روتیشنوج (شکل 169-1) عمدتاً در قدامیهای پایین كاربرد دارد. بعد از برطرف شدن چرخش انسیزورهای پائین با سیم 0.012 سوپرالاستیک و سیم 0.016 حرارتی، موقع over treatment در چرخش آنها است. برای این کار از روتیشنوج استفاده میکنیم.

شکل 169-1: روتیشن وج rotation wedge
در شکل 170-1 میبینید که نیمه دیستالی لترالهای پایین به سمت لبیال چرخش دارد. ابتدا سیم 0.016 حرارتی گذاشته تا دندانها مرتب شوند، بعد آن را خارج میکنیم و روتیشنوج را روی انسیزورهایی که در قدیم چرخش داشتهاند (در این مورد دیستال لترالها میباشد) میگذاریم. دو سوراخ ریز روی آنها وجود دارد که باید درگیر دو بالچه مزیالی یا دیستالی کنید.

شکل 170-1: دیستال لترالهای پائین در ابتدای درمان به سمت لبیال هستند.
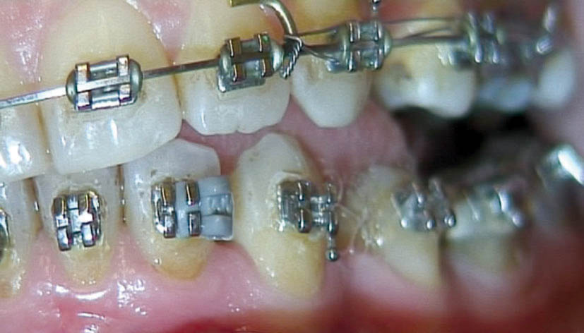
اگر در ابتدای درمان دیواره دیستالی به سمت لبیال چرخش داشته باشد باید روتیشنوج را بر روی بالچههای دیستالی بگذارید. اگر دیواره مزیالی به سمت لبیال چرخش داشته باید روتیشنوج را بر روی بالچههای مزیالی بگذارید، در این بیمار روی بالچههای دیستالی میگذاریم (شکل 171-1). بعد سیم 0.019x0.025 حرارتی را قرار دهید. شما نمیتوانید oring روی این براکت بیندازید، لذا وایر لیگاچور کنید. این روتیشنوج بایستی تا انتهای درمان بماند و همیشه روی براکت آن وایر لیگاچور شود (شکل 172-1). فقط در 4-2 هفته آخر که مرحله استقرار (فاز Settling) است باید آن را در بیاوریم تا قبل از خارج کردن براکتها، تمام دندانها مرتب باشند.
دقت شود برای اینكه روتیشنوج كارایی مناسبی داشته باشد باید حداقل به مدت شش ماه به كار رود.

شکل 171-1: بعد از مرتب شدن انسیزور در شکل 166-1، روتیشن وج روی نیمه دیستالی میگذاریم، بعد آرچ وایر 0.019x0.025 حرارتی را روی آن قرار میدهیم تا باعث لینگوالی شدن بیشتر دیستال آن بشود.

شکل 172-1: وقتی 0.019x0.025 استیل را میگذارید باید روتیشن وج بماند.
برای overtreatment چرخش قدامیهای پایین کارهای زیر انجام میگیرد:
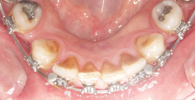
1) در ابتدای درمان استریپ میکنیم تا نقاط تماس دندانها به سطح تماس تبدیل شود. در شکل 173-1 میبینید که کنتاکت دندانهای بالا نقطهای (Contact Point) است اما بعد از استریپ و قرار دادن Chain و بسته شدن فضا به صورت یک سطح(Contact Area) در آمده است (شکل 174-1).همین کار برای دندانهای پایین هم انجام شده است.
البته استریپ بالا را برای تغییر فرم تاج از شکل مثلثی به مربعی و نهایتاً حذف dark space کردهایم، اما در قوس پایین برای درمان اضافه چرخش قدامیها استریپ انجام شده است.

شکل 173-1: انسیزورهای بالا با تماس نقطهای و وجود dark space بین آنها.

شکل 174-1: با استریپ دندانهای فوق نقطه تماس به سطح تماس تبدیل میشود. انسیزورهای پایین در جلسات قبل استریپ شدهاند و ارتودنسی آن تمام شده است.
تمام دندانهای خلفی دارای یک زاویه tip هستند (تمایل مزیالی تاج). در زمان جویدن نیرویی روی دندانهای خلفی اعمال میشود که برای درک بهتر، آن را به دو مولفه عمودی و افقی تجزیه میکنیم. مولفه عمودی در راستای محور طولی دندان است و توسط PDL خنثی میگردد. مولفه افقی(Anterior Force Vector) باعث حرکت مزیالی دندانهای خلفی میشود (شکل 175-1).
این بردار قدامی نیرو از دو طرف به سمت جلو میآید و در ناحیه قدام توسط تماس دندانهای قدامی خنثی میشود. اگر تماس این دندانها نقطهای باشد احتمال overlap دندانهای قدامی وجود دارد، لذا باعث برگشت چرخش دندانها میشود. استریپ این دندانها نقاط تماس را به سطح تماس تبدیل میکند، لذا نیروها بهتر خنثی میشوند و احتمال برگشت چرخش دندانها کم میشود.
2) در زمان سیم 0.019x0.025 حرارتی از روتیشوج استفاده میکنیم تا با چرخش بیشتر دندان در جهت صحیح، PDL تحت کشش بیشتری قرار بگیرد تا بعد از درمان، الیاف PDL باعث برگشت چرخش نشود.
3) در انتهای درمان هم بعد از خارج کردن براکتها الیاف فوق کرستی لثه را فیبروتومی (SupraCrestal Fibrotomy) میکنیم تا اثر این عامل هم در برگشت چرخش دندانها به حداقل برسد (به کتاب درمان ارتودنسی ناهنجاریهای دندانی به روش MBT ترجمه دکتر نبی مراجعه نمایید).
نکته: چون در زمان تصحیح چرخش دندانها احتمال برگشت آن بسیار زیاد است، لذا فیبروتومی را در مورد چرخش تمام دندانها انجام میدهیم و فقط مربوط به قدامیهای پایین نمیشود.

شکل 175-1: تجزیه نیروی جویدن به دو بردار عمودی و افقی