اصول طرح درمان در ارتودنسی شفاف
یکی از اصولیترین مسائلی که دندانپزشکان باید بدانند این است که نرم افزارهای طراحی ارتودنسی شفاف نشان دهنده مرتب شدن دندان نمیباشند، بلکه یک سیستم اعمال نیرو است و فقط به مرتب شدن دندانها نباید نگاه کنید. شما وقتی نتیجه نهایی کار را مشاهده میکنید، حتماً به تمامی اجزای آن و اصول بیومکانیکی که در آن پیادهسازی شده تا دندانها مرتب شوند دقت کنید. در طول این نوشتهها تمام سعی خود را خواهم کرد تا با مکانیک این روش آشنا بشوید.
اصول اولیه ارتودنسی شفاف
در ابتدا با اصول اولیه این روش به قرار زیر آشنا میشویم:
• الاینرها فقط دندانها را فشار (push) میدهند و کششی (pull) ایجاد نمیکنند.
• حرکتهای متنوعی در آن واحد میشود انجام داد.
• برای حرکتهای موثر نیاز به انکوریج داریم.
• درمان اضافه در طراحی کامپیوتری بسیار مهم است.
• دندانها برای حرکت نیاز به فضا دارد.
اصل اول:
در ارتودنسی ثابت که انجام میدهیم معمولاً دندانها را pull میکنیم ولی باید یک نکته بسیار مهم را در نظر بگیریم که در ارتودنسی شفاف دندانها را push میکنیم و امکان pull کردن وجود ندارد. بنابراین خیلی مهم است که سطوحی را که میخواهیم اعمال نیرو کنیم هم روی دندان و هم روی اتچمنتهایی که روی دندان میگذاریم به دقت شناسایی کنیم. برای حرکت دندانها نیاز به تماس الاینرها با دندان یا اتچمنت روی آن داریم. پس همیشه به یاد داشته باشید که pull وجود ندارد و فقط و فقط push است. این عمده ترین دلیلی میباشد که بعضی از همکاران نمیتوانند دندان لترال بالا را اکسترود کنند، که البته راهکار مربوطه در مبحث بُعد عمودی ارائه شده است. پس اصل اساسی این است که:
اگر بتوانید یک سطح مناسبی برای push کردن درست کنید، احتمال حرکت دندان در مسیر مورد نظر شما بسیار زیاد خواهد بود.
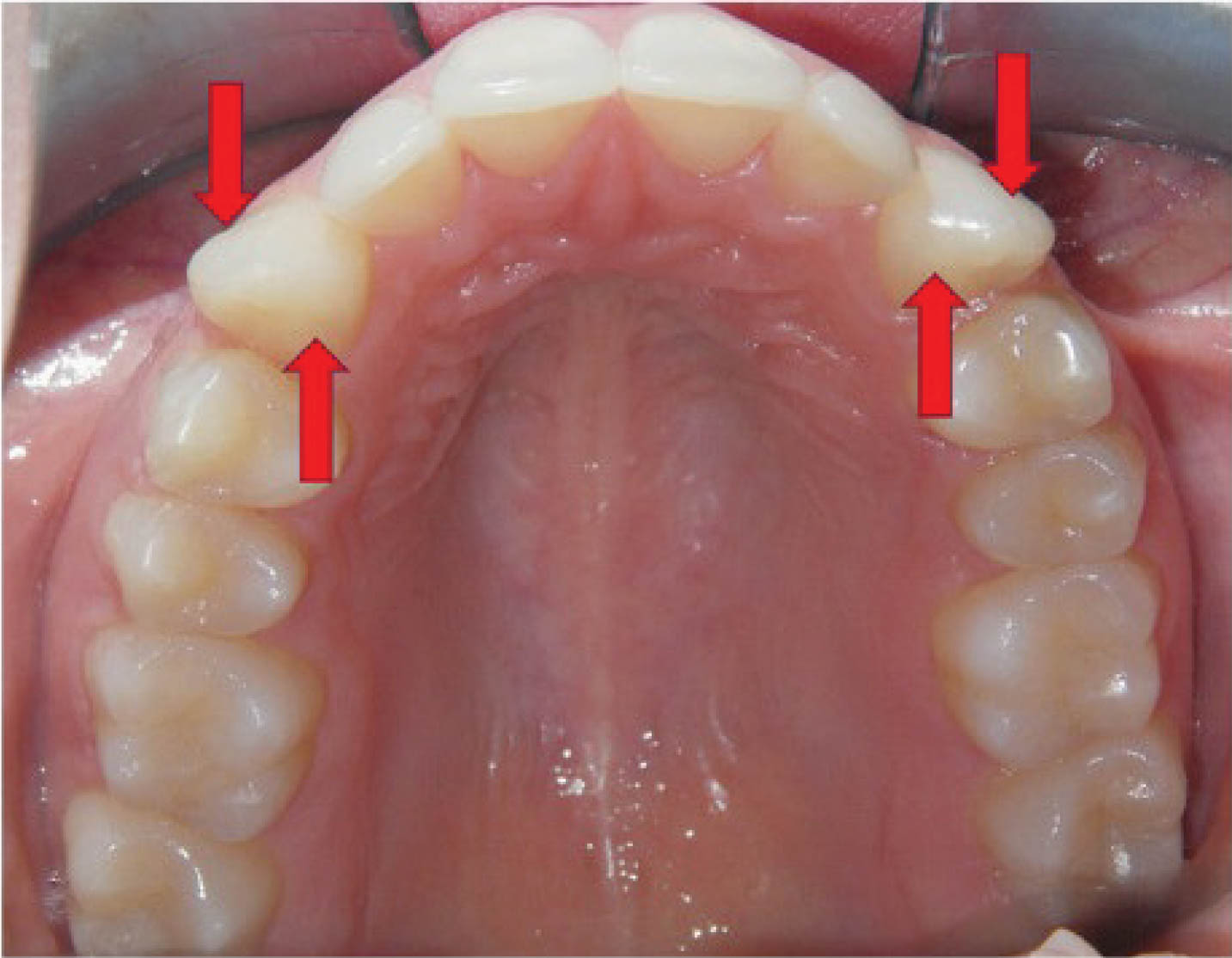
بررسی یک مورد - سطح PUSH
بیماری در طی یک سال درمان شد و نیازی به تجدید قالبگیری نبود. دندانها به راحتی حرکت نمودند چون سطح وسیعی برای push کردن وجود داشت. به کانینهای بالا در شکل ۱-6 نگاه کنید. متوجه سطح وسیع و صاف در باکال و پالاتال آن شدید؟ الاینر میتواند نیروهای push دو طرفه به کانینها برای حرکت اعمال کند و کانینها هم خیلی خوب حرکت میکنند. (شکل 2-6).

شکل 1-6

شکل 2-6
اصل دوم:
اعمال چندین حرکت در یک زمان از مزایای ارتودنسی شفاف به حساب میآید و کارایی بهتر آن را نشان میدهد. در شکلهای 3-6 الی 5-6 حرکتهای همزمان تورک، چرخش و رفع کرادینگ را با هم میبینید. با هم نگاهی به بیمار زیر میاندازیم:

شکل 3-6

شکل4-6

شکل 5-6
برای بررسی حرکتها متنوع در یک زمان به این بیمار نگاه کنید. اکلوژن او کلاسI شکل (6-6) است. دیپ بایت شدید و کانین راست بالا در کراس است. در نرم افزار مشخص است که همزمان با درمان کراس کانین، سانترالهای بالا هم اینترود میشوند. در عکس 7-6 هم پایان درمان را میبینید که بیمار داری اکلوژن نرمال است.

شکل 6-6

شکل 7-6
اصل سوم:
وقتی صحبت از انکوریج میکنیم به یاد ارتودنسی ثابت میافتیم. بهتر است که به بیمار بعدی (شکل 8-6) نگاهی بیاندازیم. او یک بیمار دیپ بایت است. قرار است که درمان دیپ بایت با ۳۰ درصد اینتروژن انسیزورهای بالا و ۷۰ درصد اینتروژن انسیزورهای پایین همراه باشد.
حال به تصویر طراحی شده در شکل 9-6 نگاه کنید:
یادآوری قانون اول: الاینرها فقط push میکنند و pull نمیتوانند انجام بدهند.
در قانون سوم نیوتن یاد میگیریم که هر عملی، عکس العملی دارد برابر با آن و در خلاف جهت آن. بنابراین وقتی انسیزورها بخواهند اینترود بشوند، یک نیروی مخالفی ایجاد میشود که باعث بلند شدن الاینر از روی دندانهای خلفی میشود. اگر الاینر از روی دندانهای خلفی بلند بشود، دیگر کارایی لازم برای اینترود کردن انسیزورها را نخواهد داشت. این یکی از مشکلاتی میباشد که در طراحی ارتودنسی شفاف با آن روبرو هستیم.

شکل 8-6

شکل 9-6
انکوریج را طبق قانون سوم طراحی میکنیم و اتچمنتهایی مانند شکل 9-6 در پرمولر اول و دوم درست میکنیم. این اتچمنتها به سمت اکلوزال که میآیند بول میشوند و به طول 4mm هستند. سطح گیر آن در سمت ژنژیوال قرار دارد. هدف این است که وقتی الاینر بر روی دندانها قرار میگیرد، بر روی دندانهای خلفی گیر داشته باشد. این اتچمنتها مانع جابجایی الاینر در سگمنت خلفی میشوند. فکر کنید که الاینر مانند یک اهرم عمل میکند و انسیزورها قرار است که اینترود بشوند.
نتیجه: بایت به راحتی باز میشود که در شکل 10-6 مشخص است

شکل 10-6
اصل چهارم:
مساله مهم اول: براکت و الاینر اینقدرها که فکر میکنید با هم فرقی ندارند.
اکثر درمانگرها از سیستمهای براکتی پری اجاستد که تیپ، تورک، In/Out و Offset دارند استفاده میکنند. تورک سانترال بالا در سیستم Roth معادل ۱۲ درجه مثبت و در سیستم MBT معادل ۱۷ درجه مثبت است. همیشه به این میزان تورک نیاز نداریم.
دلایل متعدد برای زیاد کردن تورک وجود دارد مانند بازی بین سیم و شیار براکت. در ازای هر 0.001 اینچ بازی بین سیم و شیار براکت حدود ۴ درجه تورک از بین میرود. یعنی سیم 0.021x0.025 در براکت 0.022 سیستم Roth حداکثر ۸ درجه تورک مثبت اعمال میکند. در حال حاضر انواع سیستمهای براکتی و انواع سیمها با آلیاژهای متنوع برای انتخاب وجود دارند. این تنوع هم برای دکتر و هم برای بیمار خیلی مفید است. با تمام این تعاریف نمیشود یک سیم را به هر بیماری انداخت و کار را تمام کرد. در بیماران مختلف باید جای براکتها را عوض کنیم یا از اتصالات دیگری استفاده کنیم. با توجه به تنوع بیماران، دندانپزشکان مسئول حرکت از ابتدا تا انتهای درمان تمام دندانها هستند.
در طراحی الاینرها هم همینطور است. درست است که دانش زیادی در طراحیهای کامپیوتری وجود دارد و الگوریتم پیچیدهای برای طراحی ایدهآل الاینرها وجود دارد، ولی باز شمای دندانپزشک مسئول درمان بیمار خود هستید. علاوه بر این، خواص مواد مصرفی هم بسیار بهتر شده است که در اکثر موارد منجر به انتخاب الاینرهای شفاف بجای براکت میشود. البته الاینرها هم مانند براکتها نیاز به تغییراتی دارند تا متناسب با نیاز تک تک بیماران بشوند. چهار مورد اصلی برای اضافهتر درمان کردن در طراحیهای کامپیوتری وجود دارد:
• اپن بایت یا دیپ بایت
• تیپ
• تورک
• اکسپنشن
مساله مهم دوم: وقتی به طراحی کامپیوتری نگاه میکنید، فقط به جابجا شدن دندانها نگاه نکنید، بلکه به سیستم اعمال نیرو نگاه کنید
به شکل 1۱-6 نگاه کنید و فکر کنید که با براکت درمان شده است. برای درمان دیپ بایت باید از سیمهای ریورس کرو اسپی برای پایین استفاده کنیم. این کار چیزی اضافه بر سیستم براکتی میباشد، و با سیمهای متعارف و براکت تنها فقط به این نتیجه نمیرسیم.

شکل 11-6
وقتی به شکل سیم کرودار نگاه میکنید، میدانیم که هرگز نمیخواهیم قوس پایین بیمار چنین کرو شدیدی داشته باشد. البته میدانیم که قرار دادن چنین سیم کروداری نهایتاَ باعث صاف شدن کرو اسپی میشود. همین واقعیت برای طراحیهای کامپیوتری هم صادق است.
باید کرو اسپی در بیمار (شکل 12-6) که دیپ بایت داشت صاف بشود. همان طور که از سیم ریورس کرو روی براکتها استفاده میکنیم، باید در برنامه های طراحی هم اضافه درمان داشته باشیم.
در شکل 13-6 دیپ بایت بیشتر درمان شده تا به هدف خودمان برسیم. ضمناً هرگز انتظار رسیدن به هدف درمان مانند آنچه در شکل میبینیم را نباید داشته باشیم. اکلوژن واقعی انتهای درمان هیچ وقت مانند عکسهای کامپیوتری نمیشوند. این عکسها سیستم نیرو را نشان میدهند نه مرتبی دندانها را و به همین دلیل، نمای دندانها در انتهای درمان میتواند متفاوت از عکسی باشد که قبل از ساخته شدن الاینر میبینید.
دیستاله نمودن انسیزورهای بالا با تیپ شدن لینگوالی آنها همراه است، مانند زمانی که با سیم 0.020 فضای قدامی را میبندیم. اگر این حالت رخ بدهد بخاطر تماسهای پیشرس زیاد قدامیها، اپن بایت خلفی خواهیم داشت، که بعدها بیشتر در این مورد صحبت خواهیم نمود. اگر در عکس قبلی به موقعیت انسیزورهای بالا نگاه کرده باشید، متوجه تورک پالاتالی بیشتر ریشه آنها میشوید. از آن جایی که میدانیم انسیزورها به سمت لینگوال در حین درمان تیپ میشوند، لذا این کار را برای جبران آن کردیم.

شکل 12-6

شکل 13-6
در این طرح درمان دو مورد اضافه درمان داریم: یکی اینترود قدام پایین که به میزان بیشتری در نظر گرفته شده است. دوم تورک پالاتالی ریشه انسیزورهای بالا
به مرور یاد خواهید گرفت که چگونه در طرحهای کامپیوتری اضافه درمان کنید تا دندانها در انتهای درمان در جایگاه قابل قبولی قرار گیرند (شکل 14-6). همانطور که میبینید موقعیت نهایی دندانها با عکس کامپیوتری طراحی شده دندانها متفاوت است و همین نکته مهم این قسمت میباشد. وقتی به طرح کامپیوتری نگاه میکنید، شما به سیستم اعمال نیرو نگاه میکنید نه به موقعیت نهایی دندانها.
اصل پنجم:
این یک مطلب کوتاه و واضح است ولی خیلی خیلی مهم است. برای حرکت دندان از نقطه A به B نیاز به فضا داریم. وقتی فضا نباشد و دندانها بهم گیر کنند، دیگر حرکت نمیکنند. وقتی دیدید که دندانی حرکت نکرد، اول کنتاکتها را چک کنید. در صفحه 460 با مواردی که مانع حرکت میشوند بیشتر صحبت خواهیم نمود.

شکل 14-6