• جلسات تعویض آرچ وایر سریعتر است.
• در ماههای اول هر 10 هفته یک مرتبه مراجعه میکنند تا دندانها مرتب شوند.
قبل از بستن درب براکت، سیم را با انگشت یا قلم جا گذاری سیم براکتهای سلف لیگیتینگ فشار بدهید تا کف براکت بخوابد، سپس با انگشتان خود مانند تصویر درب را به سمت ژنژیوال فشار دهید تا بسته شود.
• چون اورینگ ندارند تمیز شدن و بهداشت آنها خیلی بهتر است.
• با آرچ وایرهای نازک عمدتاً مرتب میشوند و اصطکاک حداقل است.
• در آنها به راحتی باز نمیشود و آرچ وایر درون شیار براکت محکم میماند.


شکل 9-7: براکتهای همرنگ
Enhance Self Ligating

شکل 10-7: تیغه مخصوص براکتهای همرنگ Self ligating

شکل 11-7: براکت سلف لیگیتینگ فلزی Passive
قبل از باز کردن درب، سیم را با انگشت به سمت دندان فشار دهید تا از درب دور شود.


1 قسمت پایینی تیغه مخصوص را (قسمت B) روی سوراخی که روی درب براکت است بگذارید و به آرامی به سمت اکلوزال بکشید.
2 شکل 2 حالتی که درب براکت کاملاً باز است را نشان میدهد.
3 و 4 اگر درب براکت به این روش باز نشد (بخاطر تشکیل جرم و پلاک میکروبی اطراف آن) قسمت بالایی تیغه مخصوص (قسمت A) را روی لبه درب براکت که بین بالچههای ژنژیوالی است قرار دهید و کمی فشار به سمت اکلوزال بدهید تا درب آزاد شود، سپس مراحل 1 و 2 را انجام دهید تا درب کاملاً باز شود.
احتیاط: قسمت پایینی تیغه را (قسمت B) روی درب محکم به سمت دندان فشار ندهید چون احتمال لِه کردن درب را دارد.
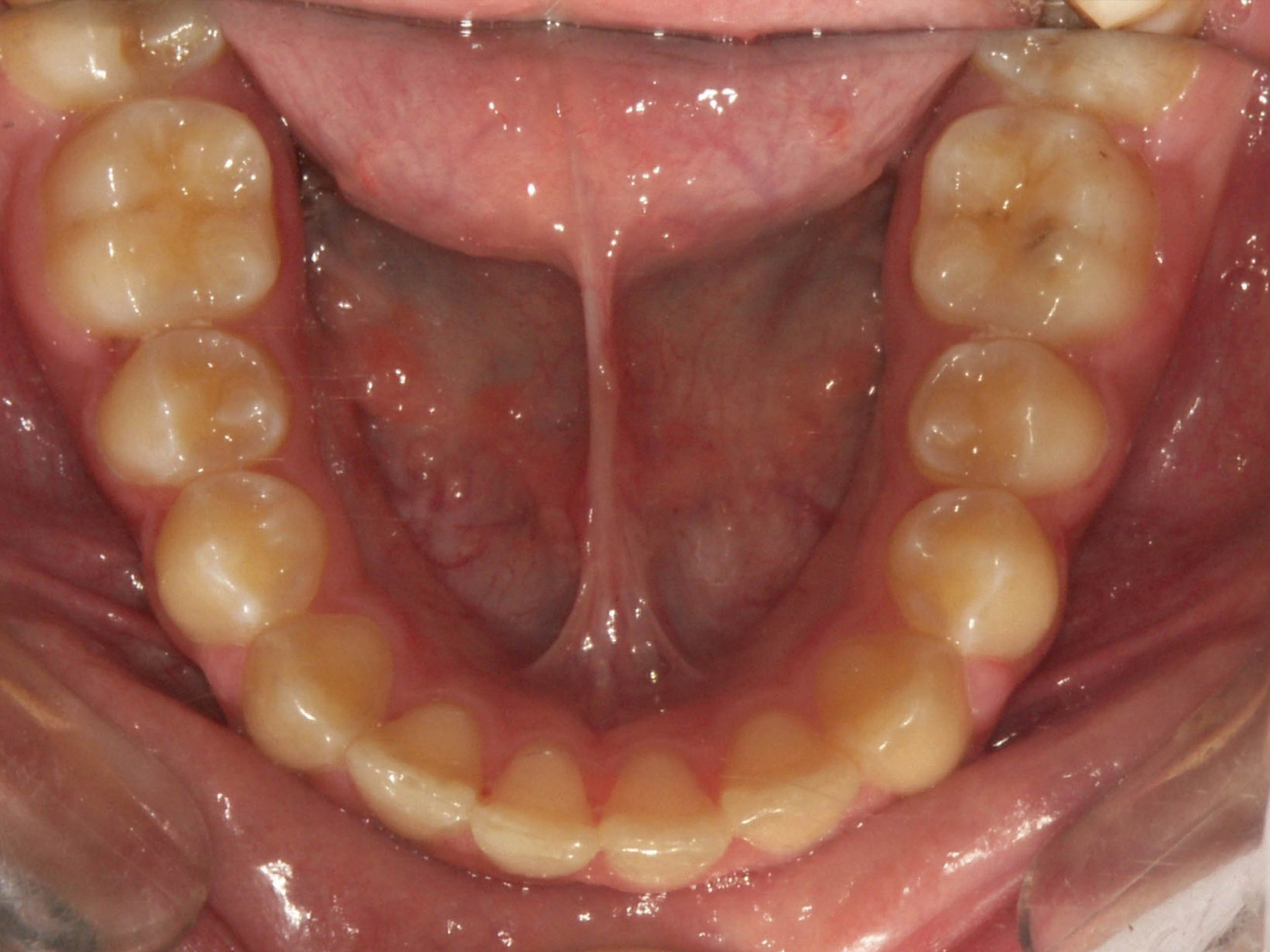
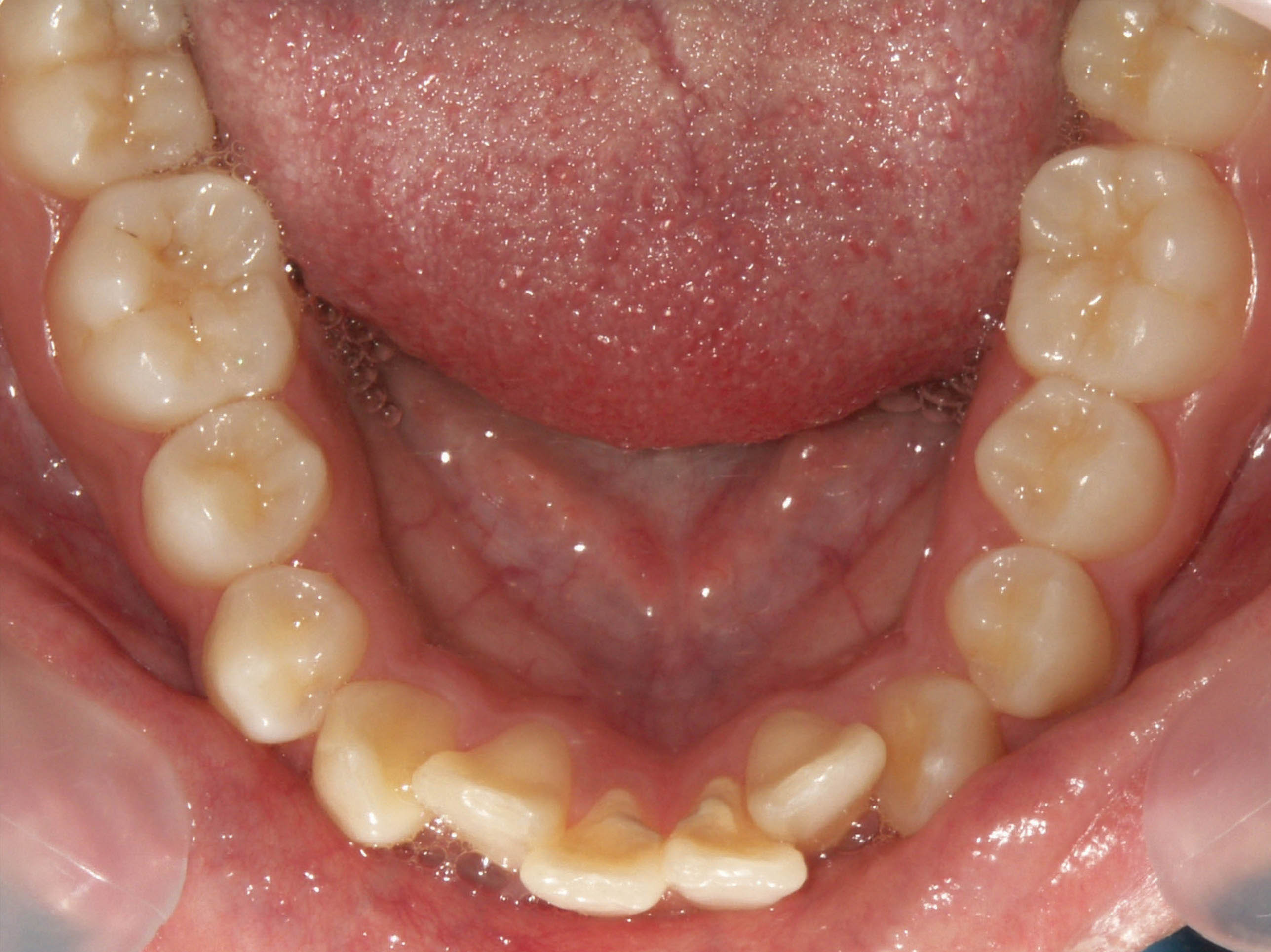
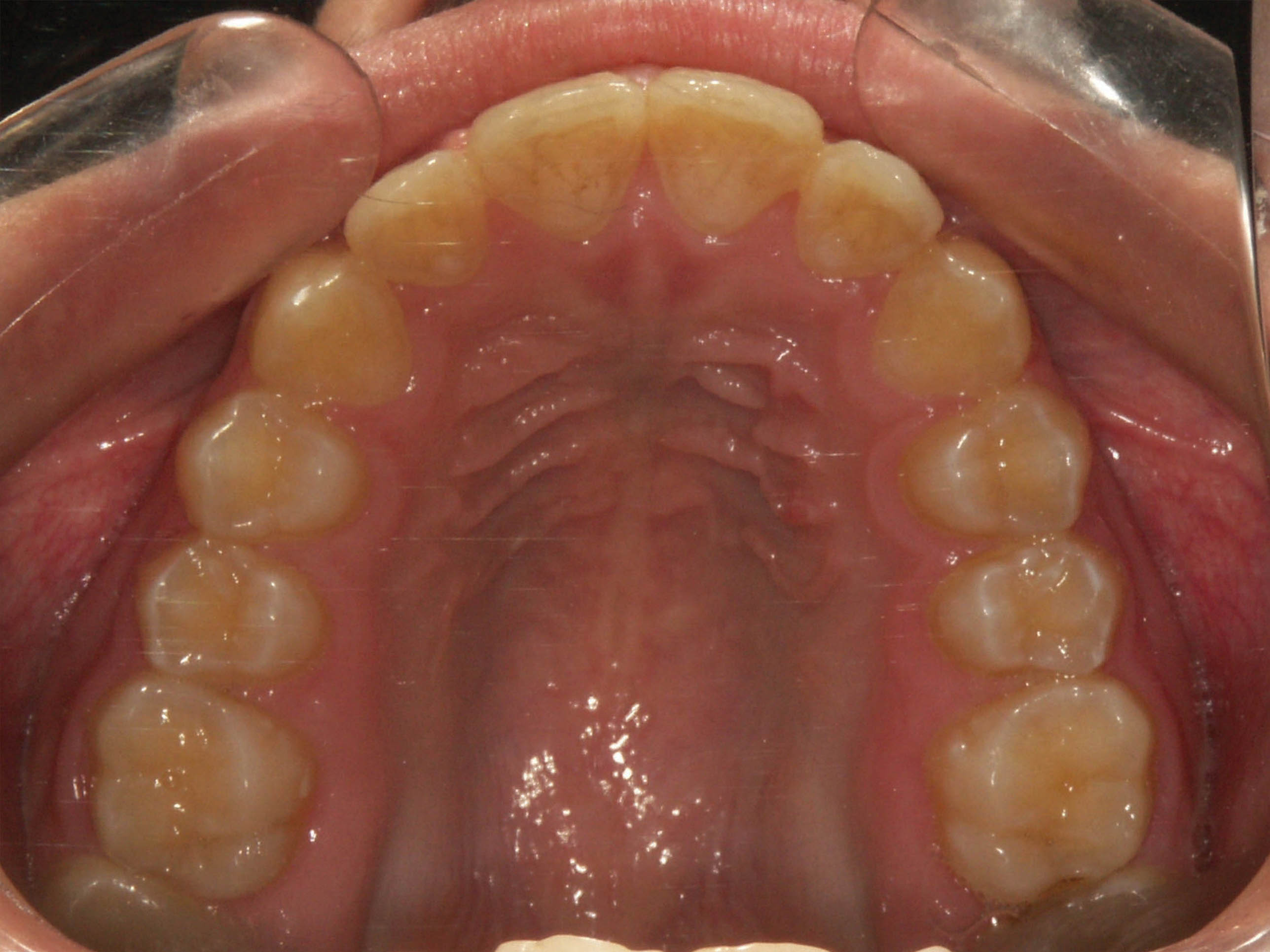
قبل از درمان




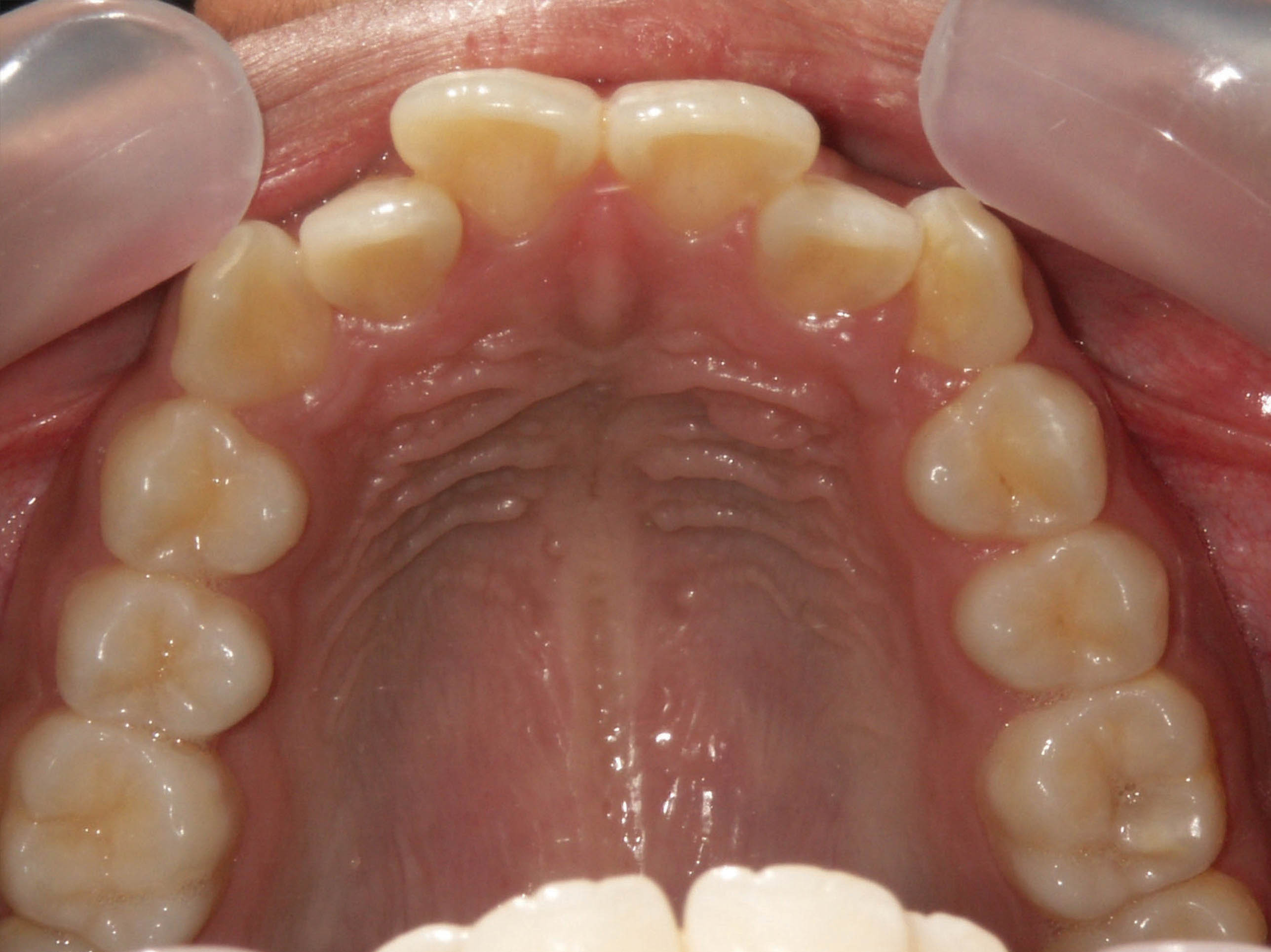
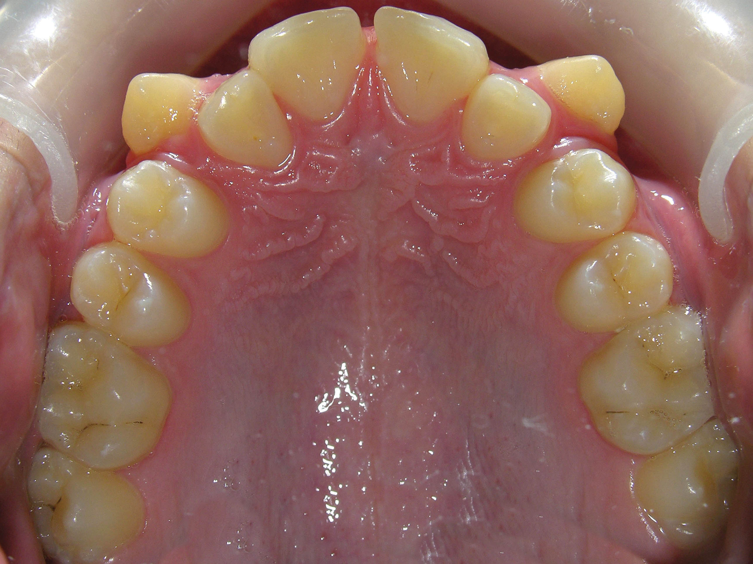
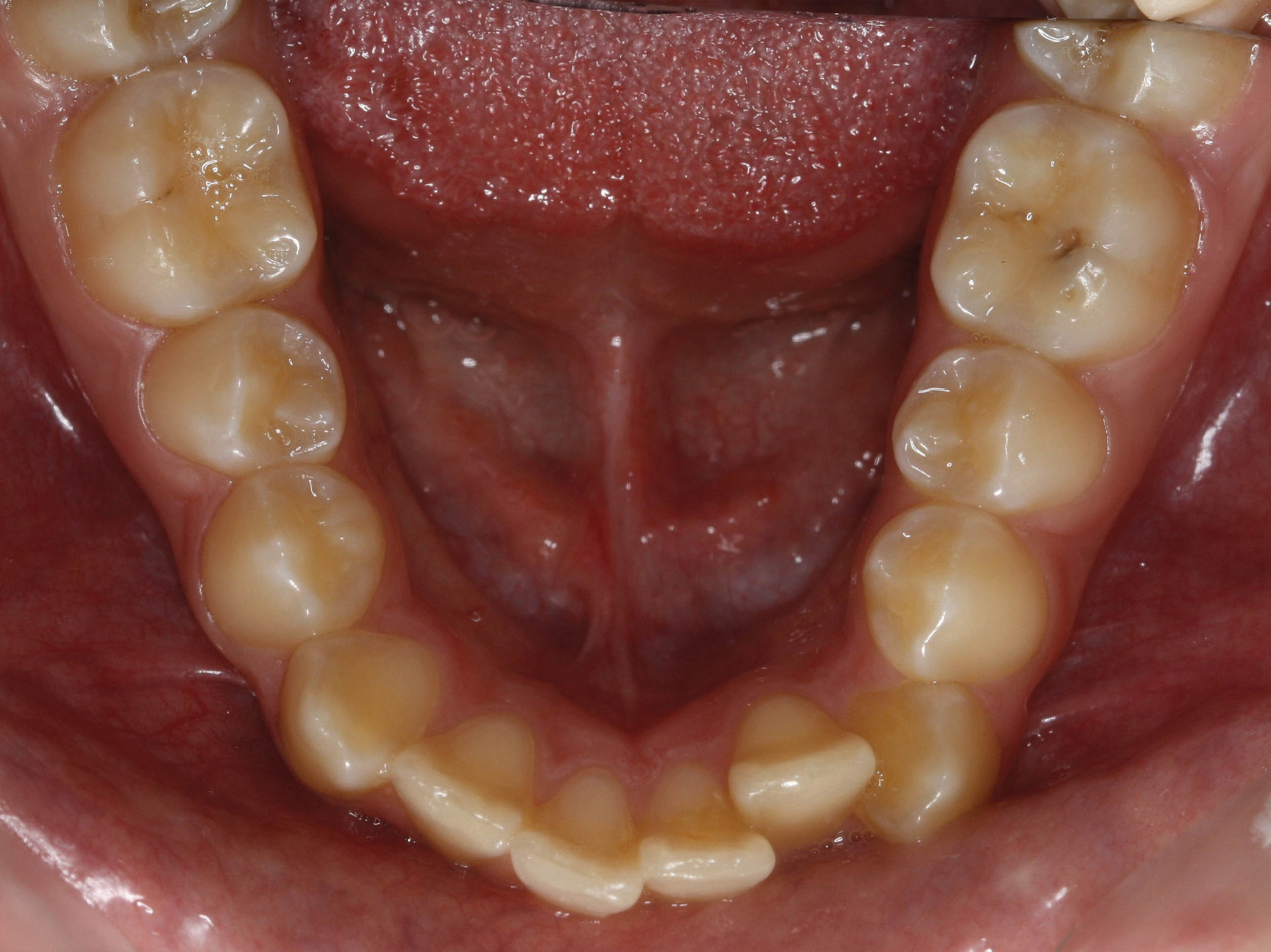
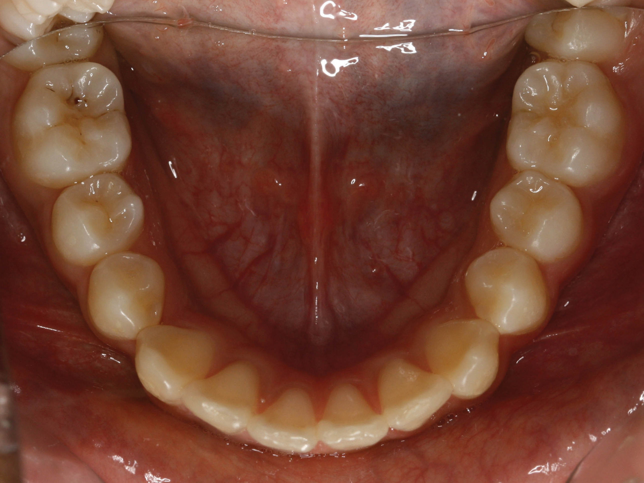
بعد از درمان


