در این مبحث با اصول کرادینگ و نحوه اصلاح آن با استفاده از نرمافزار آشنا میشویم. امیدوارم با مطالعه این مبحث دیگر شاهد خواندن دستوراتی مانند: “لطفا چرخش دندانها را درست کنید و دندانها را در حالت منظم و مرتب قرار بدهید” نباشیم. امیدوارم که این ذهنیت هم از بین برود که “تمام کرادینگها با اکسپنشن اصلاح میشوند و نیازی به استریپ نیست.”
کارهای زیر را برای اصلاح کرادینگ میتوانیم انجام بدهیم:
I.
: افزایش قوس فکی در بُعد طرفی میباشد. با گسترش قوس فکی در بُعد طرفی شاهد افزایش طول قوس فکی هستیم. دیستاله نمودن دندانهای خلفی نیز به نوعی اکسپنشن میباشد.
II.
: که آن هم باعث افزایش قوس فکی جهت رفع کرداینگ میشود.
III.
: که باید با علم کامل انجام شود و با این کار و ایجاد فضا به رفع کرادینگ کمک کنیم.
IV.
: یک یا چند دندان
در بیماران با کرادینگ فقط از این چهار راه میتوانیم کمک بگیریم. برای انتخاب یکی یا ترکیبی از این چهار مورد باید اصول زیر را در نظر بگیرید:
I. اصول پریودنتال
II. اصول فانکشنال
III. اصول زیبایی
IV. ثبات در بلند مدت
کرادینگ
آنالیز فضا: اکسپنشن پروترود نمودن استریپ کشیدن
آنالیز زیبایی: کریدور باکالی تنگ ساپورت لب مثلث تاریک
.........................ثبات درمان: افزایش عرض بین کانینی ......................... اکسپنشن خلف
در زمان درمان کرادینگ به مسائل پریودنتال زیر دقت کنید:
- ضخامت بافت لثه چقدر است؟ هر چه لثه ضخیمتر باشد، امکان اکسپنشن و پروترود نمودن قدامیها بیشتر است.
- اگر تحلیل لثه وجود دارد، باید ببینیم که چقدر میشود دندانی را لبیالی نمود بدون اینکه تحلیل لثه بیشتر بشود.
- اگر بیمار لثه چسبنده کافی نداشته باشد نباید دندانها را لبیالی یا باکالی کنیم. شاید اگر مجبور به این حرکت باشیم باید قبلش بیمار جراحی پیوند لثه بکند.
- تحلیلهای لثه معمولا نشاندهنده حجم بسیار کم استخوان میباشد. در چنین بیمارانی پوشش استخوانی از بین رفته، یا از قبل حجم قابل توجهی از اکسپنشن انجام شده است، اگر درمان کرادینگ با اکسپنشن همراه باشد مشکلات بیمار دو چندان خواهد شد.
در زمان اصلاح کرادینگ باید به رابطه انسیزورها هم فکر کنیم. باید به مسائل زیر اهمیت بدهیم:
• انسیزال گایدنس
• کانین گایدنس
• فرمیتوس (fremitus) - باید در انتهای درمان بیمار دچار هیچ گونه فرمیتوس غیرطبیعی نباشد۱.
• تحلیل طوق دندانی (abfraction) آیا این تحلیل دندانها بخاطر اکلوژن غیرطبیعی است؟
• تماس دندانی در سمت بالانس
• عدم هماهنگی CO با CR
فرمیتوس:
انگشت اشاره خود را روی سطح لبیال دندانهای بالا قرار دهید و از بیمار بخواهید که حرکات طرفی و پیشگرایی انجام دهد. اگر در دندانهای بالا حرکتی احساس نمودید به آن فرمیتوس میگویند که به موارد زیر تقسیم میشود:
N طبیعی
+ احساس لرزش
۱- حرکت جزیی حس میشود
۲- حرکت قابل لمس و مشخص است
۳- حرکت کاملاً قابل رویت است
بهترین کار برای بررسی اصول زیبایی در نظر گرفتن پروتز دندانی و نحوه چیدن دندانها در آن میباشد. اولین دندان همیشه سانترال بالا است تا به بهترین زیبایی و کارایی برسیم که شامل:
I. میزان نمایش این دندان در زمان استراحت
II. میزان نمایش این دندان در زمان لبخند
III. میزان ساپورت کافی لب
IV. تلفظ ایدهآل حروف
برای چیدن دست دندان یا یک درمان ارتودنسی، باید به اهداف زیر برسیم:
• باید یک حد معقولی از لثه معلوم باشد، نه زیاد و نه کم.
• لبه لثه دندانها باید با یکدیگر تراز و همخوانی داشته باشند.
• ارک لبخند در انسیزورهای بالا باید با قوس لب پایین یکی باشد.
• فضای منفی در زمان خنده باید حداقل ممکن باشد.
• جایگاه دندانهای قدامی باید پشت لب بالا و پایین را پٌر کند.
تمام این قوانین برای ارتودنسی شفاف هم صادق است. این ملاحظات زیبایی در پروتز کامل برای تعیین جایگاه دندانهای طبیعی صادق است و همانطور که به لابراتوار دستور چیدن دست دندان با دندانهای صاف را نمیدهیم، در ارتودنسی شفاف هم نباید همین دستور را بدهیم و باید چک لیست نرم افزار طراحی کامپیوتری را دقیق پٌر کنیم تا به بهترین درمان برسیم.
علاوه بر این موارد، در زمان ارتودنسی بیماران باید نواحی پاپی را از لحاظ مثلث تاریک بررسی کنیم. در این مورد در مبحث استریپ بیشتر صحبت خواهیم نمود.
بعضیها فقط مینویسند که دندانها مرتب و منظم بشوند. نه تنها این عبارت مبهم است بلکه لابراتوار هم گیج میشود که به چه نحوی باید دندانها را مرتب و منظم بکند. مهندسین در طراحی کامپیوتری خیلی دقیق هستند و اگر خیلی دقیق در ارتباط با طرح درمان بنویسید، مطمئناً به نتایج خیلی دقیقی در نتیجه درمان هم خواهید رسید.
اگر فقط به اکسپنشن و پروترد نمودن انسیزورها فکر کنیم و از استریپ فرار کنیم، درمان ثبات کافی نخواهد داشت. لطفاً مقاله صفحه بعدی را در این مورد مطالعه بفرمایید.
در ۱۹۹۷، آقای بورک با همکارانشان یک مقاله متا آنالیز در زمینه نقش عرض بین کانینی در درمان و ثبات آن در مجله آنگل ارتودنتیست منتشر کردند. نویسندگان ۲۶ مقاله در همین زمینه را بررسی نمودند.
به این نتیجه رسیدند که علی رغم تغییرات در حین درمان، اگر عرض بین کانینی زیاد بشود، به همان عرض بین کانینی در ابتدای درمان برخواهد گشت.
با توجه به این یافتهها، اگر قرار است که درمان در بلند مدت ثبات داشته باشد، باید عرض بین کانینی را در حین طراحی کامپیوتری حفظ کنیم.
اکسپنشن در پشت کانین چطور؟ گرچه کلاً اکسپنشنها تمایل به ریلاپس دارند، ولی اکسپنشن ناحیه پرمولر و مولری کمتر ریلاپس میکنند تا اکسپنشن کانینی. کلاً تمایلی به اکسپنشن دندانی وجود ندارد، ولی اگر مجبور بشویم قطعاً باید در ناحیه پرمولر و مولر این کار را انجام بدهیم و عرض بین کانین را هم حفظ کنیم. اکسپنشن در حد 2mm برای هر سمت کافی است.
بیمار بعدی یک بیمارکلاسI با میزان متوسطی از کرادینگ در هر دو فک است. به کانینهایی که شدیداً چرخیدهاند دقت کنید (شکل 15-6 تا 17-6). این بیماران به ارتودنسی شفاف عالی جواب میدهند. یک دختر دبیرستانی که نمیخواهد در جشن فارغ التحصیلی خود و عکسهایی که در کلاس میگیرد براکت داشته باشد، خیلی خوب از الاینرهای شفاف استفاده میکند.
چک لیست طراحی کامپیوتری برای کرداینگ وی به شرح زیر است
آنالیز فضا: اکسپنشن پروترود نمودن استریپ کشیدن
آنالیز زیبایی: کریدور باکالی تنگ ساپورت لب مثلث تاریک
2mm ثبات درمان افزایش عرض بین کانینی ثابت بماند اکسپنشن خلف

شکل 15-6

شکل 16-6

شکل 17-6
I. مشخص کردیم که بیمار غیرکشیدنی درمان بشود.
II. درمان کرادینگ با ترکیبی از روشهای زیر انجام بشود:
A. اکسپنشن خلفی
B. پروترود نمودن انسیزورها
C. استریپ بین دندانی
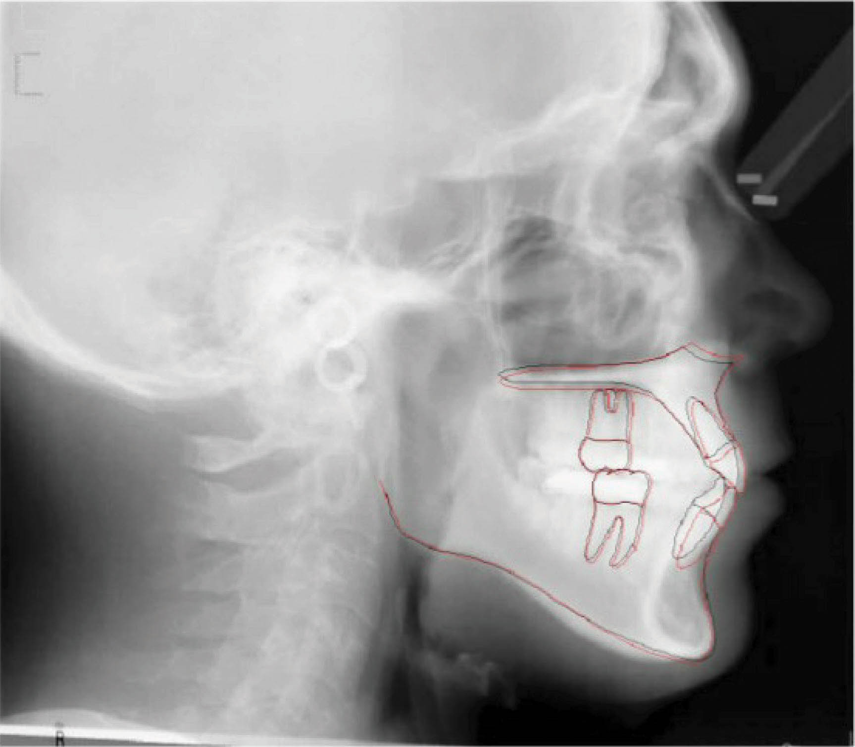
یکی از خوبیهای طراحی کامپیوتری این است که دکتر میتواند میزانهای متفاوتی از اکسپنشن، پروترود نمودن انسیزورها یا استریپ را قبل از شروع کار مشاهده نماید. با این نوآوری میتوانید نتیجه کار و مسیر حرکت دندانها از ابتدا تا انتهای درمان را کنترل نمایید. عرض بین کانینی در مندیبل را هم ثابت نگه داشتیم تا حداکثر ثبات درمان را داشته باشیم. به همین دلیل از ترکیبی از اکسپنشن، پروتروژن انسیزورها و استریپ استفاده نمودیم. اگر به شکل 18-6 که قبل از درمان قوس پایین است نگاه نمایید، سانترال پایین که خیلی لبیالیتر از جایگاه اصلی خود میباشد را میبینید. بنابراین این دندان باید حرکت لینگوالی کند.
وظیفه شما به عنوان دکتر معالج است که به لابراتوار آموزش بدهید که چگونه طراحی نمایند تا نیازهای بیمار مرتفع گردد.
این دستورات بسیار مهم هستند چون میخواهیم که سانترال راست پایین لینگوالی بشود و موقعیت عمودتری بگیرد. دستوری که من به لابراتوار می نویسم به این شکل است:
• حداکثر 3mm اکسپنشن خلفی در دیستال کانین بدهید (هر سمت1.5mm).
• هر کانتکت در قدام پایین تا 0.3mm حداکثر میتواند استریپ بشود.
• لترالهای چپ و راست پایین میتوانند پروترود بشوند، ولی سانترال راست پایین باید 1mm لینگوالیتر از موقعیت فعلی خود قرار بگیرد.

شکل 18-6
به کانین بالا که شدیداً چرخش دارد توجه کنید (شکل 19-6). علیرغم چرخش شدید، این دندانها به راحتی به چهار دلیل زیر خواهند چرخید و عالی میشوند.
• این دندانها یک سطح بزرگ و صافی برای اعمال فشار در هر دو طرف لبیال و پالاتال دارند (قانون اول الاینرها که حرکت دندان بخاطر push انجام میشود).
• بین دندان کانین و دندان کناری آن فضا وجود دارد (قانون چهارم که دندانها برای حرکت نیاز به فضا دارند).
• اتچمنتهایی برای اصلاح چرخش روی این دندانها قرار گرفته تا اعمال نیرو مناسبی برای حرکات مطلوب دندانی داشته باشیم.
• مواد الاینر شفاف اعمال نیروی ملایم به دندان میکنند تا به حرکات دندانی مد نظر برسیم.

شکل 19-6
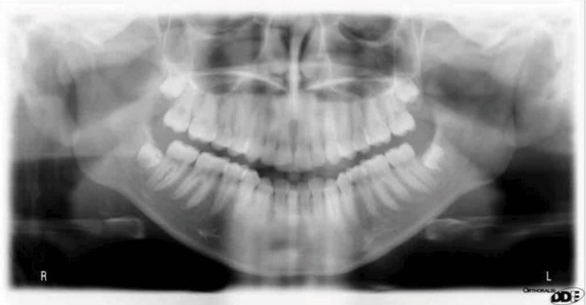
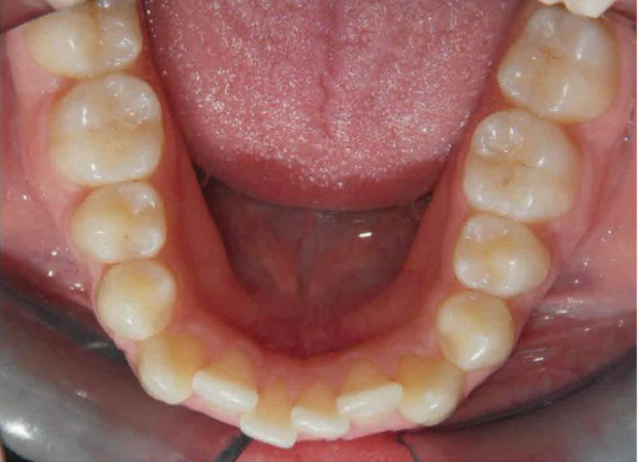
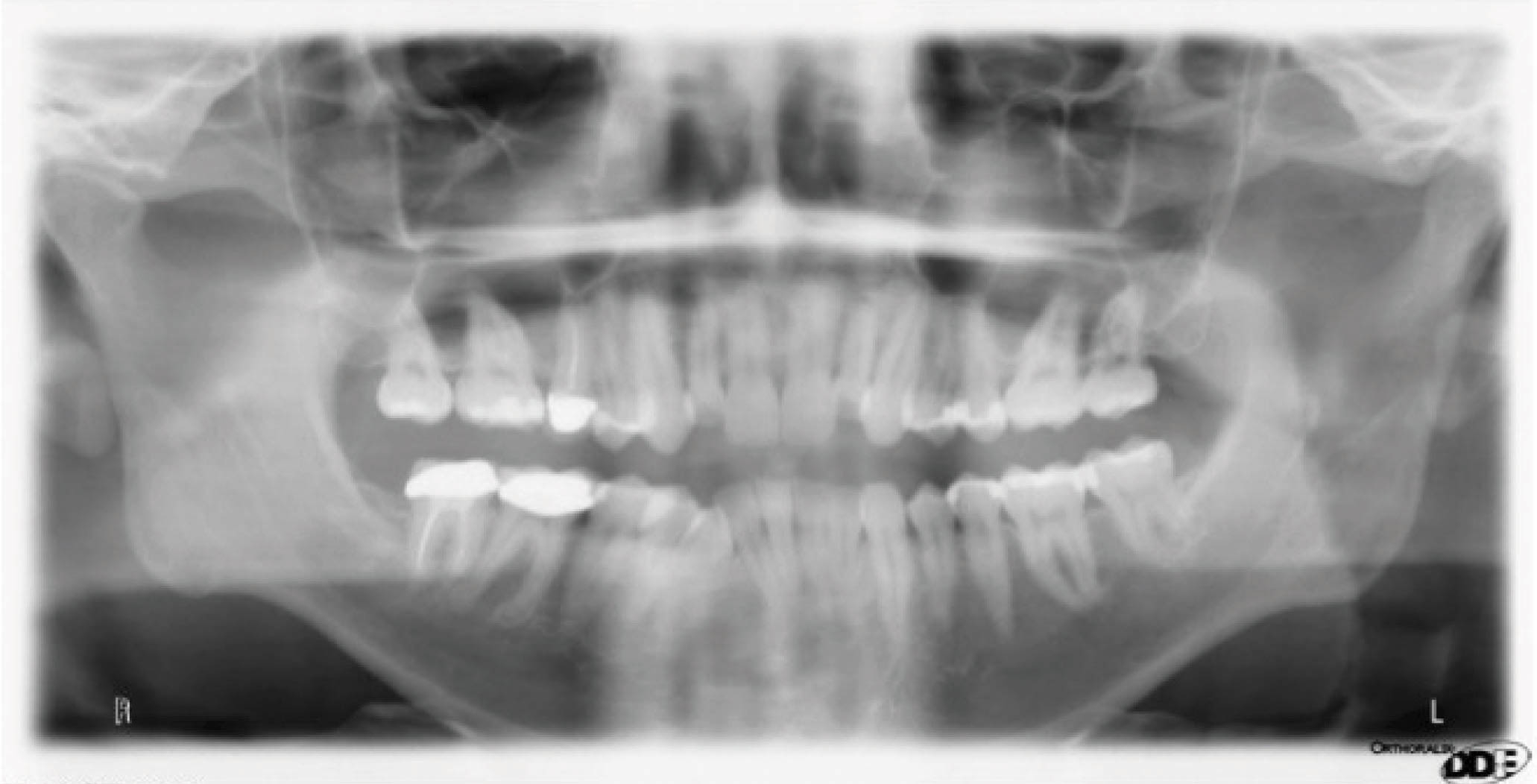
نتایج درمان (شکل 20-6) و عکس طراحی کامپیوتری (شکل 21-6) خیلی به هم شبیه شدند. عکس OPG هم طبیعی است.
این نوع کار کردن میتواند برای اکثر بیماران شما که کرادینگ در حد متوسط دارند و غیرکشیدنی میخواهید درمان نمایید به کار برود. اول به اکسپنشن خلف، بعد پروترود نمودن انسیزورها و نهایتاً به استریپ فکر کنید تا سرانجام دندانها به زیبایی ردیف گردند. لطفاً به یاد داشته باشید اگر میخواهید از پرمولرها استریپ کنید باید حتماً در دستور کار طراحی " استریپ خلفی" را ذکر کنید.

شکل 20-6

شکل 21-6

شکل 22-6
این بیمار هم مانند بیمار قبلی میباشد با این فرق که کانینهای راست بالا و پایین در کراس قرار دارند (شکلهای 23-6 الی 25-6).
آنالیز فضا: اکسپنشن پروترود نمودن استریپ کشیدن
آنالیز زیبایی: کریدور باکالی تنگ ساپورت لب مثلث تاریک
ثبات درمان افزایش عرض بین کانینی ثابت بماند اکسپنشن خلف3mm

شکل 23-6

شکل 24-6

شکل 25-6
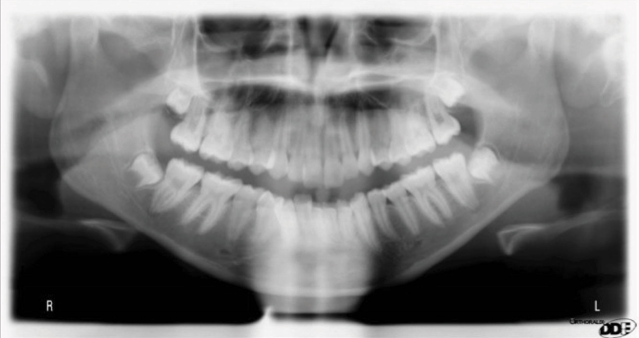
شکلهای 26-6 و 27-6 نتایج درمان در قیاس با طراحی کامپیوتری را نشان میدهند. عکس OPG هم طبیعی است (شکل 28-6).

شکل 26-6

شکل 27-6

شکل 28-6
یک بیمار با اوربایت و اورجت طبیعی و کرادینگ شدید در دو قوس است. لترالهای بالا لبیالی شدند، کانین راست پایین تا حدی بلاک شده است و پروفایل طبیعی میباشد. بیمار کرادینگ شدید و قوس فکی تنگی دارد (شکلهای 29-6 الی 31-6). لترالهای بالا شدیداً پروترود هستند. برای کنترل این لترالها بعداً بیشتر صحبت میکنیم که اختلاف بین اکستروژن واقعی آن با اکستروژن نسبی آن را ببینیم.
آنالیز فضا: اکسپنشن پروترود نمودن استریپ کشیدن
آنالیز زیبایی: کریدور باکالی تنگ ساپورت لب مثلث تاریک
ثبات درمان افزایش عرض بین کانینی ثابت بماند اکسپنشن خلف 2-3m در هرطرف

شکل 29-6

شکل 30-6

شکل 31-6
برای اصلاح کرادینگ بیمار کارهای زیر را مدنظر داریم:
• اکسپنشن خلفی
• پروترود نمودن قدامیها
• استریپ
کوریدور باکالی تاریک به همراه تنگی ماگزیلا مشاهده میشود. اکسپنشن خلفی در حد 2-3mm در هر سمت برای اصلاح تنگی قوس برای رسیدن به یک لبخند زیباتر و پُرتر کمک میکند، ولی عرض بین کانینی بیمار باید حفظ بشود.
در ابتدای درمان لترالهای بالا پروتروژن دارند. با پالاتالی کردن آن به اکستروژن آن هم کمک میکنیم.
دو نوع اکستروژن داریم:
• اکستروژن مطلق
• اکستروژن نسبی
اکستروژن مطلق به زمانی میگوییم که روی دندان اعمال نیرو کنیم و آن را نسبت به زایدهآلوئولار اکسترود کنیم که با الاینرها یک کار وقتگیری است. اکستروژن نسبی فرق میکند و با لینگوالی نمودن دندان به دست میآید (شکل 32-6). وقتی دندانها لینگوالی شوند، بایت بستهتر میشود. برای این کار نیاز به تمهیدات خاص در طرح درمانها نداریم و با الاینرهای شفاف به راحتی به این هدف میرسیم. اگر به طرح درمان بیمار نگاهی بیاندازید، شاهد اتچمنتی برای اکسترود لترال هستیم، یعنی نیاز به اکستروژن مطلق لترال هم داریم. این اتچمنتها روی سطح لبیال عمود بر نیرو قرار میگیرند تا منجر به اکستروژن دندان بشویم. برای اطلاعات بیشتر در مورد اکستروژن مطلق و نسبی به مبحث بُعد عمودی مراجعه نمایید.

شکل 32-6
شکلهای 33-6 و 34-6 نتایج درمان را نشان میدهد. قوس فکی کاملاً مرتب شده است. عرض بین کانینی حفظ شده، اکستروژن نسبی لترال بالا را داریم و به نتایج زیبایی و فانکشنال خوبی رسیدیم.

شکل 33-6

شکل 34-6
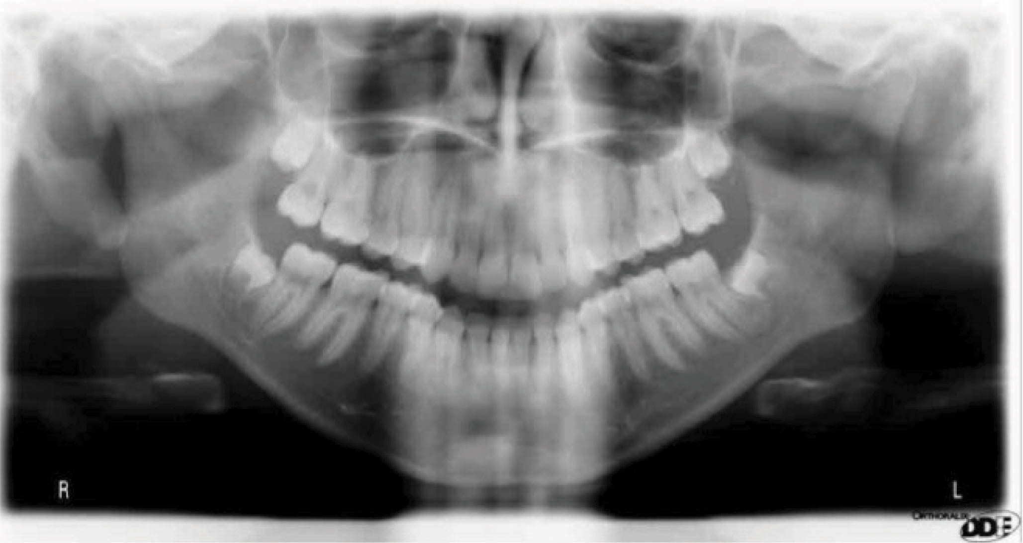
با سوپرایمپوز کردن لترال سفالومتری در شکل 35-6 شاهد سه درجه پروترود شدن انسیزورهای پایین هستیم. ارتفاع عمودی ثابت ماند و کنترل خوبی در حفظ زاویه پلن مندیبل داشتهایم. رادیوگرافی OPG پایان کار (شکل 36-6) طبیعی است. مدت نگهدارنده ۳۰ ماه بود و همه چیز خوب حفظ شده است (شکل 37-6).

شکل 35-6

شکل 36-6

شکل 37-6
کلاً درمان ۲۵ ماه طول کشید و دو بار قالب گیری مجدد (اصلاح قالبهای بیمار) انجام گرفت. از این بیمار به عنوان یک الگو در درمان بیماران به کار میبریم چون بیشتر بیماران از این حد کرادینگ کمتر دارند. وقتی این حد کرادینگ را با الاینر شفاف میتوانیم با موفقیت درست کنیم، پس تمام بیمارانی که کرادینگ متوسط دارند هم به راحتی میتوانیم درمان کنیم.
وقتی برای رفع کرادینگ، دندان میکشید باید به دو اصل الاینرها که در مبحث اصول طرح درمان گفتم خوب دقت کنید.
اصل اول اینکه الاینرها با push کردن حرکت میکنند، و اصل چهارم که درمان اضافه یک اجبار است. برای کنترل فضای ناحیه کشیدنی و هر نوع فضای دیگری که نیاز به حرکت بادیلی دندانها را داریم (مبحث فضای بین دندانی) باید در طراحی کامپیوتری به نحوی برخورد کنیم که موقعیت ریشه را خوب تحت کنترل داشته باشیم. سطحی که برای push است را در دندانهای مجاور ناحیه کشیدنی باید مشخص کنیم تا یک حرکت بادیلی رخ دهد. در نرم افزار کامپیوتری هم باید کارهایی بکنیم که ریشهها هم مانند تاجها حرکت کنند.
بیشترین علت مراجعه معمولاً کرادینگ است. حتماً از چک لیست نرم افزار برای درمان کنترل شده و قدم به قدم کرادینگ استفاده نمایید. اصول و مثالهای این مبحث باعث میشود که شما به نتایج قابل پیش بینی در تمام بیمارانتان دست یابید