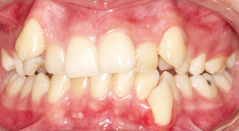
همیشه بین سایز قدامیهای بالا و پائین یک تناسبی وجود دارد. اولین بار آقای بولتون در دهه 1950 به این مساله پی برد و فهمید اگر سایز شش دندان قدامی پائین تقریباً 77% سایز شش دندان قدامی بالا باشد در انتهای درمان وقتی کانین بالا پشت کانین پایین قرار گرفت به یک اورجت نرمال میرسید. مثلاً اگر مجموع عرض شش دندان قدامی بالا 40mm باشد باید مجموع عرض شش دندان قدامی پائین 31mm (40mmx0.77=31mm) بشوند. حال اگر سایز قدامیهای پائین بیشتر از این حد باشد مثلاً 32 یا 33 میلیمتر شود چون برای مرتب شدن در قوس بزرگتری قرار میگیرند لذا در انتهای درمان اورجت نرمال نخواهید داشت.
باید این آنالیز را در ابتدای درمان انجام دهید و پی به این مساله ببرید. اگر سایز لترال بالا کوچکتر از نرمال بود (شکل 45-2) بهتر است که این مقدار را برای بازسازی تاج لترال در نظر بگیرید تا در انتهای درمان ظاهر بهتری هم داشته باشد. اگر سایز لترال بالا خوب است باید از قدامیهای پائین استریپ کنید (شکل 46-2).
این استریپ کردن ربطی به کرادینگ ندارد. شاید بیمار کلاسII داشته باشید که هر دو فک مرتب است و فقط شکایت بیمار از پروتروژن بالا است و هیچ کرادینگی در پایین ندارد اما آنالیز بولتون او نامتناسب است و قدامیهای پائین 2mm بزرگتر از حد مجاز هستند. با اینکه بیمار کرادینگ ندارد اما باز هم باید استریپ قدامیهای پائین را انجام دهید تا در انتهای درمان وقتی کانینها کلاسI شدند اورجت نرمال بشود.

شکل 45-2: کوچکی لترالهای بالا منجر به قرارگیری قدامیهای بالا درون قوس کوچکتر و از بین رفتن اورجت میشود.

شکل 46-2: اگر اختلاف سایز بولتون دارید ولی سایز لترالهای بالا مناسب است، باید از قدام پایین استریپ کنید.
هر دندان قدامی پائین را در حد 0.5mm میتوانید استریپ کنید پس اگر این عدم تناسب تا 3mm باشد میتوانید با استریپ قدامیها جبران کنید اما مواردی هست که اختلاف سایز بیشتر از 4mm میشود، در این مواقع یکی از انسیزورهای پائین را میکشید (شکل 47-2 الی 49-2).
هر بیمار که دارای مقداری کرادینگ در ناحیه قدام پایین باشد نباید یک انسیزور او کشیده شود.
کشیدن یک انسیزور پائین در بیمار با اکلوژن کلاسI پیش فرضهایی دارد:
1) قوس بالا تقریباً مرتب و بدون کرادینگ باشد.
2) نامتناسب بودن آنالیز بولتون از 4mm به بالا باشد و شکایت از پروتروژن نداشته باشد.

شکل 47-2: وقتی بزرگ شدن قدامیهای پایین بیشتر از 4mm باشد کشیدن یک سانترال پایین کمک به اصلاح تناسب قدامیهای بالا و پایین میکند.

شکل 48-2: کشیدن سانترال چپ پایین برای اصلاح آنالیز بولتون

شکل 49-2: بستن فضای سانترال پایین و درون قوس قرار گرفتن مابقی قدامیها

شکل 50-2: با کشیدن یک سانترال میدلاین پایین از بین میرود.

شکل 51-2: کشیدن پرمولرهای پایین بخاطر کمبود فضای شدید در قوس پایین

شکل 52-2: اگر اختلاف سایز شدیدی بین قوس بالا و پایین باشد نباید همزمان با کشیدن پرمولرها یک سانترال پایین را هم بکشید، بهتر است اختلاف سایز را با استریپ پایین و قدری بازسازی لترالهای بالا جبران نمایید.
خیر، نمیتوانیم سه دندان از یک قوس خارج کنیم. در این مواقع کشیدن دو پرمولر پائین را برای رفع کمبود فضا یا اصلاح پروتروژن انجام بدهید اما برای رسیدن به تناسب دندانها و اورجت صحیح انتهای درمان، میتوانید مقداری قدامیهای پائین را استریپ کنید و مقداری هم لترالهای بالا را بازسازی کنید. معمولاً عدم تناسب زیاد بین سایز دندانهای بالا و پایین فقط مربوط به بزرگی قدامیهای پائین نیست بلکه کوچکی لترالهای بالا هم نقش دارد.
بازسازی لترالهای بالا بعد از رفع کرادینگ قدامیهای بالا و ادامه دادن Laceback برای ایجاد فضا بین کانین و لترال انجام میگردد.
معمولا بهخاطر نامتناسب بودن تورک و سایز دندانها اکثراً کمبود اورجت در انتهای درمان وجود دارد، البته به شرطی که یک اکلوژن کلاسI کانینی برای بیمار درست کنید. درمانهای زیادی را میبینیم که رابطه کانینها در انتهای درمان کلاسII تمام میشود و طبیعی است که مقدار اورجت در انتهای درمان کم نخواهد بود. مهم این است که وقتی کانینها در انتهای درمان کلاسI شدند شما یک اورجت نرمال داشته باشید.