بُعد افقی
در این مبحث به اصلاح روابط افقی کلاسII و III میپردازیم. هر دو این موارد را جداگانه مطرح میکنیم.
در چک لیست مربوطه چهار کار برای درمان کلاسII بدون جراحی ذکر گردیده است.
این چهار کار را میتوانیم در بیماران غیر جراحی انجام دهیم.
•
جهت اعمال نیروی بین فکی در کودک در حال رشد.
•
- که در خلف بالا جهت ایجاد فضا میتواند انجام شود تا کانین را بتوانیم دیستاله کنیم تا اورجت کم بشود.
•
، معمولاً ۴های بالا، جهت اصلاح رابطه کلاسII کانینی.
•
دندانهای خلفی
.
کلاس دو: الاستیک کلاس دو استریپ کشیدن پرمولر دیستاله کردن
کلاس سه: الاستیک کلاس سه استریپ کشیدن پرمولر کشیدن انسیزور پایین
: در تحقیقی که در سال ۲۰۱3 انجام گرفت از بین ۱۱ مقاله مرتبط، در چهار مورد از الاستیک کلاسII به تنهایی استفاده نموده بودند ولی در ۷ مورد دیگر، آنها را با روشهای دیگر مانند فانکشنالهای ثابت مقایسه کرده بودند.
محقق مربوطه به این نتیجه رسید که الاستیک کلاسII در درمان ناهنجاری به صورت ترکیبی از درمان دندانی و اسکلتی اثر دارد. نتایج درمان با الاستیک کلاسII به شرح زیر است:
- در بیمارانی که الاستیک کلاسII مصرف کرده بودند، مولر اول بالا در بُعد افقی در جایگاه خودش مانده بود و تازه زاویه SNA کم هم شده بود. در واقع اثری مانند هدگیر داشتند.
- به طور متوسط 1.2mm افزایش رشد در مندیبل رخ داده بود.
- تا 5.8mm کاهش اورجت میتواند رخ بدهد.
خلاصه اینکه با مصرف الاستیک کلاسII ۶۷٪ تغییرات دندانی و ۳۷٪ مابقی اسکلتی میباشد.
نکته: چون ۳۷٪ تغییرات اسکلتی است، لذا در بیمار بزرگسال از الاستیکهای کلاسII استفاده نکنید. به همین دلیل است که استفاده از آنها در بزرگسالان خیلی کارایی ندارد.
استفاده از الاستیکهای کلاسII اثرات مخربی ندارد. در بیمارانی که ارتفاع عمودی نرمال دارند، پلن مندیبل یا اکلوزال با مصرف الاستیکهای کلاسII تغییرات چشم گیری نداشته بود.
خلاصه: استفاده از الاستیکهای کلاسII در بیماران در حال رشد برای درمان رابطه کلاسII مفید است.
در هفت مقاله بعدی که به مقایسه الاستیک کلاسII و دستگاههای فانکشنال ثابت پرداخته بود، به نتایج زیر رسیده بودند: الاستیکهای کلاسII در بلند مدت اثری مانند دستگاههای فانکشنال ثابت داشتند. به عبارت دیگر هر دو مورد در اصلاح رابطه کلاسII موثر و غیر مخرب هستند.
بر اساس این تحقیق، برای اصلاح رابطه کلاسII در بیماران در حال رشد از این پروتکل استفاده میکنیم.
از باتن روی مولر اول پایین و کانین بالا استفاده کنید، به لابراتوار بگوئید که در این ناحیه بجای هوک یک سوراخ ایجاد کند.
مرحله اول: باتن را در روز اول قرار دهید. تا زمانی که باتن را قرار ندادید از الاستیک کلاسII روی الاینر استفاده نکنید.
مرحله دوم: از الاستیک ملایم شروع کنید (یک دوم اینچ با دو انس نیرو).
مرحله سوم: اگر لازم شد به مرور نیرو الاستیک کلاسII را زیاد کنید (یک دوم اینچ با ۴ انس نیرو). اگر اختلاف کلاسII بیش از 3mm است، یا در یک دوره معقول مثلاً ۴ الی ۶ ماه رابطه مولر فرقی نکرد این کار را انجام دهید.
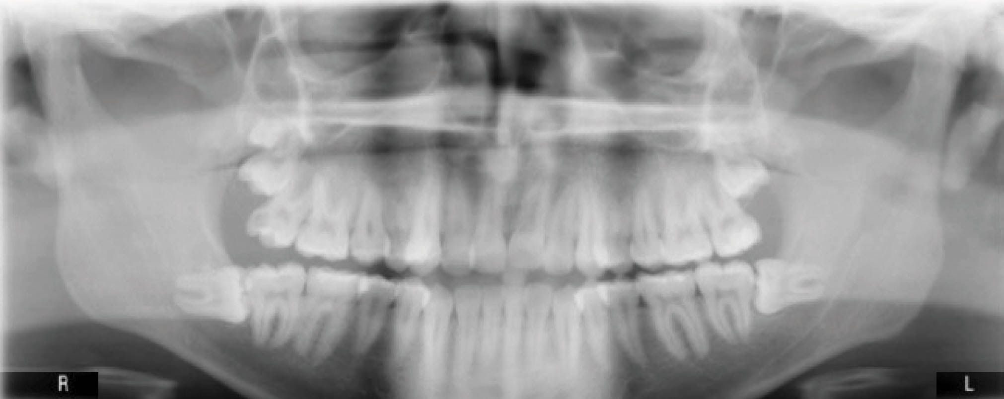
بیمار بعدی یک دختر ۱۶ ساله ClII/1 با اوربایت نرمال و اورجت زیاد است. کرادینگ مختصر دو فک دارد، قوس بالا تنگ، و پروفایل او طبیعی است (شکل 83-۶ الی 85-۶). در این بیمار از الاستیک کلاسII استفاده شده است. الگو اسکلتی طبیعی، رادیوگرافی لترال سفالومتری نشان دهنده دندانهای قدامی پروترود شده بالا با الگو طبیعی اسکلتی میباشد. رادیوگرافی OPG طبیعی است. قسمت بعُد افقی چک لیست را به این نحوه پر کردیم:
کلاس دو: الاستیک کلاس دو استریپ کشیدن پرمولر دیستاله کردن
کلاس سه: الاستیک کلاس سه استریپ کشیدن پرمولر کشیدن انسیزور پایین

شکل 83-6

شکل 84-6

شکل 85-6
از الاستیک کلاسII برای اصلاح رابطه افقی استفاده گردیده است. شروع الاستیک کلاسII بعد از مرتب شدن دندانها بود و از الاستیک ۴ انسی استفاده نمودیم چون میزان اصلاح زیاد بود.
در شکل 86-۶ بیمار در حالی که از الاستیک کلاسII استفاده میکند مشاهده میشود. معمولاً بهداشت در تمام بیماران عالی است و پیشرفت درمان هم خوب است.


شکل 86-6
نکته: بیمار در سالهای آخر دبیرستان بود و هرگز تمایلی به داشتن براکت و دیده شدن آنها در عکسهای مدرسه نداشت و ترجیح میداد که اگر با الاینر شفاف قابل درمان نیست، اصلاً ارتودنسی نکند. از آنجایی که اینگونه از جوانان خوب همکاری میکنند، لذا کاندید خوبی برای الاینرها هستند چون روزی ۲۲ ساعت باید از الاستیک کلاسII استفاده کنند. درمان کلاسII در سن دبیرستان تا حدی بخاطر رشد جواب میدهد، ولی باید بیمار را خیلی تشویق کرد تا یک درمان موفق داشته باشیم. اگر بیمار تمایل به استفاده از الاستیک کلاسII نداشته باشد، درمان موفق نخواهد بود.
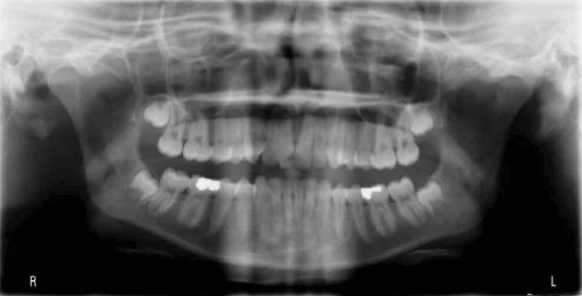
اصلاح اکلوژن در طی یک سال (شکل 87-۶) رخ داد. گرچه هنوز کلاسI نشده ولی پیشرفت درمان خوب است. در ماه ۱۶ (شکل 88-۶) رابطه مولری باز هم بهتر و بهتر میشود.

شکل 87-6

شکل 88-6
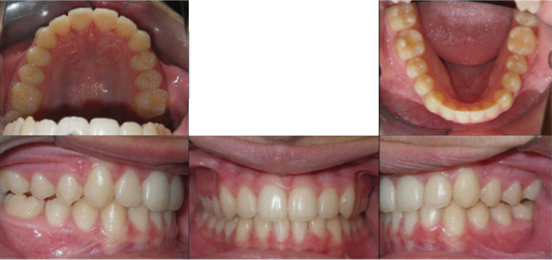
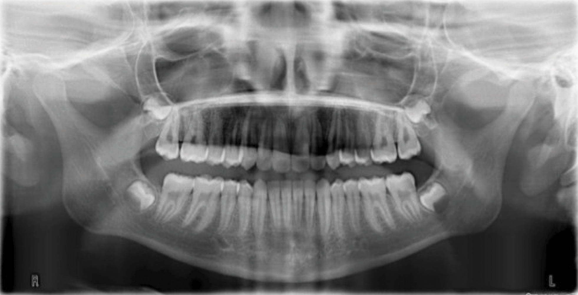
در انتهای درمان (شکلهای 89-۶ الی 91-۶) اکلوژن کلاسI شده است. دندانها مرتب شدند و اوربایت و اورجت طبیعی و به حداکثر زیبایی دست یافتیم. عکس نهایی OPG طبیعی است. مقایسه عکسهای لترال ابتدا و انتهای درمان نشاندهنده تغییر قابل ملاحظه موقعیت انسیزورهای بالا است که منجر به اصلاح اورجت گردیده است. لبخند او عالی گردید.
نتیجه: کل درمان ۲۲ ماه به طول انجامید، 45 الاینر و الاستیک کلاسII ۴ انسی.

شکل 89-6

شکل 90-6

شکل 91-6
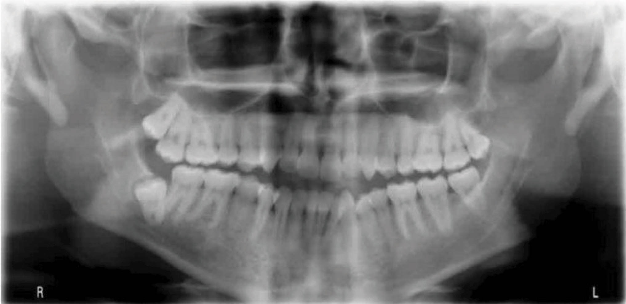
بیمار بعدی دختر ۱۲ ساله در مرحله اواخر میکس دنتیشن (شکلهای 92-۶ الی 94-۶) با اکلوژن ClII/1 است، دیپ بایت و کرادینگ دو فک دارد و لینگوالی شدن دندانهای قدامی بالا و پایین مشخص است. در (شکل 92-۶) هر دو لترال پایین را مشاهده میکنید که بلاک شدهاند. در OPG چیز خاصی مشاهده نمیشود و در لترال سفالومتری ارتفاع عمودی صورت کمی کاهش یافته و انسیزورها رترود شدهاند.
کلاس دو: الاستیک کلاس دو استریپ کشیدن پرمولر دیستاله کردن
کلاس سه: الاستیک کلاس سه استریپ کشیدن پرمولر کشیدن انسیزور پایین

شکل 92-6

شکل 93-6

شکل 94-6
بخاطر در حال رشد بودن بیمار، استفاده از الاستیک کلاسII باعث اصلاح اکلوژن میشود. اصلاح کرادینگ با اکسپنشن خلف و پروترود نمودن قدام انجام میشود. اصلاح دیپ بایت به صورت نسبی و با پروترود شدن قدام انجام میگیرد.
نکته: چون دندان ۳ بالا هنوز کامل رویش نیافته بود، لذا روی ۴ بالا باتن درست گردید. کارایی الاستیک کلاسII چه از ۳ بالا و چه از ۴ بالا شروع شود خیلی فرقی نمیکند. مطالب مربوط به بُعد عمودی در صفحه 379 و مطالب مربوط به کرادینگ در صفحه 356 بیان شدهاند.
در انتهای درمان هم کرادینگ خوب درمان شد و هم رابطه مولری درست گردید (شکلهای 95-۶ الی 97-۶). عکس OPG طبیعی و سوپرایمپوز نمودن عکسهای لترال سفالومتری نشاندهنده پروترود شدن انسیزورهای بالا و پایین میباشد.
نکته: همانطور که در مقالات در اول مبحث بیان شد، موقعیت مولر بالا و نقطه A در طول درمان فرقی نمیکند. این تغییرات مانند استفاده از هدگیر است در حالیکه با الاستیک کلاسII بدست آوردهایم. ضمناً رشد مندیبل و قدامیتر قرار گرفتن نقطه پوگونیون هم مشخص میباشد و منجر به کاهش تحدب صورت گردیده است.
نتیجه: طول درمان ۲۸ ماه با دو قالبگیری مجدد و الاستیک کلاسII ۲ انسی بود.

شکل 95-6

شکل 96-6

شکل 97-6بررسی یک مورد
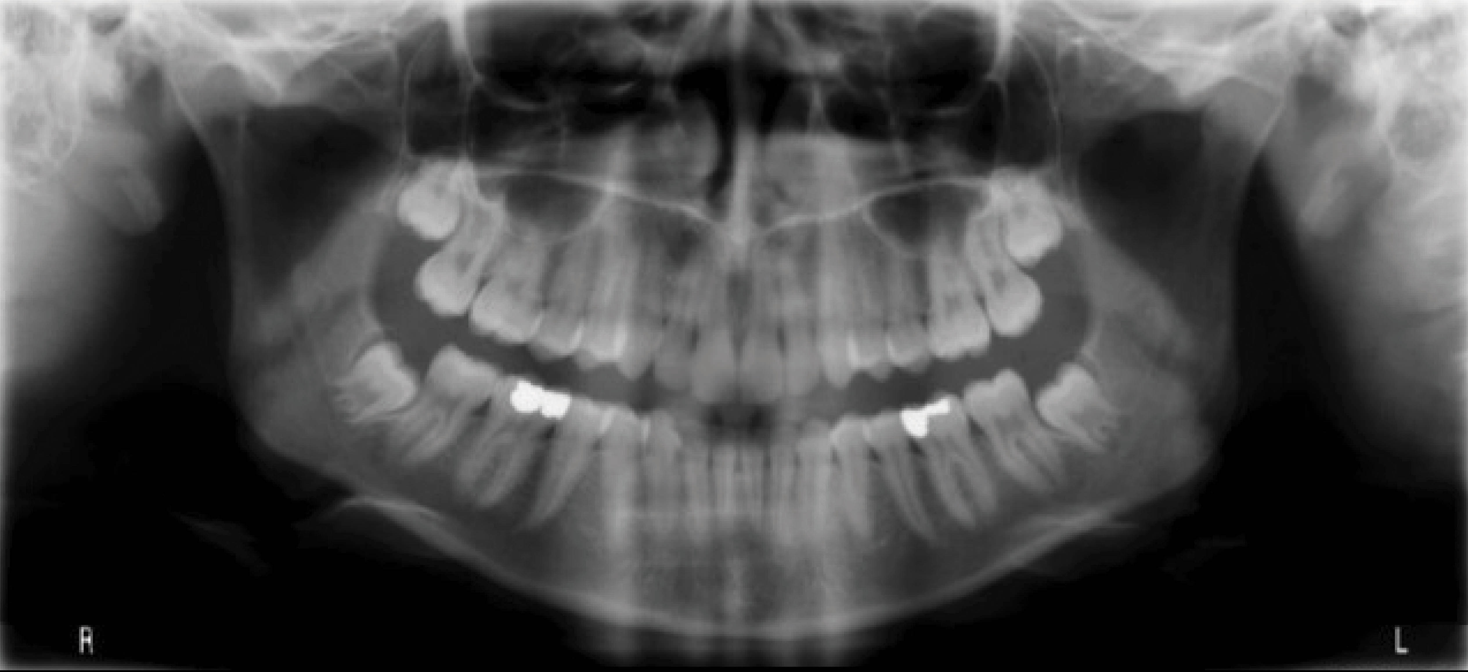
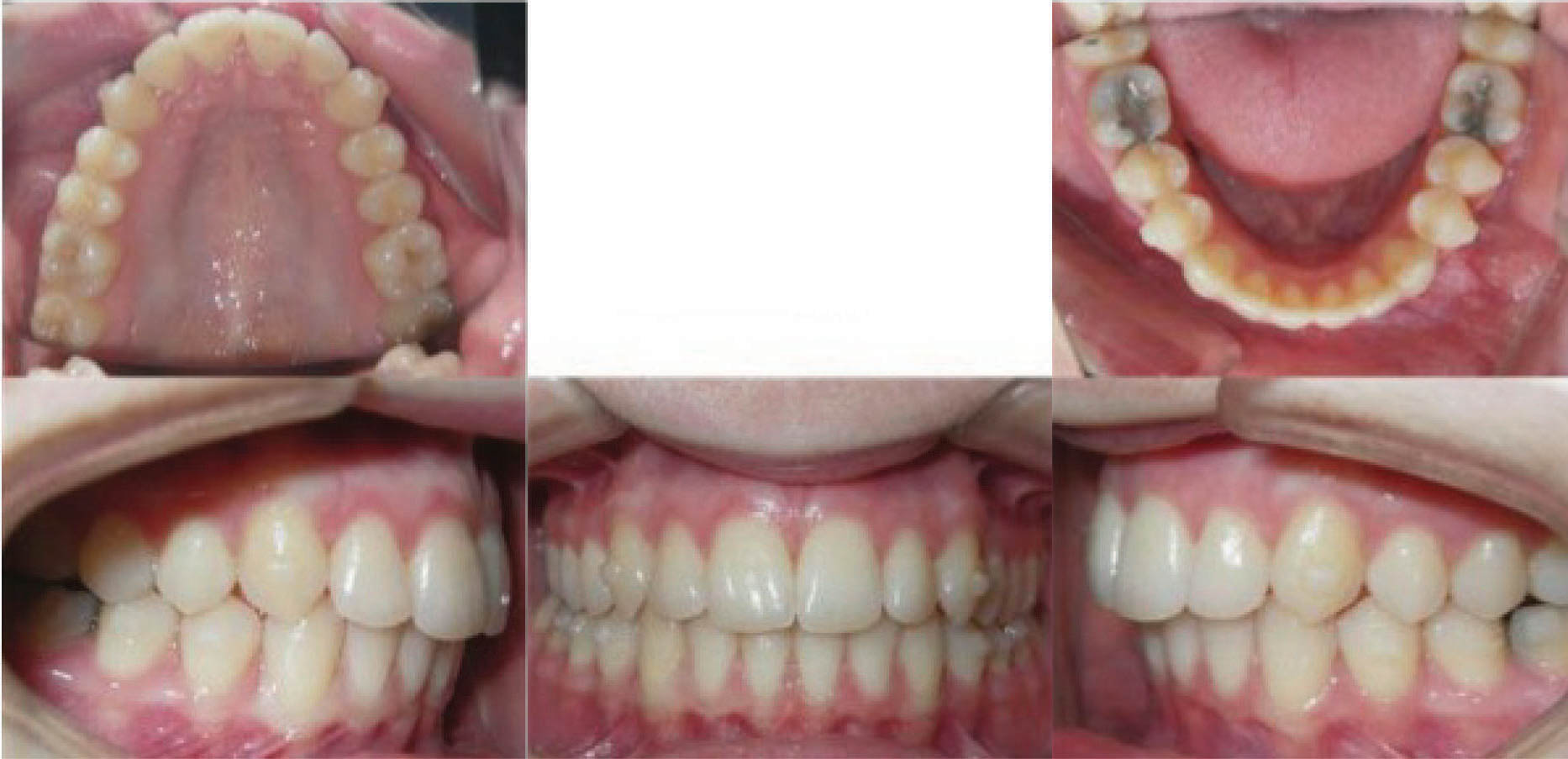
بیمار بعدی یک دختر ۱۲ ساله با اکلوژن ClII/1 و دیپ بایت است. فضا بین قدامیهای بالا و کرادینگ قدام پایین مشخص است. عکس OPG طبیعی است. لترال سفالومتری نشان دهنده رابطه کلاسII فکی و افزایش جزئی در ارتفاع صورت است (شکلهای 98-۶ الی 100-۶). به میزان زیاد لثه در زمان لبخند دقت کنید. چک لیست او به شرح زیر است:
کلاس دو: الاستیک کلاس دو استریپ کشیدن پرمولر دیستاله کردن
کلاس سه: الاستیک کلاس سه استریپ کشیدن پرمولر کشیدن انسیزور پایین

شکل 98-6

شکل 99-6

شکل 100-6
الاستیک کلاسII برای این کودک در حال رشد تجویز گردید. برای کاهش میزان لثه در گامی اسمایل اینتروژن مطلق سانترالهای بالا در نظر گرفته شده است. برای اصلاح کرو اسپی، اینتروژن قدام پایین هم انجام شد. اکستروژن خلف برای اصلاح دیپ بایت صحیح نمیباشد چون ارتفاع عمودی صورت کمی بیشتر از نرمال است.
در عکسهای پایان کار (شکلهای 101-۶ الی 103-۶) اصلاح اکلوژن کلاسII، اوربایت و اورجت طبیعی، و دندانهای مرتب مشخص هستند. مقایسه تصاویر قبل و بعد (شکلهای 104-۶ و 105-۶) نشاندهنده کم شدن گامی اسمایل بیمار است که خود شاهدی بر اینتروژن مطلق انسیزورهای بالا میباشد. عکس نهایی OPG طبیعی است و سوپر ایمپوز نمودن عکسهای لترال سفالومتری نشاندهنده ثابت ماندن موقعیت ۶ بالا و کنترل خوب روی پلن مندیبل است.
نتیجه: درمان ۲۸ ماه به طول انجامید، و ۲ قالبگیری مجدد داشتیم و از الاستیک کلاسII ۲ انسی استفاده شد.

شکل 101-6

شکل 102-6

شکل 103-6

شکل 104-6

شکل 105-6
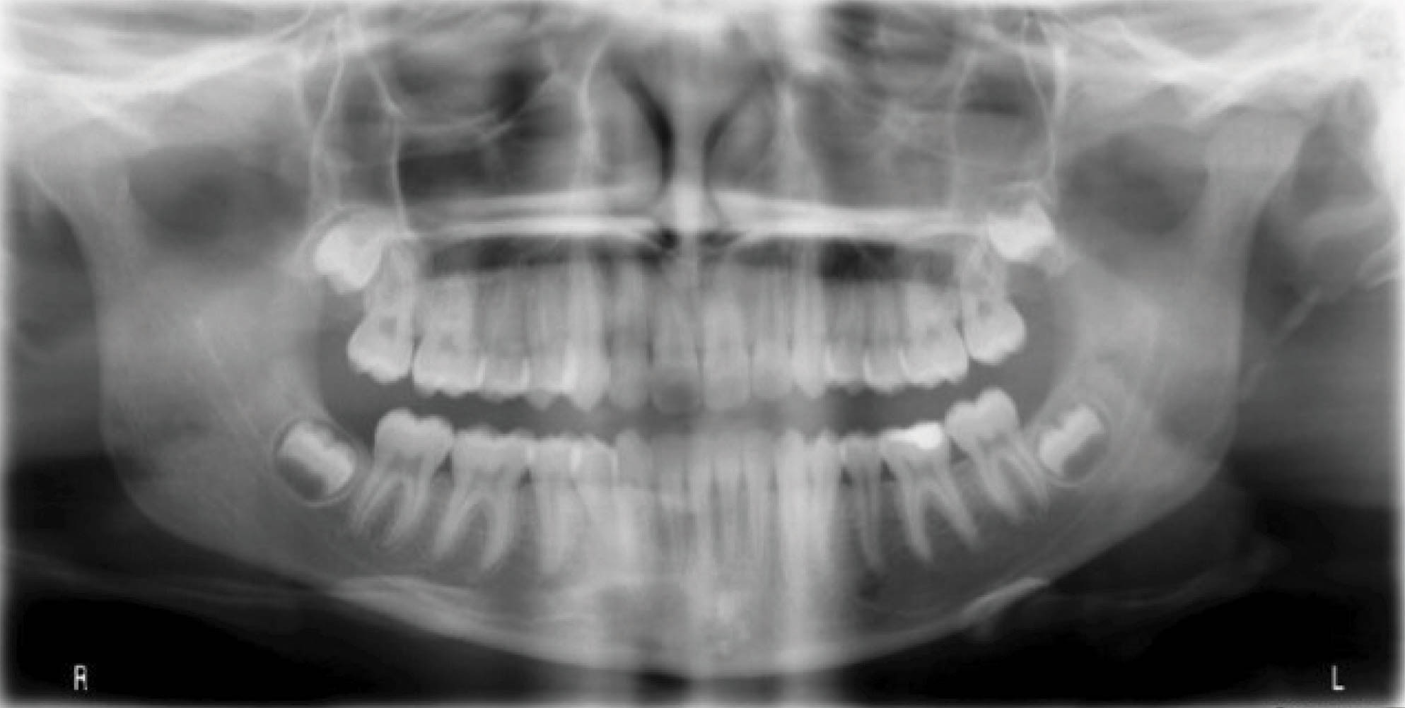
بیمار بعدی (شکلهای 106-۶ الی 108-۶) یک دختر ۱۱ ساله با اکلوژن ClII/1 است. دیپ بایت، کرادینگ بالا و پایین با لترال بالا که لبیالی شده و فضایی ندارد مشاهده میشود. به چک لیست بیمار در بعُد افقی نگاه کنیم:
کلاس دو: الاستیک کلاس دو استریپ کشیدن پرمولر دیستاله کردن
کلاس سه: الاستیک کلاس سه استریپ کشیدن پرمولر کشیدن انسیزور پایین

شکل 106-6

شکل 107-6

شکل 108-6
دیستاله نمودن دندانهای خلفی بالا با الاستیک ۴ انسی را در نظر داریم تا هم رابطه مولری و کانینی کلاسI بشوند و هم فضا برای لترال بالا درست شود.
بخاطر دیستاله شدن خلفیها احتمال مزیاله شدن قدامیها وجود دارد، لذا باید حتماً الاستیک کلاسII بدهیم تا مانع این اتفاق بشویم. وقتی یک دندان ۵۰ درصد دیستاله شدن خود را طی میکند، نوبت دندان بعدی جهت دیستاله شدن میشود.
در شکلهای 109-۶ الی 111-۶ نتایج بدست آمده از درمان را ملاحظه میفرمایید. در سوپرایمپوز نمودن لترال سفالومتریها مشاهده میکنید که موقعیت مولر بالا ثابت مانده است درحالیکه هم رشد مندیبل و هم تغییرات دندانی را داریم. دیستاله نمودن دندانها در بیماران در حال رشد درمان خوبی میباشد.
نتیجه: درمان ۴۰ ماه به طول انجامید، با سه بار تکرار قالبگیری و استفاده از الاستیک کلاسII ۴ انسی.

شکل 109-6

شکل 110-6

شکل111-6
درمان غیرکشیدنی بیماران کلاسIII در چک لیست نشان داده شده است.
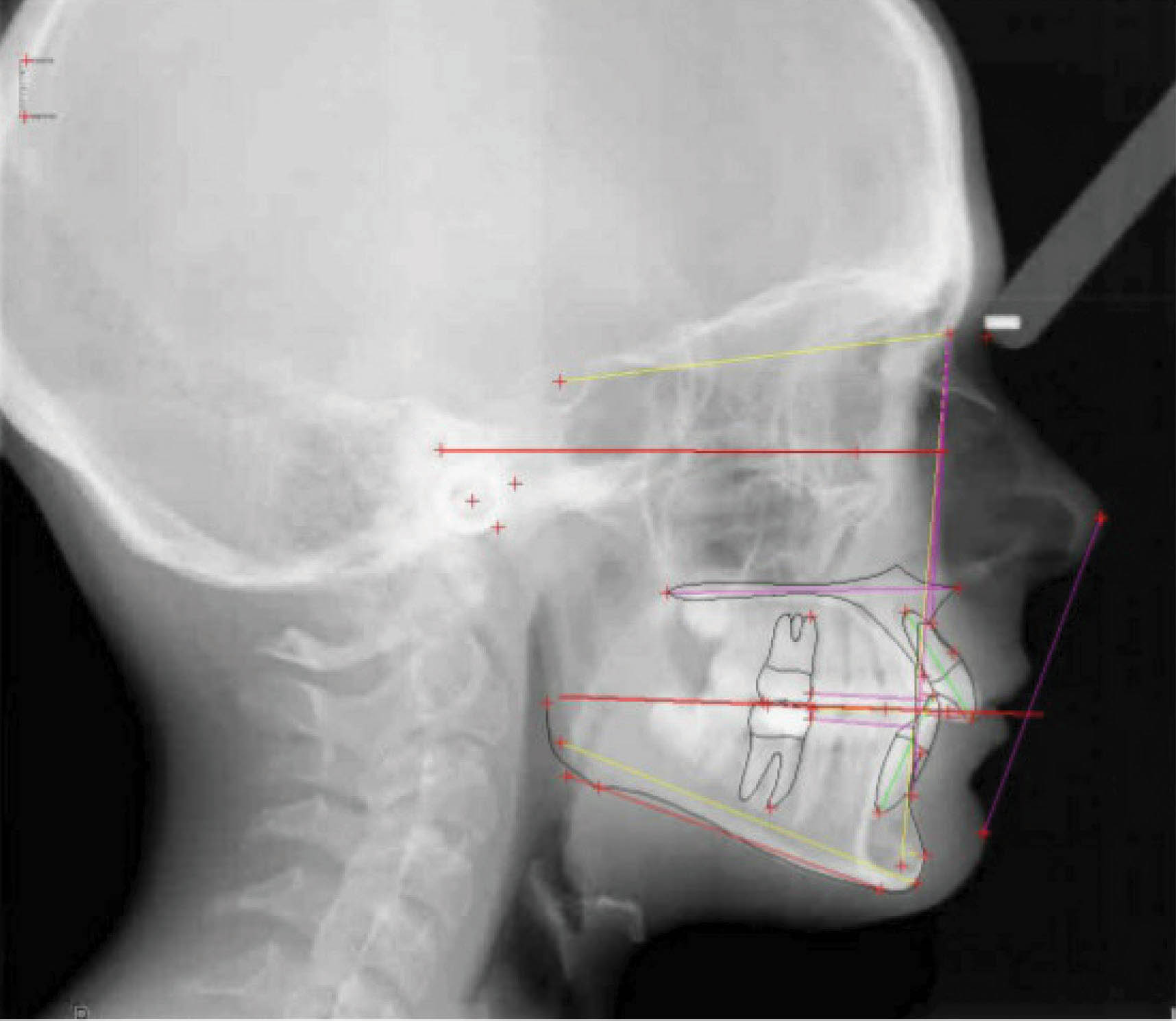
بیمار یک دختر ۱۲ ساله کلاسIII است.کرادینگ مختصر بالا و پایین، با اکلوژن تروماتیک به دندانهای قدامی بالا و پایین دارد. تصاویر ابتدای درمان (شکلهای 112-۶ الی 114-۶) اورجت معکوس را نشان میدهد. با بیمار و والدین او صحبت کردیم تا هر چه زودتر درمان را شروع کنیم تا احتمال آسیب پریودنتال به حداقل برسد. عکس OPG طبیعی است. رابطه کلاسIII در لترال سفالومتری مشخص است.
کلاس دو: الاستیک کلاس دو استریپ کشیدن پرمولر دیستاله کردن
کلاس سه: الاستیک کلاس سه استریپ کشیدن پرمولر کشیدن انسیزور پایین

شکل 112-6

شکل 113-6

شکل 114-6
با توجه به زاویه سانترالهای بالا میتوانیم به کمک الاستیک کلاسIIIانسیزورهای بالا را کمی پروترود و انسیزورهای پایین را کمی لینگوالی کنیم تا رابطه کلاسIII را تا حدی جبران کنیم.

شکل 115-6
تصاویر پایان کار بعد از هشت ماه در شکل 115-۶ مشخص است. اکلوژن بسیار عالی شده و روابط دندانهای قدامی بسیار خوب شدهاند. البته هنوز دندانهای قدامی بالا رترود هستند و بخاطر تماس شدید آنها با قدام پایین شاهد اپن بایت خلفی هستیم. در چنین مواردی، نباید الاستیکهای عمودی برای اصلاح اپن بایت خلفی در خلف بدهیم، چون بخاطر تماس شدید قدامیها به وجود آمده است. در قالب جدید درخواست تورک پالاتالی بیشتر به انسیزورهای بالا را نمودیم تا این تماس شدید از بین برود، و در عین حال درخواست ایجاد هوک هم کردیم تا بتوانیم از الاستیک کلاسIII هم استفاده کنیم (شکل 116-۶). این دو کار باعث از بین بردن تماسهای شدید در ناحیه قدام و به دنبال آن اصلاح اپن بایت خلفی شد.

شکل 116-6
در تصاویر پایان درمان (شکلهای 117-۶ الی 119-۶) اصلاح اکلوژن، بخاطر رترود نمودن انسیزورهای پایین و پروترود نمودن انسیزورهای بالا است. برای این کار از الاستیک کلاسIII ۲ انسی استفاده گردید. بافت لثه در ناحیه انسیزورهای پایین هم بخاطر حذف اکلوژن تروماتیک بسیار عالی گردید. عکس OPG طبیعی است. در سوپرایمپوز نمودن لترال سفالومتری شاهد پروترود شدن انسیزورهای بالا و رترود شدن انسیزورهای پایین هستیم، که همان هدف ما از درمان بود. بعد از سه سال استفاده از نگهدارنده، کمی رشد نامتقارن به سمت چپ در مندیبل مشاهده گردید، ولی اکلوژن کماکان عالی است (شکل 120-۶).
نتیجه: کل درمان ۱۹ ماه به طول انجامید، یک بار مجدداً قالبگیری انجام شد و الاستیک ۲ انسی استفاده گردید.

شکل 117-6

شکل 118-6

شکل 119-6

شکل 120-6
بیمار دارای اکلوژن کلاسIII با کرادینگ مختصر در هر دو فک است (شکلهای 121-۶ الی 123-۶). قرار بود که هم درمان ارتودنسی و هم درمان جراحی برای بیمار انجام شود. چون بیمار تمایلی به جراحی نداشت، لذا به راههای غیرجراحی بیشتر فکر کردیم. بخاطر شدت ناهنجاری در بُعد افقی تصمیم به کشیدن دو پرمولر پایین و استفاده از الاینر شفاف گرفتیم.
کلاس دو: الاستیک کلاس دو استریپ کشیدن پرمولر دیستاله کردن
کلاس سه: الاستیک کلاس سه استریپ کشیدن پرمولر کشیدن انسیزور پایین

شکل 121-6

شکل 122-6

شکل 123-6
به این نتیجه رسیدیم که فک بالا را غیرکشیدنی به کمک اکسپنشن خلفی و استریپ دندانها درمان کنیم. در فک پایین هم با کشیدن ۴های پایین فضای کافی برای رفع کرادینگ و اصلاح اورجت بدست میآوریم.
پیشرفت درمان را در (شکل 124-۶) مشاهده میکنید. در این مرحله، مزیالی نمودن مولر دوم شروع میشود.
نکته: اختلاف ارتفاع تاج سانترالهای بالا را مشاهده نمایید. در صفحه 462، به نحوه اکسترود نمودن مطلق سانترال چپ بالا با استفاده از الاستیک عمودی روی یک دندان اشاره کردهایم.

شکل 124-6
در انتهای درمان (شکل 125-۶) در قوس پایین تمام فضاها بسته شدهاند. رابطه کانینی کلاسI گردید. رابطه مولری نیز یک کاسپ کامل کلاسIII است. نتایج بدست آمده برای یک درمان غیرجراحی بسیار عالی شده است. عکس OPG پایان کار (شکل 126-۶) ریشههای موازی را نشان میدهد.

شکل 125-6

شکل 126-6
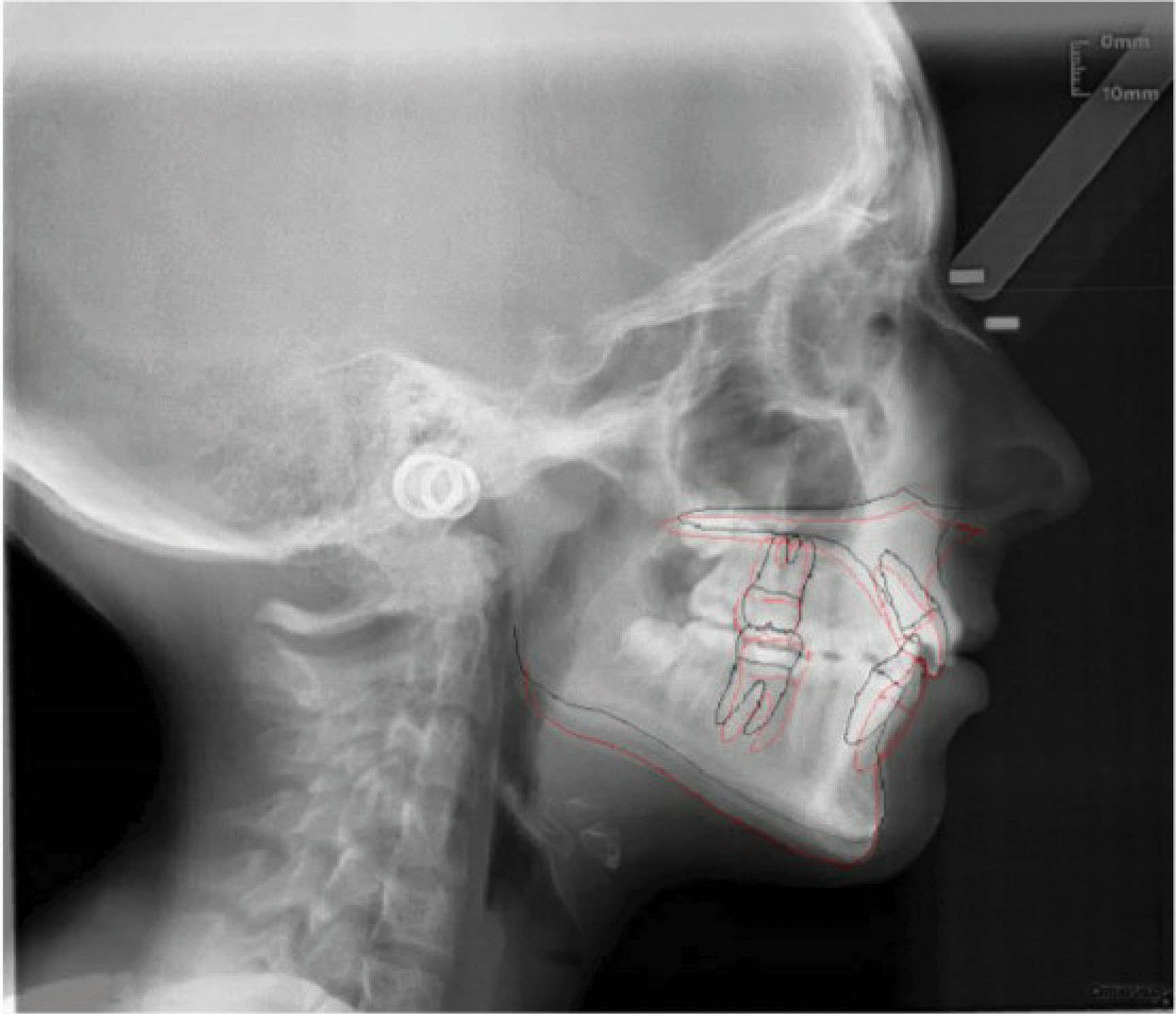
بیمار بعدی دارای اکلوژن کلاسIII، مندیبل پروگناتیک، ماگزیلا رتروگناتیک، با کرادینگ متوسط در هر دو فک است. عکس لترال سفالومتری نشان دهنده اختلاف ساجیتالی و رابطه کلاسIII قابل ملاحظهای میباشد (شکلهای 127-۶ الی 129-۶).

شکل 127-6

شکل 128-6

شکل 129-6
طرح درمان شامل مرتب نمودن دندانها بهمراه جراحی دو فک میباشد. پروترود نمودن انسیزورهای پایین فضای کافی برای مرتب نمودن آنها ایجاد نمود و در عین حال جبران دندانی برای آماده سازی اتاق عمل را نیز از بین برد.
در نظر گرفتن امکان استفاده از الاستیک کلاسIII برای بعد از عمل مفید است.
کلاس دو: الاستیک کلاس دو استریپ کشیدن پرمولر دیستاله کردن
کلاس سه: الاستیک کلاس سه استریپ کشیدن پرمولر کشیدن انسیزور پایین
شکل 130-۶ هفته بعد از جراحی را نشان میدهد. جراح از مینی اسکرو در دو قوس برای حفظ ثبات درمان استفاده نموده است. این بدین معناست که دیگر نیازی به قرار دادن آرچ بار یا براکت روی دندانها قبل یا بعد از عمل نیست.
بعد از جراحی بیمار، نیاز به یک بار قالبگیری مجدد شد. عکسهای پایان کار در شکلهای 130-۶ الی 132-۶ مشاهده میشوند.

شکل 130-6

شکل 131-6

شکل 132-6
هیچ وقت فکر نمیکردم یه روزی درمانهای کلاسII و III به صورت روتین با الاینرهای شفاف قابل انجام باشد. گرچه هر بیماری منحصر به فرد است، ولی امید دارم که این مبحث توانسته باشد بعضی از درمانهای رایج کلاسII و III را به شما نشان داده باشد. استفاده از چک لیست درمان در الاینرهای شفاف منجر به یک طرح درمان عالی و نتایج بسیار خوبی میشود.