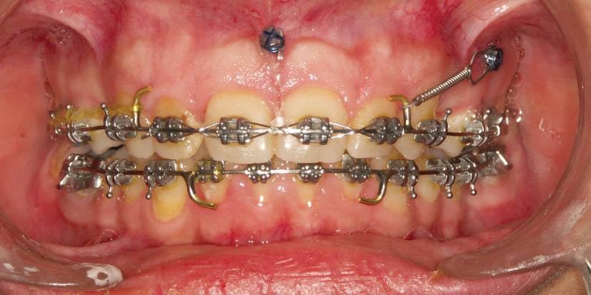
پیچهائی هستند برای انکوریج گرفتن موقتی درون یک فک (شکل 218-1) به همین دلیل به آنها Temporary Anchorage Device (TAD) هم میگویند.
قطر این پیچها معمولاً 1.6mm ، 1.4mm و2mm است. تا بخاطر فاصله کم بین ریشههای این دو دندان، احتمال آسیب زدن به ریشهها کمتر شود. پیچهای جدید در قسمتی که درون استخوان کورتکس قرار میگیرند دارای شیارهای دو برابر هستند تا حداکثر گیر درون استخوان بوجود بیاید. معمولاً یک سوراخ ریز هم دارند که میتوانید سیم لیگاچور را از درون آن رد کنید. درون کیت مینی اسکرو یک رچت موجود است که هم برای بازکردن و هم برای بستن پیچ مخصوصاً در نواحی رترومولرپد و کام بسیار کاربردی میباشد.

شکل 218-1: مینی اسکرو

شکل 219-1:
بعد از بیحسی لثه ناحیه مولر بالا که با ژلها انجام میگیرد در ناحیه مولری بین دندان 5 و 6 بالا در مرز لثه چسبنده با موکوزا با زاویه 90 درجه وارد لثه میکنیم. البته بهتر است زاویه پیچ به نحوی باشد که کمی به سمت ژنژیوال پیچ گردد. بیمار احساس فشار را دارد ولی درد ندارد (شکل 220-1). برای نواحی کام (شکل 221-1)، زیر خار قدامی بینی (شکل 222-1)، قدام بالا (شکل 223-1) و خلف پایین بهتر است از بیحسی به میزان بسیار کم استفاده کنید. البته برای خارج کردن آن اصلاً نیازی به بیحسی ندارید.

شکل 220-1: رایجترین محل برای نصب مینی اسکرو، بین دندان 5 و 6 برای افزایش انکوریج در بعد افقی است.

شکل 221-1: برای اینترود کردن سگمنت خلفی در بیماران اپنبایت به دو مینی اسکرو در سمت باکال و پالاتال همزمان نیاز است.

شکل 222-1: در بیمار gummy smile که دیپ بایت هم باشد مینی اسکرو در ناحیه لثه چسبنده بالای ریشه سانترالها میگذاریم تا سگمنت قدامی اینترود شود.

شکل 223-1: وقتی Cant پلن اکلوزل داریم در آن سمت برای اینترود کردن از مینی اسکرو استفاده میکنیم.
در زمانی که بخواهیم بعد از کشیدن پرمولرها سگمنت خلفی اصلاً جلو نیاید از مینی اسکرو استفاده میکنیم. در حالت معمولی وقتی دندان پرمولر کشیده میشود و سگمنت قدام را عقب میدهیم به صورت متقابل سگمنت خلفی هم جلو میآید. هر چه ارتفاع عمودی صورت بیشتر باشد حرکت مزیالی مولرها هم بیشتر خواهد شد. در مواقعی حرکت مزیالی مولرها خوب است (به فصل طرح درمان مراجعه نمایید) ولی در بعضی از بیماران حرکت مزیالی مولرها صحیح نیست (مانند بیماری که یک کاسپ کامل کلاسII است (شکل 220-1) و نیمرخ برجستهای دارد و قوس پائین غیرکشیدنی است، اگر پرمولرهای بالا کشیده شود باید از حرکت مزیالی مولرها جلوگیری نمود). در این مواقع فقط سگمنت قدامی باید عقب برود و فضا را ببندد. طبیعی است که بستن فضا در این بیماران اثر زیادی روی نیمرخ صورتی بیمار خواهد گذاشت (شکل 224-1 و 225-1).
باید قبل از قرار دادن پیچ، بیمار دهانش را با کلروهگزدین شستشو دهد.
قبل از اعمال نیرو به پیچ از محکم بودن آن اطمینان حاصل کنید (primary stability) و در دو ماه اول هم از سیم 0.012 سوپرالاستیک استفاده نمایید تا سطح نیرو کم باشد. این سیم تا 3mm انحراف نهایتاً 50gr نیرو اعمال میکند.حداکثر نیرو قابل تحمل بعد از گذشت دو ماه بسته به شرکت تولید کننده آن حدود 300gr است.

شکل 224-1: شکایت بیمار از پروتروژن. برای حرکت دیستالی سگمنت قدامی پرمولرها کشیده شدند.

شکل 225-1: برای اینکه مانع مزیالی شدن خلفیها بشویم تمام نیروها روی مینی اسکرو اعمال گردید و سگمنت قدامی تمام فضای به دست آمده از کشیدن پرمولرها را استفاده نمود.