اینترود نمودن مولرها
اینترود نمودن مولرها کار سختی است و در درمان اپن بایتهای کلاسII انجام میشود. طبق تحقیقاتی که انجام شده احتمال برگشت آن بسیار زیاد است مگر اینکه به کمک مینی اسکرو انجام شود.
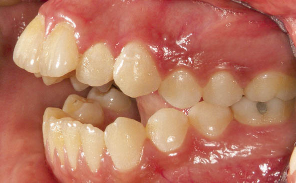
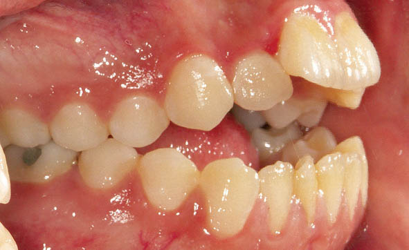
در بیمار اپن بایت (شکل 38-3 الی 40-3) در هر دو سمت چپ و راست یک مینی اسکرو در سمت باکال (شکل 41-3 الی 43-3) و یکی در سمت پالاتال (شکل 47-3) قرار میدهیم. آرچ وایری که میگذاریم را در ناحیه بین کانین و پرمولر اول قطع میکنیم تا دندانهای خلفی با قدامی روی یکدیگر اثری نداشته باشند. وقتی آرچوایر سه تکه باشد دندانهای سگمنت قدام و خلف جداگانه مرتب میشوند. چهار قطعه چین الاستیک از مینی اسکرو باکال به براکت دندانهای پرمولرها و مولرها میاندازیم. چون گردن مینی اسکروها برای چهار قطعه چین الاستیک کوچک است، لذا یک سیم لیگاچور از درون این چهار قطعه چین الاستیک رد میکنیم و آن سیم لیگاچور را به مینی اسکرو درگیر میکنیم تا یک نیروی اینترود کننده روی سمت باکال سگمنت خلفی اعمال شود. از سمت پالاتال هم چند باتن میچسبانیم و همین کار را در سمت پالاتال انجام میدهیم. البته در شکل 41-3 الی 43-3 دندانها در سمت باکال زیادتر از سمت پالاتال اینترود شدند، لذا سمت باکال با سیم لیگاچور به مینی اسکرو وصل شده تا در همان وضعیت بماند.
طی جلسات بعدی سمت پالاتال هم به اندازه باکال اینترود میشود تا نهایتاً درمان تمام گردد (شکل 44-3 الی 46-3).

شکل 38-3

شکل 39-3

شکل 40-3
شکل 38-3 الی 40-3: اپن بایت شدید

شکل 41-3

شکل 42-3

شکل 43-3
شکل 41-3 الی 43-3: اینترود کردن سگمنت خلفی به کمک مینی اسکرو در سمت باکال منجر به اینترود بیشتر در سمت باکال و کمتر در سمت پالاتال میشود.

شکل 44-3

شکل 45-3

شکل 46-3
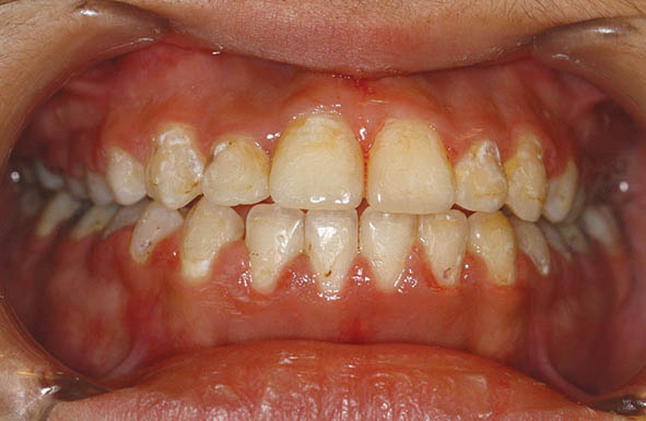
شکل 44-3 الی 46-3: اینترود خلفیها منجر به بسته شدن بایت بیمار میشود

شکل 47-3: قراردادن مینی اسکرو در سمت پالاتال و اینترود این سمت ناحیه خلفی
این نیروی اینترود کننده اگر فقط در یک سمت باکال یا پالاتال باشد آن سمت حرکت بیشتری میکند و منجر به از بین رفتن تورک دندانهای خلفی میشود.
هر ماه این چین الاستیکها عوض میشوند تا سگمنت خلفی به اندازه کافی اینترود شود. گاهی یک سمت دندان به اندازه کافی اینترود میشود اما هنوز مابقی دندانهای به اندازه کافی اینترود نشدهاند. مثلاً بعد از مدتی باکال پرمولر اول به اندازه کافی اینترود میشود، لذا این سمت دندان را با سیم لیگاچور به مینی اسکرو میبندیم و چین الاستیک را به سمتهای دیگر میاندازیم و منتظر میمانیم تا تمام سمتهای دندانهای خلفی به اندازه کافی اینترود بشوند. همیشه دندانها قدری بیشتر از نیاز اینترود میشوند تا بعد از پایان درمان و بروز relapse بایت دوباره باز نشود.
وقتی خلفیهای بالا اینترود بشوند (شکل 48-3) مندیبل بالاتر قرار میگیرد تا تماس بین دندانهای خلفی برقرار شود. این حرکت، خلاف جهت عقربههای ساعت است (شکل 49-3)، لذا منجر به چرخش مندیبل میشود، یعنی در عین حال که بالاتر قرار میگیرد (ارتفاع عمودی صورت کم میشود) جلوتر هم میآید. حرکت رو به جلو مندیبل در بیمار کلاسI منجر به کلاسIII شدن او میشود (شکل 49-3). برای درمان این وضعیت معمولاً نیاز به کشیدن مولر دوم پایین و استفاده از الاستیک کلاسIII دارید.
البته کشیدن مولر دوم برای درمان اپن بایت بسیار عالی است اما در زمان سیم استیل بکشید. اگر در ابتدای درمان کشیده شود زایده آلوئولار تنگ میشود و دیگر دندانها به سمت خلف حرکت نخواهند نمود. این درمان در بیماری که جوانه دندان عقل با سایز طبیعی و در حال رویش دارد امکانپذیر است، پس اگر بیمار کلاسI اپنبایت را درمان کردید ولی جوانه عقل نداشت دیگر نباید مولر دوم را بکشید و درمان نهایی شما کمی مشکلتر میشود.
چرخش مندیبل در بیمار اپن بایت که رابطه مولری او کلاسII است باعث اصلاح رابطه مولری هم میشود ولی اگر بیمار اپنبایت شما کلاسIII باشد اصلاً نباید نسبت به درمان اپن بایت با ارتودنسی تنها کاری انجام داد چون کلاسIII او تشدید میشود، لذا بیمار جراحی ارتوگناتیک میخواهد.

شکل 48-3: اینترود سگمنت خلفی بالا

شکل 49-3: بعد از اینترود سگمنت خلفی بالا، مندیبل در جهت عکس عقربههای ساعت حرکت کرده تا تماس با بالا برقرار گردد، لذا کمی به سمت قدام پروترود میشود. کشیدن مولر دوم و استفاده از الاستیک کلاسIII برای رسیدن به اکلوژن کلاسI مطلوب است.