فنر (Spring)
دو نوع فنر داریم: تخت (flat) و حلقوی (coil).
نوع flat برای اصلاح ناهنجاری کلاسII مفید بوده و به لحاظ تجاری بودن آن از توضیح آن صرف نظر میکنم.
فنرهای حلقوی به دو دسته تقسیم میشوند:
1) باز (open)
2) بسته (closed)
نوع بسته آن به نام closed coil spring برای بستن فضا به کار میرود. ترجیحاً از جنس NiTi آن استفاده کنید تا نیرو آن ملایم و ممتد باشد. این فنر دارای دو حلقه (eyelet) در اطراف میباشد (شکل 182-1) و به طولهای 6، 9، 12 میلیمتر وجود دارد.
از لحاظ میزان نیروی اعمال شده هم به نوع ملایم(light) ، متوسط (medium) و سنگین (heavy) تقسیم میشوند.

شکل 182-1: فنر کلوز نیتی جهت بستن فضا
اگر فاصله هوکهای خلفی و قدامی تا 18 میلیمتر است از طول 9 میلیمتر مدیوم و اگر بیشتر بود از طول 12 میلیمتری مدیوم آن استفاده میکنیم (شکل 183-1). معمولاً این فنرها را حداکثر تا دو و نیم برابر طول خودشان میتوانید بکشید.

شکل 183-1: قراردادن فنر کلوز بین هوک خلفی و قدامی باعث بسته شدن فضا میشود.
نوع باز آن به نام open coil spring برای باز کردن فضا استفاده میشود. مثلاً دندان لترال در کراس بایت است (شکل 184-1) و فضا برای قرار گیری درون قوس فکی ندارد.

شکل 184-1: وقتی فضا برای درون قوس قرارگرفتن لترال پالاتالی نداریم از فنر open نیتی استفاده میشود تا فضا باز شود.
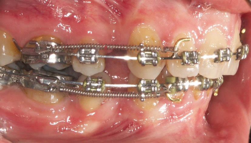
در بیماران به روش کشیدنی با استفاده از laceback دندان كانین را به دیستال حركت میدهیم تا فضا برای لترال پالاتالی فراهم شود. حركت دیستالی كانین باعث حركت مزیالی دندان 5 و 6 میشود. اگر حركت مزیالی دندان 6 مطلوب نباشد و هم چنین پروترود شدن سانترال نیز مد نظر باشد (اصلاح میدلاین یا اضافه کردن اورجت) به جای استفاده از laceback، از فنر استفاده میكنیم تا باعث جلو آمدن سانترال و عقب رفتن کانین به طور همزمان شود (شکل 185-1). به هنگام استفاده از فنر معمولاً
bendback نمیزنیم (خم کردن سیم در انتهای تیوب مولر دوم) تا فضا سریعتر باز شود.
با گذاشتن فنر باز بین براکتهای سانترال و کانین برای لترال فضا ایجاد میشود (شکل 185-1). برای این منظور مقداری از فنر open را (30 درصد بیشتر از فاصله دو براکت) بریده و آرچوایر را از درون آن رد میکنید. بعد از جا گذاری به علت فشرده شدن باعث اعمال نیرو شده و دو دندان سانترال و کانین را از هم دور میکند. اگر bendback زده باشید، فقط کانین عقب میرود اما اگر bendback نزده باشید هم کانین عقب میرود و هم سانترال جلو میآید. در صورتی که بین دو سانترال فضا باشد ابتدا فضا بسته میشود بعد سانترالها پروترود میشوند (و بدیهی است که اگر یکطرفه فنر گذاشته باشید مقداری میدلاین به سمت دیگر حرکت میکند).

شکل 185-1: بعد از مرتب شدن تمام دندانها به غیر از لترال، فنر باز بین براکت سانترال و کانین قرار میدهیم تا فضا برای لترال ایجاد شود.
در فنر باز مشکلی وجود دارد به این صورت که در ابتدا که فنر باز تحت فشار است خوب بوده اما بعد از باز کردن فضا، فنر آزادتر میشود و لبههای آزاد فنر باعث زخم شدن لب بیمار میگردد. برای فعال کردن آن هم بایستی از دهان خارج شود و یک فنر بزرگتر قرار داده شود.
به جای استفاده از فنر باز که باعث زخم شدن گونه بیمار میشود میتوانید نوع بسته فنر را به اندازه فضای دو براکت ببرید سپس یک میلیمتر از هر طرف آن را بگیرید و بکشید (شکل 186-1) نهایتاً در دو سر آن فنر closed و در وسط فنر open دارید. بعد از درگیر کردن این فنر و باز شدن فضا حتی اگر فنر بچرخد دیگر لبههای تیز ندارد لذا باعث آزردگی لب و گونه بیمار نمیشود.
ضمناً دو قطعه یک میلیمتری هم جدا کنید و در پشت براکت کانین بگذارید (شکل 187-1) تا بعد از دو ماه که نیروی فنر اصلی کاهش یافت بتوانید با اینها، فنر اصلی را فعال کنید (شکل 188-1) تا مجبور به صرف وقت زیاد برای تعویض کل مجموعه نشوید.
روی براكت سانترال و کانین را با سیم لیگاچور میبندیم تا چرخش ایجاد نشود (شکل 189-1) چون سیم لیگاچور، آرچ وایر را روی براكت محكمتر از اورینگ نگه میدارد.

شکل 186-1: کشیدن فنرکلوز استیل باعث باز شدن فنر میشود.

شکل 187-1: پشت کانین دو قطعه از فنر کلوز به طول 1mm برای فعال کردن در ماههای بعدی قرار دهید.

شکل 188-1: اضافه کردن قطعه فنر کمکی برای فعال کردن فنر در ناحیه لترال

شکل 189-1: وایر لیگاچور کردن دندانهای پایه فنر برای جلوگیری از چرخش آنها
همیشه سعی كنید بین دندان سانترال و کانین كمی بیشتر از عرض لترال فضا ایجاد كنید در غیر این صورت وقتی سیم 0.012سوپرالاستیک را درگیر براكت لترال كردید دندان لترال به سمت قوس حرکت میکند ولی بین سانترال و کانین گیر میكند. این دو دندان مانند یك اهرم عمل كرده و فقط تاج لترال به قوس نزدیك میشود و ریشه از قوس دورتر هم میشود (لینگوالیتر میشود) به همین دلیل همیشه فنر را كمی بیشتر باز كنید تا با درگیر كردن سیم 0.012 سوپرالاستیک در براكت لترال، ریشه هم همراه تاج حركت كند.
بعد از ایجاد فضا برای لترالهای پائین میتوانید سیم 0.012 را مستقیماً درگیر براکت لترال کنید تا درون قوس بیاید. برای لترالهای بالا وقتی فضا 1mm بیشتر از عرض لترال باز شد، قطعهای از chain elastic را بریده و دور آرچوایر قلاب کنید (شکل 190-1) و درگیر براکت لترال کنید تا نزدیک قوس فکی بشود.

شکل 190-1: قلاب کردن چین الاستیک دور آرچ وایر
براكت لترال بالا را بر عكس میچسبانیم. بر عكس چسباندن براكت لترال باعث میشود كه وقتی سیم 0.019x0.025 استیل را قرار میدهیم، ریشه 20 درجه بیشتر باكالی شود (تورک براکت لترال از 10+ به 10- درجه تبدیل میشود) و یک over treatment انجام میشود.
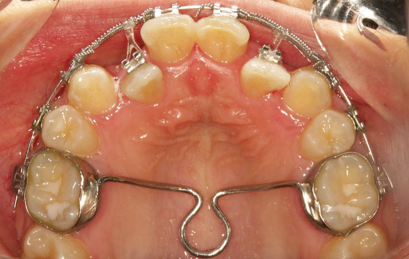
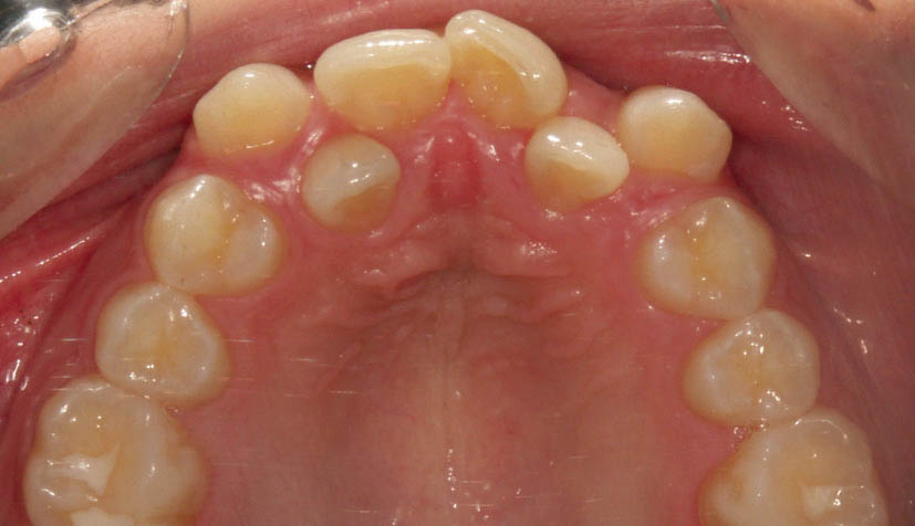
برای خارج کردن لترال از کراس بایت، به بایت پلیت خلفی نیازمندیم. اگر ارتودنسی فقط برای فک بالا انجام شده است برای فک پایین اسپلینت آکریلی میگذاریم (شکل 191-1) و اگر هر دو فک را ارتودنسی کردهاید مقداری کامپوزیت روی سطح اکلوزال دندانهای خلفی بگذارید تا بایت باز شود (شکل 192-1).

شکل 191-1: اسپلینت آکریلی روی فک پایین

شکل 192-1: بایت پلیت خلفی
البته اخیراً فنر open NiTi به طول 15mm ساختهاند که در دو سر آن، 1mm به صورت close است (شکل 193-1)، لذا برای درون قوس آوردن لترال میتوانیم از همان ابتدای درمان حتی روی سیم 0.016 حرارتی از این فنر استفاده نمود. این فنر را تا 3mm میتوانید فشرده کنید و با گذشت زمان به 15mm میرسد و جا به اندازه کافی برای لترال باز میشود.

شکل 193: فنر باز NiTi با دو سر بسته
مدل ابتکاری جالبی است. با خرید یک مدل شما طولهای مختلفی از فنر را خواهید داشت (شکل 194-1). با یک فنر کار سه فنر را انجام میدهید. فنرهای نی تی را تا دو و نیم برابر طول خودشان میتوانید بکشید، البته توصیه بر این است که بیشتر از دو برابر کشیده نشوند چون احتمال خراب شدن آن وجود دارد، مثلاً اگر فاصله هوکها 18mm است مدل 9mm را تهیه نمائید. این مدل دارای دو لوپ اضافه است که هر کدام 4mm با قبلی فاصله دارد، لذا اگر فاصله دو هوک بجای 18mm، 22 یا 26 میلیمتر هم که باشد میتوانید از این فنر استفاده نمائید و لوپهای دورتر را درگیر هوک کنید. به مرور که فضا بسته میشود بهتر است که لوپهای اضافه را با کاتر قطع کنید و از لوپهای کوتاهتر استفاده نمائید.
اگر فاصله هوکها 22-8 میلیمتر است از مدل 6 میلیمتری و اگر فاصله 28-11 میلیمتر است از مدل 9 میلیمتری و اگر فاصله 34-14 میلیمتر است از مدل 12 میلیمتری استفاده نمائید.
این مدل برای مینی اسکرو هم ارائه شده که یک سر آن بزرگتر از سر دیگر است تا در اطراف مینی اسکرو به راحتی قرار بگیرد (شکل 195-1

شکل 194-1: فنر نیتی با لوپهای متعدد

شکل 195-1: فنر نی تی با لوپهای متعدد جهت مینی اسکرو