بُعد طرفی را می توانیم به سه ناحیه زیر تقسیم نماییم:
• انسیزورها
• کانینها
• مولرها
این مبحث به دیاستم انسیزورها برمیگردد. معمولاً فرنوم منجر به بروز دیاستم میشود.
اگر بیمار دارای یک فرنوم بزرگ است (شکل 65-3)، ابتدا براکتها را چسبانده، سپس طی چند ماه اول سیمها را ضخیم مینمایید تا به سیم 0.019x0.025 حرارتی برسید. چند قطعه چین الاستیک را از کانین تا کانین بالا قرار میدهید و هر ماه آن را تعویض نمایید تا دیاستم بسته شود. بهتر است قبل از گذاشتن چین الاستیک، براکت کانینها را وایر لیگاچور نمایید تا جلو چرخش آنها را بگیرید.
بسته شدن دیاستم منجر به رترود شدن انسیزورها میشود، لذا اورجت کم میشود پس داشتن اورجت پیش نیاز این روش است

شکل 65-3 : فرنوم بزرگ باعث بروز دیاستم میشود.
1. اگر بیمار دیپ بایت است میتوانید با پروترود نمودن انسیزورهای بالا هم بایت را باز نمایید و هم اورجت بسازید. در این بیماران ابتدا باید اصول دیپ بایت رعایت شود که در مبحث خودش مطرح گردیده است (گذاشتن کامپوزیت قدامی، در مزیال ژنژیوالی چسباندن بندهای هفت پایین، انسیزالی چسباندن براکتهای قدامی بالا و پایین، بندبک نزدن سیمها و غیره). در این مدت برای اینکه دیاستم بیشتر نشود باید براکتهای قدامی بالا را با سیم لیگاچور ضربدری ببندید. بعد که دیپ بایت اصلاح شد اورجت هم زیاد میشود و نهایتاً میتوانید دیاستم را ببندیم.
2. اگر بیمار دیپ بایت نیست باید با استریپ دندانهای قدامی پایین و بستن فضای بدست آمده اورجت بسازید تا امکان بستن دیاستم بالا فراهم گردد.
3. اگر سایز لترالهای بیماری که دیاستم دارد کوچکتر از نرمال باشد میتوانید بعد از ضخیم شدن سیم از چند قطعه چین الاستیک بین لترال تا لترال استفاده نمایید تا همزمان با رترود شدن قدامیها کمی از فضا هم به دیستال لترالها منتقل شود و با بیلدآپ آن سایز لترالها بزرگتر بشود. برای جلوگیری از چرخش لترالها (بخاطر استفاده از چین الاستیک) حتماً از چینالاستیک در زمان سیمهای ضخیم استفاده نمایید و براکت لترالها را وایر لیگاچور نمایید.
اگر فرنوم باعث ایجاد دیاستم شده است بعد از بستن دیاستم باید فرنکتومی نمایید (کتاب درمان ارتودنسی ناهنجاریهای دندانی به روش MBT، صفحه 60).
فرنکتومی باعث ایجاد بافت اسکاری میشود که خود مانع بسته شدن فضا میگردد، لذا همیشه بعد از بستن دیاستم انجام میشود.
در موارد محدودی حجم فرنوم بسیار بزرگ است که در زمان استفاده از چین الاستیک خود مانعی برای بسته شدن دیاستم است. در این موارد ابتدا باید فرنکتومی و بعد اقدام به بستن دیاستم نمایید.
بُعد طرفی ناحیه کانینها همان عرض بین کانینی میباشد.
عرض بین کانینهای پایین همیشه باید ثابت بماند. طبق تحقیقاتی که انجام شده اگر عرض بین کانینهای پایین اضافه شود حتماً برگشت میکند و نکته جالبتر اینکه ثابت نگه داشتن عرض بین کانینها دلیلی بر ثبات درمان نیست!
عرض بین کانینهای بالا را میشود زیاد نمود و ثبات هم دارد به همین دلیل پیچهای Expansion را همیشه در فک بالا استفاده میکنیم ولی در قوس پایین استفاده نمیشود.
طی سالهای اخیر بعد از ارائه براکتهای Self Ligating تحقیقاتی انجام شده است. به دلیل اعمال نیروی ملایم در این سیستم براکتی، فعالیت سلولهای استخوان ساز بیشتر میشود. با افزایش عرض بین کانینها چون استخوان سازی هم رخ میدهد، شاهد حداقل برگشت درمانهای ارتودنسی هستیم (شکل 66-3 الی 69-3).

شکل 66-3 : قوس بالا در ابتدای درمان

شکل 67-3: قوس بالا بعد از درمان با براکتهای self ligating

شکل 68-3 : قوس پایین در ابتدای درمان

شکل 69-3: قوس پایین بعد از درمان با براکتهای self ligating
برای ثابت نگه داشتن عرض بین کانینها از فرمهای مختلف آرچ وایرها استفاده نمایید. فرم مثلثی دارای کمترین عرض، فرم بیضی کمی بزرگتر و فرم مربعی بزرگترین عرض را دارند (شکل 70-3). فرم مربعی بیشتر در سیاهپوستان آمریکایی و چینیها دیده میشود. در ایران اغلب بیضی هستند و درصد کمی هم مثلثی میباشند.

شکل 70-3: فرم آبی مثلثی و فرم قرمز بیضی و فرم سیاه مربعی است
عرض بین کانین تابع تعادلی است که بین نیروهای عضلات بوکسیناتور اوریس و منتالیس از بیرون و عضلات زبان از داخل ایجاد میشود. هر چه نیروی عضلات صورت بیشتر باشد عرض بین کانینها کمتر میشود.
فرم قوس فکی معمولاً مانند فرم صورت است. اگر صورتی مثلثی باشد (شکل 71-3) ترجیحاً از فرم مثلثی و اگر صورت بیضی (شکل 72-3) ترجیحا از فرم بیضی استفاده نمایید تا بیمار لبخند زیباتری داشته باشد. سیم 0.012 سوپر الاستیک نیروی ملایمی دارد و نمیتواند فرم قوس فکی را عوض نماید، لذا فقط یک فرم آن را تهیه نمایید، اما سیمهای 0.016حرارتی و 0.019x0.025 حرارتی میتوانند باعث تغییر فرم قوس فکی بشوند. به صورت پیش فرض اکثراً از فرم بیضی استفاده میکنیم ولی اگر فرم صورت بیماری مثلثی بود فرم مثلثی این سیمها را تهیه و استفاده نمایید.

شکل 71-3: فرم کشیده صورت نشاندهنده قوس مثلثی است.

شکل 72-3: فرم گرد صورت نشاندهنده قوس بیضی است.
دو مورد استثناء داریم که میتوانیم قوس فکی و عرض بین کانینهای پایین را زیاد کنیم و ثبات هم داشته باشد:
• بیمارانی که تنگی ماگزیلا دارند و به دنبال آن مندیبل هم تنگ شده است. البته کراس بایت خلفی نمیبینید چون هر دو فک تنگ میباشند. در این بیماران هنگام خندیدن کریدور باکالی کاملاً مشخص است (شکل 73-3). بعد از Expansion بالا قوس پایین هم باز میشود و ثبات هم خواهد داشت.
• بیماران دیپ بایت شدید مثل کلاسII/2 قدامیهای بالا به خاطر نیروی دیستاله کننده لبها رترود میشوند و به سمت عقب میروند (شکل 74-3) و بیمار دیپ بایت میشود. در بعضی بیماران سیستم عضلانی خیلی قوی است که نه تنها باعث جمع شدن دندانهای قدامی بالا به داخل میشود بلکه باعث میشود تا تحت فشار دندانهای قدامی بالا، دندانهای قدامی پایین هم جمعتر بشوند و در قوس کوچکتری قرار بگیرند. این حالت باعث تنگ شدن قوس پایین میشود. اگر دیپ بایت این بیماران را درمان نمایید، دندانهای پایین هم میتواند در قوس بزرگتری قرار بگیرند و عرض بین کانینی این بیماران بیشتر بشود که البته ثبات هم دارد.
عرض بین کانینی فرمهای مثلثی و بیضی حدود 6mm با هم اختلاف دارند. بیماران زیادی هستند که فرم قوس فکی آنها بین این دو فرم است. از فرم مثلثی که استفاده کنید قوس تنگ و از فرم بیضی که استفاده کنید قوس بزرگ میشود. در این بیماران معمولاً از فرم بیضی استفاده میکنیم. در انتهای درمان که به مرحله استقرار دندانی میرسیم سیم بسیار نازکی مانند 0.012 سوپرالاستیک میگذاریم.
نیروی سیم 0.012 سوپرالاستیک بسیار کمتر از نیروی عضلات است. اگر قوس فکی در طول درمان کمی بزرگ شده باشد، عضلات صورتی در مرحله استقرار دندانی میتوانند تا حد زیادی عرض بین کانینها را به حالت اولیه برگردانند.

شکل 73-3: مشخص بودن کریدور باکالی در زمان خندیدن

شکل 74-3: بیماران دیپ بایت شدید
در اکلوژن نرمال کاسپهای پالاتال مولرهای بالا با فوسای مرکزی مولرهای پایین تماس دارند.
اگر قوس بالا تنگتر از نرمال باشد (شکل 75-3) منجر به کراس بایت خلفی پالاتالی میشود. اگر هر دو طرف تنگ باشد کراس بایت خلفی دو طرفه پالاتالی و اگر یک طرف تنگ باشد کراس بایت خلفی یک طرفه پالاتالی میگوییم.

شکل 75-3: کراس بایت خلفی
به حالتی اطلاق میشود که دندانهای خلفی پایین (یک یا چند تا، یک سمت یا هر دو سمت) لینگوالی بشوند. اصطلاح دیگر آن کلاپس قوس پایین، پیستون بایت، یا سندرم Brodie است.
وقتی خلفیهای بالا کاملاً در باکال یا لینگوال خلفیهای پایین قرار گیرد گفته میشود (شکل 76-3).

شکل 76-3: بایت scissors در سمت راست
برای این بیماران ابتدا سپراتور خلفی در مزیال و دیستال دندانهای پرمولر اول و مولر اول بالا میگذاریم (شکل 77-3). هفته بعد سپراتورها را خارج میکنیم و چهار بند با سایز مناسب روی این دندانها میگذاریم. ترجیحاً یک شماره بزرگتر از نرمال باشند تا بعد از لحیم کاری، پیچ با سختی جا نرود. یک قالب آلژینات pick up از این بندها میگیریم. بندها را از روی دندانها خارج میکنیم و درون آلژینات میگذاریم (شکل 78-3). در زمانی که قالب pick up را به لابراتوار ارسال میکنید مجدداً سپراتورهای خلفی را قرار بدهید تا فضای اطراف دندانهای پرمولر و مولر اول بسته نشود.
گچ آن را میریزیم و بعد از سفت شدن گچ، به لابراتوار ارسال میکنیم تا پیچ مخصوص آن را روی این چهار بند فرم بدهند و لحیم کنند.
قبل از ارسال به لابراتوار حتماً دقت نمایید که بندها در جایگاه صحیح باشند (شکل 79-3) چون اگر در زمان ریختن گچ بندها تکان بخورند و در جایگاه صحیح خود نباشند، بعد از اتمام لحیم کاری، پیچ بر روی دندانها تطابق خوبی نخواهد داشت و حالت الاکلنگی پیدا میکند.
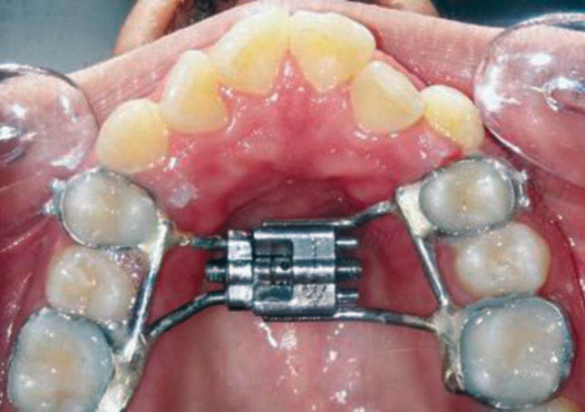
این پیچ به کمک این چهار بند روی دندانهای قوس بالا سمان میشود (شکل 80-3).

شکل 77-3: قرار دادن سپراتور در مزیال و دیستال پرمولر اول و مولر اول

شکل 78-3: قالب pick up از بندهای پرمولر اول و مولر اول

شکل 79-3: جایگاه صحیح بندها بعد از ریختن گچ قالب آلژیناتی pick up

شکل 80-3: نصب پیچ RPE روی دندانها
اگر بیمار در مرحله Mixed Dentition باشد، میتوانید دو عدد بند روی دندانهای C بگذارید و پیچ را روی بندهای دندانهای مولر اول و C لحیم کنید. اگر بند مناسب را پیدا نکردید میتوانید آن را با کامپوزیت بچسبانید.
برای پیدا کردن بند مناسب و حذف مرحله قالب گیری pick up بعضی از همکاران کست را به لابراتوار ارسال میکنند تا در آنجا گچ اطراف دندانهای پرمولر و مولر اول را ارّه نمایند و بند بگذارند. این کار گرچه راحت است اما منجر به ساختن پیچی میشود که تطابق خوبی روی دندانها ندارد و احتمال لق شدن آن در وسط درمان بسیار زیاد است.
در زمان لحیم کاری تکنسینها باید دقت بسیار بکنند که حجم خوبی از فلاسک را روی کار بگذارند و با یک تورچ گازی با فشار زیاد و یکنواخت شروع به حرارت دادن بکنند و بعد از تبخیر فلاسک و سرخ شدن میله پیچ و بندها سیم لحیم را روی کار بگذارند و در یک مرحله کار را تمام بکنند. از آن جایی که بند زیر میله پیچ قرار دارد و حرارت کمی میگیرد، لذا مرکز حرارت تورچ باید بند باشد نه میله پیچ تا همزمان با هم سرخ بشوند وگرنه بند خوب سرخ نمیشود و لحیم به بند نمیچسبد. در اواسط درمان فشار زیادی روی پیچ است، اگر این حالت رعایت نشود منجر به جدا شدن پیچ از بندها در دهان میشود.
در زمان بروز چنین اتفاقی باید پیچ از دهان خارج بشود و قالب pick up جدید گرفته شود و در همان مطب کار لحیم مجدد را انجام بدهید. البته چون بیماران با تاخیر مراجعه میکنند، لذا مقدار زیادی از درمان در همین زمان کوتاه برگشت خواهد داشت و شما مجبور به چند دور برگرداندن پیچ به حالت اول را دارید تا مجدد جا برود.