2)
- کاربرد دیگر سیم لیگاچور در MBT کنترل کانین در بُعد افقی است.
اولین آرچوایر در MBT معمولاً 0.012 سوپرالاستیک است. اگر دندان کانین در اول درمان tip صحیح خود را نداشته باشد (8 درجه برای کانین بالا)، سیم 0.012 سوپرالاستیک انحنایی (deflection) بر میدارد تا درون شیار براکت برود (شکل 131-1) و بهخاطر خاصّیت فنری آن تمایل دارد تا به مرور زمان صاف شود؛ لذا دندان کانین را بعد از مدتی به tip صحیح خود میرساند. کانین حول مرکز چرخش خود که تقریباً در مرکز ریشه است میچرخد؛ بنابراین حرکت مزیالی تاج خیلی بیشتر از حرکت دیستالی ریشه خواهد بود (شکل 132-1). اگر درمان شما غیر کشیدنی باشد و شما تمایل به پروترود کردن دندانها دارید کار بسیار راحت خواهد بود چون با قرار دادن سیم 0.012 سوپرالاستیک این پدیده رخ میدهد؛ اما اگر درمان کشیدنی است به عنوان یک عیب محسوب میشود چون فضای پرمولر کشیده شده با قرار دادن 0.012 سوپرالاستیک و مزیاله شدن کانین بیشتر هم میشود! برای جلوگیری از این حالت با سیم لیگاچور دندانهای 3، 5، 6 را به صورت ضربدری به هم متصل میکنیم که به آن laceback میگویند (شکل 133-1).

شکل 131-1: تاج کانین فوق تمایل دیستالی دارد. آرچ وایر باید انحنایی بردارد تا درون شیار براکت قرار گیرد.

شکل 132-1: بعد از صاف شدن آرچ وایر، دندان حول مرکز چرخش خود در وسط ریشه حرکت میکند. تاج مزیالیتر و ریشه دیستالیتر میشود تا به Tip صحیح خود برسند.

شکل 133-1: با زدن lace back مرکز چرخش به براکت منتقل میشود، لذا حرکت دیستالی ریشه بسیار بیشتر از حرکت مزیالی تاج میشود.
Laceback میتواند از هوک 6 (مولر اول) یا دور تیوب 6 شروع شود تا به دندان کانین به صورت ضربدری برسد. هیچ فرقی در این دو حالت نیست. البته در ناحیه کانین حتماً دور براکت کانین باشد نه اینکه دور هوک کانین بگذارید.
با گذاشتن laceback مرکز چرخش دندان از حوالی مرکز ریشه به روی براکت منتقل میشود و پس از قرار دادن 0.012 سوپرالاستیک فقط میزان بسیار کمی از تاج مزیالی و مابقی آن تا انتهای ریشه دیستالی میشود.
هر ماه laceback (سیم لیگاچور 0.010) محکم میشود تا بعد از مدتی زاویه ریشه کانین اصلاح شود و به tip صحیح برسد. بعد از این زمان با سفت کردن laceback کل دندان کانین دیستاله میشود. تقریباً در هر ماه بین نیم تا یک میلیمتر به عقب میرود و جا باز میشود تا کرادینگ انسیزورها برطرف شود.
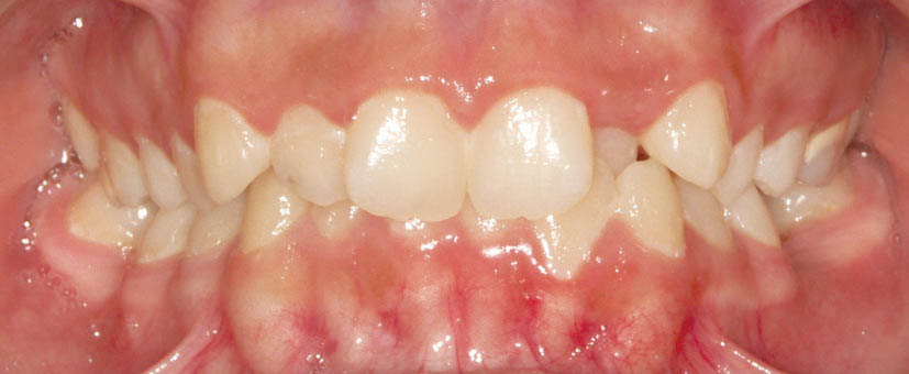
پس از برطرف شدن کرادینگ انسیزورها اگر باز هم laceback محکم شود باعث جدا شدن کانین از لترال میگردد، لذا در این زمان laceback را دیگر محکم نمیکنیم و باید سیم را ضخیم کنیم مگر در دو مورد: لترالهای کوچک (شکل 134-1) یا peg shape (برای اصلاح سایز دندان) و لترال پالاتالی که بهمراه off بودن میدلاین است (شکل 135-1).

شکل 134-1: لترالهای کوچک

شکل 135-1: لترال چپ بالا در پالاتال است، لذا میدلاین به آن سمت Off شده، پس باید کانین راست بالا را از لترال راست جدا کنید تا با ایجاد فضا برای لترال پالاتالی میدلاین هم On شود.
همان طور که آرچوایر میخواهد کانین را به tip صحیح برساند تمایل دارد تا انسیزورها را هم به tip صحیح برساند. اگر تاج انسیزورها دیستاله باشند به مرور مزیاله میشوند و در یک قوس بزرگتری قرار میگیرند (شکل 136-1) و سیم هم از دیستال تیوب مولر دوم به درون تیوب کشیده میشود (شکل 137-1).

شکل 136-1: انسیزورها برای رسیدن به Tip صحیح خود مزیالی میشوند و در قوس بزرگتری قرار میگیرند.

شکل 137-1: چون تاج مزیالی میشود تا به Tip خود برسند لذا آرچ وایر از انتهای تیوب 7 به درون تیوب میرود.
حال اگر انتهای آرچوایر را از دیستال تیوب 7 محکم خم کنید (شکل 138-1) دیگر انسیزورها نمیتوانند مزیاله بشوند و در قوس بزرگتری قرار بگیرند بنابراین برای رسیدن به tip صحیح انسیزورها ریشهها به دیستال میروند و تاج مزیاله نمیشود.
به خم کردن سیم در انتهای تیوب مولر bendback (BB) میگویند.
اگر تمایل دارید که انسیزورها مزیاله و پروترود بشوند تا در قوس بزرگتری قرار بگیرند BB نزنید و در مابقی موارد مخصوصاً فک پائین بیماران با اورجت نوک به نوک حتماً BB بزنید.
خلاصه اینکه bendback جلوی مزیاله شدن انسیزورها و laceback جلوی مزیاله شدن کانین را میگیرد.

شکل 138-1: اگر پروترود شدن انسیزورها مطلوب نیست (مانند فک پائین بیمار با اورجت صفر) بهتر است که آرچ وایر از انتهای تیوب 7 خم شود. به این عمل Bendback میگویند.