برای درک بهتر چسباندن براکتها، آن را در سه بُعد افقی (مزیودیستالی)، بُعد اگزیال(محور طولی) و بٌعد عمودی به تفکیک مطرح خواهیم کرد.
براکت همه دندانها در این بُعد در وسط تاج قرار میگیرند (شکل 83-1). اگر براکت را مزیالیتر بچسبانیم مزیال دندان باکالیتر (کاسپ پالاتال مزیالیتر میشود) و اگر براکت را دیستالیتر بچسبانیم دیستال دندان باکالیتر (کاسپ پالاتال دیستالیتر میشود) و در دندان چرخش ایجاد میشود (تغییر در Offset

شکل 83-1: در بُعد مزیودیستالی براکت باید در وسط تاج چسبانده شود.
4 مورد زیر استثناء میباشند:
1. پرمولرهای بالا: در اکلوژن کلاسI در انتهای درمان کاسپ پالاتال پرمولرهای بالا به امبراژور دندانهای فک پائین تماس پیدا میکند. چون این تماس باعث باز شدن فضا و گیر غذایی میشود لذا براکت آنها را 0.5mm مزیالیتر بچسبانید تا ایجاد چرخشی در پرمولرها بکند (شکل 84-1) و کاسپ پالاتال آن مزیالیتر و مقابل دیستال فوسای پائین قرار بگیرد (شکل 85-1). (در بیماران کلاسIII بهتر است وسط چسبانده شود تا رابطه کلاسIII در سمت باکال تشدید نشود).

شکل 84-1: پرمولرهای بالا نیم میلیمتر مزیالیتر چسبانده میشود.

شکل 85-1: وقتی براکت پرمولرهای بالا مزیالیتر بشوند، در انتهای درمان کاسپ پالاتال آنها با دیستال فوسای پرمولرهای پائین در تماس قرار میگیرد.
2. کانینهای پائین: 0.5mm مزیالیتر تا ایجاد چرخشی در کانینها بکند تا مارجینالریج آنها با لترالها تماس خوبی برقرار کند (شکل 86-1).

شکل 86-1: براکت کانین پائین مزیالیتر تا با لترال تماس بهتری پیدا کند.
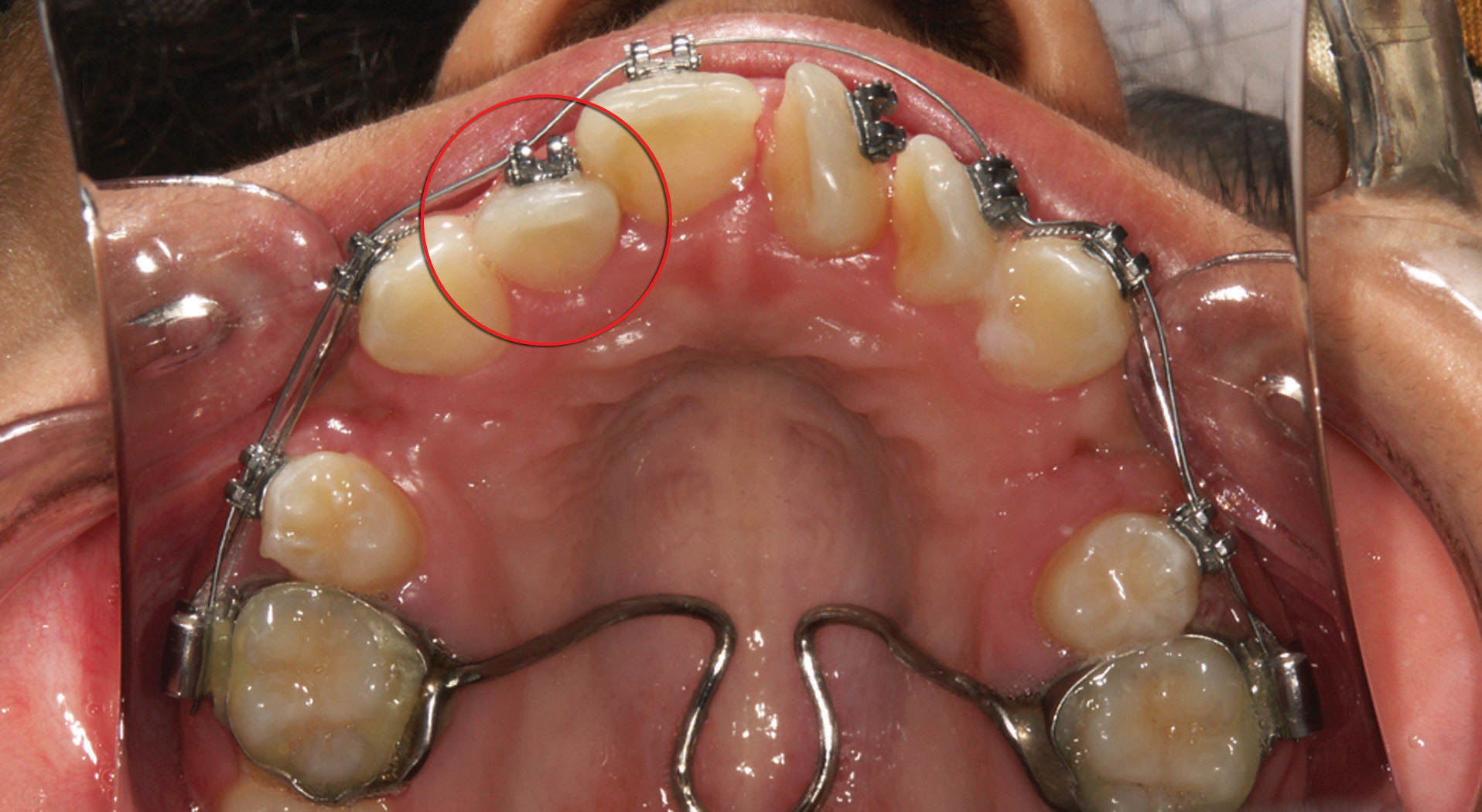
3. لترالهای بالا که چرخش دارند: اگر مزیال آن پالاتالی شده 0.5mm مزیالیتر و اگر دیستال آن پالاتالی شده 0.5mm دیستالیتر تا overtreatmentئی در چرخش آنها داشته باشید (شکل 87-1).

شکل 87-1: براکت لترال بالا که چرخش دارد به سمت قسمتی که پالاتالی شده ( مزیال یا دیستال) قرار میگیرد.
4. دندان 4 بالا که بجای 3 قرار میگیرد: اگر کانین کشیده شده (شکل 88-1) یا missing لترال دارید و کانین را بجای لترال قرار دادهاید (شکل 89-1) براکت 4 را 0.5mm دیستالیتر بچسبانید تا دیستال آن باکالیتر شود و حالت برجستگی کانینی ایجاد نماید.
ترتیب دندانها در انتهای درمان این بیماران به صورت سانترال، کانین و پرمولر میشود. با نگاه به لثه آنها میبینید که مارجین لثه ارتفاع خوبی ندارد. چون همیشه لترال بین سانترال و کانین است و لثه آن ارتفاع پایینی دارد در حالی که در این بیماران کانین بین سانترال و پرمولر قرار گرفته و مارجین آن بالاتر و مارجین پرمولر پایینتر است بهتر است در این گونه بیماران برای زیبایی بیشتر لثه، براکت کانین را 1mm ژنژیوالیتر و پرمولر اول را 1mm انسیزالیتر بچسبانید تا با اکسترود و اینترود نسبی این دندانها لثه زیباتر به نظر بیاید. در انتهای درمان حتماً با کارهای ترمیمی فرم تاج را زیباتر کنید.

شکل 88-1: دندان کانین بیمار کشیده شده و پرمولراول حکم کانین را دارد.

شکل 89-1: فقدان دندان لترال، لذا کانین به جای لترال قرار گرفته و پرمولر اول حکم کانین را دارد.