حدود 40 درصد ناهنجاریهای اسکلتی کلاسII است که برای درمان نیاز به پلاکهای فانکشنال دارند.
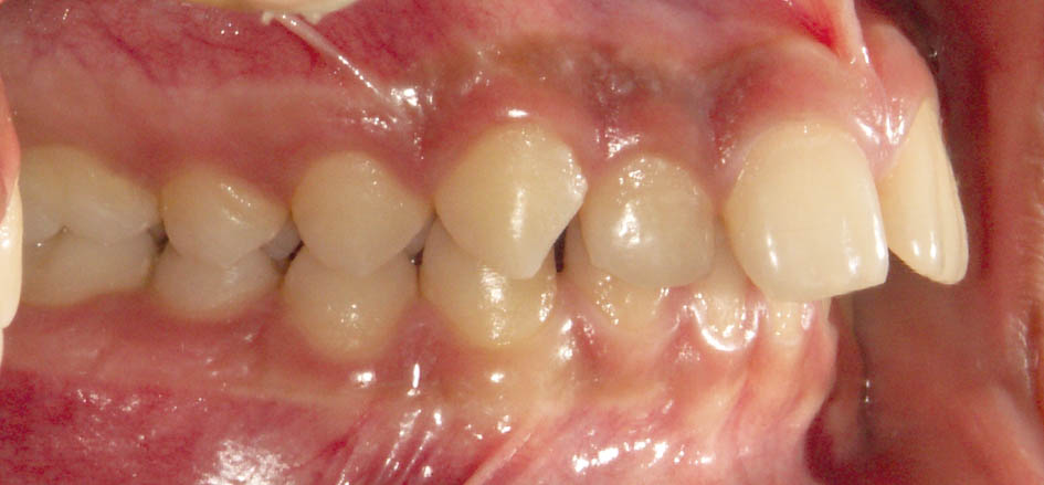
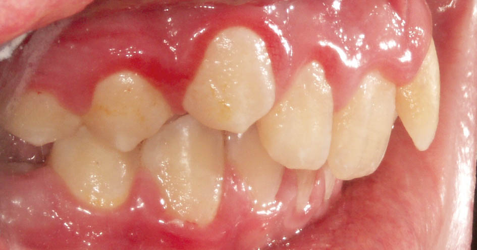
شکل47-5 الی 48-5 بیماران کلاسII را نشان میدهند (دندان4و5 بالا باید پشت 4 و 5 پائین باشند در حالیکه جلوترند). پرمولرهای بالا در شکل 50-5 هم همین گونه و حتی مزیالیتر است و دندان 4 بالا کاملاً جلوی 4 پائین است. اینها بیماران کلاسII هستند. البته در اولی اورجت دارید (Div1) اما در دومی با اینکه شدت کلاسII بیشتر است اما اورجت ندارید (Div2).
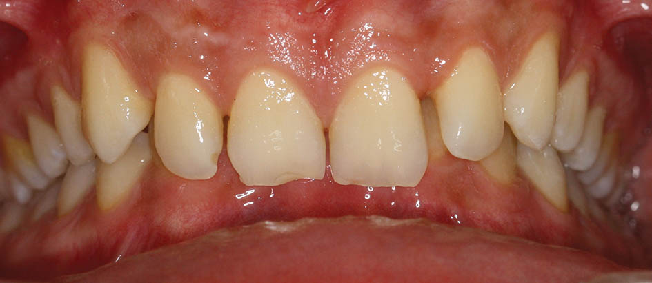
علت از بین رفتن اورجت فشار لب پایین روی انسیزورهای بالا است که منجر به پالاتالی شدن آنها میشود. در بعضی از بیماران سایز لترالهای بالا کوچک است و لب پایین فقط به لبه سانترالهای بالا میرسد، لذا فقط سانترالها پالاتالی میشوند و تاج لترالها باکالی میماند (شکل 49-5 الی 50-5).

شکل 47-5: رابطه کلاسII مولری (تقریباً 5mm)

شکل 48-5: رابطه مولری یک کاسپ کامل (7mm) کلاسII است.

شکل 49-5: پالاتالی شدن سانترالها و لترال راست بالا بخاطر فشار لب پایین در بیمار کلاسII/2

شکل 50-5: لب پایین به لبه تاج لترال چپ بالا نمیرسد، لذا باکالی مانده در حالیکه لترال راست بالا و سانترالها پالاتالی شدهاند.
دندانپزشکان بالغ بر صد سال است که از پلاکهای فانکشنال استفاده میکنند. طرحهای بسیاری ارائه شده و اسمهای متنوعی از این پلاکها میشنویم. عمدهترین کاربرد پلاک فانکشنال برای بیماران کلاسII/1 میباشد. با این پلاکها میتوان اورجت را به راحتی کاهش داد و در آخر اگر نیاز به حرکات جزئی در دندانها باشد با ارتودنسی ثابت قابل انجام است