درمان کراس بایت قدامی
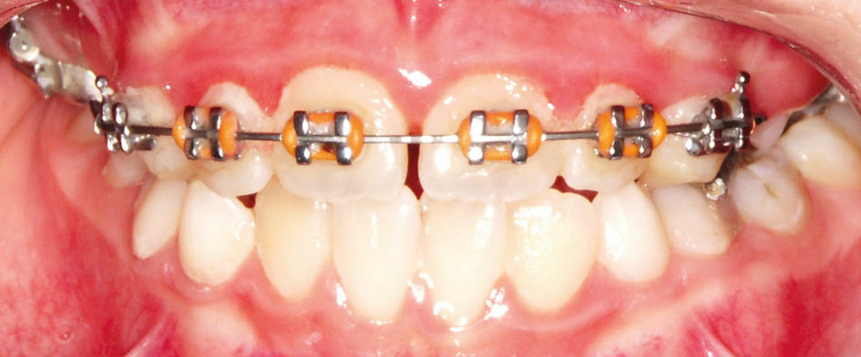
وقتی یک دندان در کراس باشد (شکل 26-5) میتوانید برای فک پائین یک اسپلینت آکریلی بسازید و چند براکت روی دندانهای بالا بچسبانید و به کمک یک سیم 0.012 سوپرالاستیک قدامیهای بالا را پروترود کنید تا از کراس خارج شوند (شکل 27-5 الی 28-5).
هرچه تعداد دندانهای پایه مجاور را بیشتر بگیرید بهتر است چون برای درون قوس آوردن سانترال بالا دندانهای دیگر از قوس خارج میشوند. اگر تعداد آنها بیشتر باشد نیروها پخش شده و احتمال خارج شدن مابقی دندانها از قوس بسیار کمتر میشود.
میتوانید یک پلاک آکریلی با بایت پلن خلفی و یک Z Spring پشت دندان درون کراس درست کنید. با گذشت زمان و با فعال کردن Z Spring دندان درون کراس به درون قوس میآید. دقت کنید که آرک لبیال در تماس شدید با دندان درون کراس نباشد چون مانع باکالی شدن آن میشود. باید قدری از آن فاصله داشته باشد.
برای نگهدارنده به میزان اوربایت بیمار نگاه میکنیم. زمانی که اوربایت مناسب است (شکل 29-5) نیاز به نگهدارنده نداریم و خود دندانهای قدامی پایین مانع ریلاپس درمان میشود. اگر اوربایت کم باشد میتوانید از سیم twisted روی دندانهای انسیزور بالا که با کامپوزیت میچسبانید استفاده نمایید (شکل 30-5).
از این به بعد تا 13 سالگی صبر میکنیم تا تمام دندانهای دائمی رویش پیدا کنند. در این سن جهت رسیدن به حداکثر تماس بین دندانی، ارتودنسی ثابت کامل دو فک انجام میدهید.

شکل 28-5: قراردادن سیم نازک سوپرالاستیک 0.012 برای پروترود شدن انسیزورها و اسپلینت آکریلی متحرک پائین جهت باز کردن بایت

شکل 29-5: اصلاح کراس قدامی و داشتن اوربایت مناسب

شکل 30-5: سیم توئیست به عنوان نگهدارنده
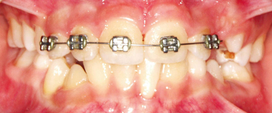
اگر کراس چند دندان قدامی دارید میتوانید یک پلاک آکریلی (شکل31-5) با بایت پلن خلفی بسازید تا دندانهای بالا و پائین از هم جدا شوند (شکل32-5) و یک پیچ درون پلاک بگذرید و آن را هفتهای دومرتبه در جهت فلش باز کنید (شکل33-5) تا ناحیه قدامی پروترود بشود (شکل 34-5) و از کراس خارج شود (شکل 35-5).
اگر پلاک بیماری دارای آرک لبیال است نباید دیستال لوپ آن از دیستال کانین رد بشود، چون با سفت کردن پیچ ناحیه انسیزوری پروترود میشود و این باعث تحت فشار قرار گرفتن لوپ آرک لبیال میشود. بعد از مدتی آنقدر سفت میشود که جا زدن پلاک برای کودک مشکل میشود. بنابراین لوپ آرک لبیال از دیستال لترال وارد آکریل بشود (شکل 33-5)
بعضی مواقع سانترال از کراس خارج میشود اما لترال هنوز درون کراس است. در این مواقع آکریل پشت سانترالهای بالا را بتراشید تا فشار پیچ فقط روی لترالها باشد و فقط لترالها پروترود بشوند.
این درمان زمانی خوب است که انسیزورهای بالا پالاتالی شده باشند. زاویه نرمال سانترال بالا به پلن ماگزیلا 11۵-۱۱۰ درجه است. اگر در ابتدای درمان همین زاویه را داشته باشد (نهایتاً تا 120 درجه) دیگر امکان پروترود کردن وجود ندارد. در واقع آن بیمار دیگر یک کلاسIII واقعی به حساب میآید. درمان قطعی این بیماران معمولاً جراحی در بزرگسالی خواهد بود.
اگر بیمار کلاسIII واقعی است و امکان پروترود نمودن انسیزورها نیست دو کار میتوان انجام داد:
1. گذاشتن facemask
2. ساختن tongue guard
هر دو این دستگاهها منجر به رشد ماگزیلا میشوند، اما همکاری بیمار بسیار مهم است و شرط اصلی درمان است.
بهتر است تا همکاران دیگر هم بیماران کلاسIII را معاینه نمایند تا اگر درمان در آینده موفق نبود (بخاطر عدم همکاری بیمار یا برگشت ناهنجاری کلاسIII بخاطر رشد تاخیری کودک) روابط والدین بیمار با شما تخریب نشود.

شکل 31-5: پلاک آکریلی با پیچ قدامی و بایت پلن خلفی

شکل 32-5: بایت پلن خلفی منجر به باز شدن بایت جهت رفع کراس بایت قدامی میشود

شکل 33-5: پلاک آکریلی با پیچ قدام جهت رفع کراس قدامی چند دندان با بایت پلیت خلفی

شکل 34-5: باز کردن پیچ قدامی منجر به پروترود شدن انسیزورها و رفع کراس بایت قدامی میشود

شکل 35-5: با درمان کراس، پلاک متحرک حذف میشود
بعضی موقع چند مشکل را با هم در یک کودک میبینید. مثلاً بیمار کراس خلفی یک طرفه و کراس قدامی (شکل 36-5 و 37-5) دارد.

شکل 36-5: کراس بایت خلفی در سمت چپ

شکل 37-5: سمت راست کراس بایت خلفی ندارد پس کودک کراس بایت خلفی یک طرفه دارد.
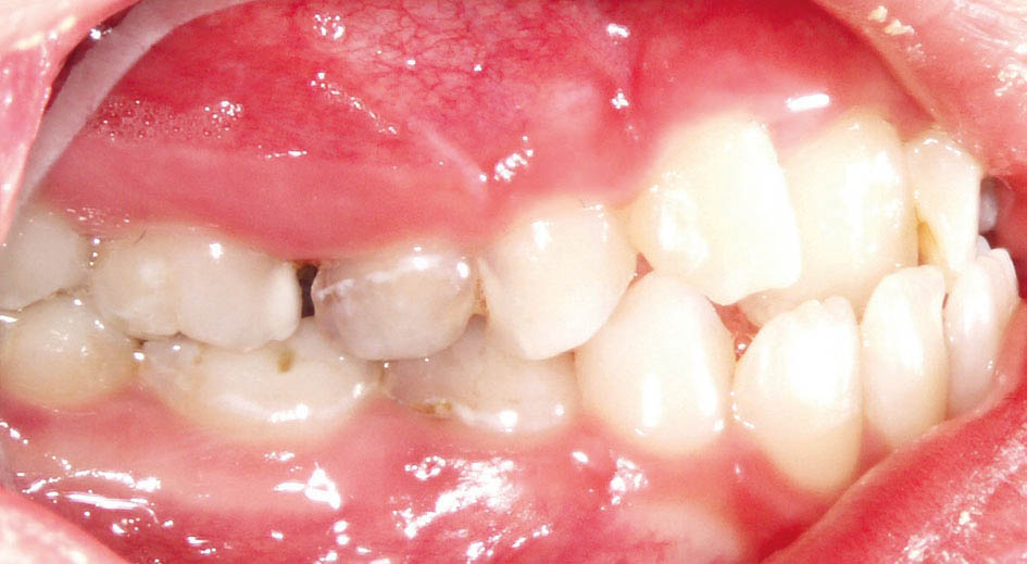
از آنجایی که دندانهای خلفی بالا تیلت پالاتالی ندارند(شکل38-5) و میدلاین دندانی و چانه بیمار (شکل39-5 و40-5) به چپ منحرف است به کراس دو طرفه و انحراف طرفی مندیبل پی میبریم.
از طرفی انسیزورهای بالا در کراس هستند (شکل 39-5) پس به انحراف قدامی مندیبل هم شک میکنیم

شکل 38-5: تقارن قوس بالا نشان دهنده دو طرفه بودن کراس است و بخاطر انحراف مندیبل یک طرفه دیده میشود.

شکل 39-5: انحراف مندیبل به سمت چپ بیمار باعث Off شدن میدلاین دندانی هم شده است.

شکل 40-5: انحراف چانه بیمار به چپ
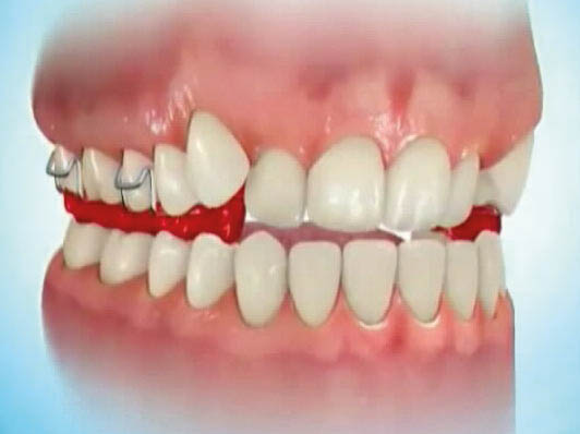
همانطور که ذکر گردید برای کراس خلفی یک پیچ RPE (شکل 41-5) بههمراه اسپیلینت پائین و برای کراس قدامی دندانها، چند براکت و یک اسپیلینت آکریلی پائین بسازید (اسپیلینت آکریلی پائین در هر دو درمان فوق مشترک است).
استفاده از RPE و پروترود شدن قدامیهای بالا با هم انجام میشود (شکل 42-5) و کلاً کمتر از 6 ماه طول میکشد. در دومین هفته درمان RPE، انحراف مندیبل اصلاح میشود و چانه به وسط صورت میآید. میدلاین دندانها هم به دنبال آن اصلاح میشود (شکل 42-5). البته اصلاح انحراف مندیبل در سنین کم مقدور است و در سنین بالا بسیار سخت درمان میشود.
چسباندن براکتهای قدامی و گذاشتن سیم منجر به پروترود شدن دندانهای قدامی و اصلاح کراس بایت قدامی میشود. با پروترود شدن انسیزورهای بالا انحراف قدامی مندیبل هم درمان میشود. اورجتی که بدین صورت بدست میآید قسمتی به خاطر پروترود شدن انسیزورهای بالا و قسمتی به خاطر عقب رفتن مندیبل است.

شکل 41-5: ساخت RPE برای درمان کراس بایت خلفی و چسباندن چند براکت برای پروترود کردن قدامیها جهت درمان کراس بایت قدامی، البته در فک پائین باید یک اسپیلینت متحرک آکریلی داشته باشد.

شکل 42-5: کراس بایت خلفی و قدامی با هم درمان گردیده است.
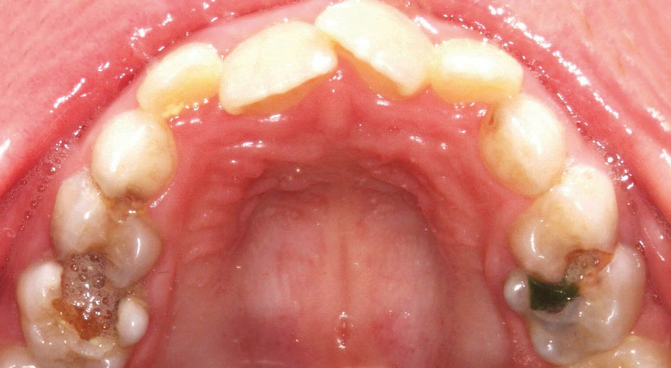
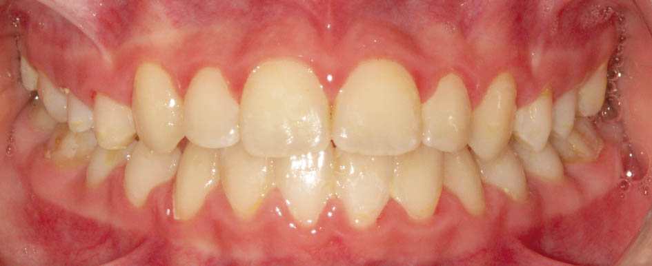
بعد از آن بایستی صبر کنیم تا تمام دندانهای دائمی رویش یابند (شکل 43-5 الی 45-5). با چنین کار سادهای شما از کلاسIII شدن، تنگی ماگزیلا، انحراف طرفی مندیبل (بخاطر کراس خلفی یک طرفه) و انحراف قدامی مندیبل (بخاطر کراس قدامی دندانها) جلوگیری میکنید. اگر قادر به اینگونه درمانها نباشید چنین بیماری دارای عوارض بسیاری میشود و در بزرگسالی نیاز به چندین عمل جراحی خواهد داشت و معمولاً نتایج درمانهای جراحی به زیبایی چنین کارهای ساده ارتودنسی (شکل 46-5) نمیشوند.
برای نگهدارنده بعد از RPE یا پالاتال بار یا پلاک Hawley میدهیم و برای نگهدانده درمان کراس قدامی اگر دیپ بایت باشد چیزی نمیدهیم و اگر دیپ بایت نباشد یک سیم twisted به بیمار میدهیم. در این بیمار یک پالاتال بار و یک سیم twisted قرار دادیم.
در این بیمار رشد پریماگزیلا و پروترود شدن انسیزورهای بالا باعث شد که لب بالا برجستهتر بشود و قرمزی آن بیشتر معلوم گردد.
چانه بیمار هم (بخاطر درمان کراس قدامی) خلفیتر قرار میگیرد و نمای کلاسIII صورت بهتر میشود.

شکل 43-5: تکمیل رویش دندانهای قدامی با اکلوژن کلاسI در سمت راست

شکل 44-5: اکلوژن کلاسI در سمت چپ

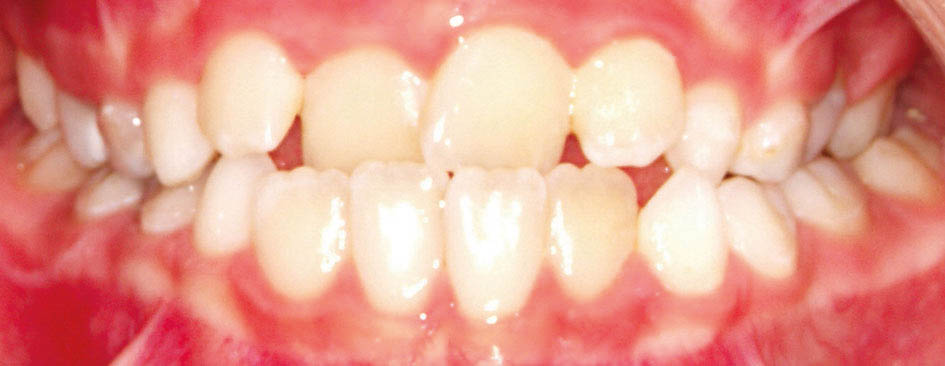
شکل 45-5: میدلاین صحیح بیمار فوق پس از درمان

شکل 46-5: مقایسه فرم لب و چانه بیمار قبل و بعد از درمان