بیماران کلاسII معمولاً قدری کرواسپی دارند (دیپبایت هستند) و انسیزورهای پائین هم کمی پروترود میباشد (بخاطر جبرانهای دندانی) اما کرادینگ زیادی ندارند، لذا کمبود فضای فک پایین آنها کم است. شکایت اصلی آنها پروتروژن انسیزورهای بالا است.
بهخاطر اکلوژن کلاسII بهتر است فقط از بالا بکشیم و ترجیحاً پائین را غیرکشیدنی انجام دهیم. در این حالت هدف رسیدن به یک کاسپ کامل کلاسII است (شکل 105-2 و 106-2).
وقتی در جدول VTO کمبود فضا پائین در هر سمت زیر 3mm است یا ارتفاع عمودی صورت خیلی کم است غیر کشیدنی کار کنید.
اگر کمبود فضا دو طرف روی هم 5-6mm باشد بهتر است بجای این حجم استریپ یک انسیزور پایین (بهمراه دو پرمولر بالا) کشیده شود.
در صفحات بعدی طرح درمان فک بالا را در روابط مولری مختلف وقتی طرح درمان پایین غیرکشیدنی است را بررسی میکنیم.

شکل 105-2: اکلوژن یک کاسپ کامل کلاسII

شکل 106-2: نتیجه درمان یک کاسپ کامل کلاسII تمام میشود.
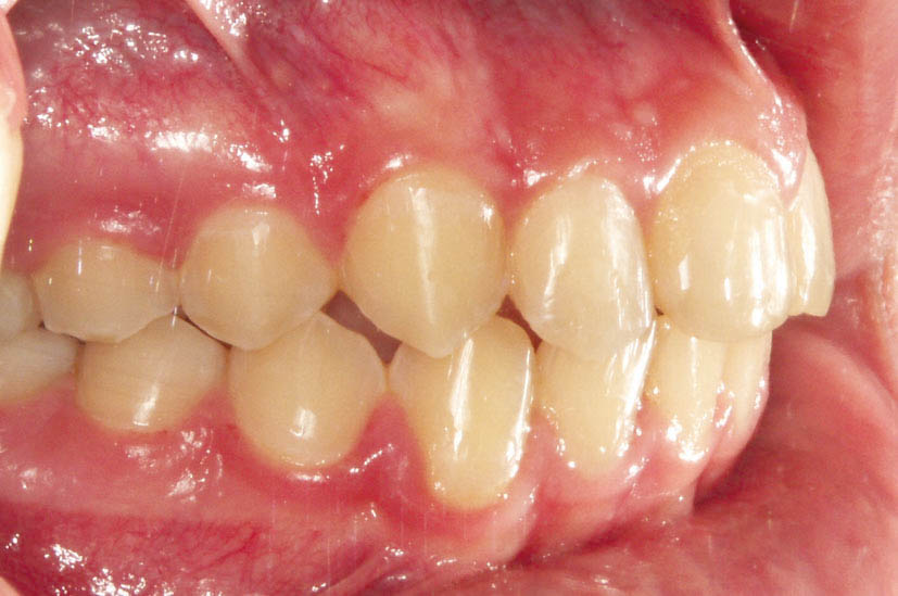
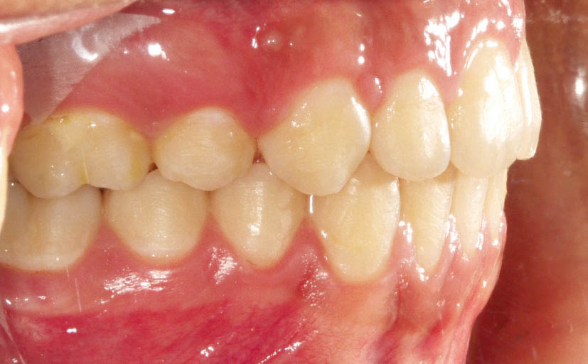
وقتی 7mm یا همان یک کاسپ کامل کلاسII است (شکل 107-2) فقط پرمولر بالا کشیده میشود. هدف رسیدن به یک کاسپ کامل کلاسII است. در ابتدای درمان هم همین اکلوژن را دارید، پس بعد از کشیدن پرمولر اول، تا انتهای درمان نباید خلفیهای بالا حرکت مزیالی بکنند، لذا باید مینی اسکرو بگذارید (شکل 108-2) و تمام فشارها را به آن اعمال کند. وقتی هیچ فشار مزیاله کنندهای روی مولرها نباشد پس حرکتی نخواهند نمود و تا انتهای درمان همان جا میمانند و ارتودنسی به صورت یک کاسپ کامل کلاسII تمام میشود (شکل 109-2).

شکل 107-2: اکلوژن یک کاسپ کامل کلاسII در سمت راست

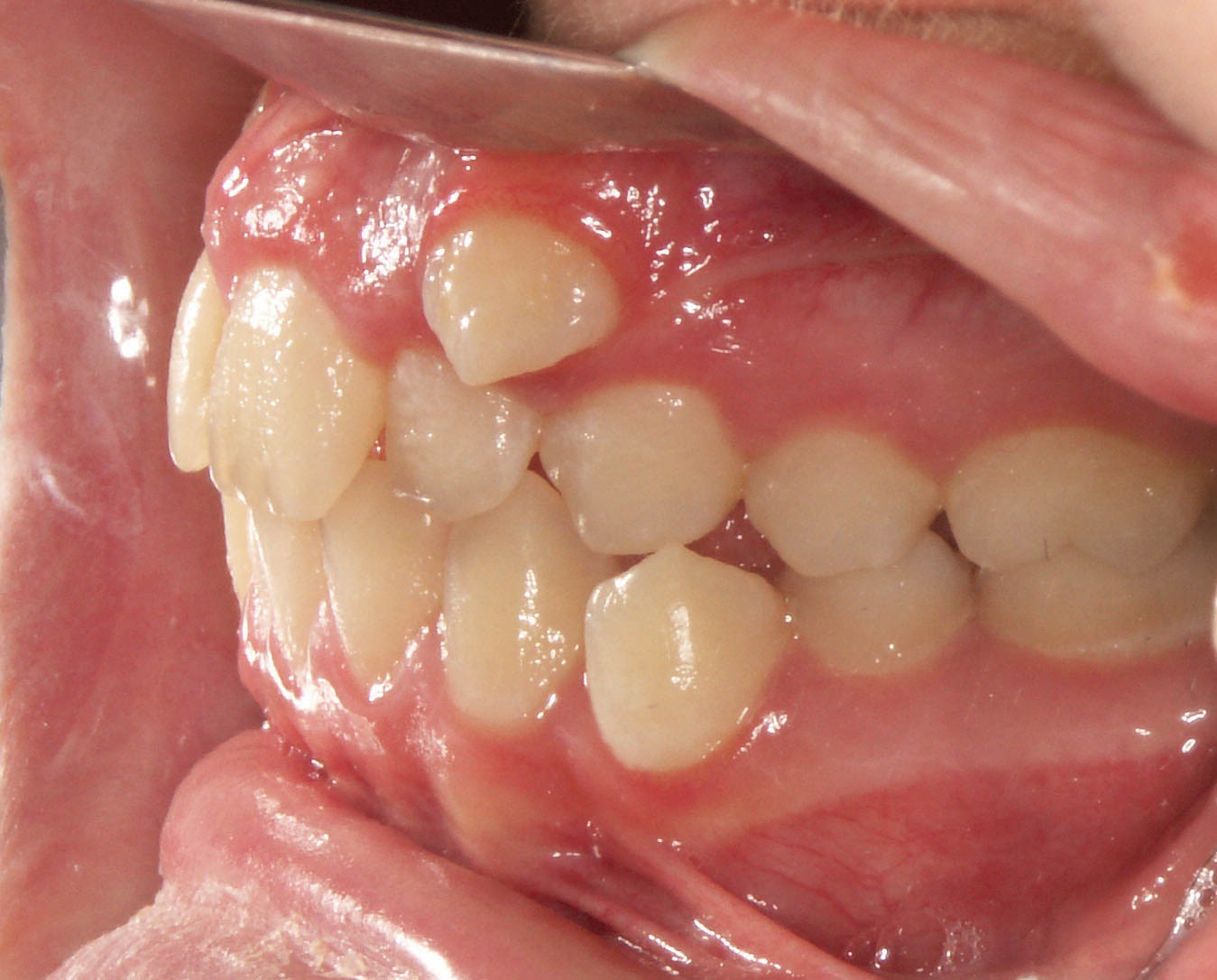
شکل 108-2: قرار دادن مینی اسکرو در یک کاسپ کامل کلاسII

شکل 109-2: نتیجه درمان یک کاسپ کامل کلاسII تمام میشود
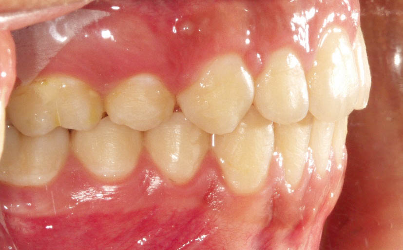
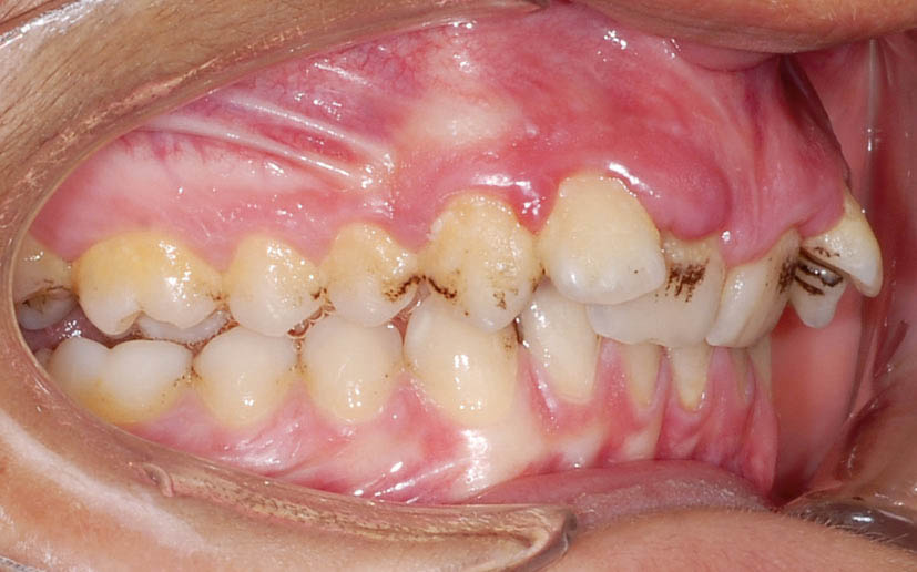
وقتی 5mm کلاسII است (شکل 110-2) فقط پرمولر بالا کشیده میشود. هدف رسیدن به یک کاسپ کامل کلاسII است (شکل 111-2)، لذا مولرهای بالا میتوانند 2mm حرکت مزیالی بکنند. اگر انکوریج را Moderate بگیرید معمولاً 3.5mm جلو میآیند، لذا بهتر است که دندانهای 5 و 6 و 7 را بهم با سیم لیگاچور ضربدری ببندید تا حرکت مزیالی آنها آهستهتر و درحد همان 2mm شود. البته اگر ارتفاع عمودی صورت کم باشد مثلاً MMA درحد 15 درجه باشد آن وقت انکوریج متوسط (Moderate) هم کفایت میکند چون وقتی ارتفاع عمودی صورت کم باشد مولرها بسیار آهسته به سمت جلو حرکت خواهند کرد.

شکل 110-2: اکلوژن 5mm کلاسII

شکل 111-2: نتیجه درمان یک کاسپ کامل کلاسII تمام میشود.
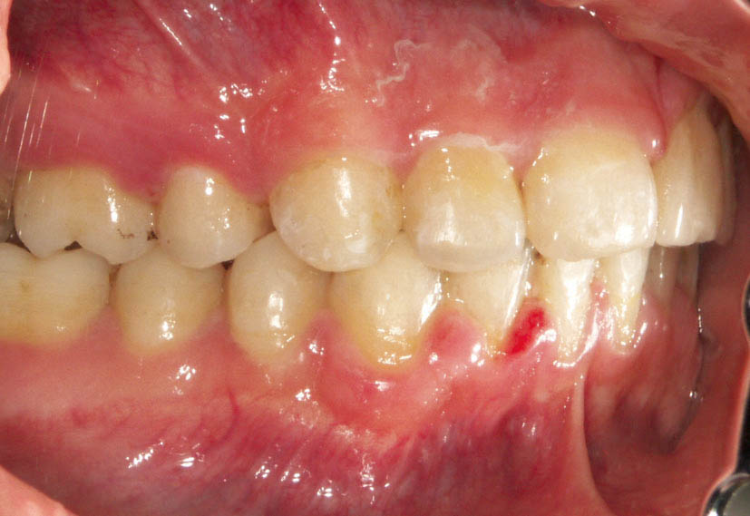
وقتی 3.5mm یا همان نیم کاسپ کلاسII است (شکل 112-2) فقط پرمولر بالا کشیده میشود. هدف رسیدن به یک کاسپ کامل کلاسII است (شکل 113-2)، لذا مولرهای بالا میتوانند 3.5mm حرکت مزیالی بکنند بنابراین انکوریج را Moderate میگیریم. در این حالت دیگر نیازی نیست که دندانهای 5 و 6 و 7 را بهم با سیم لیگاچور ببندید.

شکل 112-2: 3.5mm کلاسII در سمت راست

شکل 113-2: نتیجه درمان یک کاسپ کامل کلاسII تمام میشود.