براکت همه دندانها معمولی قرار میگیرند به غیر از موارد زیر:
1. لترالهای پالاتالی بالا: برای حرکت باکالی بیشتر ریشه و جلوگیری از ریلاپس آن، براکت را برعکس بچسبانید تا تورک آن منفی و حرکت باکالی ریشه بیشتر شود (شکل 107-1).

شکل 107-1: لترال پالاتالی بالا
نکته 1: شاید بیمار شما در کودکی با پلاک متحرک و یک فنر درمان شده باشد و دندان لترال بالا به درون قوس آمده باشد ولی ریشه هنوز از قوس خیلی دور است. در این مورد هم باید براکت آن را برعکس بچسبانید (گرچه تاج درون قوس قرار گرفته است).
نکته 2: لترالهای لینگوالی پائین (شکل108-1) و کانینهای پالاتالی بالا (شکل 109-1) را معمولی بچسبانید چون همان تورک منفی براکت آنها خوب است و برعکس کردن آنها اثر عکس دارد و ریشه پالاتالیتر میشود.
نکته 3: همیشه وقتی براکت را برعکس قرار میدهید تاج به درون قوس به کمک سیمهای 0.012 یا 0.016 میآید و وقتی سیم مستطیلی شد، تازه حرکت ریشه آغاز میشود. گاهی حرکت ریشه اتفاق نمیافتد که به دو علت است: یا زائده آلویلی تحلیل رفته یا فضا به اندازه کافی برای لترال ایجاد نکردید. برای امتحان حالت دوم باید یک نخ دندان بین کنتاکت لترال با دندانها مجاور بکشید و اگر خیلی محکم بود یا مجدد فنر باز بگذارید یا استریپ کنید وگرنه ریشه نمیتواند حرکت لبیالی خود را انجام دهد. ترجیحاً همیشه یک میل فضا بیشتر از عرض تاج لترال باز کنید تا حرکت تاج و ریشه به درون قوس فکی راحت انجام شود.

شکل 108-1: لترال لینگوالی پایین

شکل 109-1: کانین پالاتالی بالا
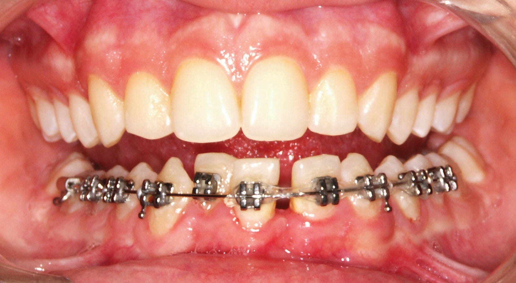
2. در مواردی که missing لترالهای بالا را دارید (شکل 110-1) و کانین بجای لترال قرار میگیرد براکت کانین با تورک منفی7 را برعکس بچسبانید تا مثبت و ریشه حرکت پالاتالی بیشتری بکند.

شکل 110-1: کانین به جای لترال بالا
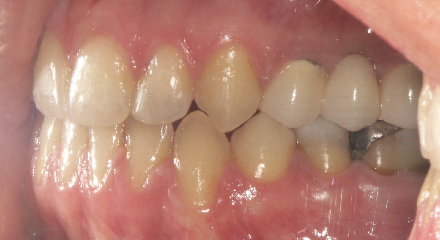
3. اگر بیمار کشیدنی یا بیمار بزرگسال با تحلیل لثه است (شکل 111-1) براکت کانین با تورک منفی7 را برعکس بچسبانید تا مثبت و ریشه حرکت پالاتالی بیشتری بکند. البته بهتر است کلاً از براکتهای سلف لیگیتینگ استفاده نمایید تا باعث تکامل قوس فکی شوید.

شکل 111-1: در زمان تحلیل لثه باید از براکت کانین با تورک مثبت استفاده نمود.
4. اگر بیمار تمایل به کلاسIII دارد و در آینده احتمال استفاده از الاستیک کلاسIII وجود دارد (شکل 112-1) و در حال حاضر هم انسیزورهای پایین بخاطر جبران دندانی رترود هستند، براکت انسیزورهای پایین را برعکس قرار بدهید تا تورک مثبت 6 درجه پیدا کنند و این جبران دندانی در انتهای درمان اصلاح شود.

شکل 112-1: در بیمار کلاسIII انسیزورهای پایین رترود هستند. معمولاً نیاز به استفاده از الاستیک کلاسIII وجود دارد، لذا براکت انسیزورها را برعکس بچسبانید.
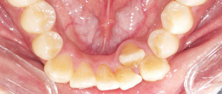
5. در مواقعی که تمایل به بستن فضا بین انسیزورهای پایین را دارید (شکل 113-1)، براکت آنها را برعکس قرار دهید تا با مثبت شدن تورک میل به پروترود شدن پیدا کنند. این حالت نیرویی روی مولرها اعمال میکند تا مزیاله بشوند، لذا قدری از این فضا با مزیاله شدن خلفیها بسته میشود.

شکل 113-1: احتمال کشیدن یک انسیزور پایین در اکلوژنهای مختلف وجود دارد. برعکس چسباندن براکت انسیزورهای پایین کمک خوبی به اصلاح تورک آنها میکند.
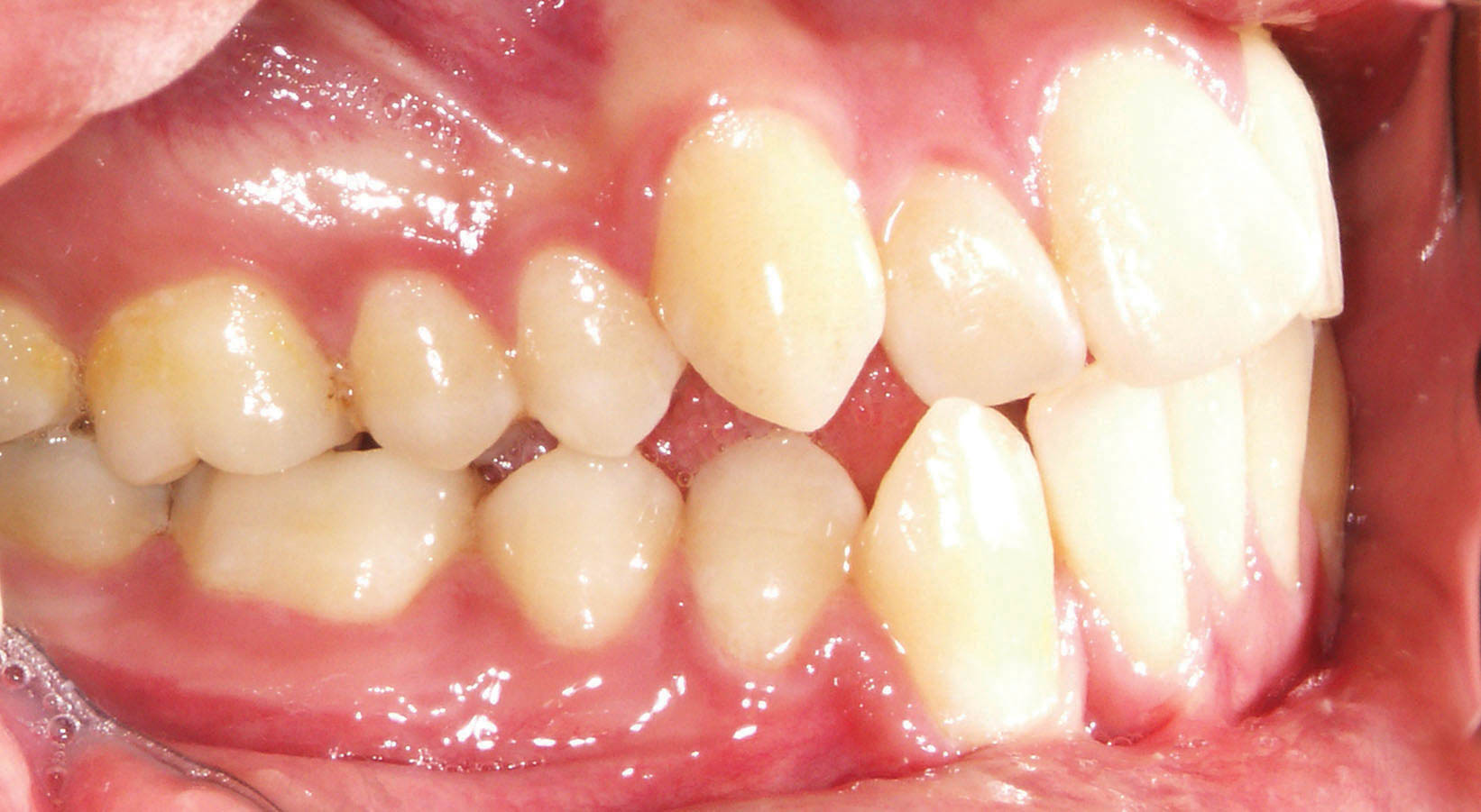
6. برعکس چسباندن انسیزورهای پائین در زمانی که 5 بخاطر مینیمم انکوریج کشیده میشود (شکل 114-1) نیز صادق است.

شکل 114-1: وقتی پرمولر دوم پایین قرار است که کشیده شود، بهتر است که براکت انسیزورها برعکس قرار داده شود تا با افزایش فشار روی مولرها، حرکت مزیالی آنها تسریع شود.