فضای بین دندانی
فضای بین دندانی مورد بعدی در چک لیست طرح درمان است. اگر تماس اینترپروگزیمال دندانها از بین برود از اصطلاح spacing استفاده میکنیم.
دو راه برای درمان و بستن فضا بین دندانی وجود دارد: تیپ دندانها یا حرکت بادیلی آنها
بستن فضاها: بادیلی تیپینگ
بولتون استریپ پایین............................. رها کردن قدری از فضا در بالا............................
تیپ کردن در الاینرها که به راحتی رخ میدهد. ازآنجایی که نیروها به تاج و به دور از مرکز چرخش اعمال میشود، دندانها تیپ میشوند و در مواردی هدف ما هم همین تیپ شدن است که منجر به یک درمان عالی میشود.
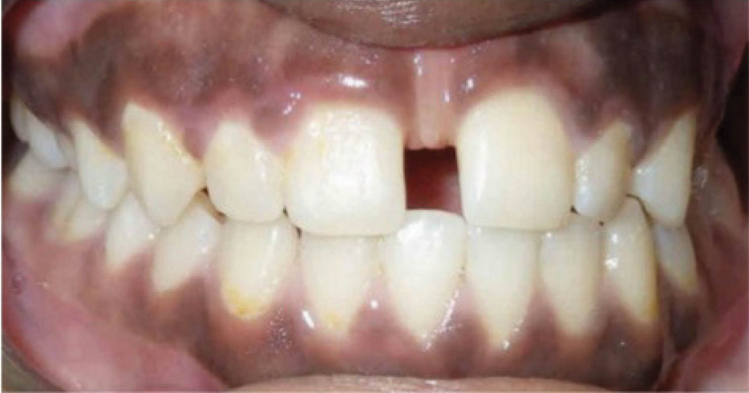
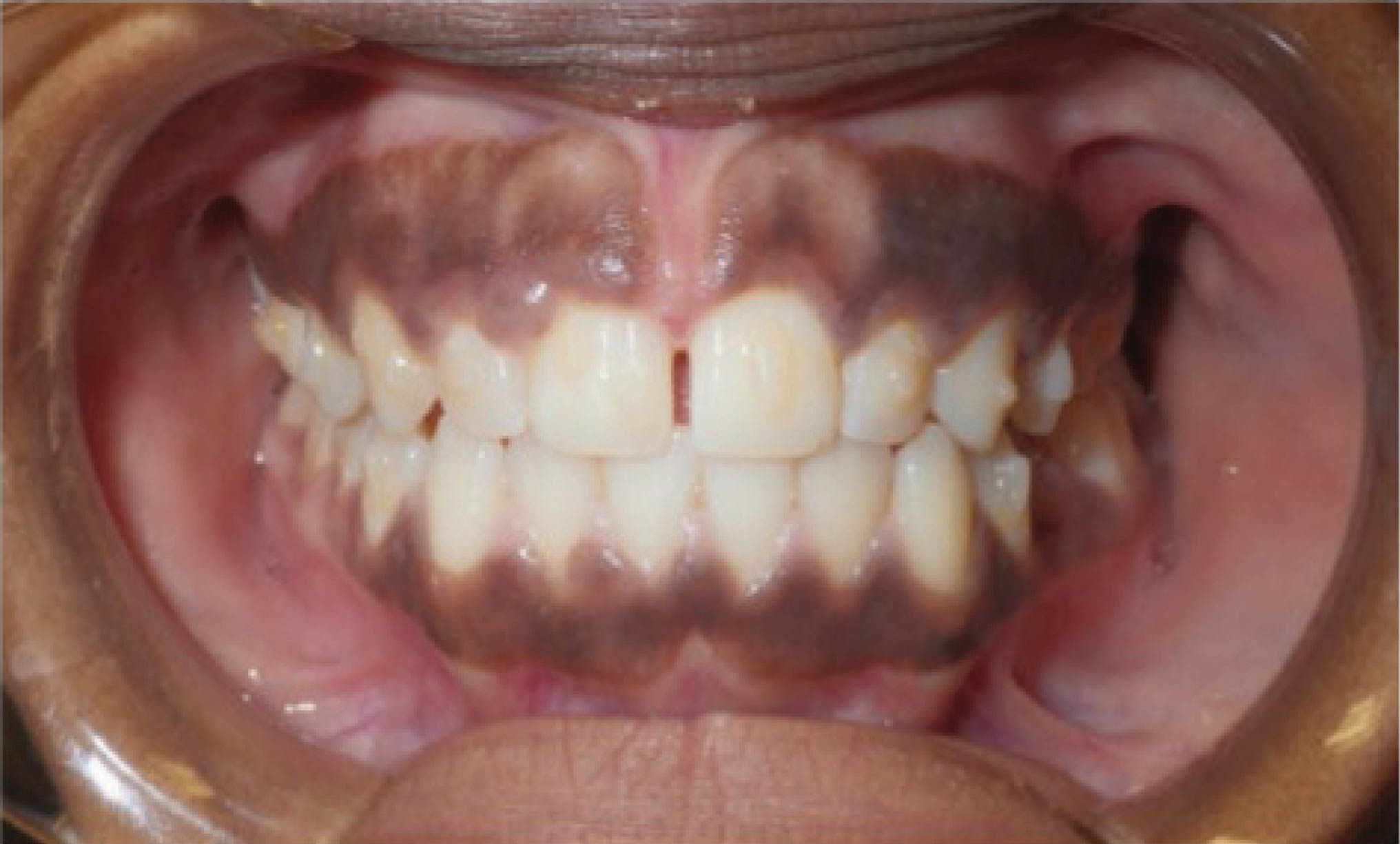
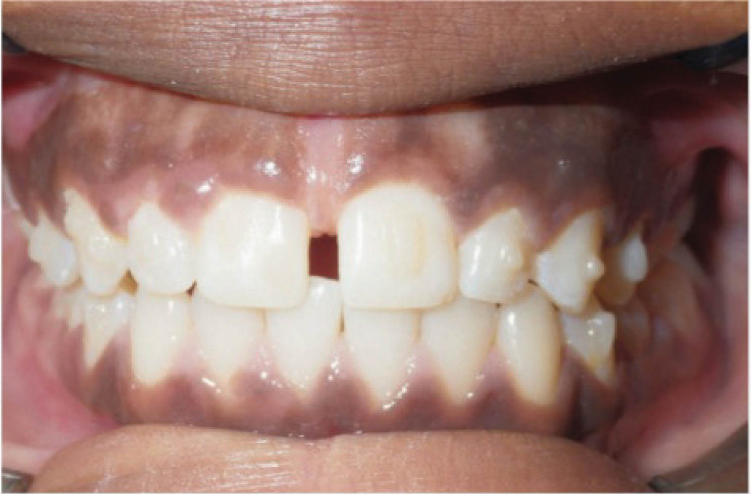
در بیماری که در شکل 38-6 مشاهده میکنید، یعنی بیماری که سانترالهای بالا او از هم به صورت تیپینگ دور شدهاند، درمان با الاینر خیلی عالی میشود، و تصویر آخر نرم افزار به نتیجه درمان خیلی شبیه میشود (شکل 39-6 و 40-6).

شکل 38-6

شکل 39-6

شکل 40-6
در بیمارانی که انسیزورهای بیرون زده با فضای بین دندانی دارند و آنها را به عقب میبریم احتمال تیپ شدن دندانها حتماً وجود دارد (شکل 41-6 و 42-6).
در بیمار شکل 43-6 و 44-6، انسیزورهای بالا و پایین با تیپ کردن لینگوالی آنها به عقب کشیده شدند تا هم فضا بسته بشود و هم دندانها عمودتر قرار بگیرند.

شکل 41-6

شکل 42-6

شکل 43-6

شکل 44-6
دومین راه برای بستن فضا استفاده از حرکت بادیلی است. چالش این نوع حرکت بیشتر و سیستم نیروهای وارده به دندانها پیچیدهتر است.
اتچمنتها: بازوی خوبی برای اعمال نیرو هستند. هم لابراتوار میگذارد و هم خودتان میتوانید در جایگاه مدنظرتان قرار بدهید تا حرکات دندانی مد نظر را اعمال نمایید.

شکل 45-6
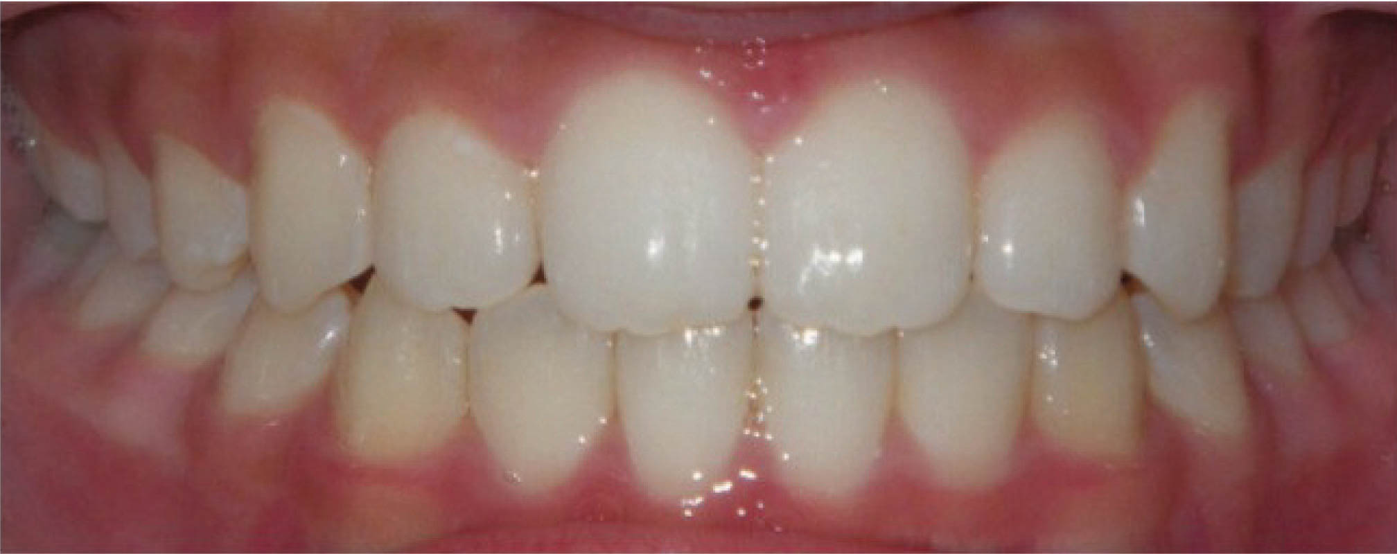
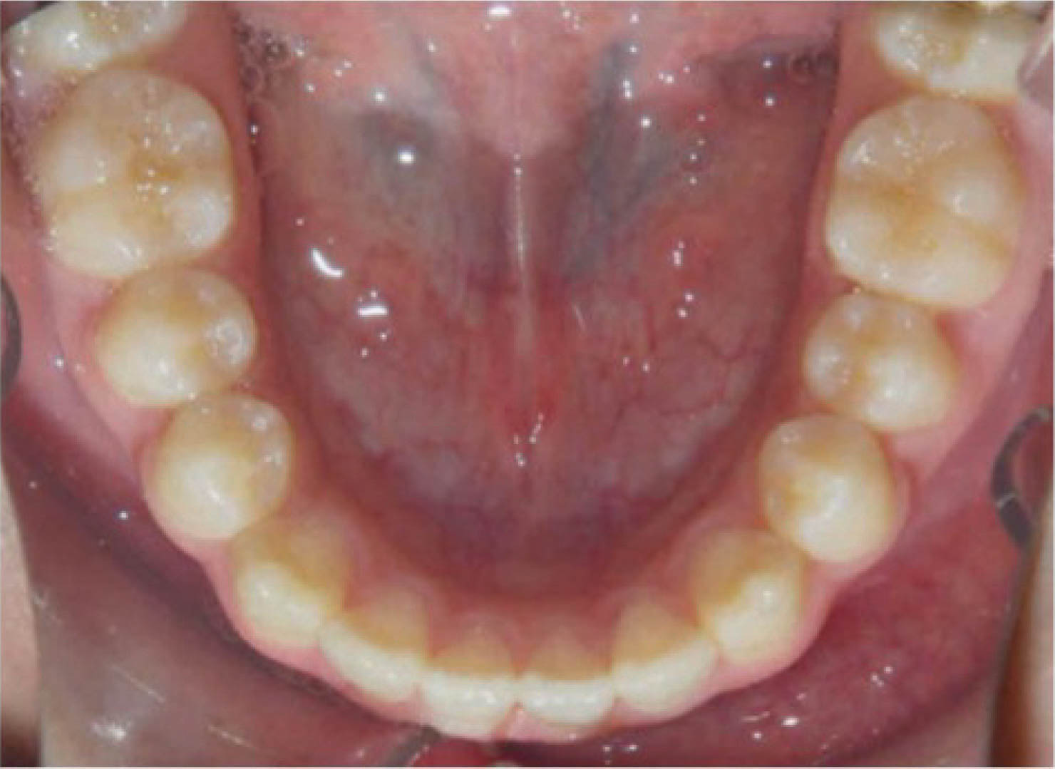
در (شکلهای 46-6 الی 49-6) مراحل درمان را مشاهده مینمایید و میبینید که دندانها خوب حرکت میکنند و دیاستم در حال بسته شدن و دندانها هم تیپ نشدهاند.

شکل 46-6

شکل 47-6

شکل48-6

شکل 49-6
بیمار دیگر (شکلهای 50-6 الی 52-6): لترال چپ بالا را ندارد. هدف دیستاله نمودن کانین چپ بالا و هدایت آن تا رسیدن به رابطه کلاسI کانینی و نهایتاً قرار دادن یک ایمپلنت در ناحیه لترال است. اگر به OPG او نگاه بندازید، میبینید که لترال چپ بالا وجود ندارد و لترال راست بالا هم peg shape است.
: باید به لابراتوار بگوییم که تیپ دیستالی بیشتر به ریشه کانین چپ بالا بدهد. این زاویه بیشتر برای بیومکانیک کار است تا دندانها تیپ نشوند. باید در این بیمار هم همین کار را انجام داد. از آنجایی که قرار است کانین چپ بالا دیستالی بشود، احتمال دیستالی شدن تاج و مزیالی شدن ریشه وجود دارد. این حالت نه تنها مدنظر نیست، بلکه فضای کافی هم برای قرار دادن ایمپلنت به ما نمیدهد. بنابراین باید زاویه بیشتری به ریشه بدهیم تا در نهایت یک حرکت بادیلی داشته باشیم.
در OPG نهایی، کانین راست بالا در جایگاه صحیح است و فضا کافی برای ایمپلنت هم به وجود آمده است (کل درمان ۲۰ ماه به طول کشید). در این بیماران، باید حتماً درمان اضافه را در طراحی کامپیوتری در نظر بگیرید تا حرکتها بادیلی بشوند.
برای حرکت ریشه همیشه باید درمان اضافه در نظر گرفت.
برای بستن فضا حتماً مبحث کرادینگ را مطالعه کنید.

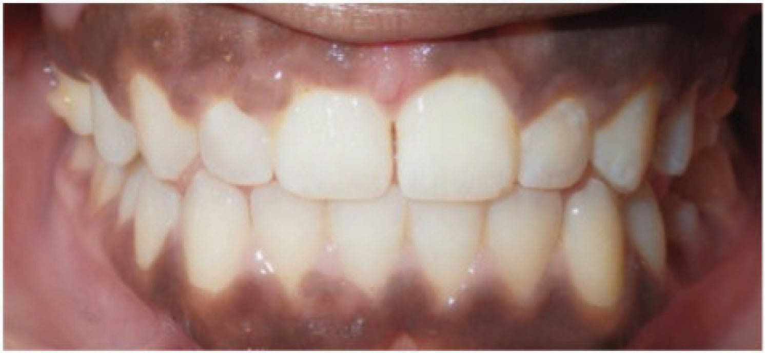
شکل 50-6

شکل 51-6

شکل 52-6
معمولاً خیلی از دکترها آنالیز بولتون رو در نظر نمیگیرند. نسبت بولتون اندازه گیری نسبی عرض مزیودیستالی دندانهای بالا و پایین است. در یک نسبت ایدهآل، دندانهای قدامی پایین باید ۷۷ درصد دندانهای قدامی بالا باشند تا دندانهای پایین درون دندانهای بالا قرار بگیرند. اگر این تناسب برقرار نباشد، اختلاف سایز بولتون رخ میدهد. معمولاً بخاطر کوچکی لترالهای بالا این اختلاف سایز بوجود میآید. اگر این عدم تناسب را با استریپ پایین یا بیلدآپ بالا رفع نکنیم، معمولاً در انتهای درمان با مشکل مواجه میشویم. وقتی سایز بالا کوچک باشد در قوس کوچکتری قرار میگیرند که منجر به تماس زیاد انسیزورها در زمان اکلوژن میشود. در الاینرها بستن فضای بالا در بیماری که عدم تناسب بولتون دارد، منجر به بروز اپن بایت خلفی میشود، لذا بهتر است که به عرض لترالهای بالا کامپوزیت اضافه نمایید یا قدام پایین را بیشتر استریپ کنید.
اگر اختلاف سایز بولتون وجود دارد، میتوانید یکی از کارهای زیر را انجام دهید:
• استریپ پایین و لینگوالی نمودن قدامیهای پایین، مخصوصاً به کمک الاستیک کلاسIII
• رها کردن فضا در دیستال لترال بالا جهت بیلدآپ کامپوزیتی
• ترکیبی از این دو
ترجیحاً اگر لترالهای بالا کوچک هستند که حتماً باید به بیلدآپ فکر کنید وگرنه حتماً استریپ پایین را انجام بدهید.