برای درمان مشکلات بُعد طرفی با الاینرهای شفاف ملاحظات متعددی وجود دارد:
- در مواردی که تنگی فک در یک بیمار کلاسI مشاهده میشود (شکل 133-6 و 134-6) میتوانیم برای رفع کرادینگ اکسپنشن بدهیم.
اکسپنشن برای چنین بیماری مفید است. البته در زمان دادن اکسپنشن باید به این موضوع فکر کنید که چگونه باید دندانها را اکسپنشن داد. با الاینرهای شفاف فقط میشود تاج دندانهای خلفی را باکالی نمود. در بیماری که تاجها پالاتالی باشند اینکار عالی میشود.
در چنین بیماری نیاز به تورک باکالی ریشه نداریم، ولی اگر بیماری باشد که زاویه دندانهای خلفی در بُعد باکولینگوالی خوب باشد و شما آنها را باکالیتر کنید، در این موقع کاسپهای پالاتالی آنها اکسترود و کاسپهای باکالی آنها اینترود میشوند. اگر چنین چیزی مطلوب نیست، بهتر است که از لابراتوار بخواهید که تورک باکالی ریشه هم به دندانها بدهند تا در جمع یک حرکت بادیلی داشته باشید.

شکل 133-6

شکل 134-6
در بیمار دیگری (شکل 135-6 و 136-6) نیز که تاج دندانهای خلفی پالاتالی است، اکسپنشن خلفیها مفید بوده و به رفع کرادینگ نیز کمک میکند. چنین بیماری نیاز به تورک باکالی ریشه هم ندارد.
حرکات تیپینگ نیاز به کار و ملاحظه خاصی ندارند و با الاینرها به راحتی انجام میشوند.

شکل 135-6

شکل 136-6
- اگر بیماری کراس بایت خلفی دارد در اولین گام باید مشخص کنیم که آیا کراس بایت اسکلتی یا کراس بایت دندانی است. در بیمار شکل 137-6 و تصویر کامپیوتری وی در شکل 138-6 مشاهده میشود که کراس بایت در سمت راست دندانی است، بنابراین برای این بیمار میشود با الاینر کار کرد.

شکل 137-6

شکل 138-6
وقتی دو طرف ناحیه کراس بایت دندانی شما دندان دارید، بطور مثال دندانهای کانین و ۷ راست بالا در تصویر 139-6، از این دندانها بعنوان انکوریج میتوانید استفاده کنید. نتیجه درمان (شکل 140-6) اصلاح کراس بایت در سمت راست را نشان میدهد.
نکته: اگر کراس بایت اسکلتی دارید عاقلانه نیست که آن را با دستگاههایی که روی دندانها نصب میشوند مانند براکت یا الاینر درمان کنیم، مخصوصاً وقتی بیماران در حال رشد را درمان میکنیم.

شکل 139-6

شکل 140-6
کراس بایت اسکلتی مخصوصاً در بزرگسالان خط قرمز الاینرها هستند. بدون جراحی هرگز قابل درمان نیستند چه با براکت و چه با الاینر. البته در کودکان میتوانید قبل از شروع الاینر از پیچهای RPE استفاده نمایید. در این صورت، بعداً با الاینر به نتایج بهتری از درمان دست خواهید یافت. در واقع درمان کراس بایت قبل از شروع درمان با الاینر باید انجام شود.
نکته: اگر بیماری مانند شکل 141-6 دارید که بیمار بزرگسال است و کراس اسکلتی دارد چه میکنید؟ باید قبل از الاینر، با جراحی اکسپنشن را انجام بدهید و بعد کار الاینر شفاف را شروع کنید. اگر بیمار تمایلی به درمان جراحی ندارد، شما با الاینر فقط میتوانید مابقی مشکلات را درمان کنید و کراس بایت او همانگونه تا پایان درمان میماند.
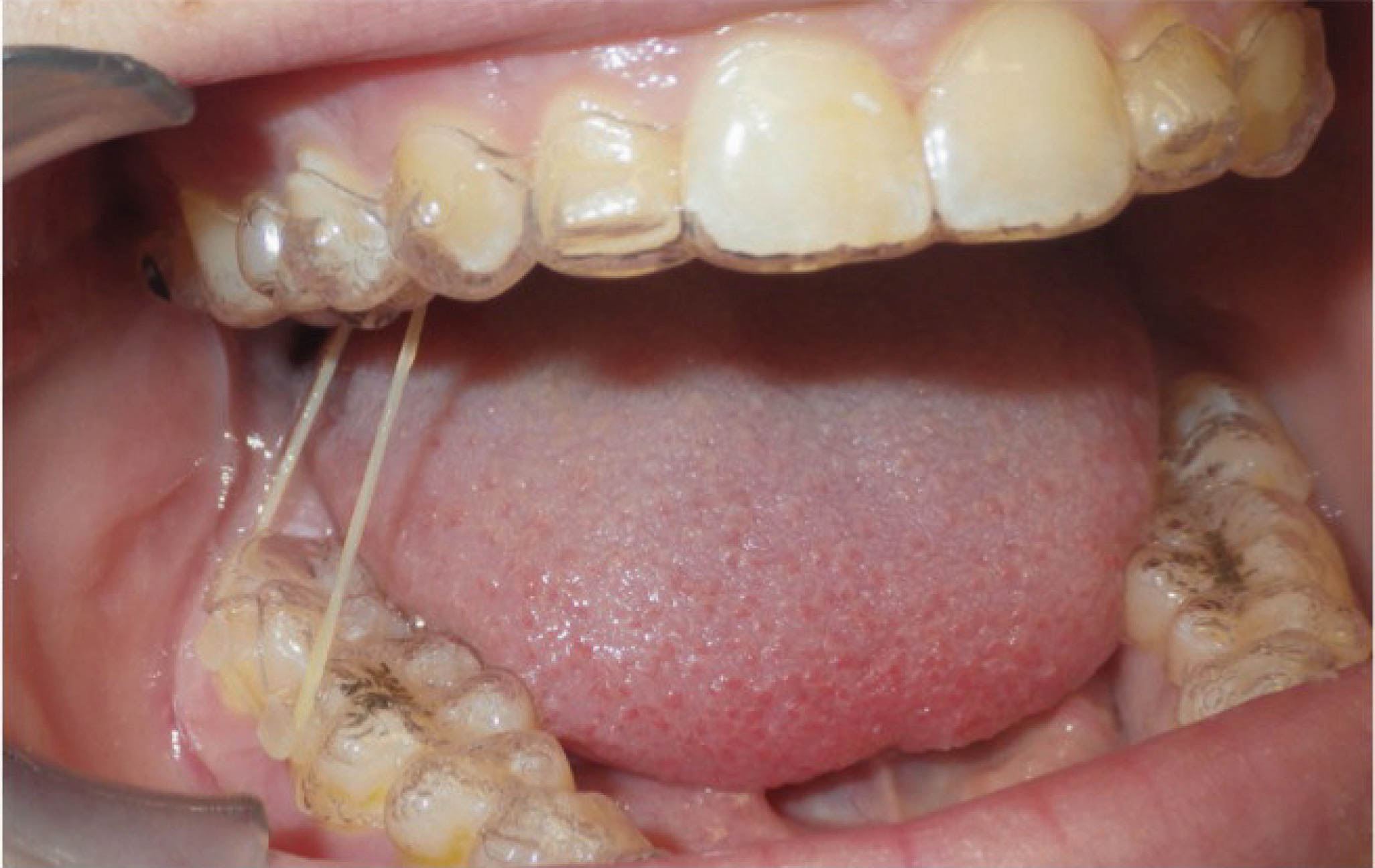
خط قرمز دیگر، کراس بایتهای یک طرفه هستند. در خیلی از بیماران میشود از کراس الاستیکها استفاده نمود. در این بیماران درخواست برش در باکال خلف پایین و پالاتال خلف بالا داده شده است. ترجیحاً از باتن استفاده کنید و الاستیک 4/1 اینچ به بیمار بدهید.(شکل 142-6).

شکل 141-6

شکل 142-6
آخرین ملاحظه در درمان کراس بایت با الاینرها، درمان اضافه است. باید مانند شکل 143-6 اضافه درمان کنید. یعنی مندیبل را بیشتر تنگ و ماگزیلا را بیشتر اکسپنش بدهید. کلاً در این موارد بهتر است که 3mm بیشتر از نرمال اکسپنشن بدهید.
درمان این بیمار به دو دلیل زیر موفق خواهد بود:
• از کراس الاستیک برای کمک به حرکت دندانها استفاده نمودیم.
• درمان اضافه نمودیم تا به هدف درمان برسیم.
امکان درمان کراس بایت دندانی وجود دارد ولی کراس بایت اسکلتی قابل درمان نیست. استفاده از کراس الاستیک و 3mm بیشتر درمان کردن شانس درمان موفق را بیشتر میکند، و نیاز به قالبگیری مجدد را کاهش میدهد.

شکل 143-6