در مبحث طرح درمان به شباهتهای ارتودنسی ثابت و الاینرها پرداختیم.
مجدداَ نگاهی به براکتهای ثابت می اندازیم. در سیستمهای پریاجاستد زوایای تورک، تیپ، In/Out، و روتیشن درون براکتها تعبیه شده است، با این ذهنیت که وقتی یک آرچوایر را درون شیار براکت قرار بدهیم باعث مرتب شدن تمام دندانها میشود. همانطور که همه میدانیم استریتوایر واقعاً باعث صاف شدن بی دردسر دندانها نمیشود. یعنی در بعضی بیماران نیاز است که تغییرات در سیم یا جایگاه براکتها بدهیم.
علت این تغییرات به شرح زیر است:
• اختلافات آناتومیکی بین بیماران
• اختلاف در سایز، شکل و آناتومی دندانها
• اختلافات اسکلتی بیماران
• میزان آزادی سیم با براکت
همین اختلافات در درمان با الاینرها هم صادق است. دقت کنیم که ما در حال ارائه یک درمان ارتودنسی به بیمار هستیم چه با براکت چه با الاینر. گرچه میزان زیادی از دانش و مهندسی در هر الاینری وجود دارد اما بخاطر اختلافات آناتومیکی و ژنتیکی در بیماران باید مراقب درمان تک تک بیماران بعنوان پزشک معالج او باشیم.
درمانهای اضافه حول این پنج مورد انجام میگیرد:
• دیپ بایت
• اپن بایت
• تیپ
• تورک
• اکسپنشن
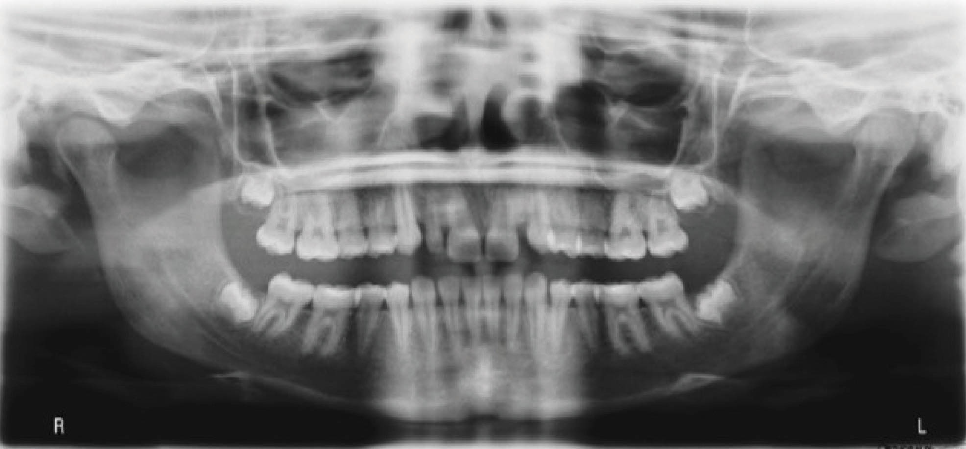
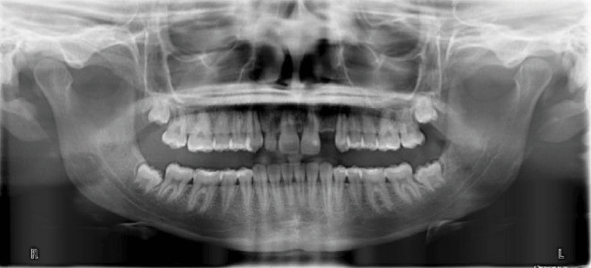
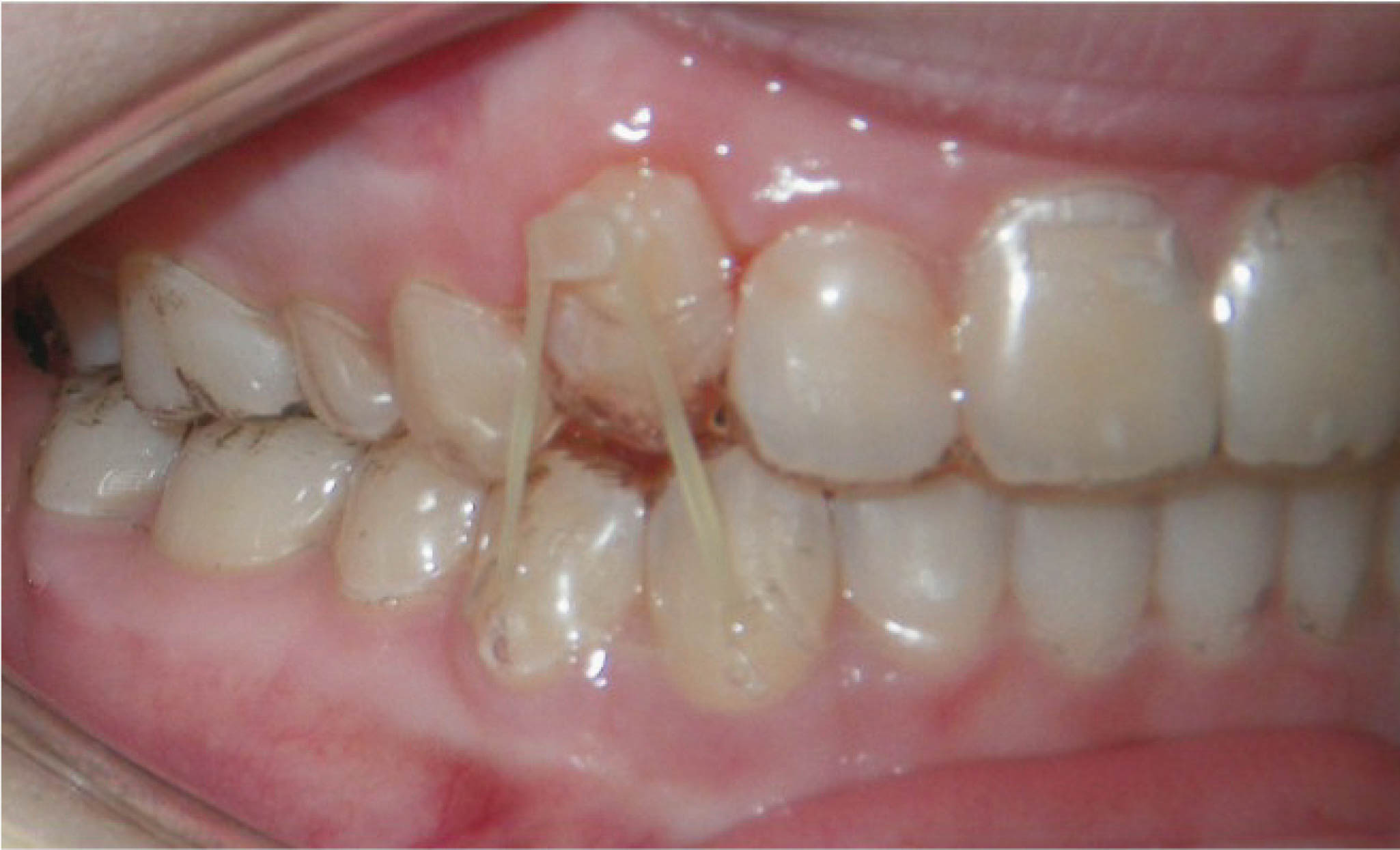
در صفحه 379 در مورد درمان بُعد عمودی صحبت نمودیم. در این مبحث به درمان اضافه دیپ بایت برای رسیدن به یک درمان پایدار صحبت خواهیم نمود. در بیماری که دیپ بایت دارد (شکل 156-6) معمولاً در زمان ارتودنسی ثابت از سیمهای ریورس کرو اسپی برای صاف کردن قوس اسپی استفاده کنیم (شکل 157-6)

شکل 156-6

شکل 157-6
سوال اینجاست که وقتی براکت بیمار استریتوایر است، چرا از سیم استریت (صاف) استفاده نمیکنیم و سیم کِرودار میگذاریم؟ همه میدانیم که این کِرو در سیم یک اعمال نیرویی میکند تا باعث صاف شدن کِرو اسپی بشود. در واقع دست پر میگیریم تا به آن حدی که میخواهیم برسیم.
همین نظریه در الاینرها هم صادق است. برای درمان اضافه دیپ بایت باید به لابراتوار بنویسیم که “اوربایت نهایی را صفر در نظر بگیرد”.
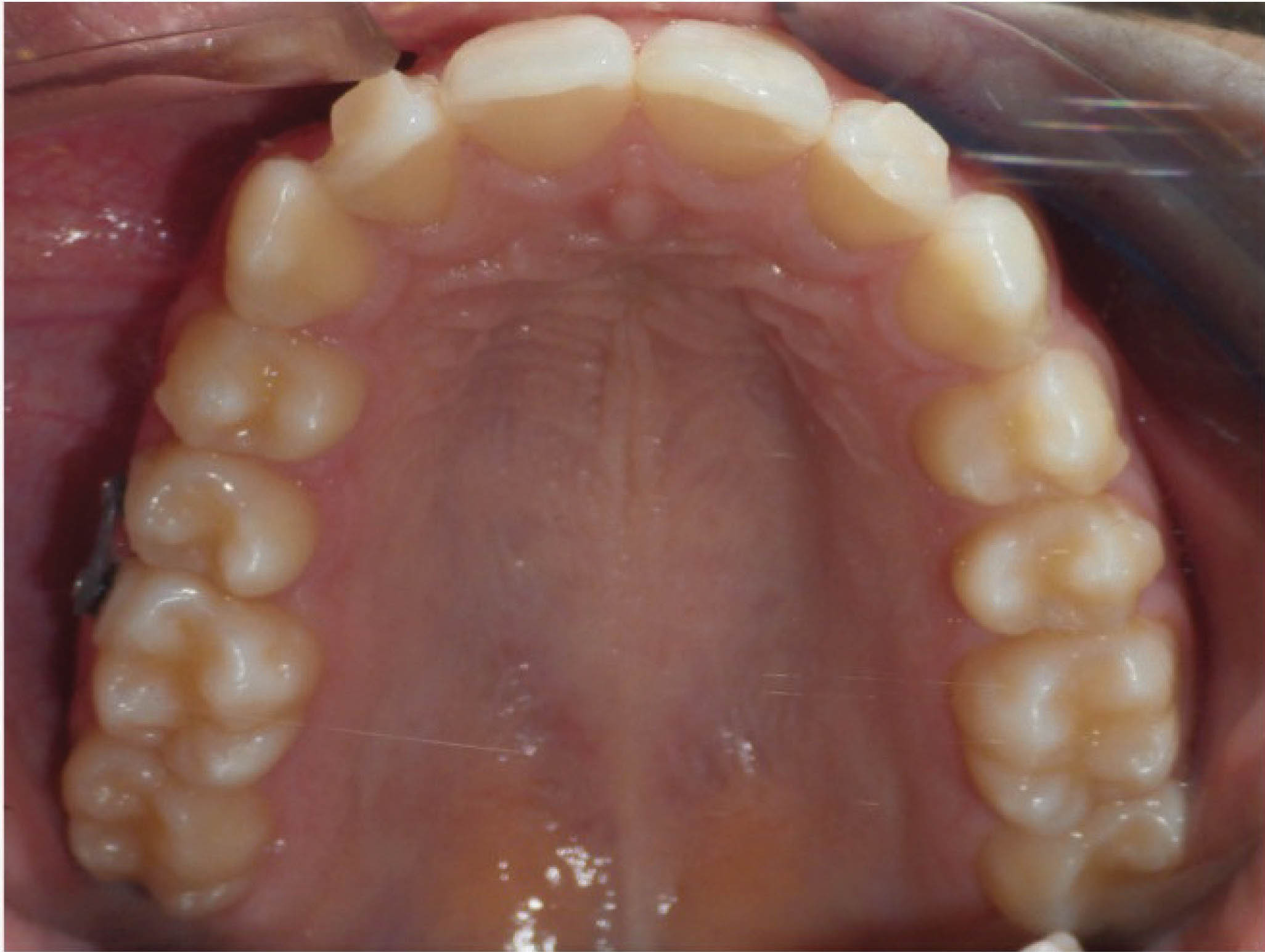
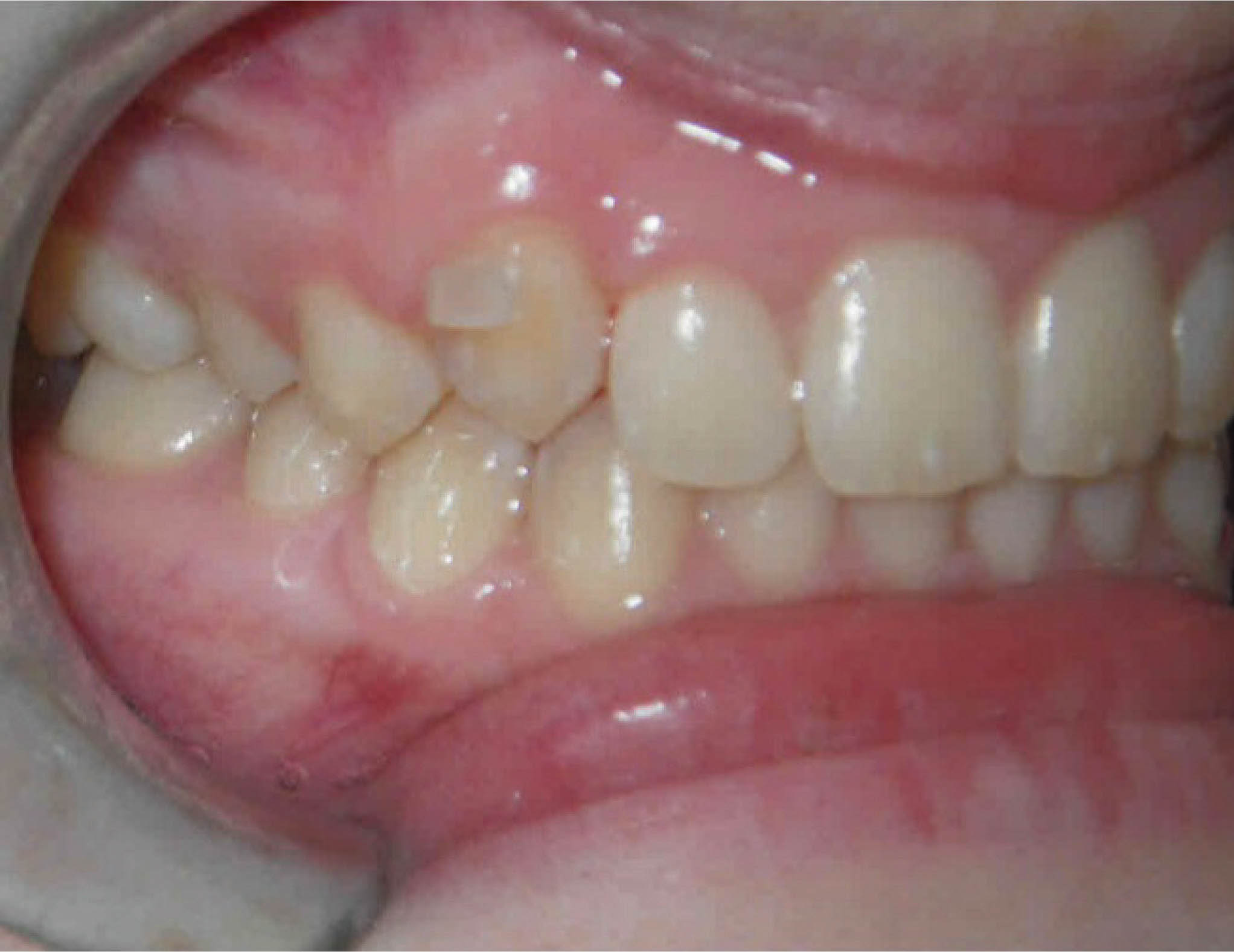
با این دستور، لابراتوار درمان اضافه روی مدل کامپیوتری انجام میدهد و اوربایت نهایی را صفر در نظر میگیرد. برای چندمین بار تکرار میکنیم که آنچه بعنوان طرح کامپیوتری میبینید، وضعیت نهایی دندانها نخواهد بود بلکه نوع اعمال نیرو برای رسیدن به یک وضعیت مطلوب است. این وضعیت مشابه همان سیم کِرودار است که وضعیت چیدمان دندانها در پایان کار نمیباشد بلکه نوع اعمال نیرو برای رسیدن به یک وضعیت مطلوب است. همانطور که در بیمار 158-6 مشاهده میکنید، در انتهای درمان کِرواسپی معکوس مشاهده نمیشود، بلکه کِرواسپی صاف و اوربایت طبیعی گشته است. در طراحی این بیمار اوربایت را صفر در نظر گرفتیم تا به اوربایت طبیعی دست پیدا کنیم.

شکل 158-6
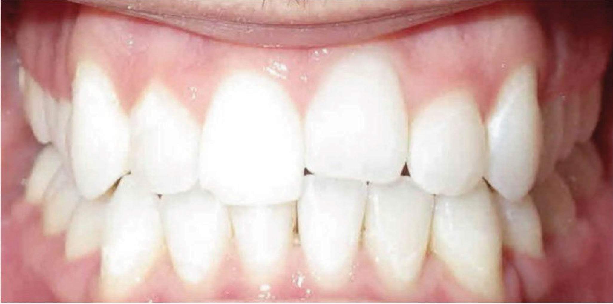
بیمار بعدی هم همین گونه است (شکل 159-6) و 2mm اینتروژن بیشتر برای انسیزورهای بالا و پایین در نظر گرفته شده تا اوربایت صفر بشود (شکل 160-6). در پایان درمان (شکل 161-6) کرو اسپی صاف و اوربایت طبیعی گشته است و به نتایج زیبایی و فانکشنال خوبی دست پیدا نمودهایم.
نکته: لطفاً در طرح درمان کامپیوتری تمام بیماران دیپ بایت، اوربایت صفر را در نظر بگیرید.

شکل 159-6

شکل 160-6

شکل 161-6
بیمار بعدی (شکل 162-6) یک بیمار اپن بایت قدامی است. برای او 2mm اینتروژن بیشتر خلف بالا را در نظر گرفتیم تا 2mm اپن بایت خلفی بدهد. اینتروژن یک حرکت مشکلی است و نمیشود میزانی که در کامپیوتر میبینیم را در دهان هم شاهد باشیم. به همین دلیل خلف بالا را بیشتر اینترود میکنیم تا اقلاً به همان حدی که حداقل است برسیم.

شکل 162-6
اگر این اپن بایت خلفی را با پایان درمان بیمار شکل 163-6 مقایسه کنید، متوجه میشوید که این بیمار اصلاً در پایان درمان اپن بایت خلفی ندارد. این بهترین مثال برای درک این مطلب است که تصاویر کامپیوتری در واقع نشانی از نحوه اعمال نیرو هستند و ربطی با اکلوژن پایان کار ندارند. همیشه میزان بیشتری اینتروژن میدهیم چون همیشه همین قدر اینتروژن رخ نمیدهد و نیاز به درمان بیشتر داریم تا به حداقلی که میخواهیم برسیم.
یک قانون کلی برای بیماران این چنینی این است که همیشه 2mm بیشتر دندانهای خلفی را اینترود کنید.
کار دیگری که در چنین بیمارانی میتوانیم انجام دهیم (البته برای این بیمار انجام ندادیم)، اکسترود نمودن دندانهای قدامی بالا و پایین است تا به حداکثر تماس برسند، که در واقع این کار هم یک درمان اضافه به حساب میآید. در واقع انتظار حداکثر تماس را نداریم، اما چون میدانیم که همیشه به اون حدی که در تصویر میبینیم نمیرسیم، لذا قدری دست پر میگیریم.

شکل 163-6
ده درجه تیپ اضافه و اگر فضا برای بستن داریم باید ۳۰ درجه تیپ اضافه در نظر بگیریم. به طور مثال در بیمار شکل 164-6 که لترال چپ بالا را ندارد، طرح درمان شامل دیستاله نمودن کانین چپ بالا تا رسیدن به اکلوژن است تا فضای کافی برای ایمپلنت لترال ایجاد شود. به دستوری که به لابراتوار داده شده نگاه کنید: لطفاً ریشه کانین چپ بالا را ۳۰ درجه بیشتر دیستالی کنید. چون نیرو، خارج از مرکز چرخش دندان و به تاج اعمال میشود، لذا باعث ایجاد تیپینگ میشود. در این بیمار اگر کانین چپ بالا را دیستاله کنیم چون بیشتر تاج دیستاله میشود، لذا در انتهای درمان ظاهر بیمار خیلی زشت میشود. از طرفی وضعیت ریشه آن هم به نحوی نیست که بشود برای لترال ایمپلنت قرار داد.
برای کانین چپ بالا درخواست ۳۰ درجه تیپ بیشتر میکنیم ولی انتظار رسیدن به چنین تیپی را نداریم. فقط میخواهیم که نیروی مناسبی روی کانین چپ بالا باشد تا حرکت ریشه هم داشته باشیم. شکل 165-6 یک سال بعد بیمار را نشان میدهد. همانطور که در عکس OPG میبینید حرکت بادیلی کانین چپ بالا رخ داده است. در واقع هنوز یک کمی ریشه مزیالی است که در قالبگیری جدید در خواست ۳۰ درجه زاویه بیشتر نمودیم. در ماه ۲۰ درمان فضا برای قرار دادن ایمپلنت آماده شده است (شکل 166-6).

شکل 164-6

شکل 164-6

شکل 166-6
قانون کلی برای تورک ۳۰-۱۰ درجه درمان اضافه است که متناسب با بیمار شما تعیین میشود. در بیمار 167-6 باید لترالهای بالا را از کراس خارج کنیم. درمان چه با ارتو ثابت چه با الاینرها در سمت تاج رخ میدهد، لذا لترالها همیشه به سمت لبیال تیپ میشوند که میلی به این حالت نداریم. میخواهیم که این دندانها بادیلی حرکت کنند. برای این بیمار ۳۰ درجه حرکت بیشتر لبیالی ریشه لترالهای بالا در نظر گرفته شد.

شکل 167-6
تصویر 168-6 ماه ۲۲ را نشان میدهد، و میبینید که جایگاه لترال چپ بالا خوب است و ریشه هم وضعیت خوبی دارد. تورک اضافه باکالی ریشه ۳۰ درجه که به ریشه لترال بالا دادیم در دهان وجود ندارد. در واقع این میزان تورک برای جلوگیری از تیپ شدن لبیالی تاج و رسیدن به زاویه صحیح ریشه است.

شکل 168-6
در مبحث بُعد طرفی در مورد درمان اضافه بیمار با کراس بایت خلفی توضیح دادیم. قانون کلی آن هم انجام 3mm اکسپنشن اضافه است.
ابتدا باید اختلاف بین درمان اضافه و تصحیح اضافه را بیان کنیم.
تا اینجا در این مبحث، درمان اضافه پنچ مورد دیپ بایت، اپن بایت، تیپ، تورک، و اکسپنشن را توضیح دادیم. درمان اضافه از همان ابتدای درمان در طراحیها دیده میشود و تا پایان درمان به تدریج تکمیل میشود. در واقع یک اعمال نیرو بیشتر به سیستم دندانی است تا به حداقل مد نظر خود برسیم.
به مواردی اطلاق میشود که زیادتر از حد مد نظر درمان میکنیم و این درمان اضافه را در دهان مشاهده هم میکنیم و در موارد چرخش دندانها و In/Out آنها دیده میشود. همیشه در سه الاینر پایانی قرار داده میشود و با علامت مثبت مشخص میگردد. در واقع تصحیح اضافه در نواحی که ریلاپس زیاد است انجام میگیرد. با تصحیح اضافه، ریلاپس که همیشه رخ میدهد باعث بهتر شدن وضعیت بیمار و طبیعی شدن آن میشود. طبق این اصل باید همیشه روتیشن دندانهای قدامی را ۵ درجه بیشتر و In/Out را 0.2mmبیشتر تصحیح کنیم.
این دو اقدام برای کم کردن قالبگیریهای تجدید شده بسیار عالی هستند.
خلاصه مبحث
درمان اضافه بیماران یک مطلب بسیار مهم است که باید به آن تسلط پیدا نمود. اگر اصول این فصل را خوب یاد بگیرید، کارهای عالی با الاینرها ارائه خواهید داد.
به عنوان یک قانون اگر از ابتدای درمان به فکر اکلوژن و انکوریج در بیماران باشید، در انتهای درمان نیازمند الاستیک برای رسیدن به اکلوژن ایدهآل نخواهید بود.
اگر طبق یک چک لیستی کار بکنید، هم دوباره کاریها و هم عوارض جانبی درمان به حداقل خواهد رسید. اپن بایت کمتری هم در انتهای درمان خواهید دید.
مواردی هم هستند که از روی چک لیست جلو آمدهاید، ولی در وسط درمان با مشکل روبرو میشوید. در این مبحث با این مشکلات و راههای رفع کردن آن آشنا میشوید.
مهمترین عامل، اغلب نبود فضا است. وقتی روتیشن طبق مرحله الاینرها درست نمیشود، یک نخ دندان بین کنتاکتهای آن دندان بکشید و اگر خیلی محکم است کمی استریپ کنید. اغلب فکر میکنند که اگر در این مرحله هنوز درست نشده، قطعاً در الاینرهای بعدی درست میشود که فکر غلطی است و معمولاً در بعدیها بدتر هم میشود. اگر در هر جلسه مراقب محکمی کنتاکتها باشید و یک نخ دندانی بکشید، درمان بیماران سریعتر انجام میشود و احتمال دوباره قالبگیری به حداقل میرسد.
- پلایر dimple
تا حالا بیمارانی داشتید که چند درجه آخر روتیشن انسیزورهای بالا و پایین را هر کاری میکنید درست نمیشوند؟ بجای سفارش قالبهای جدید میتوانید از تکنیکی که قدیمها بود و با پلایر مخصوصی یک برجستگی درون الاینر درست میکردیم استفاده نمایید. اصلاح جزیی روتیشن در اکثر مواقع به راحتی انجام میشود.
- زایده کامپوزیتی
بعضی از روتیشنها به ایجاد برجستگی روی الاینر جواب نمیدهند. اگر کنتاکتها خیلی محکم نیست آن موقع میتوانید یک برجستگی کامپوزیتی روی دندان درست کنید تا نیروی کافی را اعمال کند. بطور مثال اگر بخواهید مزیال لترال بالا را پالاتالی کنید باید در مزیال سمت باکال قدری کامپوزیت مانند شکل گنبد درست کنید که ارتفاع آن در حد 0.5mm باشد. بعد از بیمار بخواهید که الاینر را روی دندانها قرار دهد و اگر فشار خیلی زیاد است کمی از ارتفاع آن کم کنید. از بیمار بخواهید که ۳-۲ هفته بعد مراجعه نماید. این کار هم روش عالی برای اصلاح چند درجه چرخش در پایان درمان است و نیاز به قالبگیری را کم میکند.
اگر کمی از روتیشن مانده و مشکل در رفع آن دارید، میتوانید یک نگهدارنده از جنس سختر و ضخیمتر مانند ایمپرلون درست کنید. قبل از تحویل دوباره کنتاکتها را چک کنید که محکم نباشند وگرنه باید کمی استریپ کنید. بیمار یک ماه از این نگهدارنده استفاده میکند و مجدد میآید. اگر در طی این ماه درست نشده بود، میتوانید آن زایده کامپوزیتی را هم اضافه نمایید.
- استریپ
در مورد اختلاف اکستروژن مطلق و نسبی در مبحث بُعد عمودی صحبت نمودیم. اکستروژن مطلق سختترین حرکت با الاینرها میباشد. اگر اتچمنتها درست تهیه شدهاند ولی دندان به اندازه طراحی شده اکسترود نمیشود، اولین مورد، بررسی کنتاکتهای آن با دندانهای مجاور است. طبق قانونی که در اول کتاب گفتیم، دندانها برای حرکت نیاز به فضا دارند. کنتاکتها را با نخ دندان چک کنید و اگر محکم بود استریپ کنید تا دندان بتواند اکسترود شود.
- اتچمنتهای بزرگ
اگر کنتاکتها خیلی محکم نبود، باید از اتچمنتهای بزرگ برای اکستروژن استفاده کنیم تا گیر بیشتری برای الاینر درست شود. وقتی لترال بالا طبق برنامه اکسترود نمیشود، من از یک اتچمنت 4mm مستطیلی که به سمت لثه بول شده استفاده میکنم. وقتی طول 4mm را انتخاب میکنیم دندانها راحتتر اکسترود میشوند.
- استفاده از الاستیک
وقتی بی هیچ دلیلی دندان انسیزور بالا اکسترود نمیشود، از الاستیک استفاده میکنیم. در سمت لبیال سمت لثه یک قسمتی از الاینر را می بریم و یک باتن میگذاریم. در سمت لینگوپالاتال الاینر همین دندان هم یک برش مثلثی میدهیم تا حکم یک هوک را پیدا کند. بعد کش 16/3 به بیمار میدهیم تا از باتن به هوک سمت پالاتال بندازد به نحوی که از سطح انسیزال رد بشود. این الاستیک نیرویی روی دندان میگذارد که منجر به اکسترود شدن آن به درون فضای الاینر میشود. این الاستیکها (شکلهای 169-6 الی 171-6) در درمان اکستروژن بسیار موثر هستند

شکل 169-6

شکل 170-6

شکل 171-6
- الاستیک مثلثی
درمان کانینهای خارج قوس بعضی مواقع قابل پیش بینی نیستند. در این مواقع هم باید از الاستیک استفاده نمود. یک باتن در لبیوژنژیوال کانین که الاینر آن را برش دادیم می چسبانیم و دو برش برای ساخت هوک در الاینر کانین و پرمولر اول پایین درست میکنیم. الاستیک 4/1 به بیمار میدهیم و میخواهیم که به صورت مثلثی قرار دهد. (شکلهای 172-6 و 173-6). به کمک این الاستیک، کانین بالا راحتتر درون قوس قرار میگیرد.

شکل 172-6

شکل 173-6
- باتن و الاستیک
پرمولرها بخاطر سطح محدب خود، سطح کمی برای اعمال نیرو push نسبت به دندانهای قدامی دارند. به این دلیل اصلاح چرخش آنها با الاینرها کار سختی به حساب میآید. یک راه استفاده از باتن و الاستیک است. در این حالت قبل از شروع الاینرها، باتن میگذاریم و با الاستیک دندان را چرخش میدهیم. البته من ترجیح میدهم که در حین درمان از باتن و الاستیک استفاده کنم. برش روی پرمولری که میخواهیم بچرخانیم و دندانهای مجاور آن میزنیم و باتن میگذاریم. از نیروهای ملایم الاستیکی برای اصلاح روتیشن استفاده میکنیم (شکلهای 174-6 و 175-6)

شکل 174-6

شکل 175-6
یک ادعای رایج در مورد الاینرها این است که بخاطر وجود پلاستیک بین دندانهای خلفی، اپن بایت خلفی رخ میدهد. ولی این همیشگی نیست. اکثر اپن بایتهای خلفی بخاطر تماسهای محکم دندانهای قدامی است. به نظر من اگر این موارد از همان ابتدای کار مشخص شود و در طرحهای کامپیوتری ملاحظات مربوطه را اعمال کنیم، احتمال بروز اپن بایت خلفی خیلی کم میشود. باید از ابتدا درست برنامه ریزی کنید تا در انتهای کار با مشکل روبرو نشوید.
تماسهای پیش رس و محکم دندانهای قدامی مانع اکلوژن خلفیها میشود، و عامل اصلی اپن بایتهای خلفی است. تماسهای محکم دندانهای قدامی بخاطر شرایط زیر بوجود میآید:
1-
در مبحث فضای بین دندانی، رابطه سایز دندانها (بولتون) که منجر به اپن بایت میشود را توضیح دادیم. در بیمارانی که سایز دندانهای قدامی بالا قدری کوچک است، نهایتاً در قوس کوچکتری قرار گرفته و با قدامیهای پایین تماس پیشرس برقرار میکنند. باید آنالیز بولتون را در همان ابتدای درمان انجام دهیم و اقدامات اولیه مانند استریپ قدام پایین یا ایجاد فضا در دیستال لترال بالا را همان ابتدا در نظر بگیریم. لطفاَ به مبحث فضای بین دندانی مراجعه کنید و راههای کنترل اختلاف سایز بولتون را مجدد مطالعه کنید تا از بروز اپن بایت خلفی جلوگیری نمایید.
2-
ارتودنسی با الاینر یا براکت منجر به تیپ شدن(باکالی یا لینگوالی) دندانها میشود. اگر تیپ شدن دندانهای قدامی بالا مطلوب نباشد، وقتی انسیزورهای بالا را عقب میدهید، حتماً در طرح کامپیوتری تورک اضافه پالاتالی به ریشه انسیزورهای بالا بدهید. ۲۰-۱۰ درجه تورک اضافه پالاتالی به ریشه انسیزورهای بالا مانع از بین رفتن تورک انسیزورهای بالا میشود.
3-
وقتی یک جوان متمایل به کلاسIII مراجعه میکند، باید تمایل رشدی کلاسIII را با دادن الاستیک کلاسIII و استریپ قدام پایین مهار نمود. اگر بیمار متمایل به کلاسIII داشتید حتماً به لابراتوار بگویید که هوک کلاسIII در الاینرها در نظر بگیرد.
: برش در الاینر
در تعدادی از بیماران مخصوصاً آنهایی که براکسیسم داشته باشند، بخاطر نیروهای شدید اکلوزالی کمی اپن بایت در انتهای درمان خواهیم داشت. بهترین کار بریدن الاینر از دیستال کانین یا پرمولر اول در سه الاینر آخر است. اینکار باعث تماس خوب خلفیها در هفتههای آخر درمان میشود.
: باتن و الاستیک
اگر برش الاینر در چند هفته پایانی درمان باعث بسته شدن بایت نشد، باید چند باتن روی دندانهای خلفی بچسبانید و الاستیک عمودی بدهید تا اکلوژن خلفی مجدد برقرار گردد (شکلهای 176-6 و 177-6).
مجدد تاکید میکنم که شانس بروز اپن بایت خلفی در طرح درمانهای کامپیوتری که متناسب با اصول این کتاب باشند خیلی کم است. معمولاً باتن و الاستیک به ندرت نیاز میشود. کنترل تماسهای پیشرس قدامی از همان ابتدای درمان، کلید مهمی در جلوگیری از اپن بایت خلفی است

شکل 176-6

شکل 177-6