اکسترود نمودن مولرها
اکسترود نمودن مولرها راحتتر است. اصول آن همان اصول درمان دیپ بایت است. در یک بیمار دیپ بایت کارهای زیر به ترتیب انجام میشود:
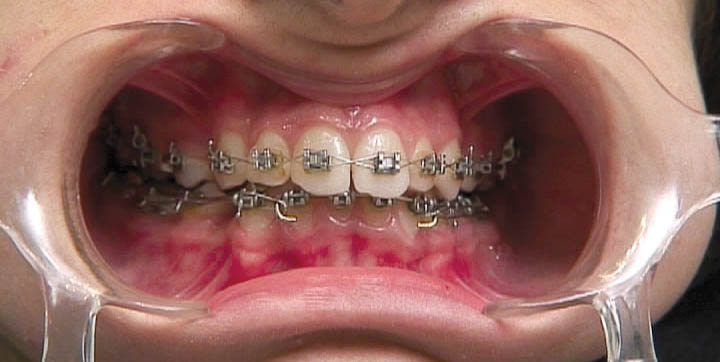
1. براکت دندانهای قدامی بالا و پایین را نیم میلی متر انسیزالیتر میچسبانیم تا سیم وضعیت ژنژیوالیتری نسبت به براکت پیدا نماید. با درگیر کردن آرچ وایر به این براکتها یک نیرو اینترود کننده بر روی سگمنت قدامی اعمال میشود که منجر به باز شدن بایت میگردد (شکل 50-3).
2. مقداری کامپوزیت روی سینگلوم سانترالهای بالا میگذاریم تا بایت بیمار باز شود (شکل 51-3). بدین صورت فقط دندانهای قدامی با هم در تماس خواهند بود. هنگام بلع یک فشار به دندانهای قدامی میآید که اثر اینترود کننده روی این دندانها خواهد داشت و از طرف دیگر دندانهای خلفی هم به یکدیگر نمیرسند. وقتی دندانهای خلفی در تماس با یکدیگر نباشند اکسترود میشوند. کامپوزیت قدامی (بایت پلن قدامی) اثر خوبی در درمان دیپ بایت دارد. با قرار دادن کامپوزیت قدامی، هم خلفیها اکسترود و هم قدامیها اینترود میشوند، البته در درمان دیپ بایت تاثیر اکسترود شدن خلفیها به مراتب بیشتر از اینترود شدن قدامیها میباشد. در انتهای درمان ارتفاع عمودی صورت کمی بیشتر میشود.
نکته: دقت نمایید که کامپوزیت یک سطح صاف و موازی با پلن اکلوزال داشته باشد (شکل 52-3). اگر حالت تحدب و شبیه به سطح لینگوال سینگلوم سانترال باشد (شکل 53-3) نه تنها باعث باز شدن بایت نمیشود بلکه باعث جابجایی خلفی مندیبل هم میگردد.

شکل 50-3: انسیزالی چسباندن براکتهای قدامی در بیماران دیپ بایت

شکل 51-3: قراردادن کامپوزیت روی سینگلوم سانترالهای بالا در بیماران دیپ بایت

شکل 52-3: بایت پلن با فرم صحیح
شکل 53-3: بایت پلن با فرم غلط
3. در هر دو فک Bendback نزنید تا دندانهای قدامی پروترود شوند. پروترود شدن قدامیها باعث بازشدن بایت میشود. البته وقتی قدامیهای پایین بیشتر از 1-2mm پروترود شوند احتمال relapse زیاد میشود که خوب نیست.
دیپ بایت بودن بیمار به مراتب بدتر از پروترود شدن انسیزورها میباشد، به همین دلیل در فک بالا و پایین Bendback نمیزنیم.
برای جبران پروترود شدن انسیزورهای پائین اگر کشیدنی است که بعداً در مرحله بستن فضا جبران میشود و اگر غیرکشیدنی است که استریپ میکنید.
4. باکال تیوب (یا بند) دندان هفت پایین را در مزیال ژنژیوالیتر میچسبانیم (شکل 54-3). وقتی آرچ وایر از آن خارج میشود در ناحیه قدام نسبت به براکت قدامیها ژنژیوالیتر قرار میگیرد. با درگیر شدن این آرچ وایر یک نیرو اینترود کننده روی انسیزورها اعمال میشود که منجر به اصلاح دیپ بایت میگردد.
از طرفی چون مزیال باکال تیوب دندان هفت پایین ژنژیوالیتر قرار گرفته، لذا این سمت قدری اکسترود میشود.
وقتی مزیال هفت پایین اکسترود شود و دیستال آن ثابت بماند در واقع دندان به سمت دیستال Tip میشود. Tip شدن دیستاله دندان هفت پایین و اکسترود آن هر دو باعث باز شدن بایت میگردد.
با این کار (اینترود قدام پایین و اکسترود خلفیها) پلن اکلوزال پایین در جهت عقربههای ساعت میچرخد و بایت بیمار باز میشود (شکل 55-3). اینترود شدن قدام پایین به همراه لثه انجام میگیرد. چون حرکت دنتوآلوئلر است، لذا طول تاج کلینیکی کم نمیشود.
نکته: بعضی مواقع در حین درمان طول تاج بعضی دندانها کوتاه میشود که بخاطر هیپرپلازی لثه است. این هیپرپلازی بخاطر بهداشت ضعیف بیمار یا نفوذ کامپوزیت به فضای لثه رخ میدهد. این کوتاه دیده شدن تاج باعث بروز تفکر که طول تاج کلینیکی کوتاه شده نشود.

شکل 54-3: باکال تیوب (بند) مولردوم پائین را در سمت مزیال قدری ژنژیوالی بچسبانید تا باعث اینترود سگمنت قدام شود.

شکل 55-3: اینترود سگمنت قدام منجر به چرخش پلن اکلوزال پائین درجهت عقربههای ساعت و باز شدن بایت میگردد.
5. یک ماه بعد از 0.019x0.025 حرارتی بایستی پلن اکلوزال هر دو فک صاف باشد (شکل 56-3 و 57-3). در هر فکی که سیم آن صاف باشد سیم استیل را میگذاریم و سیم فکی که هنوز صاف نشده باید با یک سیم انحناءدار (کرودار) عوض شود.

شکل 56-3: سیم 0.019x0.025 حرارتی پائین با گذشت یک ماه هنوز صاف نشده است ولی بالا صاف شده است و سیم استیل قرار دادهایم.

شکل 57-3: سیم 0.019x0.025 حرارتی بالا و پایین با گذشت یک ماه هنوز صاف نشده است.
نحوه قرار دادن سیم کرو دار بالا و پایین به صورت شکلهای 58-3 و 59-3 باید باشد. وقتی سیم بالا را با یک پلایر Tweed بگیرد دسته پلایر به سمت بالا و وقتی که سیم پایین را با یک پلایر Tweed بگیرید دسته پلایر به سمت پایین میشود. دسته پلایر نشان میدهد که مقطع سیم به نحوهی است که باعث باکالی شدن تاج انسیزورها میگردد (شکل 60-3).
آرچ وایر با کرو اسپی در بالا (شکل 58-3) و آنتی کرو اسپی در پایین (شکل 59-3) باعث (۱) اکسترود خلفیها و اینترود قدامیها (2) پروترود شدن دندانهای قدامی و (3) ایجاد فضای بین دندانها میشود.

شکل 58-3: آرچ وایر بالا با کرو اسپی

شکل 59-3: آرچ وایر پایین با آنتی کرو اسپی

شکل 60-3: سیمهای کرودار نه تنها بایت را باز میکنند بلکه باعث پروترود شدن انسیزورها هم میشوند.
برای جلوگیری از ایجاد فضای بین دندانی (Spacing) باید شش دندان قدامی را با سیم لیگاچور figure ∞ نمائید (شکل 61-3).
این آرچ وایرها باعث پروترود شدن دندانهای قدامی هم میشوند. پروترود شدن دندانهای قدامی بالا باعث باز شدن بایت میشود و ثبات هم دارد، اما پروترود شدن دندانهای قدامی پایین ثبات ندارد و relapse میکند.

شکل 61-3: ∞ figure دندانهای قدامی بالا مانع بروز فاصله بین دندانها میشود.
6. سه ماه بعد از قرار دادن آرچ وایرهای کرودار بالا اگر پلن اکلوزال هنوز صاف نشده بود در بالا از آرچ وایرهایی که هم کرودار هستند و هم 20 درجه تورک اضافه پالاتالی ریشه انسیزورها دارند استفاده میکنیم (شکل 62-3). این سیم معمولاً در بیمارانC1II/2 نیاز میشود. این تورک در فک بالا باعث تشدید پروترود شدن قدامیها میگردد.
براکت دندانهای قدامی بالا را با سیم لیگاچور حتماً بهم ضربدری متصل کنید تا لبیالی شدن تاج آنها باعث ایجاد فضا بین دندانها نشود (شکل 61-3).
این آرچ وایر میخواهد که تورک انسیزورها را اصلاح نماید. چون تاج نمیتواند لبیالی شود (به خاطر figure ∞ قدامیها) نهایتاً ریشه انسیزورها پالاتالی میشود. این سیم در بیماران کلاسII/2 بسیار عالی است و تورک انسیزورهای بالا را سریع اصلاح و دیپ بایت آنها را کم میکند. درمان بیمار دیپ بایت تا صفر شدن اوربایت ادامه خواهد داشت تا بعداً وقتی relapse نمود دارای یک بایت نرمال شود.
به این سیمها در بازار سیم کرودار pretorqued میگویند.
سه ماه بعد از قراردادن آرچ وایرهای کرودار پائین وقتی پلن اکلوزال صاف شده است (بخاطر پروترود و اینترود شدن انسیزورهای پایین) از آرچ وایری که 20درجه تورک لیبیالی ریشه انسیزورها (لینگوالی تاج انسیزورها) دارد، استفاده میکنیم. آرچ وایر آنتی کرواسپی در پائین باعث پروترود شدن انسیزورها و ایجاد فضا بین آنها میشود در حالیکه داشتن 20درجه تورک لیبیالی ریشه در سیم تورکدار بعدی باعث اصلاح این اتفاق میشود.

شکل 62-3: آرچ وایر بالا با کرو اسپی و 20درجه تورک اضافه پالاتالی ریشه