رفع کرادینگ و ساختن اورجت
گاهی بیمار شما Div2 است و بخاطر رترودشدن انسیزورهای بالا و دیپبایت شدن بیمار دیگر اورجت ندارید. بیمار مندیبل را در زمان تهیه موم باید جلو بیاورد و چون اورجت ندارید این کار عملی نیست، لذا باید ابتدا اورجت بسازید و بعد موم بایت بگیرید (شکل 72-5 و 73-5).

شکل 72-5: بیمار کلاسII و دیپ بایت است.

شکل 73-5: نمای روبروی بیمار
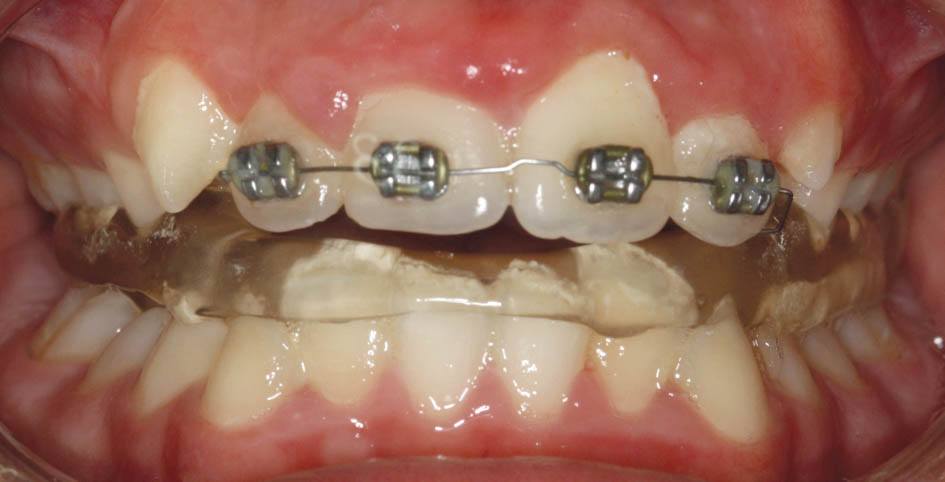
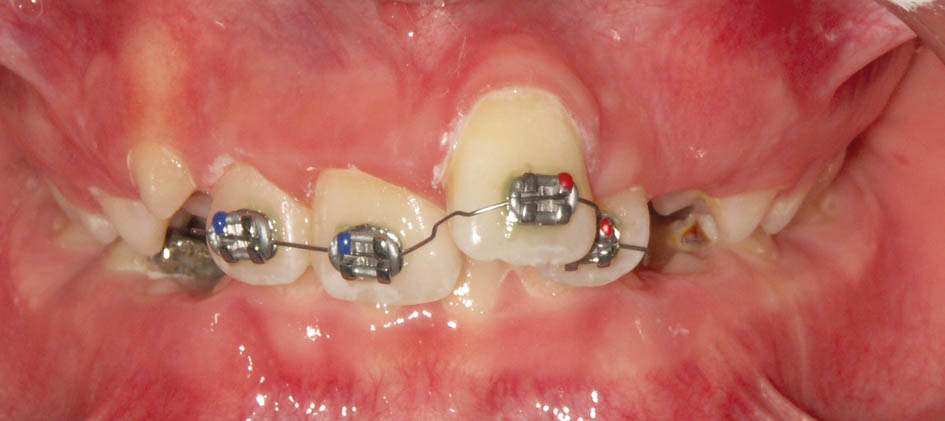
در این مواقع باید دندانهای قدامی را پروترود کنید. میتوانید یک پلاک آکریلی بسازید و Z Spring پشت قدامیها میگذارید یا چند تا براکت با یک سیم 0.012 سوپرالاستیک بگذارید. طبیعی است که گذاشتن چند براکت (شکل 74-5 و 75-5) خیلی سریع و در کمتر از 2 ماه جواب میدهد و نیاز به همکاری از جانب بیمار خیلی کمتر است.

شکل 74-5: چسباندن چند براکت و قراردادن سیم 0.012 سوپر الاستیک برای ساختن اورجت (تبدیل بیمار کلاس II/2 به II/1).

شکل 75-5: نمای روبروی بیمار
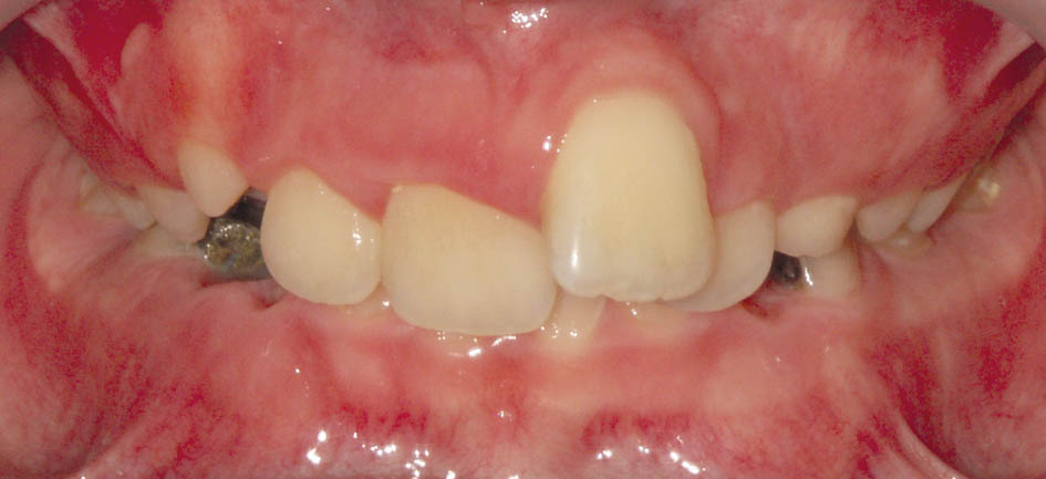
بعد از پروترودشدن قدامیها حالا میتوانید یک پلاک آندرسن (شکل 76-5 و 77-5) بسازید. میتوانید برای پلاک آرک لبیال نگذارید. در این مواقع مصرف پلاک تداخلی با داشتن براکتهای قدامی بالا ندارد و همزمان با مصرف این پلاک میتوانید سیم قدامیهای بالا را هم ضخیم کنید تا همزمان با رشد مندیبل، دندانهای بیمار هم مرتب شود.

شکل 76-5: پروترود شدن انسیزورها و ایجاد اورجت و تحویل پلاک آندرسن

شکل 77-5: پلاک آندرسن در حالت نوک به نوک برای بیمار ساخته میشود .
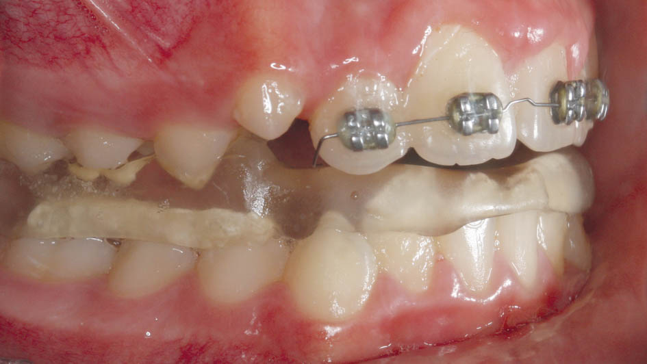
در بعضی از بیماران کلاسII/2 (دیپبایت) انحراف خلفی مندیبل را میبینیم. رترود شدن قدامیهای بالا منجر به فشار روی فک پائین و جابجایی خلفی آن میشود. وقتی قدامیهای بالا را پروترود کنیم این فشار از روی مندیبل حذف و مندیبل کمی جلوتر میآید.
درشکل78-5 و79-5 رابطه مولری یک کاسپ کامل کلاسII است و بعد از پروترود شدن قدامیهای بالا به کمک براکتها (شکل80-5) مندیبل هم حدود 3mm جلوتر قرار گرفته است.
در بیماران دیپبایت کلاسII جابجایی خلفی مندیبل خوب است چون با پروترود شدن قدامیها (تبدیل بیمار Div2 به Div1) مشکل کلاسII بیمار کمتر میشود و درمان فانکشنال زودتر تمام میشود. بعد از Div1 شدن پلاک فانکشنال بدهید و در یک دوره کمتر از 9 ماه شاهد کلاسI شدن بیمار (شکل81-5) میشوید.

شکل 78-5: بیمار یک کاسپ کامل کلاسII و دیپ بایت شدید است.

شکل 79-5: نمای روبرو کمبود اورجت را نشان میدهد.

شکل 80-5: پروترودشدن قدامیهای بالا باعث حذف فشار دیستاله روی مندیبل گشته و مندیبل جلوتر قرار میگیرد.

شکل 81-5: کلاسI شدن بیمار شکل 78-5 با پلاک فانکشنال آندرسن