مقدمه
روش درمان ارتودنسی ثابت در بیماران کشیدنی دارای سه مرحله کلی میباشد:
• هم سطح و مرتب کردن دندانها
• اصلاح اوربایت و اورجت
• بستن فضا
البته در بیماران غیرکشیدنی مرحله بستن فضا را نداریم مگر اینکه بیمار دارای space بین دندانی باشد.
رسیدن به دقیقترین نوع هم سطح و مرتب شدن دندانها نیاز به چسباندن دقیق براکتها دارد.
چسباندن صحیح براکتها
وقتی شما براکتها را در جایگاه صحیح بچسبانید دندانها با اولین سیم (0.012 سوپرالاستیک) شروع به مرتب شدن میکنند. وقتی به طور نسبی مرتب شدند باید سیم را ضخیم کنید یعنی بعد از 0.012 سوپر الاستیک نوبت 0.016 حرارتی است. ماه بعد یک سیم 0.012 سوپرالاستیک روی آن قرار دهید و مجدداً اورینگ بگذارید. دو سیم 0.012 و 0.016 با هم فضای شیار براکت را کاملاً پُر میکنند و در درمان چرخش دندانها بسیار موثر است. ماه بعد 0.019x0.025 حرارتی و نهایتاً 0.019x0.025 استیل بگذارید. وقتی به سیم استیل برسیم دندانها کاملاً مرتب هستند البته به شرطی که براکتها را در جایگاه صحیح چسبانده باشید و کامپوزیت اضافهای زیر آن نباشد.
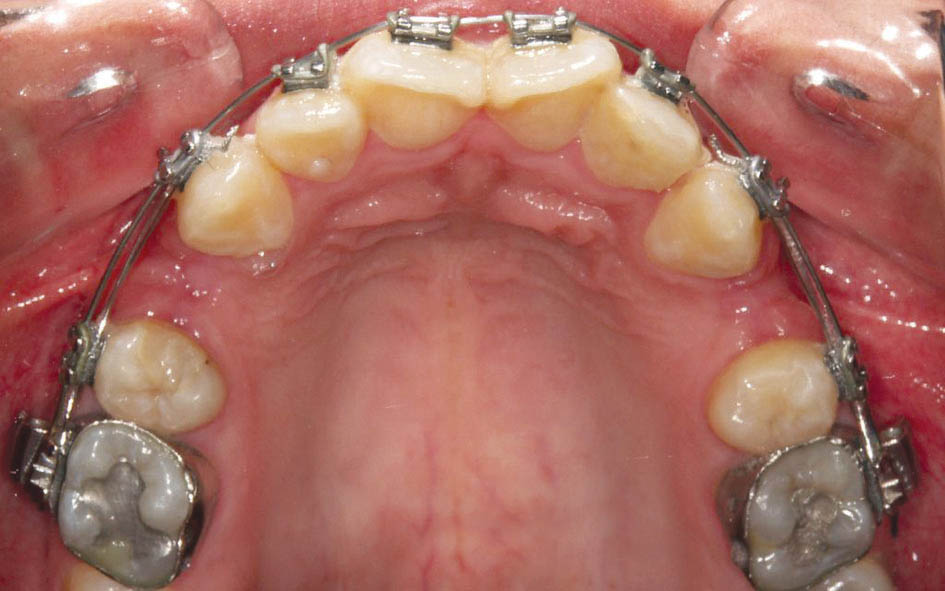
در شکل 1-3 دندانها مرتب هستند. براکت پرمولرها اشتباه چسبانده شدهاست، لذا بعد از قرار دادن سیم (شکل 2-3)، پرمولر اول که براکت آن ژنژیوالی است اکسترود و پرمولر دوم که براکت آن انسیزالی است اینترود شده و از قوس خارج گردیده است. به همین دلیل صحیح چسباندن براکتها برای مرتب شدن و هم سطح شدن دقیق دندانها بسیار مهم است.
چسباندن صحیح براکتها در بعضی مواقع امکان پذیر نیست مانند مواردی که دندانها کرادینگ زیاد دارند و روی هم شدیداً اورلپ دارند. در این مواقع براکت را در نزدیکترین محل به موقعیت صحیح میچسبانید و سیمها را قرار میدهید. بدین صورت تا حد زیادی دندانها مرتب میشوند. بعضی مواقع هم در اوایل کار ارتودنسی که تبحر زیادی ندارید، دقت زیادی میکنید اما سهواً براکتی را اشتباه میچسبانید. بعداً که سیم ضخیم شود دندانی که براکت آن اشتباه قرار گرفته باشد خیلی مرتب نمیشود. برای ارزیابی چسباندن صحیح براکتها مرحله Releveling را داریم.

شکل 1-3: ژنژیوالی چسباندن براکت پرمولر اول و انسیزالی چسباندن براکت پرمولر دوم

شکل 2-3: ژنژیوالی چسباندن براکت منجر به اکسترود و انسیزالی چسباندن آن منجر به اینترود دندان میشود.
این مرحله یک ماه بعد از سیم 0.019x0.025 حرارتی است. ماه بعد از قرار دادن سیم 0.019x0.025 حرارتی باید این سیم کاملاً در کف براکتها خوابیده باشد. اگر نخوابیده باشد (لترال شکل 3-3) باید سیم را با یخ سرد نمائید و کف براکت بخوابانید و بعد به جای اورینگ از وایر لیگاچور استفاده نمائید تا سیم در کف براکت بماند. یک ماه بعد اثر کامل سیم بر روی براکت و دندان را میبینیم. در این زمان باید دندانها کاملاً منظم و مرتب باشند. البته فرض بر این است که کامپوزیت اضافهای زیر براکتها نباشد وگرنه خود این حجم کامپوزیت منجر به نامرتب ماندن دندان میشود. اگر براکتها را اشتباه چسبانده باشید در این جلسه کاملاً مشخص میشود و باید به نحو زیر عمل نمایید:
1. اگر دندانی دچار چرخش بود یعنی براکت آن را در بُعد مزیو دیستالی اشتباه چسباندهاید (شکل 4-3).
2. اگر مارجینال ریج دندانهای مجاور همتراز نبودند یعنی آن دو براکت را در ارتفاع صحیح نچسباندهاید (شکل 5-3).
3. در OPG اگر ریشه دندانها موازی یکدیگر نباشند یعنی براکتها را در محور طولی صحیح نچسباندهاید (شکل 6-3).
در این سه مورد باید براکت دندان مربوطه را جدا کنید و بعد یک براکت نو در وضعیت صحیح بچسبانید و دو سیم 0.016 حرارتی و 0.012 سوپر الاستیک را با هم بگذارید. یک ماه بعد از آن سیم 0.019x0.025 حرارتی و ماه بعد 0.019x0.025 استیل بگذارید. به این کار Releveling میگوئیم. وقتی که به سیم 0.019x0.025 استیل برسید مرحله مرتب و هم سطح کردن دندانها تمام میگردد.

شکل 3-3: سیم درکف براکتهای لترال راست و دو سانترال چپ و راست نخوابیده است.

شکل 4-3: کانین راست پایین چرخش مزیو لینگوالی دارد.

شکل 5-3: مارجینال ریج پرمولرها همتراز مولرها نمیباشد.

شکل 6-3: ریشه سانترال راست بالا به سمت میدلاین منحرف است.