بُعد عمودی را هم به سه ناحیه انسیزورها، کانینها و مولرها تقسیم مینماییم تا درک آن راحتتر باشد.
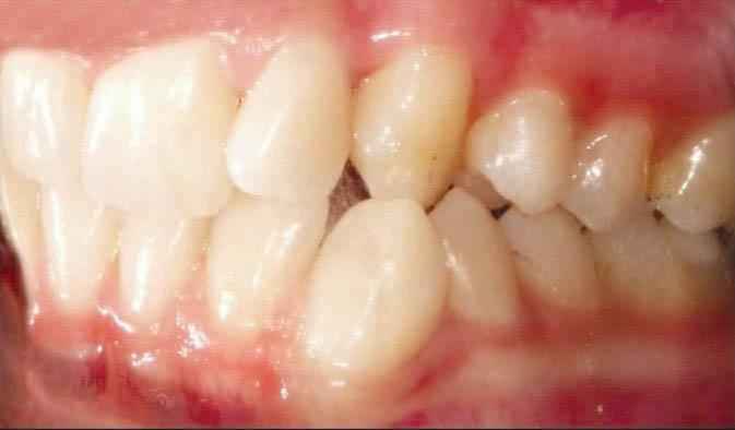
بعضی مواقع بیمار داری یک یا دو کانین با تاج دیستاله است (شکل 29-3). براکت را باید موازی محور طولی تاج بچسبانیم تا بعد از درگیر شدن سیم به آن، تاج کانین به مرور به tip صحیح برسد. وقتی سیم را درگیر براکت کانین نمایید
یک انحنائی برمیدارد و از لبه انسیزالی انسیزورها عبور میکند (شکل 30-3). این انحنا در قدام باعث میشود که سیم نسبت به براکت انسیزورها انسیزالیتر قرار بگیرد. بعد از درگیر شدن سیم با براکت انسیزورها به مرور شاهد اکسترود این دندانها میشویم و بایت بیمار بستهتر میشود.
اگر بیمار اپن بایت است که خوب میشود، اما اگر بایت بیمار نرمال یا دیپ است بدتر شده و در نهایت بایت او بستهتر میشود.
پس اگر با تاج دیستاله کانین مواجه شدید و بایت بیمار نرمال یا دیپ بود، بهتر است سیم را درگیر براکت انسیزورها نکنید و ترجیحاً روی دندانهای انسیزور براکت نگذارید تا tip دندانهای کانین اصلاح شود (شکل 31-3). هر وقت که زاویه tip اصلاح شد براکت انسیزورها را بچسبانید بدین صورت مانع اکسترود شدن بیمورد آنها میشوید. اگر تاج کانین خیلی دیستاله باشد این زمان خیلی طولانی شده و شاید به حدود ۹-۶ ماه طول بکشد.
بخاطر فشار مزیاله کننده کانین روی مولرها، حرکت مزیالی زیادی در ناحیه خلف میبینیم، لذا باید انکوریج را کمی قویتر بگیرید.

شکل 29-3: تاج دیستاله کانین پایین

شکل 30-3: بعداز درگیری سیم درون شیار براکت کانین با تاج دیستاله، سیم در ناحیه انسیزورها انحنایی به سمت انسیزال برمیدارد.

شکل 31-3: اصلاح Tip کانین. در این زمان انحنا سیم در ناحیه انسیزورها از بین میرود.
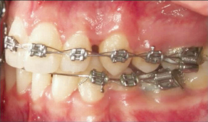
بعضی مواقع بیمار داری یک یا دو کانین خارج از قوس است (شکل 32-3). اگر سیم را مستقیم درگیر براکت کانین کنید، کانین را خیلی سریع درون قوس میآورد ولی به همین سرعت باعث خارج شدن دندانهای مجاور (لترال و پرمولر) از قوس میشود.
در این بیماران باید کانین را به مرور درون قوس آورد، لذا یک قطعه سیم لیگاچور را اطراف براکت کانین درگیر نمایید (شکل 33-3) و بعد دو رشته سیم لیگاچور را دو طرف آرچ وایر اولیه (که معمولاً 0.012 سوپرالاستیک است) قرار دهید و شروع به تاباندن آن نمایید تا محکم شود. به این صورت یک انحنائی در آرچ وایر ایجاد میشود (شکل 34-3). به مرور این آرچ وایر شروع به صاف شدن میکند و کانین خارج قوس را درون قوس میآورد. هر جلسه باید سیم لیگاچور را در حد 1-2mm محکم کنید. اگر بیمار کشیدنی است باید یک Laceback نیز برای دیستاله کردن کانین بزنید.

شکل 32-3: کانین با تاج خارج قوس

شکل 33-3: قراردادن سیم لیگاچور دور براکت کانین خارج قوس

شکل 34-3: درگیر کردن براکت کانین با تاج خارج قوس به آرچ وایر به صورت غیر مستقیم
به این صورت کانین غیرمستقیم درگیر آرچ وایر میشود و نیروی کمی برای اکسترود شدن اعمال میشود تا کانین به مرور درون قوس قرار بگیرد. با این حال در بعضی بیماران شاهد اینترود نسبی دندانهای مجاور هستیم. گرچه با ضخیم شدن سیم تماس این دندانها با دندانهای روبرو برقرار میشود، اما به هرحال اینترود و اکسترود شدن آنها صحیح نیست و احتمال تحلیل ریشه را زیاد مینماید (شکلهای 35-3 الی 37-3).
اگر آرچ وایر مستقیم درگیر براکت کانین بشود چون نیرو زیاد میشود میزان اینترود شدن دندانهای مجاور به مراتب بیشتر میگردد.

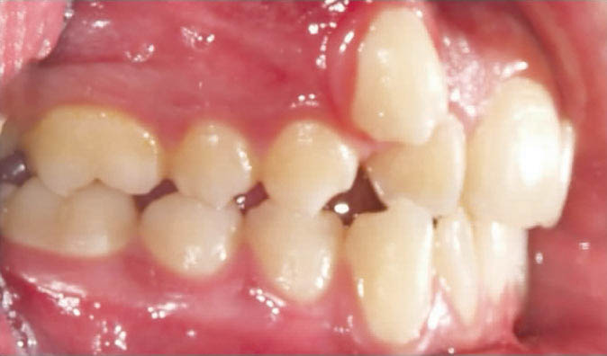
شکل 35-3: تاج کانین خارج قوس

شکل 36-3: درون قوس آمدن سریع کانین خارج قوس منجر به اینترود دندانهای مجاور و off شدن آنها از اکلوژن میشود.

شکل 37-3: بعد از رسیدن به سیمهای ضخیم اکلوژن دندانهای مجاور برقرار میشود.
نکته: روش درگیر کردن غیرمستقیم کانین برای هر دندانی که خیلی از قوس فکی دور باشد قابل اجرا است مانند لترال پالاتالی. فقط برای درون قوس آوردن کانین پالاتالی بخاطر محکم بودن ریشهها از این روش استفاده نکنید. برای آن باید اول سیم را ضخیم نمایید مانند 0.019x0.025 یا 0.020 استیل، بعد قطعهای چین الاستیک را دور آن قلاب کنید و به براکت کانین پالاتالی بیاندازید. برای رفع کراس هم از اسپلینت آکریلی استفاده نمایید.
اینترود یا اکسترود مولرها به ترتیب منجر به دیپ بایت و اپن بایت میشود