استریپ در موارد خاصی به کار میرود. مهمترین کاربرد آن برای رفع کرادینگ است. اولین اصل در الاینرها وجود فضا برای حرکت دندان است. در بیمار 144-6، استریپ بهترین کار برای رفع کرادینگ است. چک لیست کمک خوبی به شما میکند تا تصمیم صحیح برای استریپ کردن بگیرید.

شکل 144-6
استریپ
................... قدام بالا .................. قدام پایین................. خلف بالا .................. خلف پایین
: رفع کرادینگ
پروترود نمودن موقت انسیزورهای بالا و پایین یک تکنیک مفیدی برای انجام استریپ است. در خیلی از بیماران نیازی نیست که همه دندانها کاملاً پروترود تا خیلی منظم بشوند تا اینکه قادر به استریپ کردن آنها بشویم. در بعضی از استیجها اینقدر کانتکت دندانهای قدامی مرتب است که بشود استریپ را انجام داد. پروترود بهتر است قبل از شروع ابتدا استریپ کنید و سپس اقدام به قالبگیری برای الاینر نمائید. با این کار چون تعداد استیجها کم میشود، لذا طول درمان کوتاه تر نیز میگردد. تازه شدت پروترود شدن هم کمتر میگردد، که به نوبه خود مانع تحلیل لثه و از بین رفتن استخوان میشود.
میزان استریپ قدام بالا یا پایین و خلف بالا و پایین - میزان استریپ و ناحیه آن را مشخص نمایید.
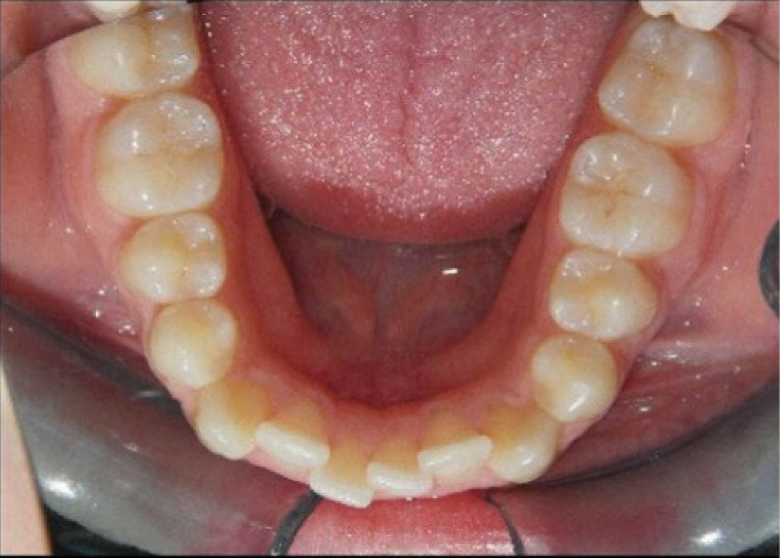
شکل 145-6 نحوه مرتب شدن دندانهای قدام پایین با 0.3mm استریپ هر کنتاکت را نشان میدهد. در پایان درمان قوس پایین کاملاً صاف شده است (شکل 146-6).

شکل 145-6
: آنالیز بولتون
دومین کاربرد استریپ اصلاح اختلاف سایز بولتون است. وقتی اختلاف سایز دندانها را بخاطر کوچکی لترالهای بالا داریم کارهای زیر را میتوانید انجام دهید:
• استریپ قدام پایین
• ایجاد فضا برای بیلدآپ لترال بالا
اگر لترال بالا خیلی کوچک نباشد و در واقع مشکل زیبایی ندارد، استریپ پایین راه حلی خوبی است تا هم آنالیز بولتون اصلاح شود و هم کرادینگهای مختصر پایین رفع گردند.

شکل 146-6
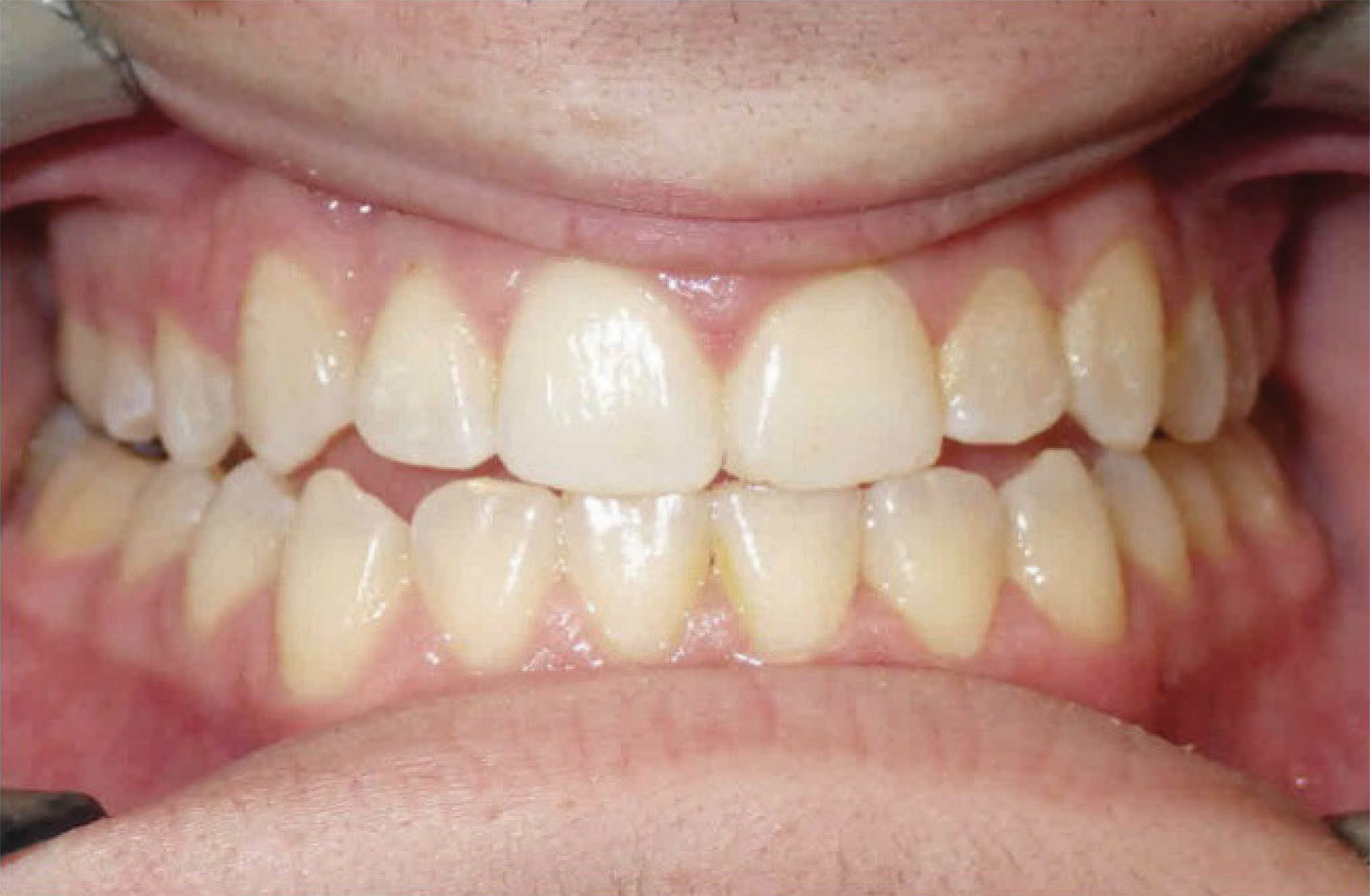
: اصلاح اورجت
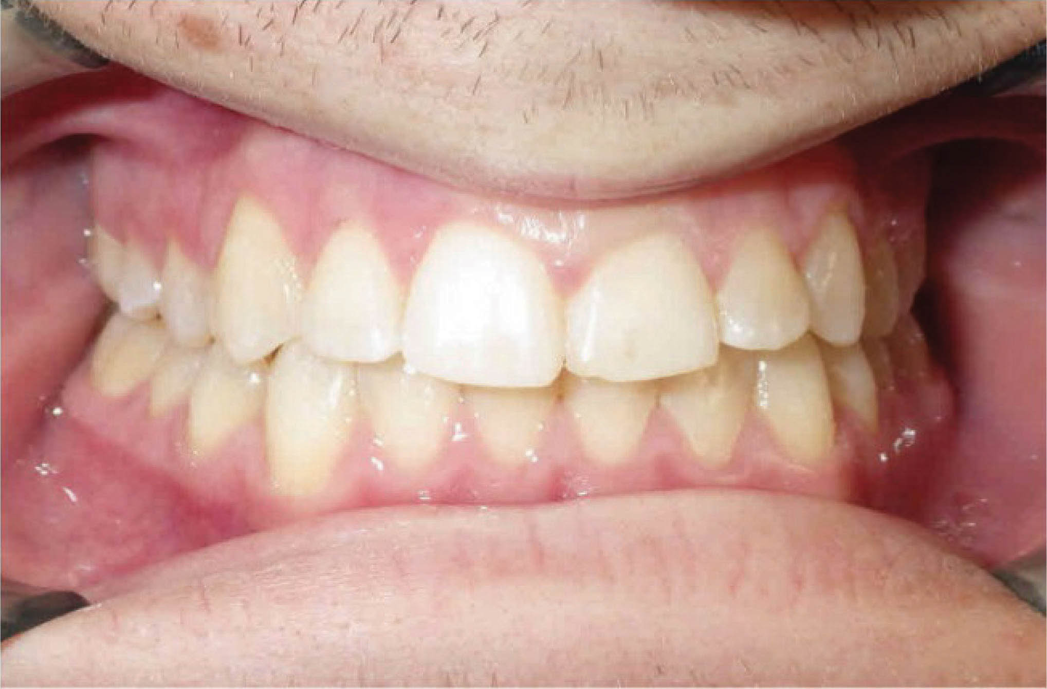
سومین کاربرد استریپ اصلاح اورجت در بیماران کلاسII یا III است. اکلوژن بیمار شکل 147-6 کلاسIII است. در این بیمار از پایین استریپ کردیم تا با حرکت خلفی قدامیها به اورجت مطلوب و رابطه کانینی کلاسI برسیم. البته در این بیمار از الاستیک کلاسIII هم استفاده گردیده است. استریپ خلفی در هر دو سمت انجام گردید.
نتایج درمان در شکل 149-6 مشخص است.

شکل 147-6

شکل 148-6

شکل 149-6
: کاهش تماسهای شدید قدامی
چهارمین کاربرد استریپ اصلاح تماسهای شدید اکلوزالی است. در بعضی از بیماران درمان شده با الاینرها با این حالت کلینیکی (شکل 150-6) روبرو میشویم. در این بیماران اپن بایت خلفی رخ میدهد. اکثر این اپن بایتها بخاطر تماس شدید دندانهای قدامی است. در چنین موارد باید از قدام پایین استریپ کنیم و آنها را عقب بکشیم تا این تماس قدامیهای بالا و پایین از بین برود. متعاقب این کار تماس دندانهای خلفی هم برقرار میشود (شکل 151-6).

شکل150-6

شکل151-6
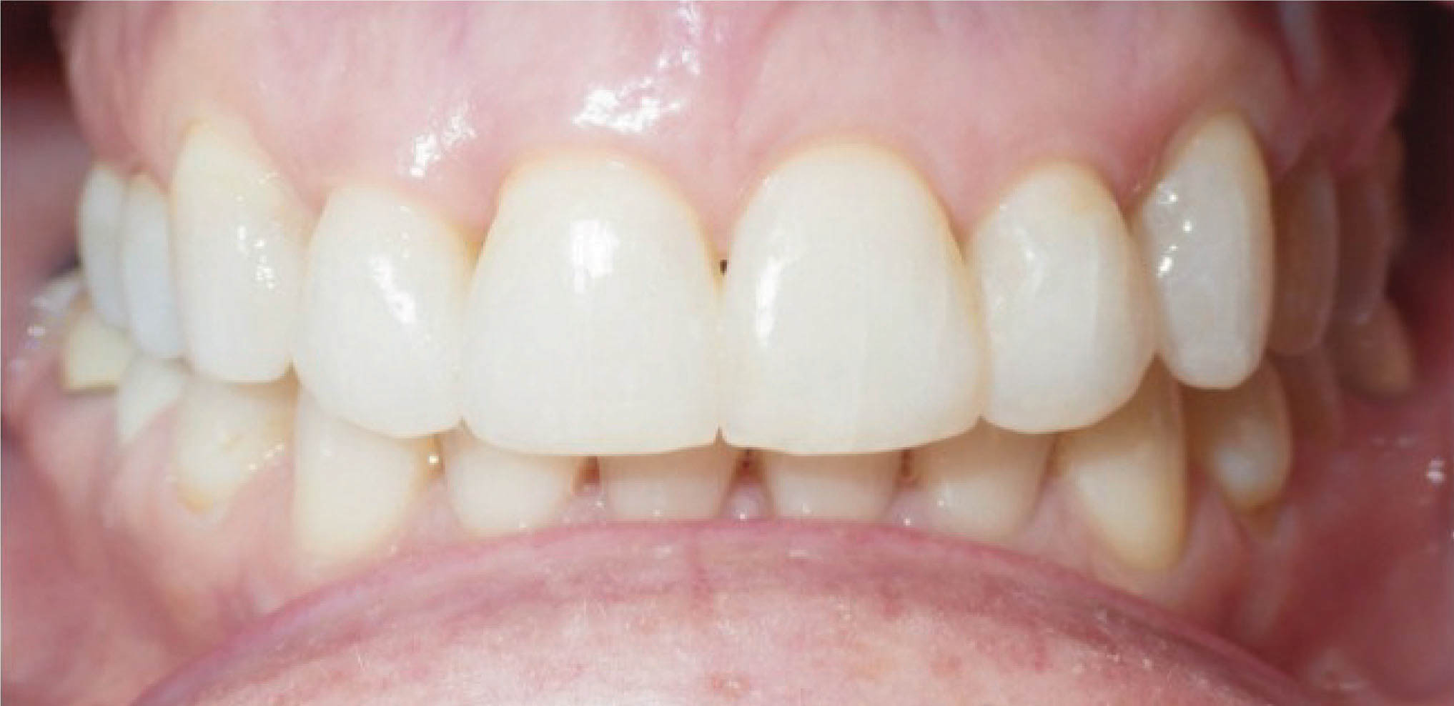
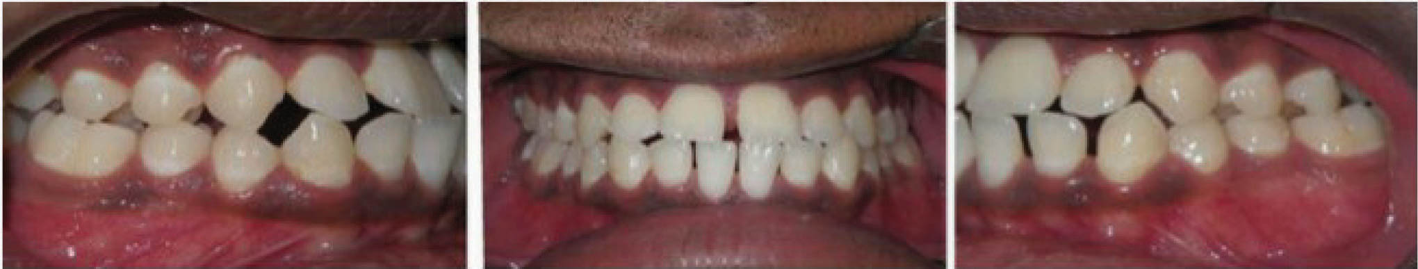
: حذف مثلث تاریک بین دندانی
با استریپ میتوان مثلث تاریک بین دندانی را از بین برد. این حالت در بیمارانی که تحلیل لثه دارند یا فرم تاج مثلثی است دیده میشود. این بیمار (شکل 152-6) از مثلث تاریکی که بین سانترالهای بالا بود ناراضی بود.

شکل152-6
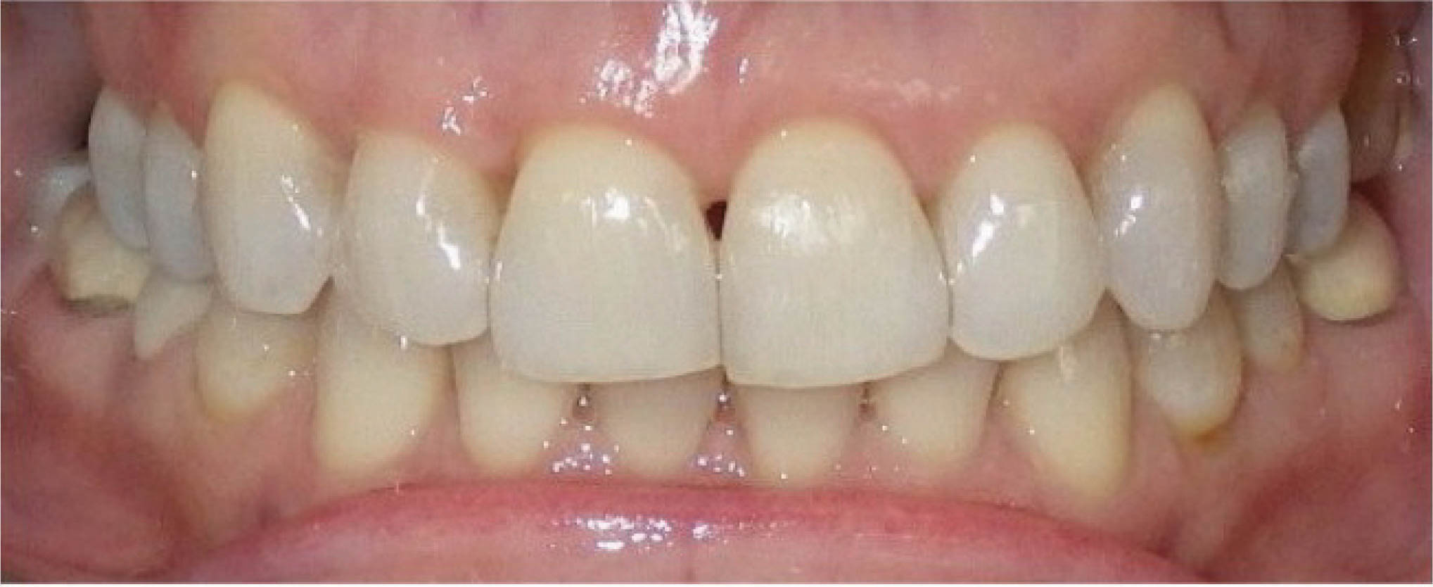
در طرح درمان کامپیوتری (شکل 153-6) استریپ بالا انجام گرفت تا با عقب کشیدن انسیزورها به ظاهر زیباتری برسیم. نتیجه درمان در شکل 154-6 مشخص است.

شکل153-6

شکل154-6
تکنیکهای متعددی برای استریپ کردن وجود دارد مانند نوار استریپ یا دیسکهای استریپ. اگر این تکنیک را دوست دارید باید از نازکترین نوار یا دیسک استفاده کنید. حرکت جلو و عقب انجام بدهید تا نوار راحت حرکت کند. بعد به نواری که کمی ضخیمتر است بروید تا کنتاکت بازتر بشود. این کار را تا ضخامتی که مد نظر دارید انجام دهید.
تکنیک دوم استفاده از دیسک استریپ با سرعت پایین است. از سمت لبیال شروع کنید و به مرور از کنتاکت به سمت لینگوال بروید. این کار مانع بروز لج میشود.
تکنیک سوم استفاده از فرزهای با سرعت بالا است. حرکت دست باید ملایم، یکنواخت و مانند برس کشیدن باشد. حتماً با آب بتراشید تا مانع گرمای دندان بشوید (این روش خیلی توصیه نمیشود).
تکنیک چهارم هم استفاده از کیتهای مخصوص استریپ که از انواع نوار استریپ با درجه سایندگی مختلف تشکیل شده میباشد.در این روش از هندپیس مخصوص که حرکت جلو و عقب میکند استفاده میشود تا کار راحتتر باشد. برای توضیح بیشتر به صفحه 100 مراجعه شود.
در حین درمان یک برگهای برای انجام استریپ و میزان آن و اینکه در چه استیجی باید انجام شود دریافت میکنید. برگه استریپ که با الاینرها دریافت میکنید را مطالعه نمایید و با روشی که مدنظر خودتان است انجام دهید. میزان استریپ را با گیجی که در کیتهای استریپ وجود دارد اندازه گیری نمایید. گیج باید یه تماس مختصری داشته باشد تا بعد از پالیش نمودن نقطه تماس، به همان حد مطلوب استریپ برسید. بعد از پالیش دوباره گیج بزنید و مطمئن شوید که دیگر گیج به راحتی از کنتاکت استریپ شده رد میشود. در این موقع میزان استریپ را در پرونده بیمار یادداشت نمایید.
نکته اول: وقتی برای بیمار نوجوانی میخواهید استریپ نمایید مطمئن شوید که در این مورد با والدین کامل صحبت کرده باشید. یک بار در اولین ویزیت و بار بعدی در زمان قالبگیری یا اسکن دندانها و نهایتاً قبل از شروع خود استریپ کردن. بعضی مواقع کودک به تنهایی به اتاق درمان میآید و بعد از استریپ وقتی به پیش والدین خود میرود، چون احتمال زخم شدن لثه و خونی بودن الاینر هست، شاید والدین خیلی نگران بشوند. معمولاً والدین صحبت در مورد استریپ در جلسات قبلی را فراموش میکنند یا شاید چنین تصوری از استریپ نداشته باشند، به همین دلیل حتماً در همان جلسه استریپ با والدین و بیمار قبل از انجام آن صحبت کنید.
نکته دوم: همیشه مقداری کمتر استریپ نمایید. اگر قرار است 0.3mm استریپ کنید، بجای آن 0.2mm استریپ کنید. در جلسات بعدی اگه کنتاکتها محکم نیستند که کماکان از الاینر باید استفاده کند ولی اگر کنتاکتها خیلی محکم شدند، آن موقع میتوانید کمی استریپ کنید تا کنتاکت تماس بهتری پیدا کند. این نوع کار کردن شانس باز ماندن کنتاکت در انتهای درمان را کم میکند.
برای استیج بندی درمان باید به دو نکته مهم دقت کنیم: زمان قرار دادن اتچمنتها و زمان استریپ کردن. استیج بندی درمان کارایی مطب را زیاد میکند. این که بیمار بیمورد به مطب مراجعه نماید کار درستی نیست. با استیج بندی درمان مراجعات بیمورد از بین میرود.
ما در مطب معمولاً ۶ تا الاینر را یکجا به بیمار میدهیم و با حساب دو هفته برای هر الاینر، بیمار هر سه ماه یکبار مراجعه میکند (البته مدلهای اخیر هفتهای یکبار تعویض میشوند). بیمار (شکل 155-6) در اولین ویزیت الاینر اول خود را در دهان قرار داد و ۵ الاینر دیگر را هم تحویل گرفت و قرار شد هر کدام را به مدت دو هفته مصرف کند. بنابراین ویزیت بعدی ۱۲ هفته (حدوداً سه ماه) دیگر میباشد. در جلسه بعدی اگر دستیار شما بگوید که در زمان الاینر هشتم باید استریپ کنیم، آن وقت بیمار ماه بعد هم باید مجدد برگردد. بنابراین ویزیت امروز کار بی فایدهای خواهد بود. پس با نگاه به چک لیست درمان و دیدن اینکه استریپ در چه زمانی باید انجام شود، میتوانید ویزیت بعدی بیمار را در همان استیج قرار دهید تا از مراجعات مکرر پرهیز شود. با این کار تعداد مراجعات به تعداد جلسات استریپ یا قرار دادن اتچمنت و یکی دو ویزیت دیگر نهایتاً محدود میشود که هم برای شما و هم برای بیمار عالی است.

شکل 155-6
مواقعی وجود دارد که کارهای ناهمگون می بایستی انجام دهیم. مثلاَ دندانی هم باید تورک باکالی ریشه بگیرد و هم اکسترود شود. پس ابتدا برای باکالی نمودن ریشه اقدام میکنیم و بعد اتچمنت برای اکسترود کردن قرار میدهیم.
استیج بندی درمان مزایای زیر را دارد:
• کاهش تعداد مراجعات
• افزایش بازده مطب
• کاهش زمانی که برای هر بیمار میگذارید
• خوشنودی بیمار
استریپ نمودن و استیج بندی درمان موارد مهمی هستند که برای هر بیمار باید لحاظ شود. تکنیک استریپ نمودن صحیح و زمان بندی ملاقات بیمار در جلساتی که باید استریپ انجام شود یا اتچمنتی قرار دهیم منجر به ارائه درمانی بی دردسر و مناسب به بیمار میشود.