دکمه (Button) و کلیت (Cleat)
وسایل کوچکی (شکل 206-1 و شکل 207-1) هستندکه روی سطح دندان میچسبانید و زائدههایی برای اتصال وسایل مختلف به دندان درست میکنند. شما میتوانید در جاهایی که امکان گذاشتن براکت را ندارید، آن را بچسبانید و به دندان اعمال نیرو کنید.

شکل 206-1: دکمه یا button

شکل 207-1: Cleat
1. برای دندان لترال بالا که زیر سانترال قرار دارد و نتوانیم براکت روی آن بچسبانیم. دکمه را بر روی دندان لترال با کامپوزیت فیکس مینمائیم سپس قطعهای از چینالاستیک را از دندان 3 به روی دکمه قرار میدهیم تا تاج دیستاله و از زیر سانترال آزاد شود. بعد از بوجود آمدن فضای مناسب جهت قرار دادن براکت، دکمه را از روی دندان لترال بر میداریم و براکت بجای آن قرار میدهیم.
2. دندان کانینی که نهفته است و فقط نوک آن Expose شده است.
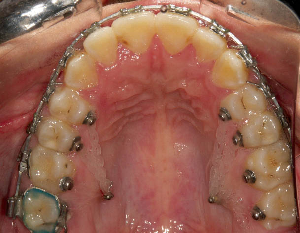
3. برای اعمال نیرو اینترود کننده در سمت پالاتال دندانهای خلفی بالا (شکل 208-1).
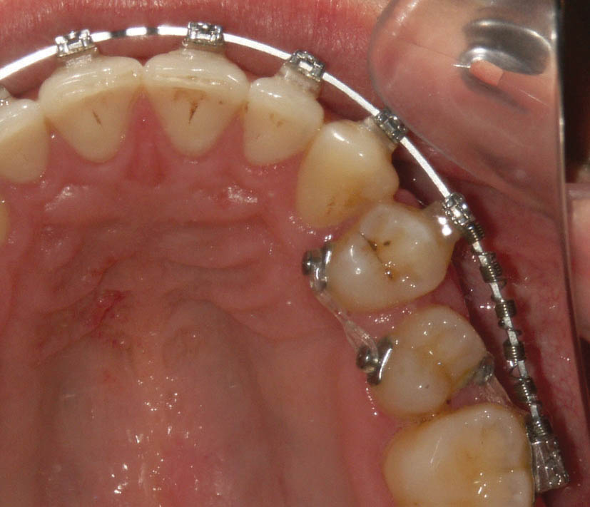
4. برای اعمال نیروی کوپل روی دندانهاجهت چرخش دندانها.(شکل 209-1 و 210-1).

شکل 208-1: اگر در سمت پالاتال بخواهید نیرویی قرار دهید باید از دکمه در این سمت استفاده کنید.

شکل 209-1: اعمال نیروی کوپل جهت درمان چرخش دندان

شکل 210-1: اصلاح چرخش پرمولر دوم