وقتی 2mm کلاسII باشد (شکل 114-2) اگر پرمولرهای بالا را فقط بخاطر 2mm کلاسII بودن بکشید آن موقع برای رسیدن به یک کاسپ کامل کلاسII، مولرهای شما باید 5mm حرکت مزیالی بکنند که از لحاظ مکانیکی کاری بسیار سخت است. بیماران هم شکایتی از اورجت زیاد ندارند چون 2mm کلاسII اورجت زیادی برای آنها درست نمیکند. این بیماران را مانند بیماران کلاسI (منتهی حد مزیالی آن) قبول میکنیم و چون بنا برغیرکشیدنی بودن فک پائین است، لذا بالا را هم غیرکشیدنی درنظر میگیریم و ارتودنسی را تمام میکنیم (شکل 115-2).

شکل 114-2: 2mm کلاسII در سمت راست

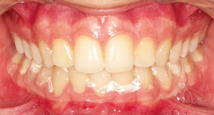
شکل 115-2: نتیجه درمان همان 2mm کلاسII تمام میشود.
وقتی بیمار کشیدنی است همیشه تا دندان مولر دوم بچسبانید. انتهای سیم وقتی درون تیوب7 باشد مانع چرخش مولر اول میگردد، لذا فضای باقیمانده از کشیدن به راحتی با روش لغزشی بسته میشود.
ضمناً تیوب مولر اول پایین را روی مولرهای بالا سمت مخالف بچسبانید و در مزیال هم کمی ژنژیوالیتر تا Intercuspation مولرهای بالا و پایین بهتر شود.
اعدادی که در کمبود فضا (جدول VTO برای فک پایین) نقش دارند شامل کرو اسپی، پروتروژن انسیزورهای پایین و کرادینگ است که در صفحات قبلی بیان شده است.
منظور از غیرکشیدنی بودن پائین استریپ است. پس استریپ انسیزورهای پائین بیماران کلاسII را فراموش نکنید. در بعضی از بیماران کلاسII نیم کاسپ به بالا کمبود فضای پائین در هر سمت حدود 3mm (چپ و راست روی هم 6mm) است. در این بیماران پرمولرهای اول دوطرف را نکشید چون کشیدن پرمولرهای پائین در بیماران کلاسII کار را پیچیدهتر میکند که در صفحات بعدی صحبت خواهیم کرد.
از طرفی استریپ در این حد هم منجر به حساسیت انسیزورها میشود پس بهتر است در این گروه از بیماران، یکی از انسیزورهای پائین را بکشید (شکل 116-2). طبیعی است که میدلاین پائین در انتهای درمان Off خواهد شد (شکل 117-2) اما در زیبایی و لبخند اثر زیادی ندارد. میدلاین بالا در خنده اثر بسیار بیشتری نسبت به پائین دارد.

شکل 116-2: کشیدن یک انسیزور پایین و بستن فضا

شکل 117-2: نداشتن میدلاین پایین
در بیمارانی که رابطه مولری آنها کلاسII است ترجیح میدهیم از پایین نکشیم، چون با کشیدن پرمولر، قدامیها عقبتر میروند و اورجت بیشتر میشود.
مواردی وجود دارد که بخاطر کمبود فضای زیاد یا ارتفاع عمودی زیاد باید پرمولر پایین را بکشید (شکل 118-2).
چون در این بیماران پرمولر پایین کشیده میشود باید از بالا هم بکشید و در نهایت به رابطه کلاسI مولری برسید (شکل 119-2).
در صفحات بعدی طرح درمان فک بالا را در روابط مولری مختلف وقتی طرح درمان پایین کشیدنی است را بررسی میکنیم.

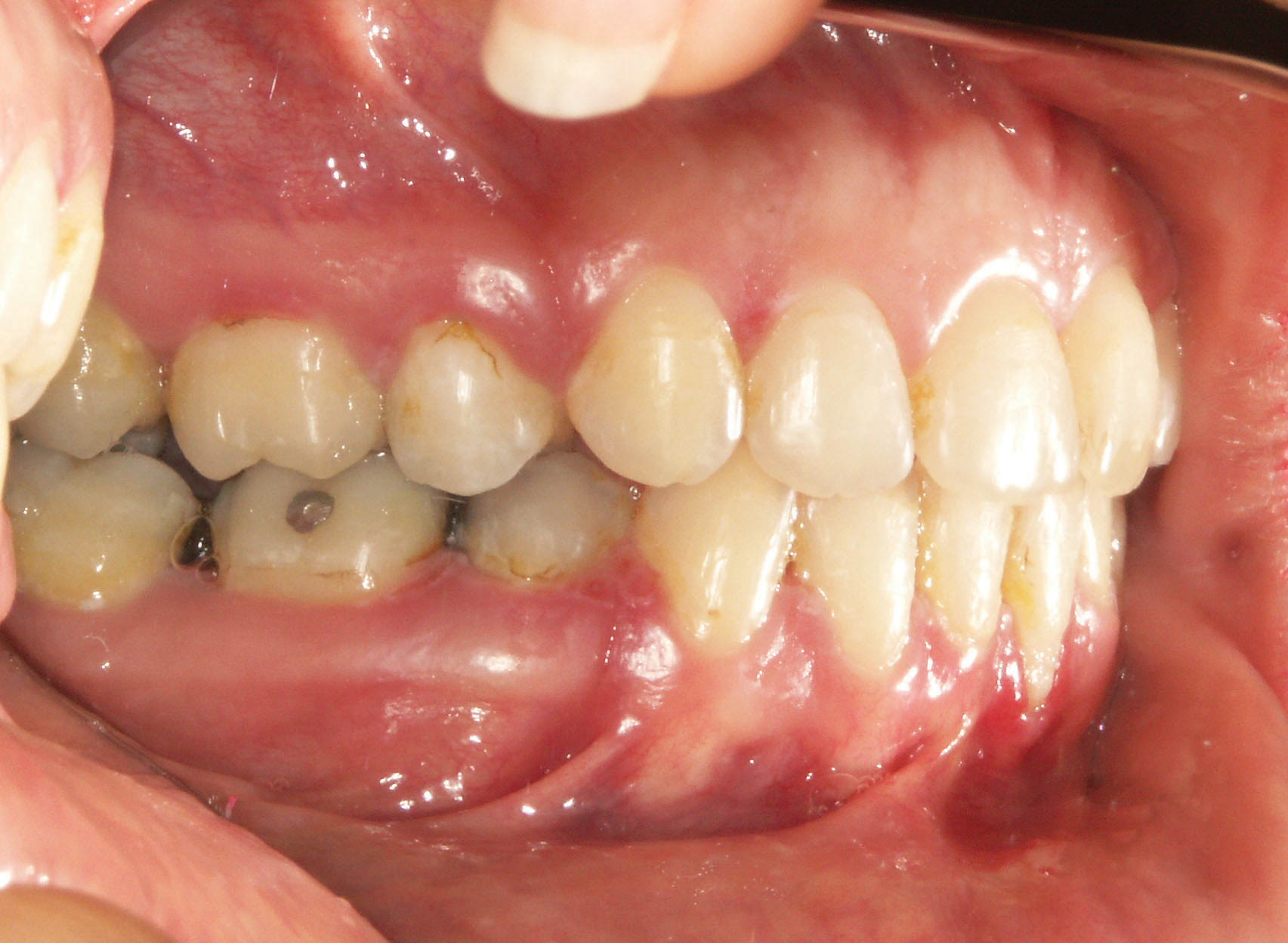
شکل 118-2: اکلوژن کلاسII

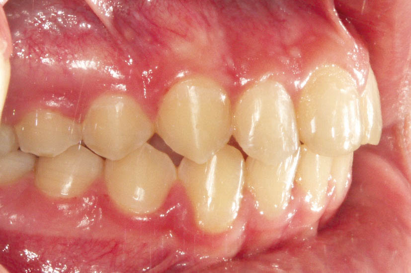
شکل 119-2: رسیدن به رابطه کلاسI مولری بعد از کشیدن پرمولرها
در یک اکلوژن 2mm کلاسII (شکل 120-2) وقتی پرمولر پایین کشیده شود خلفیهای پایین حدود نیم کاسپ (3.5mm) جلو میآیند (شکل 121-2)، پس خلفیهای بالا فقط میتوانند در حد 1.5mm حرکت مزیالی بکنند تا به رابطه کلاسI برسید (شکل 122-2). اگر انکوریج بالا را مانند پایین Moderate بگیرید که همان نیم کاسپ جلو میآیند و روابط همان 2mm کلاسII تمام میشود. باید حرکت مزیالی خلفیهای بالا را محدودتر کنید، پس با سیم لیگاچور براکت 5 و 6 و 7 را بهم ببندید تا با کُند شدن حرکت مزیالی آنها به اکلوژن کلاسI برسید.

شکل 120-2: اکلوژن 2mm کلاسII

شکل 121-2: پرمولر پایین کشیده شده و فضا بسته شده است و خلف پایین نیم کاسپ حرکت مزیالی نموده و اکلوژن را 1.5mmکلاسIII نمود.

شکل 122-2: پرمولر بالا کشیده شد و چون باید اکلوژن کلاسI تمام بشود، لذا خلف بالا باید 1.5mm حرکت مزیالی نماید پس نیاز به فیگور ایت خلفیها دارد.