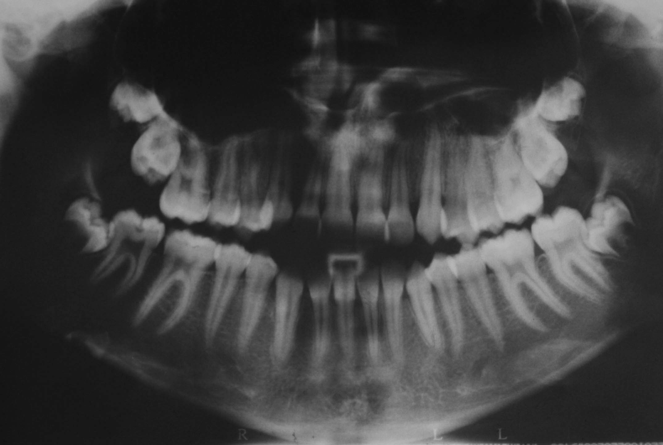
وقتی قرار است که خلفیها بیشتر جلو بیایند، مثلاً در بیمارانی که میل به اپن بایت دارند و کمبود فضا در ناحیه خلفی مشاهده میشود. در این زمان اقدام به کشیدن پرمولر دوم میکنیم. روی هم سوار شدن مولرها در OPG که اصطلاحاً به آن Stacking میگویند (شکل 19-3) نشان از کرادینگ خلفی است. چه این حالت باشد چه میل به اپن بایت داشته باشد، ترجیحاً پرمولر دوم کشیده میشود. بعد از کشیدن پرمولر دوم و تا انتهای درمان مولرها حرکت مزیالی زیادی میکنند. چون در بٌعد باکولینگوالی ریشه پهنی دارند، لذا تنگی آلوئولار پراسس مانع این حرکت میشود. اگر پرمولر دوم را میکشید با تکنیکهای socket preservation ساکت آن را حفظ کنید. عمده بسته شدن فضا در مرحله آخر درمان روی سیم استیل و با فنر آیلتدار انجام میشود. به همین دلیل کشیدن پرمولر دوم را به آن زمان موکول کنید تا تحلیل آلوئولار پراسس که یک فرایند فیزیولوژیک بعد از کشیدن دندان است حداقل باشد.

شکل 19-3:
برای اینکه مولرها نیمکاسپ جلو بیایند (انکوریج متوسط) نیاز به کار خاصی ندارید. همان نیرویی که کانین را عقب میدهد (Laceback) تا قدامیها مرتب بشوند و همان نیرویی که روی سیم استیل کل قدامیها را عقب میدهد (فنر آیلتدار) تا کل فضای باقیمانده بسته بشود، باعث مزیاله شدن خلفیها میشود. با کشیدن پرمولر اول در ابتدای درمان به همین نتیجه خواهید رسید. گرچه آرچ وایر همیشه درگیر باکال تیوب مولر دوم میشود ولی نیازی به فیگور ایت دندانهای خلفی نیست.
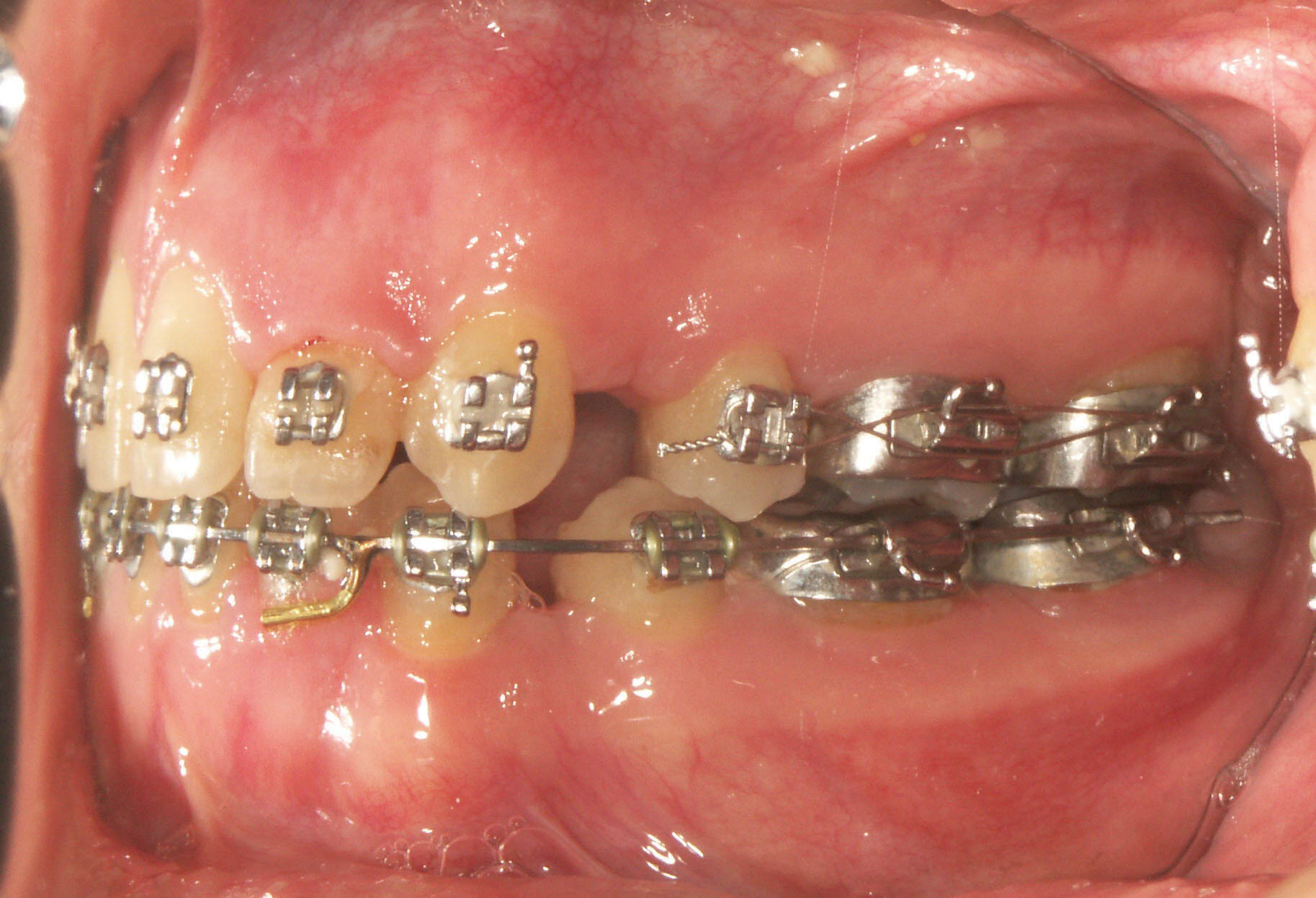
اگر قرار است که خلفیها کمتر از نیم کاسپ جلو بیایند بهتر است که دندان 5 و 6 و 7 را با سیم لیگاچور ضربدری بهم متصل کنید (شکل 20-3).

شکل 20-3: figure∞ براکت دندانهای 5 و6 و7 بالا
اگر قرار است که خلفیها اصلاً جلو نیایند در آن موقع باید از مینیاسکرو استفاده کنید (به مورد اخیر انکوریج مطلق میگوییم). (شکل 21-3 و 22-3)
در زمان بستن فضا محل اعمال نیرو روی ناحیه خلفی، باکال تیوب مولر اول است، لذا باکال آن بیشتر مزیاله و سمت لینگوال کمتر مزیاله میشود. این بدان معنی است که در حین بستن فضا مولر اول دچار چرخش میشود، لذا بعد از مدتی دیگر فضا بسته نمیشود (شکل 23-3). در موارد کشیدنی برای جلوگیری از این حالت حتماً باید دندان هفت را بچسبانید تا انتهای سیم درون تیوب هفت باشد.

شکل 21-3: اتمام درمان بدون مزیاله شدن مولرها

شکل 22-3: اعمال تمام نیروها به مینی اسکرو بعد از کشیدن پرمولراول

شکل 23-3: نیروی بستن فضا روی مولر اول باعث چرخش آن شده است. چسباندن براکت مولر دوم و قرار دادن سیم درون آن مانع چرخش مولر اول در زمان بستن فضا میشود.
انتهای سیم انعطاف پذیری بالایی دارد، لذا اگر تا مولر اول چسبانده باشید و Active Tieback را به آن بزنید بخاطر انعطاف بالای سیم، مولر اول سریع دچار چرخش میشود. اگر تا مولر دوم بچسبانید و سیم درون باکال تیوب مولر دوم باشد در این صورت وسط سیم درون باکال تیوب مولر اول قرار خواهد داشت که انعطاف کمتری دارد، لذا کمتر دچار چرخش میشود. چرخش مولر اول یک مانع اصلی در زمان بسته شدن فضا است و بدین صورت با قراردادن انتهای سیم درون مولر دوم باعث بسته شدن راحت فضا میشویم.
اگر قرار است خلفیها اصلاً جلو نیایند باید مینی اسکرو بگذارید (شکل 24-3) بدین صورت فضای بدست آمده از کشیدن پرمولر خرج دیستاله شدن قدامیها میشود. اگر بیمار در فک بالا دچار کرادینگ شدید باشد و اورجت زیادی نداشته باشد، مصرف فضای پرمولر اثری روی نیمرخ صورت ندارد، اما اگر در فک بالا کرادینگ نداشته باشد و اورجت زیاد باشد آن موقع با عقب رفتن قدامیها شاهد تو افتادن لب بالا خواهیم بود (شکل 25-3 و 26-3)

شکل 24-3: بیمار با اکلوژن یک کاسپ کامل کلاسII و پروتروژن. اعمال تمام نیروها به مینی اسکرو بعد از کشیدن پرمولر اول.

شکل 25-3: نیمرخ قبل از درمان بیمار فوق

شکل 26-3: نیمرخ بعد از درمان و بستن فضای پرمولر اول به کمک مینی اسکرو
برای قرار دادن پیچ، بیمار دهانش را با کلروهگزدین شستشو میدهد. از چند قطره بیحسی استفاده نمایید به نحوی که فقط لثه بیحس شود؛ میتوانید از ژل بیحسی هم استفاده نمایید. پیچ را با زاویه 30درجه به سمت ریشه و به آرامی بپیچانید تا کاملاً درون استخوان قرار گیرد. اگر سریع پیچ را بپیچانید منجر به ایجاد حرارت میشود و چون استخوان حس دارد، بیمار احساس درد خواهد نمود. پیچاندن سریع پیچ تولید گرما میکند و منجر به نکروز بافتی میگردد که خود یکی از علل لق شدن مینی اسکرو است. در زمان پیچاندن مینی اسکرو حداکثر نیرو 30Ncm بیشتر نشود. قبل از اعمال نیرو به پیچ از محکم بودن آن اطمینان حاصل کنید (Primary Stability) و در دو ماه اول هم، از سیم 0.012 سوپرالاستیک استفاده نمایید تا سطح نیرو کم باشد.
این سیم تا 3mm انحراف نهایتاً 50gr نیرو اعمال میکند. حداکثر نیرو قابل تحمل روی مینی اسکرو بعد از گذشت دو ماه بسته به شرکت تولید کننده آن حدود 300gr است.
Laceback را به مینی اسکرو بزنید تا مانع پروترود شدن کانین بشود. هیچ وقت Bendback نزنید تا انسیزورها سریع پروترود بشوند و مرتب گردند. بعد از مرتب شدن انسیزورها سیم را ضخیم نمایید (0.016 حرارتی و0.019x0.025 حرارتی و 0.019x0.025 استیل). در زمان سیم استیل، Passive Tieback را به مینی اسکرو بزنید و ماه بعد برای بستن فضا حتماً از فنرهای نیتی eyeletدار استفاده کنید تا نیروی ملایم و ممتد اعمال کند و باعث لقی مینی اسکرو نشود.
در بستن فضا معمولی (بدون مینی اسکرو) سه حالت داریم (شکل 27-3):
• قدامیها عقب میروند.
• خلفیها جلو میآیند.
• ترکیبی از این دو نوع حرکت.
عقب رفتن قدامیها یا جلو آمدن خلفیها باعث بسته شدن بایت میگردد.
نیروی بستن فضا با مینی اسکرو مستقیم به سمت عقب نیست بلکه کمی به سمت لثه است (شکل 28-3). این نیرو به دو بردار تجزیه میشود: یکی افقی و دیگری عمودی. بردار افقی باعث بسته شدن فضای دندان کشیده شده میشود در حالی که بردار عمودی مانع دیپ بایت شدن بیمار میگردد.
در زمان بستن فضا با مینی اسکرو، دیگر خلفیها جلو نمیآیند و قدامیها هم که عقب میروند بردار نیرو به نحوی است که قدری اینترود میشوند بنابراین بایت بیمار بسته نمیشود. البته این بردار عمودی اینترود کننده فقط مانع بسته شدن بایت میگردد و اثری روی باز شدن بایت ندارد پس اگر بیمار دیپ بایت است و از مینی اسکرو استفاده میکنید باید قبل از بستن فضا بایت را حتماً باز کنید و به امید مینی اسکرو نباشید!
در بعضی موارد از مینی اسکرو یک طرفه استفاده میشود مثلاً یک بیمار که یک سمت نیم کاسپ کلاسII و سمت دیگر یک کاسپ کامل کلاسII است. پایین اگر غیرکشیدنی باشد در فک بالا بخاطر کلاسII بودن از هر دو طرف میکشید و نهایتاً یک کاسپ کامل کلاسII تمام میکنید. آن سمتی که نیم کاسپ
کلاسII است باید انکوریج متوسط باشد در حالی که در سمت دیگر که یک کاسپ کامل کلاسII است باید مینی اسکرو بگذارید.
در سمتی که فضا معمولی بسته میشود احتمال بسته شدن بایت وجود دارد در حالیکه در سمت مینی اسکرو بایت تمایل به باز شدن دارد، نهایتاً در انتهای درمان با یک اپن بایت خلفی یکطرفه در سمت مینی اسکرو روبرو میشوید.
به همین دلیل در مواردی که مینی اسکرو را یک طرفه میگذارید بهتر است که از سیم استیل بدون هوک استفاده نمایید و خودتان آنها را با هوکهای crimpable بلند (صفحه 105) هوکدار نمایید. در سمتی که مینیاسکرو دارید از هوکهای بلند استفاده نمایید تا جهت بردار نیرو افقی شود و بردار عمودی اینترود کننده به حداقل برسد و اپن بایت خلفی یک طرفه کمتر رخ بدهد. در سمت دیگر از هوکهای کوتاه معمولی استفاده شود.

شکل 27-3: بستن فضا بصورت متقابل (Active Tieback)

شکل 28-3: بستن فضا به کمک مینی اسکرو