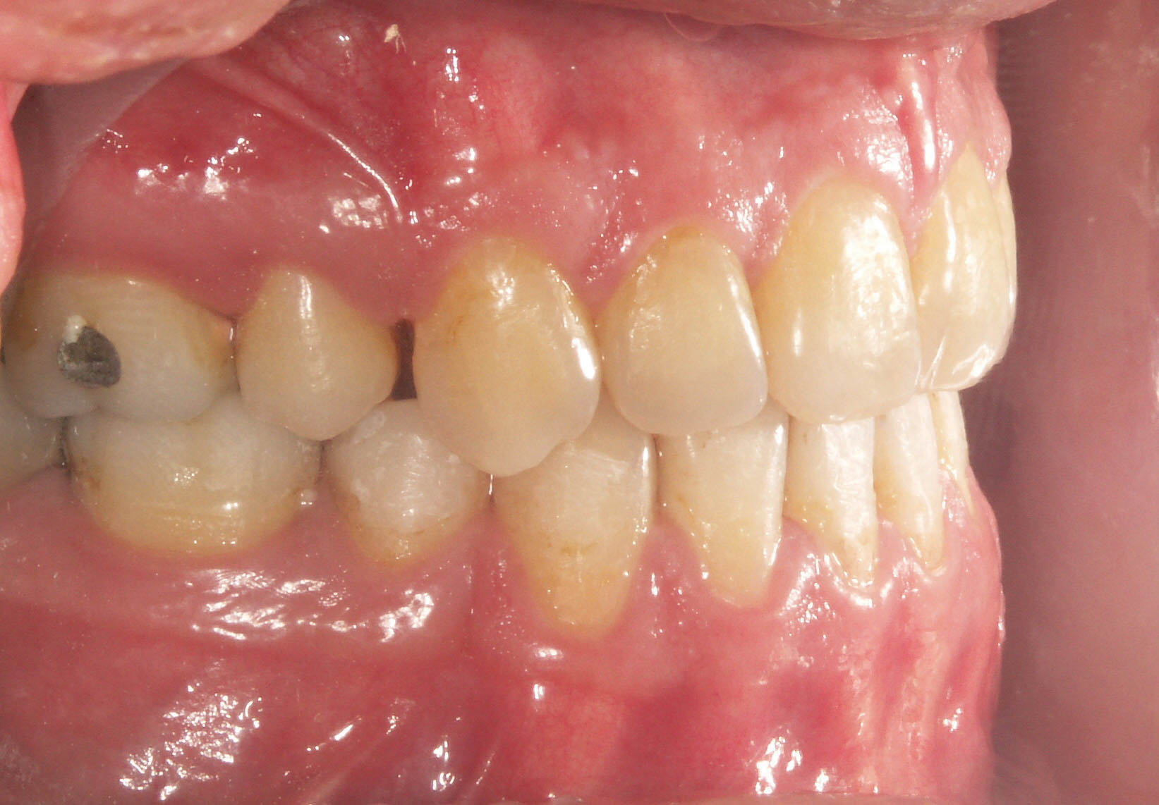
بعضی مواقع وقتی به انتهای درمان میرسید و کانینهای بالا به پشت کانینهای پائین میرسند (رابطه کلاسI کانینی) ولی اورجت بیمار نرمال نمیشود (شکل 20-2).
داشتن اورجت نرمال در انتهای درمان به سه عامل بستگی دارد:
• تورک مناسب دندانهای انسیزور
• تناسب بین سایز دندانهای قدامی
• Tip دندانهای قدامی
با شناخت این عوامل میتوانید کیفیت بهتری از درمان را به بیمارانتان بدهید.

شکل 20-2: نرسیدن به اورجت نرمال در انتهای درمان
تقریباً بیش از 40درصد افراد جامعه بیماران کلاسII هستند (شکل 21-2 و 22-2).
نبود تورک صحیح، بیشتر در بیماران کلاسII دیده میشود، لذا در ابتدا از این بیماران صحبت میکنیم.
در بیمار کلاسII (جلو بودن ماگزیلا یا عقب بودن مندیبل) جبرانهای دندانی (dental compensation) داریم، یعنی بخاطر اورجت زیاد انسیزورهای بالا رترود و انسیزورهای پایین پروترود میشوند. بدین صورت تا حدی اورجت بیمار کم میشود.

شکل 21-2: رابطه کلاسII مولری

شکل 22-2: رابطه کلاسII مولری
درمان این بیماران سه حالت دارد:
1) اگر بیمار کودک باشد (زیر 13 سال) درمانهای فانکشنال عالی است چون باعث تحریک رشد مندیبل و رسیدن به یک پروفایل قابل قبول میشود. اگر بیمار بالای 14 سال باشد به لحاظ پایان دوران رشد افقی فک پائین دیگر درمان فانکشنال امکان پذیر نمیباشد، لذا راههای دوم و سوم را در پیش رو خواهید داشت:
2) اگر قرارگیری قدامی مندیبل باعث زیباتر شدن چهره بیمار میشود باید تا بعد از 18 سالگی صبر کنید تا بعداً با جراحی ارتوگناتیک مندیبل به جلو بیاید و رابطه فکی اصلاح و چهره زیباتر شود.
3) در مواردی که ناهنجاری شدید نباشد میتوان دو پرمولر بالا را کشید و قدامیهای بالا را رترود کرد و اورجت بیمار را اصلاح نمود. در این حالت معمولاً پرمولر پائین را نمیکشیم و درمان فک پائین را با استریپ یا حداکثر کشیدن یک انسیزور تمام میکنیم (شکل 23-2 و 24-2). در انتهای درمان این بیماران رابطه مولری یک کاسپ کامل کلاسII تمام میشود (شکل 25-2 و 26-2).

شکل 23-2: در بیمار نیم کاسپ به بالا کلاسII اگر کمبود فضا دو طرف رو هم 6mm-5 باشد میتوانیم یک انسیزور پایین را بکشیم.

شکل 24-2: فضای سانترال کشیده شده برای رفع کمبود فضای دو طرف کافی بود و دندانها در قوس مناسبی قرار گرفتند.

شکل 25-2: رابطه مولری بخاطر کشیدن پرمولرهای بالا یک کاسپ کامل کلاسII تمام میشود

شکل 26-2: یک کاسپ کامل کلاسII
درمان گروه اول در قسمت Mixed Dentition بیان خواهد شد. گروه دوم هم جز موارد تخصصی بوده و از حوصله این کتاب خارج است. اما درمان گروه سوم مدنظر است که پرمولرهای بالا را خارج میکنید و متناسب با اکلوژن بیمار نوع انکوریج را تعیین میکنید. به هر حال درمان این گروه با دیستاله شدن قدامیهای بالا همراه است تا به اکلوژن کلاسI کانینی و یک کاسپ کامل کلاسII مولری برسیم.
بخاطر رابطه کلاسII فکی (یا فک بالا جلو است یا فک پائین عقب) مقداری جبران دندانی داریم. جبران دندانی در بیماران کلاسII به صورت رترود شدن انسیزورهای بالا و پروترود شدن انسیزورهای پائین است تا به یک اورجت بهتری برسند.
وقتی انسیزورهای بالا رترود بشوند یعنی زاویه آنها با پلن ماگزیلا کمتر بشود در قوس کوچکتری قرار میگیرند.
وقتی انسیزورهای پائین پروترود بشوند یعنی زاویه آنها با پلن مندیبل بیشتر بشود در قوس بزرگتری قرار میگیرند (شکل 27-2 و 28-2). از طرف دیگر با صاف شدن کرو اسپی انسیزورهای پایین پروترودتر هم میشوند.

شکل 27-2: دندانهای بیمار درون قوس هستند خط قرمز قوس فکی را نشان میدهد.

شکل 28-2: وقتی انسیزورها پروترود شوند باکالیتر از خط قرمز که نشاندهنده قوس فکی تصویر قبلی است قرار میگیرد.
بعد از کشیدن پرمولرهای بالا، انسیزورهای بالا عقب میروند تا فضاها بسته شوند اما چون نیرو روی تاج دندانهای انسیزور اعمال میشود، لذا تاج بیشتر و ریشه کمتر به سمت عقب میرود. انسیزورهای بالا به خاطر جبرانهای دندانی رترود بودند. با عقب دادن آنها رترودتر هم شده و قوس مجدداً کوچکتر میشود.
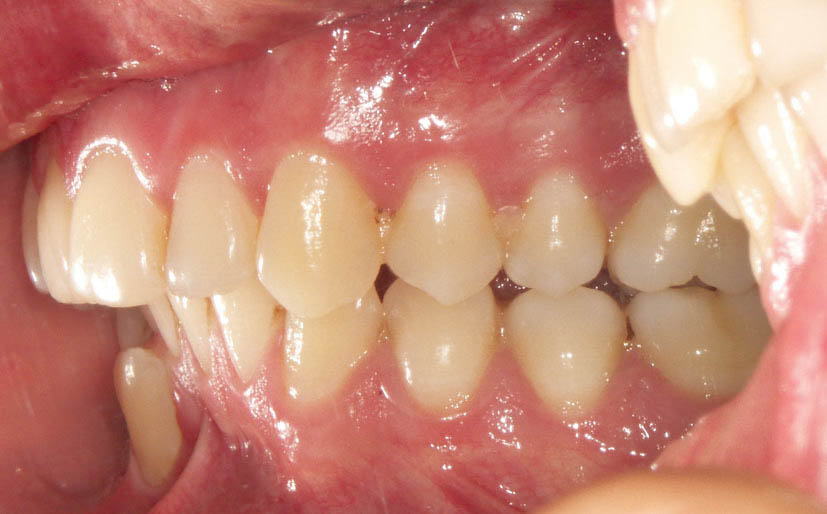
وقتی به انتهای درمان میرسید و رابطه مولری را یک کاسپ کامل کلاسII کردهاید و اورجت هم نرمال است میبینید که قدری فضا در ناحیه پرمولر کشیده شده مانده است (شکل 29-2). چه باید کرد؟
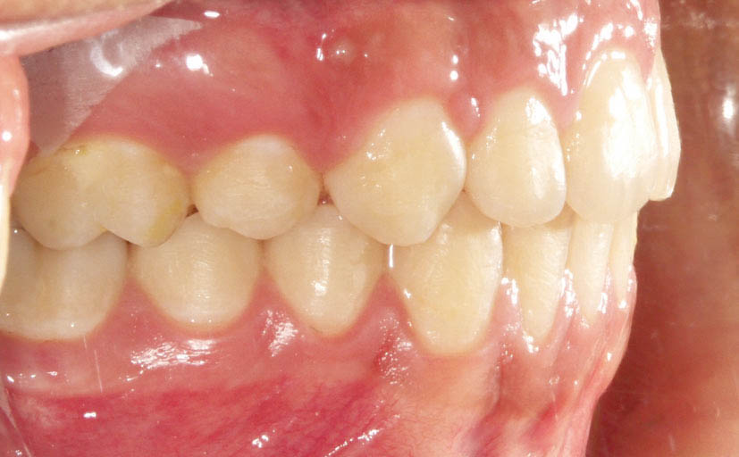
اگر قدامیها را به عقب ببرید تا فضا بسته شود انسیزورها نوک به نوک میشوند (شکل 30-2).
اگر مولرها را جلو بیاورید تا فضا بسته شود رابطه مولری صحیح از بین میرود (شکل 31-2).
مطمئناً برای حفظ رابطه مولری، خلفیها نباید حرکت مزیالی بکنند، لذا باید انسیزورهای بالا را عقب داد اما با اورجت صفر چه باید کرد (شکل 30-2

شکل 29-2: باقیماندن فضا در قوس بالا

شکل 30-2: بستن فضای باقیمانده بالا با دیستاله کردن قدامیها منجر به نوک به نوک شدن انسیزورها و از بین رفتن اورجت میشود

شکل 31-2: بستن فضای باقیمانده بالا با مزیاله کردن خلفیها منجر به از بین رفتن رابطه صحیح مولری میشود
یکی از علل مواجه شدن با این حالت از بین رفتن تورک صحیح انسیزورها میباشد. زاویه انسیزورهای بالا به پلن ماگزیلا کم شده و در قوس کوچکتری قرار گرفتهاند؛ زاویه انسیزورهای پائین هم به پلن مندیبل زیاد شده است و در قوس بزرگتری قرار گرفتهاند؛ لذا اورجت بیمار صفر میشود (شکل 32-2) و دندانهای قدامی fit نخواهند شد.
برای درمان آن باید تورک انسیزورهای بالا و پائین را اصلاح کنید که به سه صورت امکان پذیر است:
1. در ناحیه انسیزوری آرچوایر 0.019x0.025 استیل، مقداری تورک ایجاد کنید. این خم در فک بالا تورک پالاتالی ریشه میدهد تا ریشه (شکل 33-2) پالاتالی و تاج باکالی شود و در فک پائین تورک باکالی ریشه (شکل 34-2) میدهد تا ریشه باکالی و تاج لینگوالی شود

شکل 32-2: در حین درمان انسیزورهای بالا رترود و انسیزورهای پایین پروترود شدهاند. عدم وجود تورک صحیح در انسیزورها مانع رسیدن به اورجت نرمال در انتهای درمان میشود.

شکل 33-2: ایجاد تورک در ناحیه انسیزوری سیم 0.019x0.025 استیل بالا

شکل 34-2: ایجاد تورک در ناحیه انسیزوری سیم 0.019x0.025 استیل پایین
2. از آرچوایرهای 0.021x0.025 نیتی یا استیل استفاده کنید. هر چه قطر آرچوایر بیشتر باشد تورک براکتها بهتر میشود. آرچوایرهای 0.019x0.025 درون شیار براکت 0.022 حدود 10 درجه آزادی دارد که slope نامیده میشود (شکل 35-2). به خاطر این میزان آزادی بین آرچوایر و شیار براکت آمدهاند میزان تورک براکتهای قدامی را نسبت به آنچه در افراد نرمال تحت مطالعه آقای Andrews میبینیم بیشتر کردهاند. میزان واقعی تورک به دست آمده در افراد نرمال برای سانترال و لترال بالا به ترتیب 7 و 3 درجه مثبت و سانترال و لترال پائین هر دو 1درجه منفی است (شکل 36-2) درحالی که در براکتها به ترتیب 17 و 10 درجه مثبت برای بالا و 6 درجه منفی برای پائین در نظر گرفته شده است (شکل 37-2).
افزایش میزان تورک برای اصلاح 10 درجه آزادی بین آرچوایر و شیار براکت است اما در مواردی مانند همین بیماران کلاسII میبینیم که این میزان افزایش تورک باز هم کافی نیست.
اگر از آرچوایرهای ضخیمتر مانند 0.021x0.025 استفاده کنید میزان آزادی به 5 درجه میرسد (شکل 38-2). تورک انسیزورهای بالا 5 درجه بهتر میشود چون مثبت است پس ریشه پالاتالیتر و تاج باکالیتر میگردد. تورک انسیزورهای پائین 5 درجه بهتر میشود چون منفی است پس ریشه باکالیتر و تاج لینگوالیتر میگردد. این فرایند باعث ایجاد اورجت میشود.

شکل 35-2: میزان آزادی سیم 0.019x0.025 درون شیار براکت 022 حدود 10درجه است.

شکل 36-2: میزان تورک بدست آمده در تحقیق آقای Andrews

شکل 37-2: اضافه کردن تورک مثبت انسیزورهای بالا و تورک منفی انسیزورهای پایین در روش MBT

شکل 38-2: میزان آزادی سیم 0.021x0.025 درون شیار براکت 022 حدود 5 درجه است.
3. آرچوایرهای 0.019x0.025 NiTi به بازار ارائه شدهاند که در ناحیه انسیزورها به میزان 20درجه تورک دارند. میتوانید از این آرچوایرها استفاده کنید (شکل 39-2).
در تمام این روشها بهتر است که انسیزورهای پائین استریپ گردند تا امکان لینگوالی شدن راحتتر تاج فراهم شود و قدامیهای بالا هم با سیم لیگاچور بهم figure ∞ گردند تا با باکالی شدن تاج بین آنها فاصله نیفتد.
بنابراین اگر بخاطر از بین رفتن تورک اورجت کم شد میتوانید تورک را اصلاح نمایید تا به اورجت صحیح در انتهای درمان برسید.

شکل 39-2: سیم با 20 درجه تورک در ناحیه انسیزوری
درشکل 40-2 قوس فکی را مشاهده میکنید.
اگر قدامیهای پائین سایز بزرگتری داشته باشند دو حالت رخ میدهد یا پروترود میشوند (شکل 41-2) یا اگر روی همان قوس باشند حالت کرادینگ خواهند داشت (شکل 42-2).
از طرف دیگر اگر قدامیهای بالا سایز کوچکتری داشته باشند (مثلاً لترال بالا peg-shape باشد) در قوس کوچکتری قرار میگیرند (شکل 43-2).
در اول درمان، شاید کوچکی قدامیهای بالا یا بزرگی قدامیهای پائین خیلی مهم نباشد، اما وقتی به انتهای درمان میرسید و کانین بالا در پشت کانین پائین قرار میگیرد دیگر اورجت نرمال نخواهید داشت (شکل 44-2).

شکل 40-2: دندانهای بیمار درون قوس هستند

شکل 41-2: وقتی سایز قدامیهای پایین بزرگتر شود در قوس بزرگتری قرار میگیرند

شکل 42-2: انسیزورهای پایین بزرگتر از حد خود هستند اما پروترود نشدند، لذا حالت کرادینگ پیدا کردهاند

شکل 43-2: سایز کوچک لترال بالا

شکل 44-2: بزرگ بودن قدامیهای پایین یا کوچکی قدامیهای بالا باعث از بین رفتن اورجت میشود