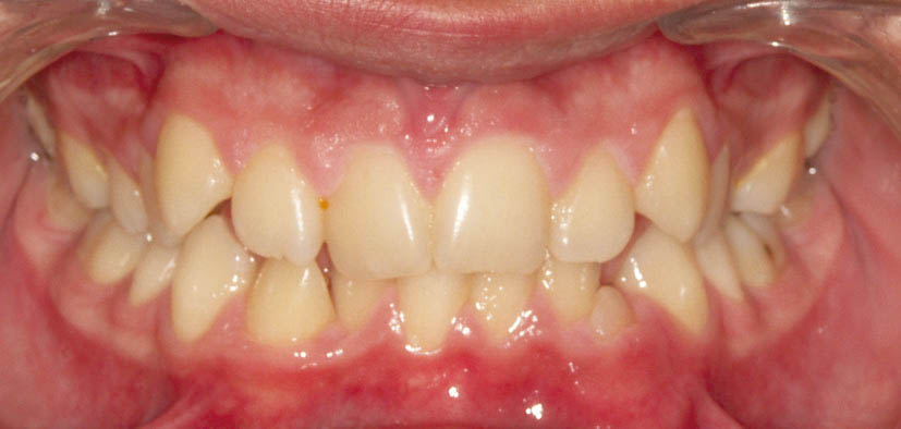
اکلوژن کلاسI
هرنوع طرح درمانی که برای فک پائین بدهید برای بالا هم همان است تا اکلوژن کلاسI بیمار از بین نرود. اگر فک پائین را غیرکشیدنی انجام دادهاید پس برای بالا هم غیر کشیدنی میشود (شکل 96-2 الی 99-2).
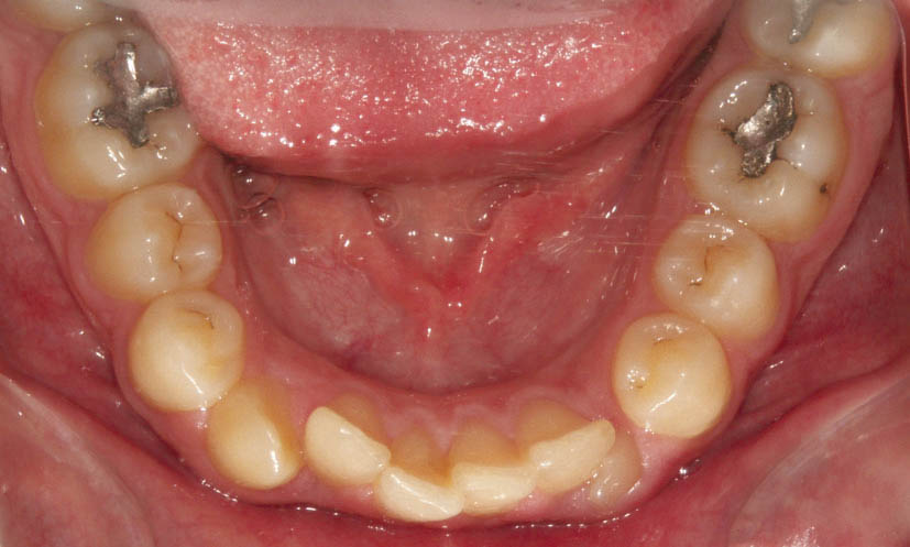
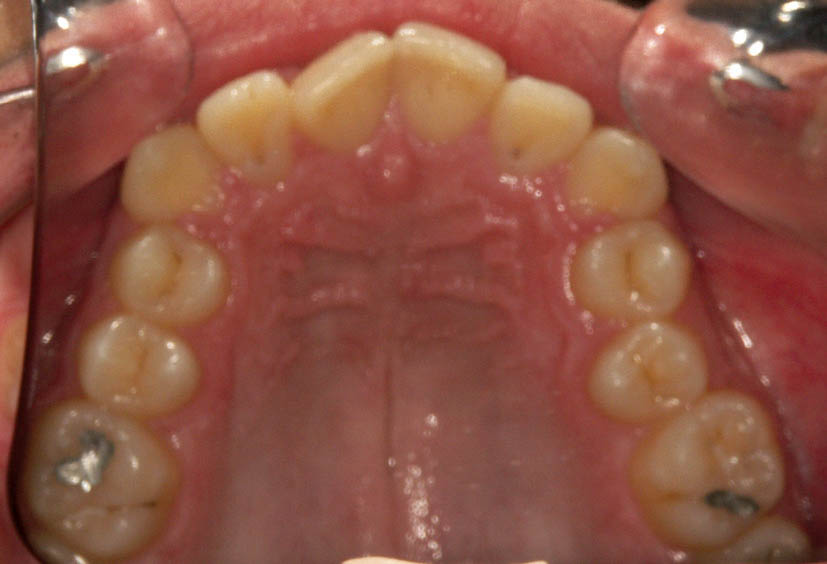
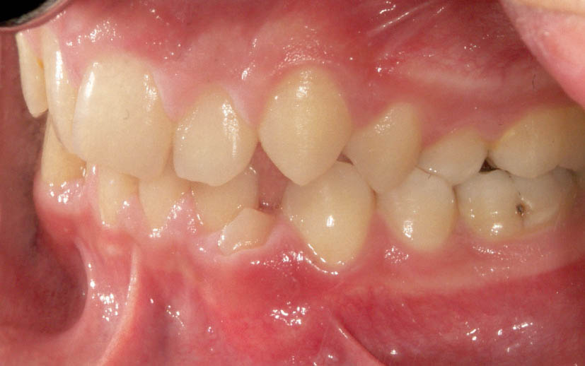
اگر پائین کشیدنی باشد باید بالا را هم بکشید و هر نوع انکوریجی که برای پائین در نظر میگیرید برای بالا هم همان را در نظر بگیرید (شکل 100-2 الی 104-2) تا کماکان رابطه کلاسI بماند.

شکل 100-2: نمای روبرو

شکل 101-2: نمای اکلوزال بالا

شکل 102-2: نمای اکلوزال پایین

شکل 103-2: اکلوژن کلاسI در سمت راست

شکل 104-2: اکلوژن کلاسI در سمت چپ