طرح درمان بالا
در نوشتههای گذشته از اکلوژن بیمار صحبت کردهایم. بهتر است قبل از شروع این بخش مروری بر آن نوشتهها داشته باشید چون طرح درمان بالا به طرح درمان پائین و اکلوژن بیمار بستگی دارد.
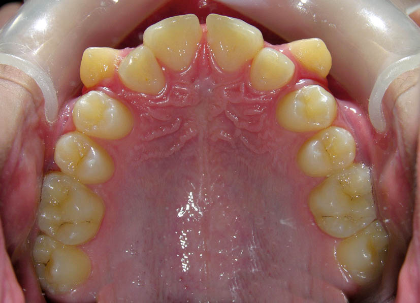
هیچوقت به کست بالا به تنهایی نگاه نکنید و طرح درمان ندهید.
خیلی از مواقع بیمار دندانهای مرتبی در فک بالا دارد و اگر به تنهایی به آن نگاه کنید درمان غیرکشیدنی برای شما تداعی میشود (شکل 93-2) در حالیکه شاید اورجت زیادی داشته باشد و مجبور به کشیدن باشید (شکل 94-2 و 90-2)

شکل 93-2: مرتب بودن دندانهای قوس بالا

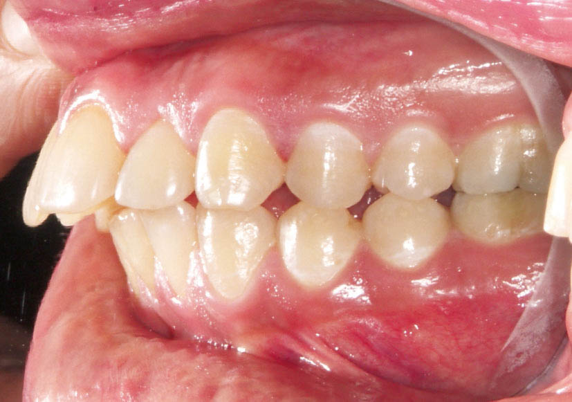
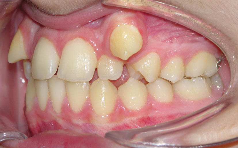
شکل 94-2: اکلوژن یک کاسپ کامل کلاسII در سمت راست

شکل 95-2: اکلوژن نیم کاسپ کلاسII در سمت چپ
خیلی از مواقع نامرتبی نسبتاً زیادی در بالا میبینید و فکر میکنید که باید پرمولرهای بالا را کشید (شکل 96-2) اما وقتی اکلوژن را میبینید، شاهد یک اورجت صفر و یک رابطه مولری کلاسI هستید و اگر پائین غیرکشیدنی باشد، در این صورت باید دندانهای بالا را پروترود کنید تا در عین حال که مرتب میشوند یک اورجت صحیح هم به شما بدهد پس اینگونه بیماران غیر کشیدنی میشوند (شکل 96-2 الی 99-2).
طرح درمان بالا به اکلوژن و کشیدنی یا غیرکشیدنی بودن پایین بستگی دارد.

شکل 96-2:کرادینگ شدید قوس بالا

شکل 97-2: مرتب بودن دندانهای قوس پایین و طرح درمان غیر کشیدنی آن

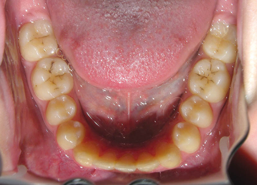
شکل 98-2: اکلوژن کلاسI در سمت چپ

شکل 99-2: اکلوژن کلاسI در سمت راست