اکلوژن فانکشنال به رابطه دندانهای بالا و پایین در زمان جویدن اطلاق میشود.
اکلوژن فانکشنال به دو گروه group function و mutually protected occlusion تقسیم میشود. اکلوژن group function در مباحث پروتز کامل است، لذا در این کتاب توضیحی نخواهیم داد.
یک اکلوژن فانکشنال ایدهآل باید نه تنها دارای شرایط اکلوژن استاتیک ایدهآل باشد بلکه انحراف مندیبل هم نداشته باشد.
وقتی فک باز و بسته میشود حول محوری حرکت میکند که مرکز دو کندیل را بهم متصل میکند. حال وقتی کندیبل در موقعیت فوقانی- قدامی و مرکزی خود باشد در زمان بستن فک باید تمام دندانهای پایین همزمان با هم به دندانهای بالا تماس پیدا کنند. در زمان بسته شدن دندانها به اولین تماس اکلوژن CR میگوییم ولی معمولاً تمام دندانهای بالا و پایین با هم تماس همزمان پیدا نمیکنند و بیمار مندیبل را کمی به اطراف منحرف میکند تا تمام دندانهای بالا و پایین بهم تماس پیدا کنند. به تماس تمام دندانها به هم اکلوژن CO میگوییم (حداکثر تماس). اگر همه دندانهای بالا و پایین همزمان بهم برسند و بیمار مجبور نباشد که مندیبل را به اطراف منحرف کند اصطلاحاً میگوییم که CO با CR تطابق دارد.
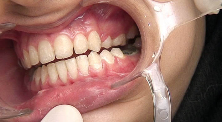
1) اکلوژن کاسپید رایز باشد یعنی در حرکات طرفی سمت کارگر فقط کانینهای بالا و پایین تا آخر با هم در تماس هستند (شکل 17-2) و در سمت بالانس هیچ دندانی در تماس نباشد (شکل 18-2). در حرکات طرفی در بعضی مواقع دندان لترال هم تماس پیدا میکند که به آن Anterior Rise میگویند.
2) در حرکات پیشگرایی قدامیهای پایین با انسیزورهای بالا در تماس هستند و خلفیها آزاد میشوند، شاید بعضی مواقع 4 پایین با 3 بالا در تماس قرار گیرد.
3) در حرکات پیشگرایی و طرفی نباید نقاط پیش رس باشد.

شکل 17-2: اکلوژن کاسپید رایز سمت کارگر

شکل 18-2: اکلوژن کاسپید رایز سمت بالانس
اگر اکلوژن استاتیک ایدهآل حد دیستالی باشد و CO با CR تطابق داشته باشد به یک اکلوژن فانکشنال ایدهآل میرسیم. البته در موارد زیر به اکلوژن استاتیک قابل قبول میرسیم ولی نتایج فانکشنال رضایت بخش نمیباشد:
1. بیماران با اختلاف سایز دندانها (آنالیز بولتون)
2. نبود مادرزادی دندانها
3. وجود فضا بین دندانها
4. بد فرم بودن تاج دندانها
5. عدم تقارن در صورت
6. اپن بایت اسکلتی،کلاسII و III شدید
تاکنون با اکلوژن استاتیک ایدهآل (شکل 19-2)، فانکشنال ایدهآل و شش کلید آقای Andrews آشنا شدید.
اگر اکلوژن خیلی ایدهآل نباشد اما از دید پزشک و بیمار قابل قبول بشود به آن اکلوژن قابل قبول میگوییم.

شکل 19-2: اکلوژن استاتیک ایدهآل