لترال سفالومتری
کاربردهای متعددی به شرح زیر میتواند داشته باشد:
مهمترین کاربرد آن تحقیق در زمینه رشد مجموعه جمجمه و صورت است و بین سن ۳ الی ۱۸ سال انجام میشود.
به کمک آن میتوانیم قبل از شروع درمان کودکان، میزان باقیمانده رشد را تخمین بزنیم. استخوانهای صورت و جمجمه منجمله دو فک بالا و پایین تحت سه مکانیسم رشد میکنند: افزایش سایز، تغییر در نسبتها، و تغییر جایگاه. هر سه این موارد تحت تاثیر ژنتیک و عوامل محیطی هستند. اینکه چه میزان از رشد باقیمانده و در کدام جهت رشد رخ میدهد هر دو مهم هستند.
تشخیص انواع ناهنجاری
فاکتورهای متعددی در بروز ناهنجاریها دخیل هستند و با لترال سفالومتری میتوانیم آنها را تقسیم بندی کنیم تا درمان در مسیر درستتری قرار گیرد.
ارزیابی لب، بینی و چانه و اینکه چه ارتباطی با یکدیگر و با بافت سخت زیر خود دارند در لترال سفالومتری قابل اندازه گیری هستند.ضمناً زبان، کام نرم، لوزهها و آدنویید نیز قابل ارزیابی میباشند.
گاهی در حین درمان مخصوصاً درمانهایی که در سن پایین شروع میشوند نیاز به ارزیابی مجدد رشد خواهیم داشت.
بعد از ارزیابی و درک روابط بافت سخت و نرم و انواع ناهنجاریها و تقسیم بندی آن میتوانیم روش درمانی که قابل انجام است را پیادهسازی کنیم.
بعد از اتمام درمان خوب است که یک ارزیابی از کل درمان با سوپرایمپوز نمودن لترال سفالومتریها داشته باشیم.
رادیوگرافی لترال سفالومتری یکی از ابزارهای تشخیصی در ارتودنسی است و در تشخیص و طرح درمان ناهنجاریهای مختلف دندانی و فکی نقش ارزشمندی دارد. آنالیزهای بسیار زیادی ارائه شده است و کتب مختلفی را به خود اختصاص داده، اما آنچه در اینجا ارائه میشود گزیدهای از مطالب مهم است که به تشخیص راحت ناهنجاری کمک میکند.
برای trace یک رادیوگرافی، ابتدا ماگزیلا را رسم کنید (شکل 56-2). در ناحیه قدام خار قدامی بینی (ANS) را میبینید. انتهای خلفی ماگزیلا همان خار خلفی بینی (PNS) است. محل اتصال حفره دهان و بینی دارای یک خط اپک است که از ANS به PNS وصل میشود.
محدوده قدامی ماگزیلا از ANS به سمت پائین میآید و تا استخوان نازکی که روی ریشه سانترال بالا (به نام Prosthion) است ادامه مییابد. این محدوده حالت مقعر دارد و به عمیقترین قسمت آن نقطه A میگویند. از سمت پالاتال سانترال بالا هم به PNS رسم کنید تا شکل ماگزیلا تکمیل شود.
سمفیز مندیبل را هم رسم نمائید. از لبه قدامی آن به سمت بالا بروید تا به استخوان نازکی که روی ریشه سانترال پائین (به نام Infradental) است برسید. این محدوده هم حالت مقعر دارد و به عمیقترین قسمت آن نقطه B میگویند.
کناره تحتانی و خلفی مندبیل را رسم نمائید. اگر سمت چپ و راست روی هم منطبق نباشند یک خط بین آنها بکشید.
بعد از رسم مندیبل و ماگزیلا، نوبت رسم سانترال بالا و پائین است. همیشه لبیالیترین سانترال بالا و پائین را ترسیم کنید مگر اینکه خیلی خارج از قوس باشند. اگر خیلی خارج از قوس باشند سانترال مجاور را بکشید.
حال از نقطه ANS به PNS وصل کنید تا پلن ماگزیلا بدست بیاید. از تحتانیترین قسمت سمفیر که منتون (Me) خوانده میشود به لبه تحتانی مندبیل خطی رسم کنید تا پلن مندبیل بدست بیاید. محور طولی سانترال بالا و پائین را هم بکشید، بدین صورت یک چهار ضلعی بدست میآورید که دو ضلع آن پلن ماگزیلا و مندبیل است و دو ضلع دیگر آن محور طولی سانترالهای بالا و پائین میباشد. به این چهار ضلعی تتراگون Fastlight میگویند.

شکل 56-2: زوایای متداول برای آنالیز لترال سفالومتری
برای ارزیابی ارتفاع عمودی صورت از این چهار ضلعی استفاده میکنیم. دو پلن ماگزیلا و مندیبل MaxilloMandibular Angle یا MMA را میسازند.
MMA یک زاویه بسیار مهمی است و متوسط آن 28درجه است.
به بیماری که MMA او بین 30-26 درجه باشد بیمار Average Angle میگوئیم.
اگر زاویه کمتر از آن بشود به آن Low Angle یا Short Face میگویند و میل به دیپ بایت پیدا میکنند.
برعکس آن زمانی است که زاویه بین فک بالا و پایین (MMA) بیشتر از 30 درجه بشود. به این افراد High Angle یا Long Face میگویند و میل به اپن بایت دارند. Low Angle (یا Short Face) و High Angle (یا Long Face) اصطلاحهای اسکلتی و اپن بایت و دیپ بایت اصطلاحهای دندانی هستند.
شاید بیمار از لحاظ اسکلتی نرمال اما از لحاظ دندانی دیپ بایت یا اپن بایت باشد، و برعکس شاید از لحاظ اسکلتی Low Angle یا High Angle باشد اما اوربایت نرمالی داشته باشد.
نکته: اگر بیمار High Angle داشتید که دارای دیپ بایت بود آن را حتماً به یک متخصص ارجاع دهید. برعکس این حالت (بیمار Low Angle ولی اپن بایت) دیده نمیشود.
دو ضلع دیگر چهار ضلعی Fastlight محور طولی سانترال بالا و پایین است. سانترال بالا با پلن ماگزیلا یک زاویه میسازد به نام Mx1 که نرمال آن 115درجه است، البته در محدوده 120-100 درجه متغیر است. بیشتر یا کمتر از این محدوده احتمال تحلیل لثه باکال یا پالاتال انسیزورها را زیاد میکند.
سانترال پایین با پلن مندیبل یک زاویه میسازد به نام Md1 که نرمال آن 90 درجه است، البته در محدوده 100-80 درجه متغییر است. بیشتر یا کمتر از این محدوده احتمال تحلیل لثه باکال یا لینگوال انسیزورها را زیاد میکند.
وقتی زاویه Mx1 و Md1 زیاد میشود یعنی تورک لبیالی تاج انسیزورها زیاد شده، در واقع انسیزورها به سمت لبیال پروترود شدهاند. در بیماران کلاسII که تقریباً 40% بیماران شما را تشکیل میدهند بخاطر جبرانهای دندانی انسیزورهای بالا رترود (Mx1 کم) و انسیزورهای پایین پروترود (Md1 زیاد) هستند، لذا وقتی به انتهای درمان این بیماران میرسیم با کمبود اورجت مواجه میشویم. نحوه درمان آن قبلا صحبت شده است.
مرحله بعد رسم استخوان بینی است. محل اتصال آن به استخوان فرونتال شامل یک سوچور رادیولوسنت است. به فوقانیترین نقطه آن N (نازیون) میگویند.
از N به A و B رسم کنید. در یک فرد نرمال کلاسI نقطه B عقبتر از A است و نرمال آن دو درجه است. اگر این درجه بیشتر شود نشانده عقب بودن مندیبل یا جلو بودن ماگزیلا (کلاسII) و برعکس آن یعنی اگر زاویه کم شود (صفر درجه یا منفی) نشانده جلو بودن مندیبل یا عقب بودن ماگزیلا است (کلاسIII).
از زاویه ANB برای ارزیابی روابط افقی فکها بیشتر استفاده میشود (آنالیز Steiner)، اما بیمارانی را میبینیم که این زاویه زیاد شده اما نیمرخ صورت زیبایی دارند. بنابراین بهتر از این زاویه، ارزیابی Wits است.
برای ارزیابی Wits ابتدا کاسپهای مزیوباکال مولر اول بالا و پائین را بکشید. این دو کاسپ روی هم اورلپ دارند. وسط این دو نوک کاسپ را در نظر بگیرید. همین کار را با پرمولرها انجام دهید. این نقاط را بههم متصل کنید و امتداد دهید تا پلن اکلوزال بدست بیاید. میتوانید وسط اورلپ سانترالهای بالا و پائین را هم به نوک کاسپ مزیوباکال مولرها وصل کنید.
حال از نقطه A و B به این پلن اکلوزال عمود کنید. محل تلاقی این نقاط با پلن اکلوزال را به ترتیب نقاط AO و BO میگوئیم. حالت نرمال برای خانمها نقاط AO و BO برهم منطبق هستند ولی در آقایان نقطه BO حدود یک میلیمتر عقبتر است.
حال اگر BO در سمت راست AO قرار گیرد بیمار کلاسIII و اگر در سمت چپ قرار گیرد کلاسII میشود.
MMA برای بررسی روابط عمودی فکها میباشد و برای بررسی روابط افقی از زاویه ANB یا ارزیابی Wits استفاده میکنیم. زاویه ANB در بیمارانی که رشد عمودی صورت کم یا زیاد باشد یا چرخش فکها را داشته باشیم قابل اعتماد نمیباشد. در این بیماران ارزیابی Wits بهتر است آنهم به شرطی که پلن اکلوزال را صحیح رسم کنید.
کلاً نباید معیار طرح درمان را بر اساس لندمارکهای رادیوگرافی بگذارید و اینها فقط معیارهای کمکی برای شما میباشند. خواسته بیمار و اکلوژن او خیلی مهم است.
تهیه فیلم رادیوگرافی برای آنالیز بافت نرم باید در شرایط خاصی انجام شود.
• سر به حالت نرمال قرار گرفته باشد (Natural Head Position)
• لبها در حالت استراحت باشند (Relaxed Lip Posture).
حالت اول وضعیت قابل تکراری است. معمولاً افراد در زندگی روزمره سر را به حالت طبیعی نگه میدارند. به صورت سر به هوا یا سر به زیر راه نمیروند. اگر سر خود را بالا نگه دارید سمفیز قدری برجسته میشود و حالت کلاسIII به نظر میآید. اگر سر را به زیر بیاندازید چون سمفیز عقبتر قرار میگیرد حالت کلاسII به نظر میآید. پس در آنالیز بافت نرم سر حتماً باید حالت طبیعی خود را داشته باشد بعد عکس لترال سفالومتری تهیه گردد.
مورد دوم هم حالت استراحت لبها میباشد. بعضی از افراد حالت اپن بایت دارند و لبها به هم نمیرسند، اما در زمان تهیه رادیوگرافی میبینید که لبها را به هم چسباندهاند. این رادیوگرافی ارزش آنالیز بافت نرم را ندارند چون ضخامت لبی را که در عکس میبینید واقعی نیست.
اگر در حالت استراحت لبها به هم نرسند از اصطلاح incompetent lip استفاده میشود که در زمان پروتروژن و اورجت زیاد دیده میشود. با عقب کشیدن انسیزورهای بالا هم زیبایی صورت بیشتر میشود و هم فانکشن لب بهبود پیدا میکند.
نکته: اگر لبها برجسته باشد ولی در حالت استراحت از هم فاصله نداشته باشند کشیدن پرمولر و عقب دادن آنها اثری در موقعیت نهایی لب نخواهد داشت.
پس اگر هر دو پیش فرض درست بود (سر در وضعیت طبیعی و لبها در حالت استراحت) آن موقع بافت نرم بینی و لب را رسم نمائید. محل تماس بینی با لب بالا به نام ساب نازال پریم (S پریم) است. هر قسمتی که مربوط به بافت نرم است یک پریم روی حرف آن بگذارید. مثلاً نقطه A در قدام ماگزیلا است و همان نقطه روی بافت نرم A پریم میشود. از S پریم یک خط عمود به افق رسم کنید. این خط به هیچ پلن مثل فرانکفورت یا SN یا پلنهای دیگر عمود نیست بلکه عمود به افق است. در بعضی از رادیوگرافیها یک زنجیر در جلوی پیشانی میبینید و بهخاطر وزن خود عمود بر افق میشود، لذا میتوانید این خط را موازی این زنجیر رسم نمائید. به این خط True Vertical Line (TVL) میگویند (خط عمود واقعی).
وضعیت لبها و فکها را میتوانید با این خط بررسی کنید، طبق اصول زیبایی شناسی اگر لب بالا 4mm و لب پائین 2mm جلوتر از این خط باشند به نظر زیبا میآید. البته اصول زیبایی از کشوری به کشور دیگر فرق میکند. حتی در یک کشور مثل ایران در شمال یک چهره زیبا به نظر میرسد و در جنوب چهره دیگری. شاید فردی به نظر زیبا بیاید اما لب بالا و پائین او نه تنها جلوی این خط نباشد بلکه عقب هم باشد.
البته در رادیوگرافیهای موجود متاسفانه اصول تهیه عکس را خیلی رعایت نمیکنند. پس بهتر است که ارزیابی پروفایل را از روی ظاهر بیمار انجام دهید.
کلاً اگر لب بالا قدری جلوتر از لب پائین باشد و قدری هم انحنا داشته باشد زیباتر به نظر میآید. مسئله قابل تامل در درمان این است که وقتی دندانهای پرمولر را میکشید و سگمنت قدام را به عقب حرکت میدهید لب به سمت داخل تو میافتد. نتیجتاً باعث کاهش انحناء لب بالا و کمتر دیده شدن قرمزی لب میشود. هر چه انسیزورها بیشترعقب بروند لب بالا بیشتر تو میافتد. لب بالا تا حدود %60 عقب رفتن انسیزورها تو میافتد به شرطی که ضخامت لب در حالت استراحت نرمال باشد (15-12 میلیمتر). مثلاً اگر با کشیدن پرمولرها، انسیزورها تا انتهای درمان 4mm عقب بروند لب حدود 2.4mm توتر میافتد و کمی انحنای آن صاف میشود. حال اگر لب بالا گوشتیتر باشد (لب قلوهئی) کمتر تو میافتد و اگر نازکتر باشد(لب قیطانی) بیشتر تو میافتد.
بیماری مراجعه میکند و شکایت از برجستگی دو فک دارد. اگر بیمار کلاسI باشد و چهار پرمولر را بکشید و مانع جلو آمدن مولرها بشوید تا بیشتر قدامیها عقب بروند، نهایتاً قدامیها در حد 5mm عقبتر قرار میگیرند. اگر لب بیمار ضخامت نرمال داشته باشد حدود %60 یعنی 3mm لب عقب میرود اما اگر لب او ضخیم باشد کمتر عقب میرود.
عقب افتادن لب بالا باعث میشود که قرمزی لب کمتر دیده شود.
• مراقب بیمارانی که لبهای ضخیم دارند یا لبها در حالت استراحت با هم در تماس هستند و از پروتروژن شکایت دارند باشید، چون با کشیدن پرمولرها و عقب رفتن انسیزورها لب خیلی تو نمیرود.
• بیماری در سن بالا مراجعه میکند و شکایت از پروتروژن دارد، معمولاً مشکلات روحی یا خانوادگی دارند. خانمی با کودک خردسال خود مراجعه میکند و شکایت از پروتروژن دارد. پروتروژن او از کودکی بوده، اینکه در این سن مراجعه میکند احتمالاً بهخاطر درگیریهای خانوادگی و وضع روحی او میباشد. فکر میکند اگر به ظاهر خود بیشتر برسد وضعیت خانوادگی بهتری پیدا میکند. اینها اگر بهترین درمان را هم بگیرند باز ناراضی هستند چون مشکل خانوادگی آنها برطرف نگشته است.
بنابراین در مواجهه با بیماران با شکایت از پروفایل اگر پرمولرها را بکشید برجستگی لبها کمتر میشود اما سه گروه از بیماران با شکایت پروتروژن را مراقب باشید:
• افرادی که لبهای ضخیم دارند.
• افرادی که در سن بالا مراجعه میکنند.
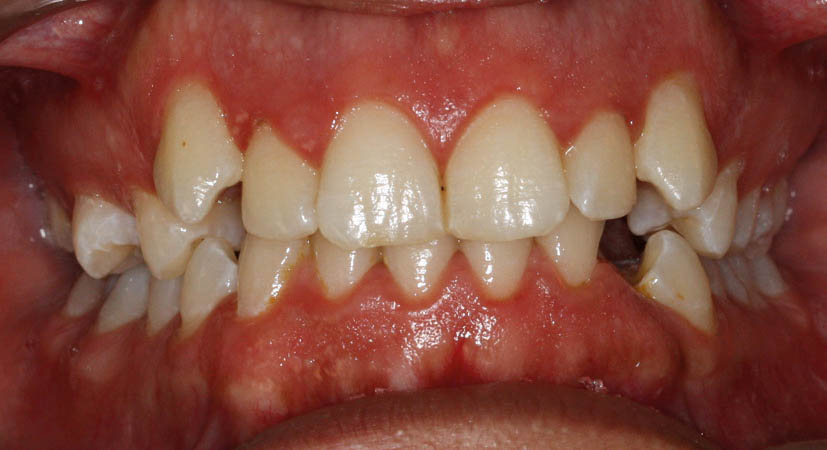
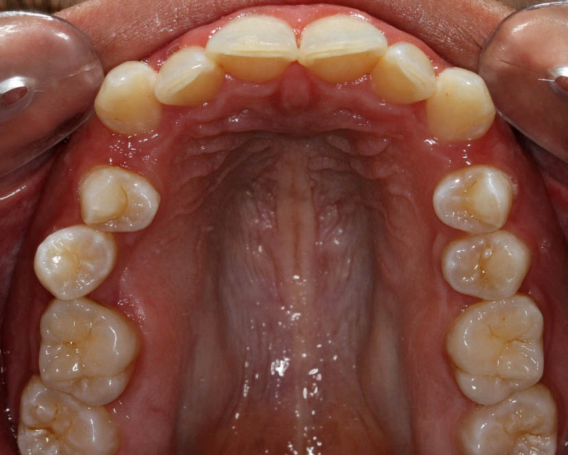
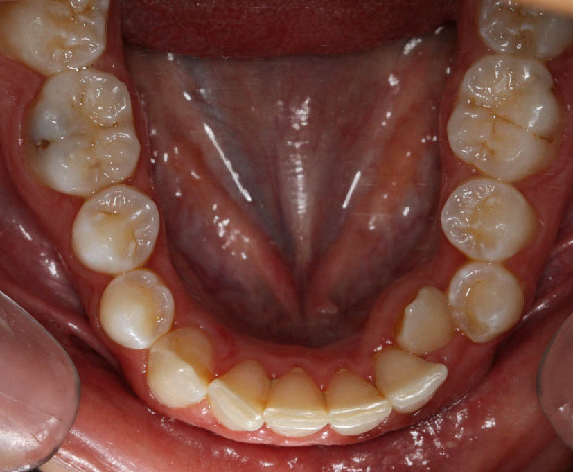
• سوم افرادی که بین دندانهای آنها فاصله وجود دارد (شکل 57-2 الی 61-2).
مورد سوم به این خاطر است که معمولاً فشار زبان باعث ایجاد فاصله بین دندانها شده و اگر پرمولرها کشیده شوند و قدامیها عقب بروند فضای زبان کوچکتر میشود و شاید در تکلم بیمار اختلال ایجاد شود.

شکل 57-2: اکلوژن سمت چپ کلاسI

شکل 58-2: اکلوژن سمت راست کلاسI

شکل 59-2: نمای اکلوزال پایین

شکل 60-2: نمای اکلوزال بالا

شکل 61-2: نمای روبرو