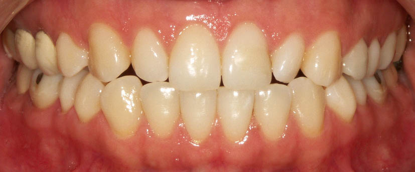
علل off شدن میدلاین
لترالهای Peg Shape: وقتی سایز لترال یک سمت از سمت دیگر کوچکتر باشد میدلاین به سمت لترال کوچک Off میگردد (شکل 68-2)

شکل 68-2: لترال سمت چپ کوچکتر از سمت راست است، لذا میدلاین به چپ Off شده است.
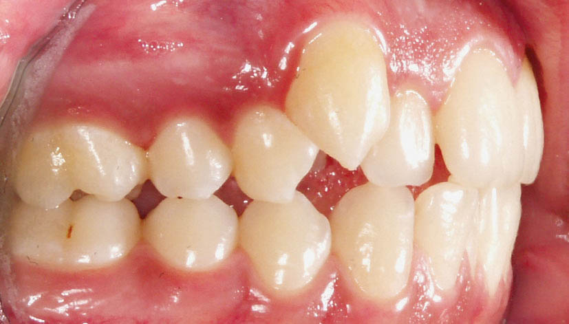
: کراس بایت خلفی یک طرفه معمولاً دو طرفه به همراه انحراف طرفی مندیبل است. انحراف چانه به سمت کراس بایت خلفی موضوع را تایید میکند (شکل 69-2 الی72-2).

شکل 69-2: سمت چپ کراس خلفی داریم.

شکل 70-2: سمت راست کراس خلفی نداریم.

شکل 71-2: میدلاین پایین بخاطر انحراف مندیبل به چپ Off شده است. انحراف اسکلتی است نه دندانی.

شکل 72-2: انحراف چانه به سمت چپ
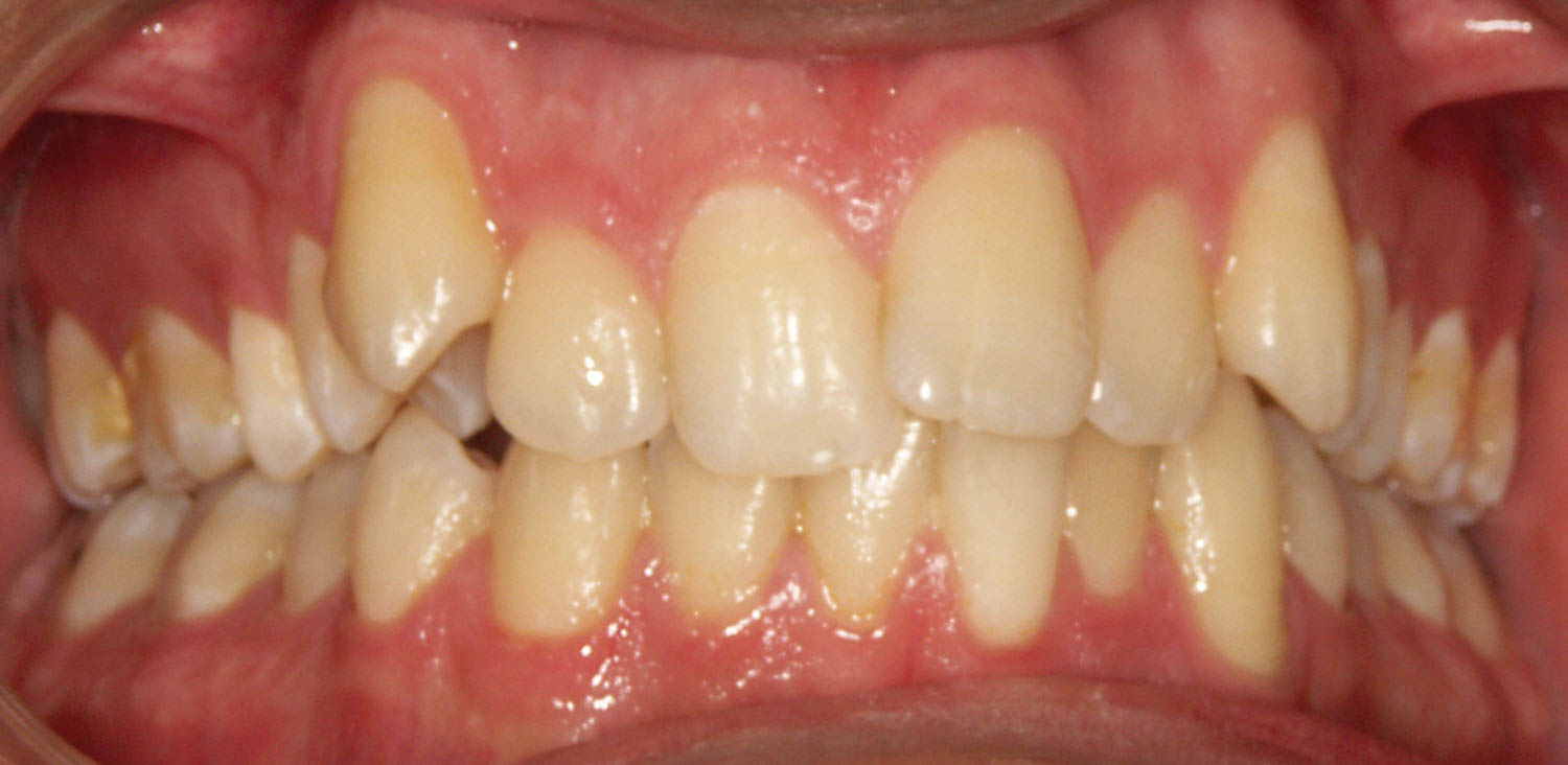
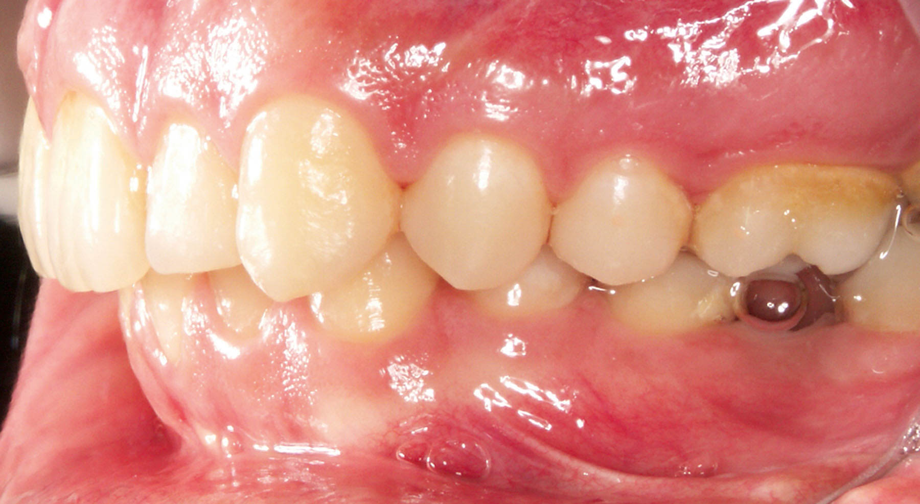
: وقتی اکلوژن یک سمت با سمت دیگر فرق بکند میدلاین Off میشود (شکل 73-2 الی 75-2).
وقتی اکلوژن نامتقارن وجود داردولی از قوس پایین دندانی کشیده شده باشد، قدامیهای پایین به آن سمت حرکت میکنند و اکلوژن از کلاسI بودن میل به کلاسII پیدا میکند. متعاقباً میدلاین پایین اف میشود.
اگر اکلوژن نامتقارن بود ولی تمام دندانها در دهان حضور دارنر، آن موقع مقصر معمولاً فک بالا میباشد که بخاطر کشیدن مولر شیری، حرکت مزیالی مولرهاهای دائمی رخ داده و آن سمت میل به کلاسII پیدا میکند. میدلاین در این مواقع به سمت کلاسI شیفت پیدا میکند.
ماگزیلا در اکلوژن کلاسIII عقبتر از اکلوژن کلاسI یا II است پس میدلاین بالا به سمت کلاسIII منحرف میشود.
اگر یک طرف کلاسII و طرف دیگر کلاسI یاشد چون اکلوژن کلاسI عقبتر از اکلوژن کلاسII است پس میدلاین بالا به سمت کلاسI منحرف میشود.

شکل 73-2: میدلاین بالا بخاطر اکلوژن نامتقارن به سمت راست Off شده است.

شکل 74-2: اکلوژن سمت چپ یک کاسپ کامل کلاسII

شکل 75-2: اکلوژن سمت راست نیم کاسپ کلاسII
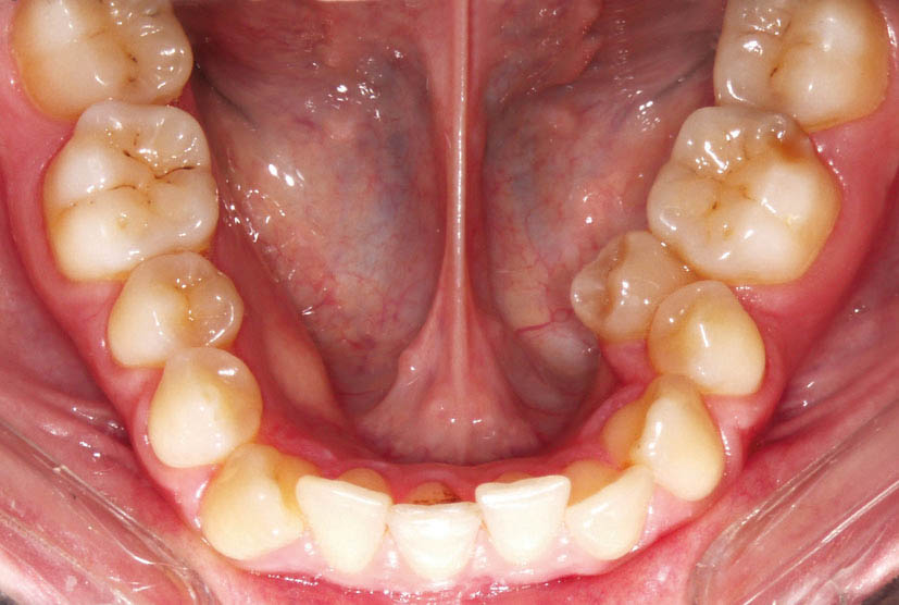
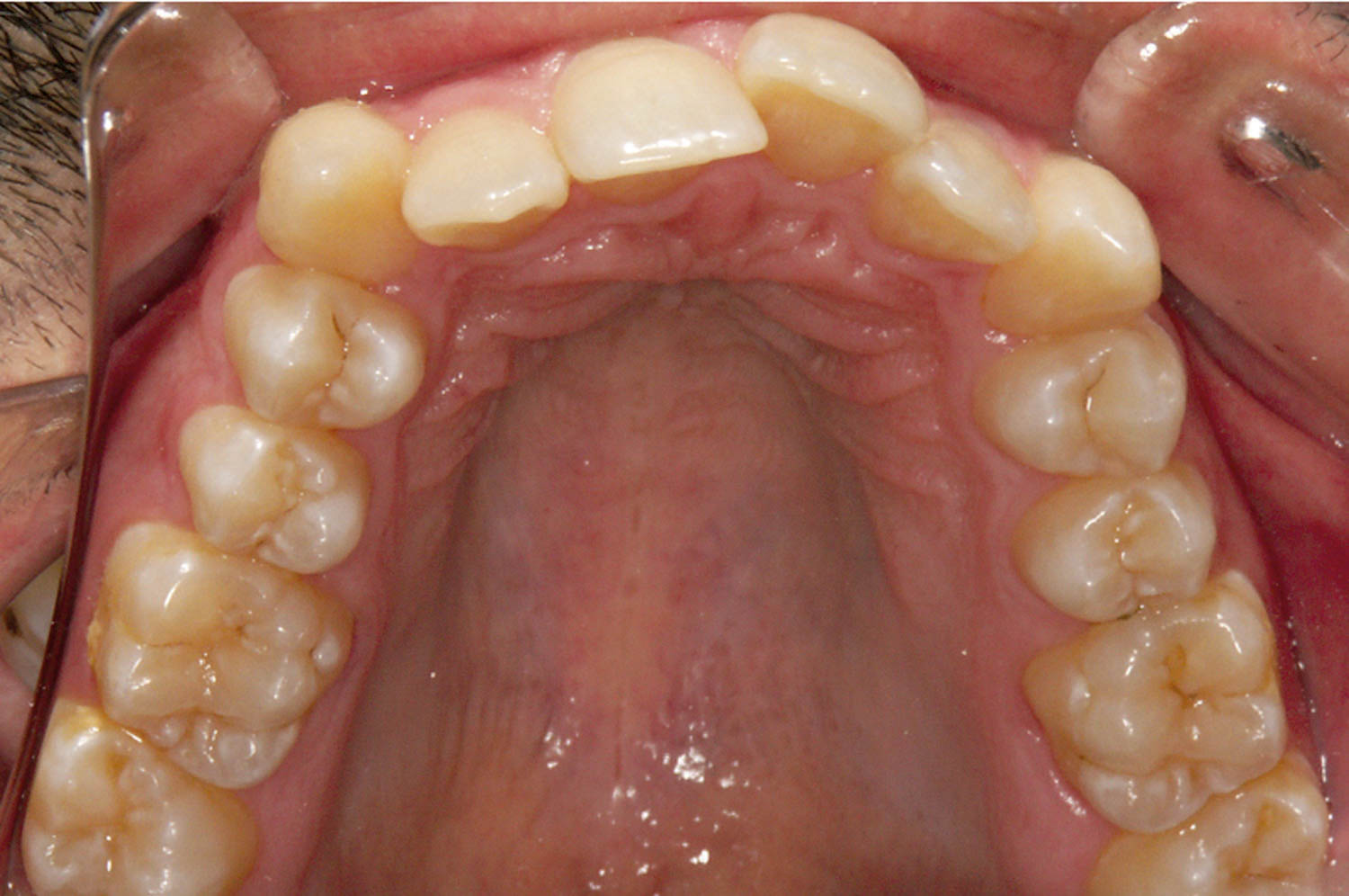
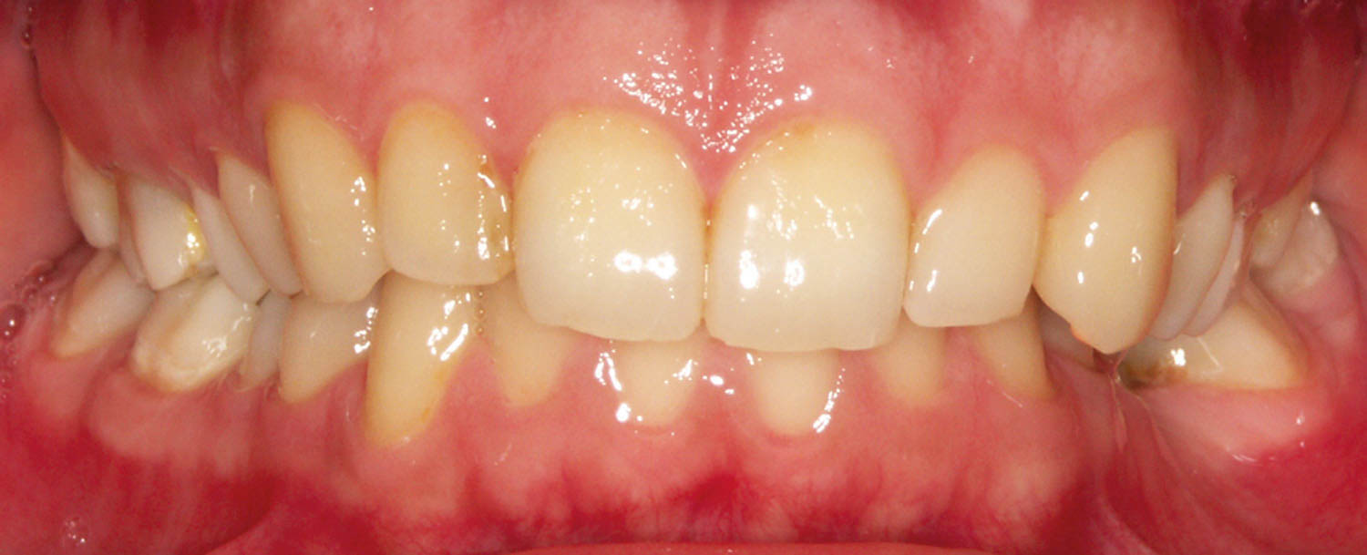
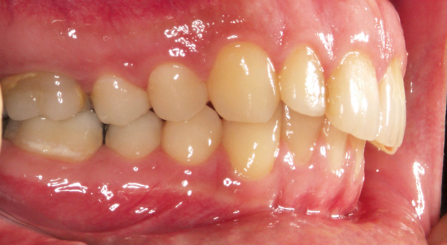
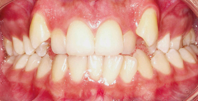
: وقتی کرادینگ یک سمت از سمت دیگر بیشتر باشد میدلاین به آن سمت انحراف پیدا میکند (شکل 76-2 الی 79-2).

شکل 76-2: کرادینگ سمت راست بیشتر از چپ است.

شکل 77-2: میدلاین بالا به سمت راست بخاطر کرادینگ نامتقارن بالا منحرف گردیده است.

شکل 78-2: کرادینگ سمت چپ پایین بیمار دیگری بیشتر از سمت راست است (پرمولر دوم پایین از قوس خارج است).

شکل 79-2: میدلاین پایین به سمت چپ بخاطر کرادینگ نامتقارن پایین منحرف گردیده است.
تمام این موارد را میتوانید در جدولی بنویسید (شکل 80-2) و جمع جبری آنها معرف میزان کمبود فضای شما خواهد شد. نمونه این جدول در شکل 81-2 ارائه شده است.

شکل 80-2: جدول VTO

شکل 81-2: نحوه پرکردن جدول VTO