میماند.

شکل 19-5: دیستال E پائین جلوتر از دیستال E بالاست، لذا بیمار در آینده کلاسIII میشود

شکل 20-5: دیستال E پائین عقبتر از دیستال E بالاست، لذا بیمار در آینده به احتمال زیاد کلاسII میشود

شکل 21-5: دیستال دندانهای E بالا و پائین در یک راستا هستند
در زمان بسته شدن دهان (CR)، انسیزورهای پایین در پشت انسیزورهای بالا قرار میگیرند و اورجت برقرار میشود.
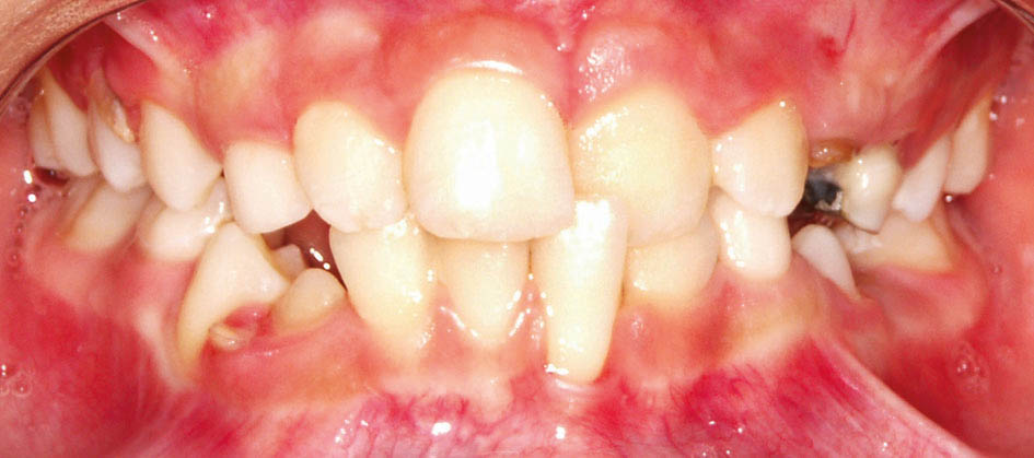
با پالاتالی شدن انسیزورهای بالا وقتی بیمار دندانهای خود را میبندد (در حالت CR) انسیزورهای پائین با انسیزورهای بالا نوک به نوک میشوند و تماس دندانهای خلفی از بین میرود (شکل 22-5 و 23-5).
نوک به نوک شدن قدامیها یک تماس پیشرس است.
یکی دیگر از عواملی که بیمار مندیبل را جلو میآورد نوک تیز دندانهای C است که آن را هم باید بتراشید تا باعث انحراف قدامی مندیبل نشود.

شکل 22-5: توانایی نوک به نوک بستن یک بیمار کلاسIII (بیمار کلاسIII کاذب نامیده میشود)

شکل 23-5: نوک به نوک شدن انسیزورها در CR
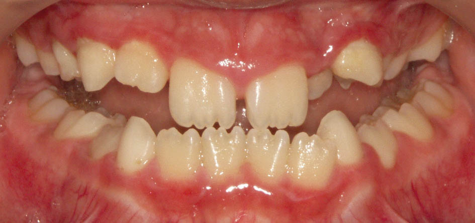
در این مواقع بیمار برای رسیدن به حداکثر تماس بین دندانی (CO) مندیبل را جلو میآورد تا خلفیها به یکدیگر تماس پیدا کنند (انحراف قدامی مندیبل) و شما یک کراس قدامی (شکل 24-5) و ایجاد یک رابطه کلاسIII مولری را میبینید.
وقتی انسیزورهای بالا پروترود شوند چون تماس پیشرس برطرف میشود، دیگر انسیزورهای پائین در زمان اکلوژن CR به آنها تماس نخواهند داشت و در همان CR به حداکثر تماس میرسند. پس دیگر نیازی به جلو آمدن مندیبل برای رسیدن به حداکثر تماس دندانی نیست، لذا رابطه کلاسIII مولری کودک اصلاح میشود.
نکته: وقتی کراس قدامی دارید به انحراف قدامی مندیبل شک کنید

شکل 24-5: انسیزورهای بالا و پایین بیمار در زمان بستن دندانها نوک به نوک میشوند. بیمار برای رسیدن به حداکثر تماس بین دندانی (CO) مندیبل را جلو میآورد و به همین دلیل به او کلاسIII کاذب میگوییم.

شکل 25-5: جابجایی قدامی مندیبل جهت رسیدن به حداکثر تماس دندانی(CO)
منجر به نمایش کراس قدامی میشود.
اگر انحراف قدامی مندیبل باشد با درمان کراس دندانهای قدامی، انحراف قدامی مندیبل از بین میرود و مندیبل عقبتر قرار میگیرد. اکلوژن اولیه که به همراه انحراف است یک اکلوژن کاذب است. اگر کلاسIII باشد یک کلاسIII کاذب است که بعد از درمان، مندیبل عقب رفته و کلاسI میشود. اگر کلاسI باشد به آن کلاسI کاذب میگوییم و با اصلاح انحراف مندیبل، بیمار کلاسII میشود و اگر کلاسII بوده به آن کلاسII کاذب میگوییم و با اصلاح انحراف مندیبل، میزان کلاسII او تشدید میشود.
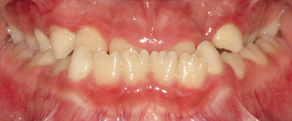
بخاطر ترومای اکلوژن، دندان مقابل (سانترال چپ پایین در شکل 26-5) دچار تحلیل لثه میشود که بعد از درمان این روند متوقف میگردد. البته لثه دیگر به حالت طبیعی برنمیگردد و در موارد شدید شاید بهتر باشد روی لثه گرافت بزنند، اما حداقل روند تخریب انساج پریو با درمان متوقف میشود.
از طرفی با پالاتالی شدن انسیزورهای بالا و تماس با دندانهای پایین شاهد سایش مینای دندانهای درون کراس میباشیم.
پس بنا به دلایل زیر درمان دندانهای درون کراس قدامی میبایستی سریعاً انجام شود:
1. انحراف قدامی مندیبل
2. تحلیل لثه دندانهای قوس پایین
3. سایش مینای دندان

شکل 26-5: اکلوژن تروماتیم دندان درون کراس منجر به تحلیل لثه سانترال چپ پایین گشته است.

شکل 27-5: پروترود نمودن انسیزور بالا جهت رفع کراس دندانی