بُعد عمودی
این مبحث در ارتباط با مسائل بُعد عمودی یعنی بیماران دیپ بایت و اپن بایت یا حتی مسائل مربوط به تک دندان در بعُد عمودی است.
- راههای محدودی برای اصلاح دیپ بایت به شرح زیر داریم:
• اینتروژن قدام
• اکستروژن خلف
• ترکیبی از هر دو
برای هر کدام از این موارد ملاحظاتی وجود دارد. در یک بیمار دیپ بایت چگونه تصمیم بگیریم که قدام اینترود بشود یا خلف اکسترود بشود یا ترکیبی از اینها؟ اگر قرار است قدامیها اینترود بشوند، قدام پایین یا قدام بالا باید اینترود بشوند؟ باید به چک لیست مربوطه نگاهی بندازیم
میزان نمایش لبه انسیزال میزان نمایش لثه مارجین لثه قوس لبخند
دیپ بایت: اینتروژن قدام بالا پایین اکستروژن خلف بالا پایین
اپن بایت: اکستروژن قدام بالا پایین اینتروژن خلف بالا پایین
اکستروژن یا اینتروژن نسبی ......................... مطلق........................
باید هر قسمت را جداگانه بررسی کنیم:
- اگر انسیزورهای بالا در زمان لبخند خیلی معلوم است باید آنها را اینترود کنیم، اما اگر در زمان لبخند خیلی معلوم نیست نباید این کار را کرد.
- مثل همان لبه انسیزال دندانهای بالا است. اگر لثه خیلی معلوم است (بیمار گامی اسمایل)، اینترود انسیزورهای بالا مفید خواهد بود (شکل 53-6 و 54-6).
- تمام سعی ما بر این است که یک لبخند زیبا برای بیماران درست کنیم، یعنی لبه انسیزال قدامیهای بالا با انحنا لب پایین یکی باشد. اینترود یا اکسترود نمودن قدام اثر مهمی در این موارد دارد (شکل 53-6 و 54-6).

شکل 53-6

شکل 54-6
- اینترود یا اکسترود نمودن دندانها باعث حرکت مارجین لثه هم میشود. در بیماری که سایش لبه انسیزال دارد و آن دندان اکسترود شده باشد، اینترود این دندان باعث تراز مارجین لثه میشود و بعد از آن میتوانید ترمیم زیبایی انجام دهید. (شکل 55-6).
- اینترود قدام پایین یا اکسترود خلف پایین در درمان دیپ بایت خیلی موثر هستند. در بعضی موارد باید به اکستروژن خلف فکر کرد مانند بیماران زیر:
- ارتفاع عمودی صورت کم است.
- بیمار کلاسII دیویژن دو است.

شکل 55-6
- کارهای محدودی به شرح زیر میتوانیم انجام بدهیم:
• اکسترود قدامیها
• اینترود خلفیها
• ترکیبی از هر دو
همه موارد قبلی اینجا هم صادق است:
• میزان نمایش لبه انسیزالها - اگر انسیزورهای بالا در زمان لبخند خیلی معلوم نیست باید آنها را اکسترود کنیم، اما اگر در زمان لبخند خیلی معلوم است نباید این کار را کرد.
• میزان مشخص بودن لثه - مثل همان لبه انسیزال دندانهای بالا است. اگر لثه خیلی معلوم است، اکسترود انسیزورهای بالا صحیح نیست.
• مارجین لثه - در صورت نیاز، اکسترود نمودن دندانها باعث دیده شدن بیشتر مارجین لثه میشود.
• طرح لبخند (قوس لبخند) - وقتی اپن بایت قدامی بخاطر یک عادت باشد، لبه انسیزورها با لب پایین همخوانی ندارد، لذا اکسترود آن مفید خواهد بود.
اکسترود یا اینترود نسبی - این حرکت به راحتی انجام میشود و نیاز به کار خاصی ندارید.
اگر اینترود نسبی مد نظر است فقط با تیپ باکالی دندانها به راحتی به آن میرسید.
اگر اکسترود نسبی مد نظر است فقط با تیپ لینگوالی دندانها به راحتی به آن میرسید.
با تیپ شدن دندانها باعث اینترود یا اکسترود آنها میشویم و کاملاً حرکتی قابل پیش بینی است. بنابراین عقب کشیدن قدامیها یا بستن فضای بین آنها در بیماران دیپ بایت، ناهنجاری را بدتر میکند، لذا در چنین مواردی باید در طرح درمان خود به اینترود نمودن قدامیها هم فکر کنیم تا مانع بدتر شدن دیپ بایت بشویم. (شکل 56-6 و 57-6).

شکل 56-6

شکل 57-6
اگر برای رفع کرادینگ مجبور به پروترود نمودن قدامیها هستیم، اتوماتیک وار بایت باز میشود، لذا اگر بیمار دیپ بایت باشد چون بایت باز میشود خیلی خوب هم میشود. (شکل 58-6 و 59-6).
اگر پروترود نمودن قدامیها در بیمار اپن بایت باشد که مشکل بیمار تشدید هم میگردد، لذا در این مورد باید به اکسترود نمودن مطلق قدامیها هم فکر نمود.

شکل 58-6

شکل 59-6
- این حرکات نسبت به نوع نسبی آن پیچیدهتر است. البته به این معنی نیست که امکان آن وجود ندارد. سوپرایمپوز نمودن عکسها به ما نشان میدهد که آیا اینترود یا اکسترود شدن نسبی است یا مطلق.
• اتچمنتهایی در هر دو سمت انسیزورهای بالا و پایین جهت اینترود نمودن آنها در راستای محور طولی دندان.
• قرار دادن اتچمنتهای خود نرمافزار برای کنترل انکوریج ناحیه پرمولری تا انسیزورها بهتر اینترود بشوند و کرو اسپی بهتر صاف بشود.
• بایت پلیت قدامی روی سینگلوم انسیزورهای بالا جهت باز کردن بایت و اکسترود راحتتر خلفیها.
• کامپوزیت قدامی روی کانینهای بالا در زمانی که اورجت بیش از 3mm است، چون دیگر انسیزورهای پایین به بایت پلیت قدامی تماس نخواهد داشت. در چنین بیمارانی، کامپوزیت روی کانینهای بالا انتخاب خوبی خواهد بود.
در درمان بیماران دیپ بایت کارهای زیر را میشود انجام داد:
- اتچمنتهایی در ناحیه انسیزورها قرار داده میشود که بتوانند اینترود بشوند و در ناحیه پرمولرها هم قرار میدهیم تا باعث گیر بیشتر الاینر بشوند. علت اتچمنتها روی پرمولر بخاطر قانون سوم نیوتن است که میگوید هر عملی عکس العملی دارد به همان میزان ولی در جهت عکس آن. به همین خاطر الاینر روی انسیزورهای پایین برای اینترود آنها نیروی اینترود کننده میگذارند، پس عکس العمل آن نیروی اکسترود کننده دندانهای خلف روی الاینر است که باعث بیرون پریدن الاینر از روی دندانهای خلفی میشود. اگر الاینر از روی دندانهای خلفی بیرون بپرد و روی آنها محکم ننشیند، اثر اینترود کنندگی آن هم کم میشود. اتچمنتها روی پرمولرها باعث گیر بیشتر الاینر و به دنبال آن اینترود بهتر قدامیها خواهند بود.
نکته: اگر برای چرخش پرمولرها نیاز به اتچمنت داشته باشید، باید بدانید که این اتچمنت اثر خوبی در درمان دیپ بایت ندارد.
اگر هر دو درمان روتیشن پرمولر و دیپ بایت را با هم دارید، باید تقدم با دیپ بایت باشد. در ابتدا اتچمنت 4mm افقی که به سمت اکلوزال بول دارد روی پرمولرها قرار دهید این اتچمنت در درمان دیپ بایت خیلی موثر است.
- اگر تمایل به اکستروژن خلف بیشتر باشد باید بایت پلیت قدامی در الاینرها روی سانترالهای بالا یا روی هر چهار انسیزور بالا تعبیه شود. با وجود این بایت پلیت، بیمار دیگر اکلوژن خلفی ندارد. اگر اورجت بیش از 3mm باشد، انسیزورهای پایین تماس با این بایت پلیت نخواهند داشت، لذا بیمصرف میشوند. در این جور مواقع باید کامپوزیت روی کانینهای بالا قرار داد. بایت پلیتهای انسیزورهای بالا که درون خود الاینر ساخته میشوند و بایت پلیت کامپوزیتی که روی کانینهای بالا قرار داده میشود، هر دو باعث باز شدن بایت و کمک به اصلاح دیپ بایت میکنند.
1. در دیپ بایتی که نیاز به اکستروژن خلف داریم - با این کار بایت دندانهای خلفی باز میشود، لذا با حذف نیروهای اکلوزال امکان اکستروژن خلفیها بیشتر میشود.
2. صاف کردن کرو اسپی پایین - در زمان صاف کردن کرو اسپی هم باید از بایت پلیت قدامی استفاده کنیم تا پرمولرها بتوانند راحت اکسترود بشوند.
3. بیماران کلاس 2/II - در بیماران low angle یعنی همین ClII/2 نیاز به بایت پلیت قدامی داریم.
4. اثر بایت پلیت - از بایت پلیت در زمان وجود کراس دندانی نیز استفاده میکنیم. در زمان خروج دندان از کراس و رسیدن به قوس باید بایت پلیت داشته باشیم تا دندانها از هم باز بشوند و بتوانند به قوس برسند.
1. دیپ بایتهایی که نیاز به اینتروژن قدام دارند - در این بیماران نباید از بایت پلیت قدامی استفاده نمود.
2. بیماران High Angle - در بیمار Long Face که در زمان خنده حجم زیادی از لثه هم معلوم میشود نباید استفاده کنیم. استفاده از بایت پلیت منجر به چرخش مندیبل و افزایش ارتفاع صورتی میشود.
یک بیمار ۱۴ ساله دختر با اکلوژن و دیپ بایت به همراه کرادینگ قدامی بالا و پایین (شکلهای 60-6 الی 62-6).

شکل 60-6

شکل 61-6

شکل 62-6
در قسمت بٌعد عمودی چک لیست به موارد زیر دقت کنید:
میزان نمایش لبه انسیزال میزان نمایش لثه مارجین لثه قوس لبخند
دیپ بایت: اینتروژن قدام بالا پایین اکستروژن خلف بالا پایین
اپن بایت: اکستروژن قدام بالا پایین اینتروژن خلف بالا پایین
اکستروژن یا اینتروژن نسبی انسیزور های پایین مطلق انسیزور های بالا
مرحله اول: به قسمت بٌعد عمودی چک لیست مراجعه کنید.
مرحله دوم: به میزان مشخص بودن لبه انسیزالی بروید.
مرحله سوم: دایره دور میزان نمایش لثه کشیدهایم چون در زمان خنده حجم زیادی از لثه مشخص است و با اینترود قدام بالا میتوانیم طرح لبخند زیباتری برای او درست نمود. پس با اینترود نمودن قدام بالا هم دیپ بایت درست میشود و هم طرح لبخند قشنگتر میشود.
مرحله چهارم: صاف نمودن کرو اسپی پایین با اینترود نمودن قدام پایین. باید کرو اسپی شدید بیمار را صاف کنیم. چون انسیزورهای پایین لینگوالی شدهاند، پروترود نمودن آنها منجر به اینتروژن نسبی آنها میشود.
به تصاویر پایان کار نگاه کنید (شکل 63-6) که کرو اسپی با کمک اتچمنتها و انکوریج صحیح صاف شده است. انسیزورهای بالا اینترود شدند تا طرح لبخند زیباتر شود. در تصاویر صورتی قبل و بعد از کار (شکلهای 64-6 و 65-6) میزان نمایش لثه خیلی کم شده و طرح لبخند هم قشنگتر است.

شکل 63-6

شکل 64-6

شکل 65-6
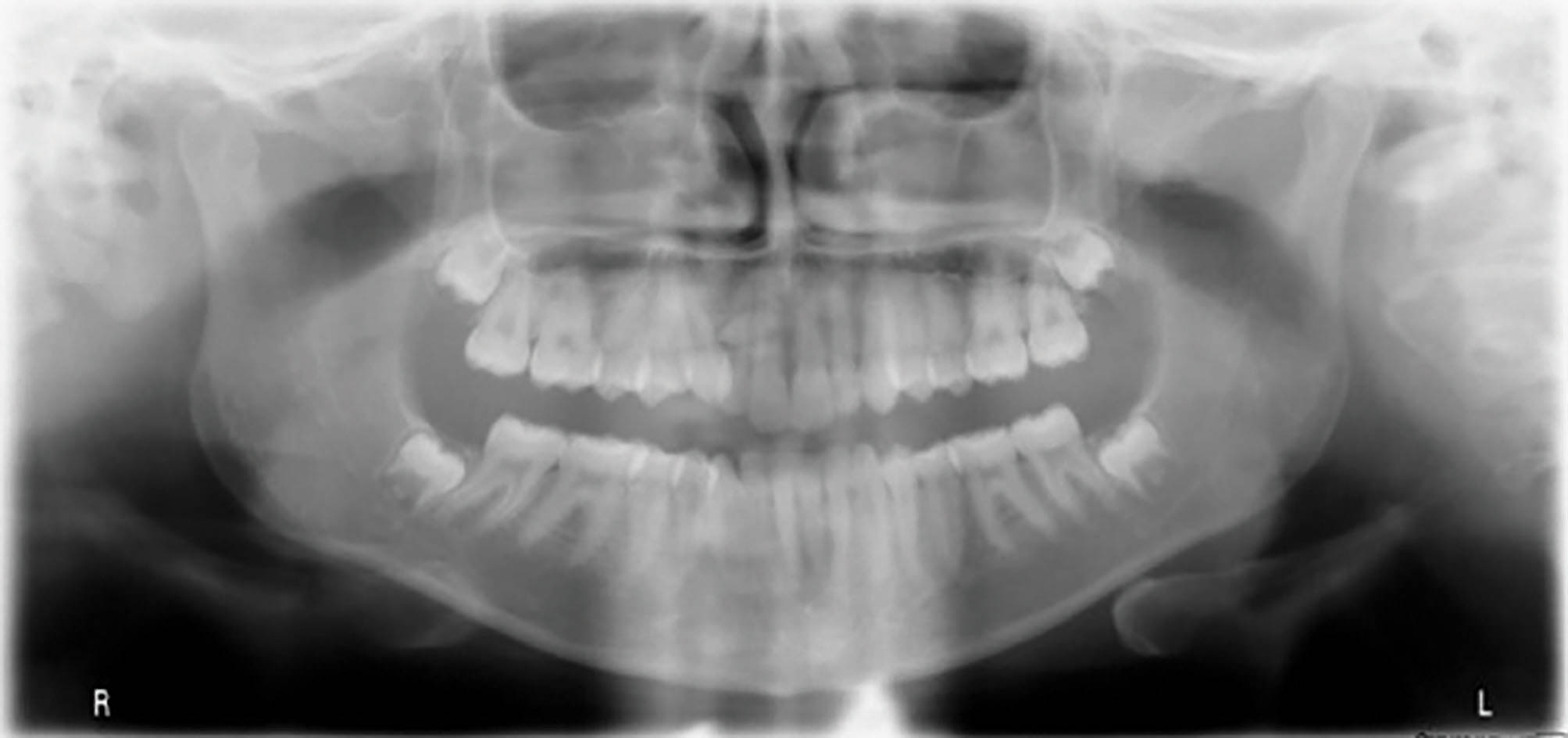
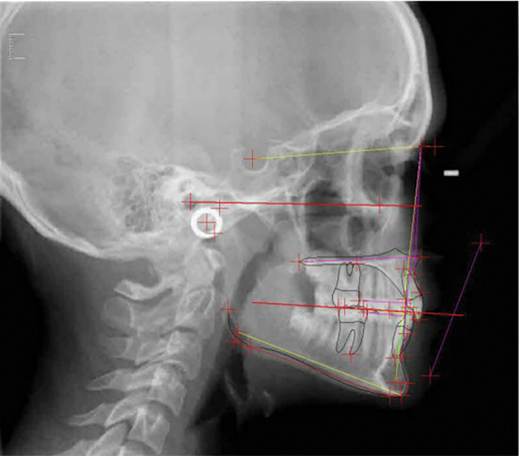
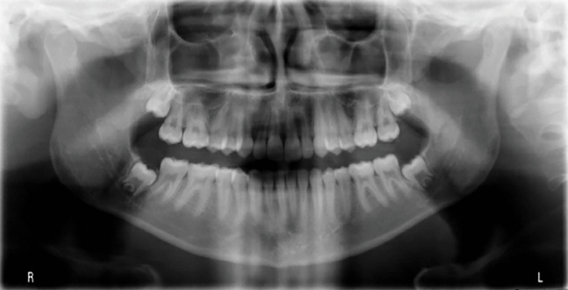
عکس OPG پایان کار (شکل 66-6) طبیعی است. سوپرایمپوز نمودن لترال سفالومتریها (شکل 67-6) پروترود شدن انسیزورهای پایین را نشان میدهد که هم برای رفع کرادینگ و هم برای اینترود نمودن نسبی قدامیها مفید بود.
درمان بیمار ۲۴ ماه به طول انجامید و یک قالب گیری مجدد نیز داش

شکل 66-6

شکل 67-6
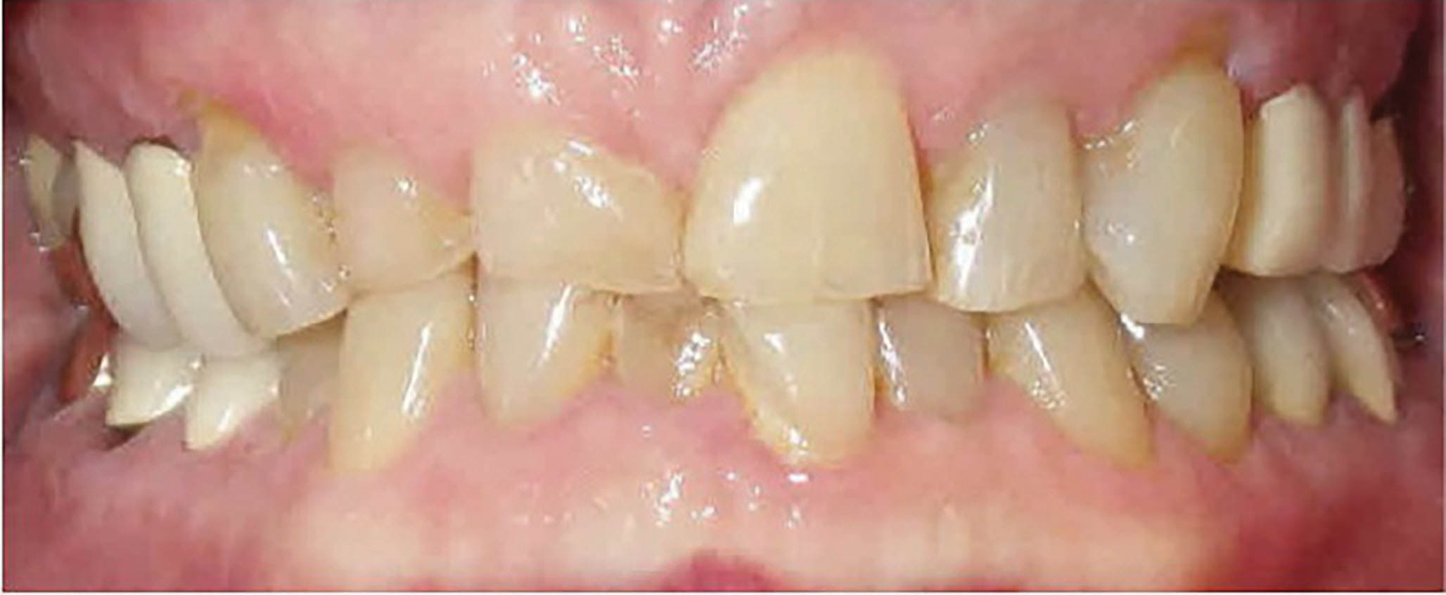
بیمار یک دختر ۱۴ ساله با اکلوژن است. دیپ بایت متوسط تا شدید و کرادینگ متوسط هر دو فک دارد و کانین راست بالا او در کراس است (شکل 68-6 الی 70-6). در این بیمار میخواهیم نحوه اصلاح دیپ بایت و کراس کانین راست بالا را بررسی کنیم.
میزان نمایش لبه انسیزال میزان نمایش لثه مارجین لثه قوس لبخند
دیپ بایت: اینتروژن قدام بالا پایین اکستروژن خلف بالا پایین
اپن بایت: اکستروژن قدام بالا پایین اینتروژن خلف بالا پایین
اکستروژن یا اینتروژن نسبی ............................ مطلق سانترال های بالا

شکل 68-6

شکل 69-6

شکل 70-6
مرحله اول: قصد داریم که دیپ بایت را با اینتروژن قدامیهای بالا و پایین درمان کنیم. سانترالهای بالا نیاز به اینتروژن مطلق دارند.
نکته: در این بیمار بایت پلیت قرار دادیم تا بتوانیم کانین را از کراس خارج کنیم.

شکل 71-6
نتایج درمان در شکلهای 71-6 و 72-6 مشخص است. هم دیپ بایت شدید و هم کراس کانین درمان شدهاند.کل درمان 16 ماه بود.

شکل 72-6
بیمارClII/2 با دیپ بایت شدید و ارتفاع عمودی کم صورت است (شکلهای 73-6 الی 75-6).

شکل 73-6

شکل 74-6

شکل 75-6
در چک لیست درمان مشاهده میکنید که انسیزورهای رترود شده بالا نیاز به اینتروژن نسبی (به کمک پروترود شدن) دارند، در حالیکه انسیزورهای پایین نیاز به اینترود شدن مطلق دارند تا کرو اسپی صاف بشود. علاوه بر این، نیاز به اکستروژن خلف هم داریم تا ارتفاع عمودی صورت بیشتر گردد. از بایت پلیتهای قدامی برای حذف نیروهای اکلوزالی (که مانع اصلاح دیپ بایت و اکستروژن خلف است) استفاده نمودیم.
میزان نمایش لبه انسیزال میزان نمایش لثه مارجین لثه قوس لبخند
دیپ بایت: اینتروژن قدام بالا پایین اکستروژن خلف بالا پایین
اپن بایت: اکستروژن قدام بالا پایین اینتروژن خلف بالا پایین
اکستروژن یا اینتروژن نسبی انسیزور های بالا مطلق انسیزور های های پایین
دیپ بایت و رابطه ClII/2 به کمک الاستیک کلاسII در طی ۴۰ ماه درمان گردید (شکل 76-6 الی 78-6). برای نحوه درمان روابط افقی به مبحث بُعد افقی مراجعه کنید

شکل 76-6

شکل 77-6

شکل 78-6
درمان اپن بایت با الاینرهای شفاف مزایایی دارد. در مقایسه با ارتودنسی ثابت، چون الاینرها بین سطح جونده دندانها قرار دارند، لذا کنترل خوبی برای بُعد عمودی به حساب میآیند و مانع اکسترود خلفیها میشوند. علاوه بر آن، میتوان به نحوی طراحی نمود تا اینتروژن خلفی رخ بدهد و مندیبل متعاقب آن بچرخد و بایت بسته بشود. میشود با اکسترود نمودن نسبی یا مطلق قدامیها هم همراه شوند، که متناسب با نیاز بیمار و طرح درمان شما میباشد.
برای موفق شدن درمان بهتر است که بیشتر به اینتروژن خلف فکر کنیم. معمولاً مولرهای بالا و پرمولرهای پایین و اولین مولر پایین اینترود میشوند.
برای اینترود نمودن نیازی به اتچمنت نداریم چون سطح اکلوزال یک سطح وسیع برای اینترود نمودن در اختیار ما قرار میدهد. اتچمنتهای افقی مستطیلی بر روی دندانهای مجاور ناحیهای که بخواهیم اینترود کنیم قرار میدهیم تا الاینر گیر کافی برای اینترود نمودن آن دندانها را داشته باشد.
برای بررسی این موارد یک بیمار بزرگسال با اپن بایت را مثال میزنیم.
یک خانم ۴۱ ساله با اکلوژن و کرادینگ خفیف در هر دو فک، به همراه اپن بایت را در شکلهای 79-6 الی 81-6 مشاهده مینمایید. اپن بایتهای قدامی با الاینرها به راحتی درمان میشوند. چک لیست او به شرح زیر است:
میزان نمایش لبه انسیزال میزان نمایش لثه مارجین لثه قوس لبخند
دیپ بایت: اینتروژن قدام بالا پایین اکستروژن خلف بالا پایین
اپن بایت: اکستروژن قدام بالا پایین اینتروژن خلف بالا پایین
اکستروژن یا اینتروژن نسبی ............................... مطلق
در این بیمار مولرهای بالا و دندانهای ۴ و ۵ و ۶ پایین را اینترود میکنیم تا به یک کرو اسپی ملایمی هم برسیم. ضمناً کمی هم قدامیهای بالا و پایین را هم اکسترود خواهیم نمود.

شکل 79-6

شکل 80-6

شکل 81-6
در موارد اینتروژن مطلق حتماً نیاز به درمان بیشتر داریم. در حرکاتی مانند اینتروژن نباید انتظار داشته باشیم که الاینرها بتوانند خیلی خوب اعمال نیرو کنند. به این دلیل از لابراتوار خواستم که مولرهای بالا و دندانهای ۴ و ۵ و۶ پایین بیشتر اینترود شوند به نحوی که عکس پایان کار به نظر 2mm اپن بایت خلفی دارد.
نکته: چون الاینرها همیشه کامل نیروی خود را اعمال نمیکنند، لذا باید همیشه حرکات بیشتری در آنها اعمال نمایید تا به آنچه در ذهن دارید برسید.
درمان کلاً ۸ ماه طول کشید. شکل 82-6 بسته شدن موفق بایت را نشان میدهد و اثری از اپن بایت خلفی که در طراحی کامپیوتری لحاظ میگردد نیست. در واقع درمان اضافه منجر به حرکات مناسب در دندانها میشود. هم به نتایج فانکشنال و هم به نتایج زیبایی خوبی دست یافتیم.

شکل 82-6
اصلاح مشکلات در بُعد عمودی دیپ بایت یا اپن بایت با الاینرها نیازمند همان اصول همیشگی است. باید انکوریج مناسبی برای الاینر در نظر بگیرید تا اینتروژن و اکستروژن قدام یا خلف صحیح رخ بدهد تا بتوانیم به نتایج مناسبی در درمان دست پیدا کنیم. در صفحه 450 موارد نیاز به درمانهای اضافه مطرح گردیده است