باید همیشه تنگترین بند ممکن را برای دندان انتخاب کنید و اگر بند بزرگ باشد و حجم زیادی از سمان در زیر آن قرار بگیرد نهایتاً به تورک و In/Out مناسب روی مولرها نمیرسیم. برای اینکه یک بند تنگ را روی دندان بگذارید باید از بندسیتر استفاده نمائید (شکل 52-1).

شکل 52-1: بند سیتر
برای جدا کردن نقطه تماس مولرها جهت بندگذاری نیاز به سپراتور دارید. مدلهای قدیمی آن شامل یک سیم برنجی بود (شکل 53-1). امروزه از مدل پلاستیکی آن (شکل 54-1) استفاده میشود. مدل فلزی (شکل 55-1) با آلیاژ نیکل تایتانیوم نیز عرضه گردیدهاند که در صفحه 104 به آن اشاره نمودهایم.

شکل 53-1: سپراتور فلزی (سیم برنجی)

شکل 54-1: سپراتور پلاستیکی

شکل 55-1: سپراتور فلزی
برای قرار دادن سپراتور پلاستیکی نیاز به پلایر سپراتور (شکل 56-1) دارید. سر پلایر را درون یک حلقه کنید و آن را جدا کنید. با فشار پلایر، سپراتور کشیده میشود (شکل 57-1) و به راحتی میتوانید آن را از نقطه تماس رد کنید.

شکل 56-1: پلایر سپراتور

شکل 57-1: نحوه گرفتن پلایر سپراتور
در سمت مزیال و دیستال مولر یک عدد آن را بگذارید تا بعد از یک هفته نقطه تماس باز شود. یک سمت سپراتور زیر کنتاکت و سمت دیگر بالای کنتاکت باید باشد (شکل 58-1) برای دندانهای قدامی هم سپراتور داریم که کوچکتر از خلفیها میباشند و در زمان استریپ قدامیها با فرز یا دیسک، باید از آنها استفاده کنیم تا نقطه تماس باز شود بعد استریپ کنیم.
به جای پلایر سپراتور میتوانید از دو سوزن گیر که عمود برهم هستند استفاده کنید و سپراتور را بکشید (شکل 59-1) و بعد از کنتاکت رد کنید.
بعد از بازشدن نقطه تماس بهترین بند ممکن را انتخاب کنید. بندها نباید تا لبه مارجینال ریج بروند بلکه ارتفاع اسلات تیوب مهم است. بعضی مواقع لبه بند به زیر مارجینال ریج دندان و گاهی بالای آن قرار میگیرد. اگر بالاتر از لبه اکلوزال بود بعد از سمان کردن با یک فرز، اضافه آن را بتراشید تا باعث تداخل اکلوزالی نشود.
اگر بند به زیر لثه رفت، قسمت زیر لثه را نتراشید چون یک سطح زبر ایجاد میکند و باعث التهاب بیشتر لثه میشود. لبه بندها معمولاً گرد و صیقل هستند و اگر کمی زیر لثه بروند مشکل بهداشتی خاصی برای بیمار ایجاد نمیکنند.


شکل 59-1: نحوه گرفتن سپراتور پلاستیکی
اگر نیاز به ساختن لینگوال آرچ یا پالاتالبار دارید (مثلاً برای جلوگیری از حرکت مزیالی مولرها و حفظ فضای E) باید بندها را در جایگاه خود بگذارید و با گیج ارتفاع آن را تنظیم کنید، بعد یک قالب pick-up از روی آنها با آلژینات میگیرید. سپس بندها را خارج و درون آلژینات میگذاریم (شکل 60-1) و گچ آن را میریزیم. بدینصورت بندها به روی کست گچی منتقل میشوند. حال این قالب را به لابراتوار بفرستید تا پالاتالبار یا لینگوال آرچ بسازند. بهتر است بندها را یک درجه بزرگتر بگیرید تا زمانی که به یکدیگر لحیم میشوند جازدن روی دندانها مشکل نشود.

شکل 60-1: قالب pick-up از بندها جهت ساخت لینگوال آرچ و پالاتال بار
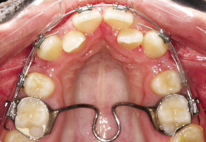
برای ساختن پالاتالبار (شکل 61-1) بهتر است از سیم 1.2mm استفاده نمائید ولی برای ساختن لینگوال آرچ (شکل 62-1) سیم 1mm هم کافی میباشد. این سیم بندهای مولراول را بههم متصل میکند و دارای لوپی هستند که انعطاف پذیری آن را بیشتر میکند.
بهتر است پالاتال بار و لینگوال آرچ را قبل از سمان کردن امتحان کنید و مطمئن باشید که بندها دقیقاً در مقابل دندان مولر اول باشند. گاهی در حین ساخت دچار تغییر شده و روی دندانها راحت جا نمیرود. اگر بازتر از عرض بین مولری باشند و با فشار قرار دهید به مرور عرض بین مولری را زیاد میکنند و بر عکس اگر تنگتر از عرض بین مولری باشند باعث تنگی قوس میگردند

شکل 61-1: پالاتال بار

شکل 62-1: لینگوال آرچ