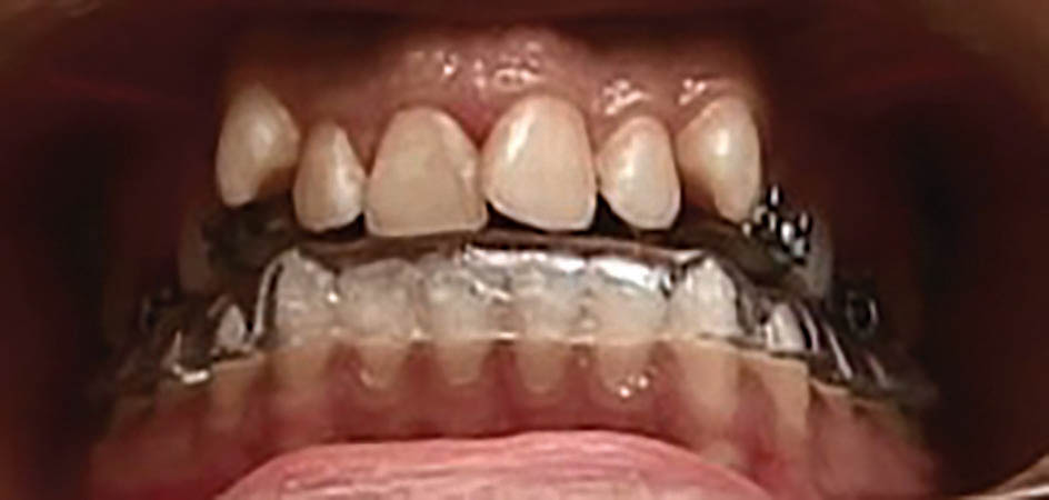
برای فک پایین هم یک اسپلینت آکریلی سخت سراسری با ضخامت حداقل 3mm درست کنید (شکل 81-3). باید این اسپلینت را درون دهان تنظیم (adjust) کنید. روی قوس پایین بگذارید و از بیمار بخواهید تا دهانش را ببندد. معمولاً تماس روی دندانهای خلفی است و دندانهای قدامی تماسی با هم ندارند. با قرار دادن کاربن و مشخص شدن تماس پیشرس، آنها را کوتاه میکنید تا تمامی دندانهای بالا با اسپلینت پایین در تماس باشند (شکل 82-3).
بیمار باید با همین اسپلینت غذا بخورد و در تمام 24 ساعت از آن استفاده نماید. فقط در زمان مسواک زدن آن را خارج میکند، به همین دلیل باید خیلی خوب با دندانهای مقابل در تماس باشد تا استفاده از آن برای بیمار راحت بشود.
بعد از آماده شدن پیچ، آن را روی دندانها قرار میدهیم تا از تطابق کامل آن مطمئن شویم، سپس آن را سمان میکنیم. برای این کار ابتدا رول پنبه بگذارید و دندانها را خشک کنید سپس از یک سمان گلاس اینومر استفاده کنید.

شکل 81-3: اسپلینت آکریلی قوس پایین

شکل 82-3: تماس اسپلینت قوس پایین با تمام دندانهای قوس بالا
بعد از سفت شدن سمان گلاس اینومر به والدین نحوه سفت کردن پیچ را آموزش دهید و بخواهید در حضور شما پیچ را سه الی چهار مرتبه سفت کنند. باید آچار مربوطه را درون سوراخ پیچ قرار بدهند (شکل 83-3) و به سمت دیستال بچرخانند تا سوراخ بعدی مشخص شود. این یک مرتبه میشود. هر چهار مرتبه منجر به چرخیدن یک دور کامل پیچ میشود. بسته به کارخانه سازنده یک دور کامل پیچ قوس فکی را 0.8mm یا 1mm باز میکند. بعد از آموزش کامل، والدین روزی دو مرتبه پیچ را در منزل سفت میکنند. جلسه بعدی ویزیت هفته بعد خواهد بود.

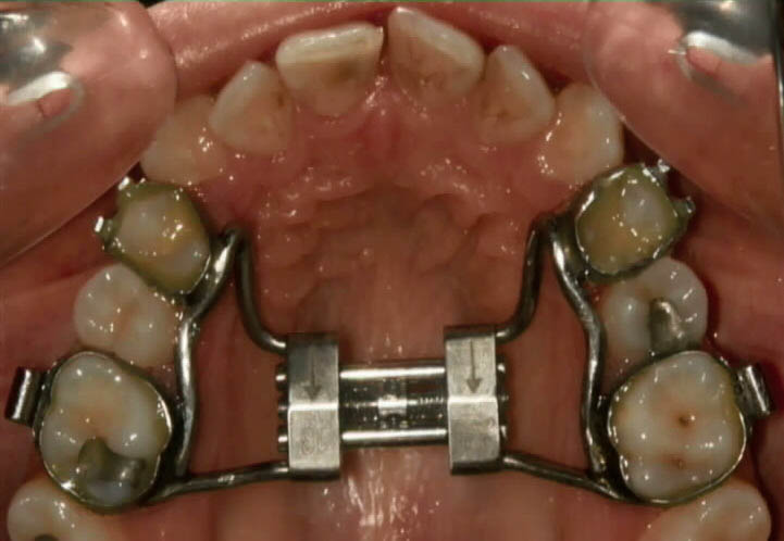
شکل 83-3: نحوه قرار دادن آچار پیچ درون RPE
نکته: وقتی یک پلاک آکریلی متحرک با پیچ خط وسط برای بیمار درست میکنید فقط میتوانید در هفته دو مرتبه آن را سفت کنید. در طی هفته قوس فکی با میزان سفت شدن پیچ تطابق پیدا کند. اگر پیچهای متحرک را بیشتر از دو نوبت در هفته باز کنید چون قوس فکی نمیتواند با همین سرعت باز شود، لذا بعد از مدتی شاهد آن هستیم که پیچ دیگر در دهان جا نمیرود.
وقتی یک پیچ ثابت برای بیمار درست میکنید و روی دندانها سمان میکنید میتوانید مانند نوع متحرک هفتهای دو نوبت آن را سفت کنید تا شاهد حرکت باکالی تاج دندانها باشید (البته ریشه هم به سمت پالاتال حرکت میکند). بدیت صورت قوس فکی بزرگ میشود اما بدانید که این حرکت فقط دندانی است و اثری روی اسکلت صورتی ندارید.
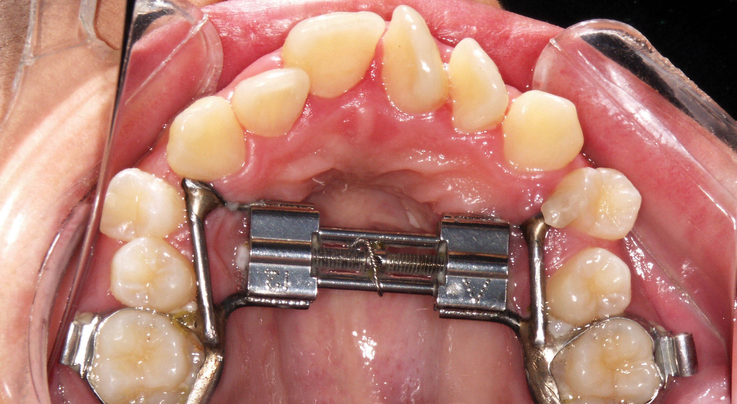
والدین باید روزی دو نوبت پیچ را سفت کنند تا نیروی زیادی از طریق دندانها بر روی قوس فکی اعمال شود. نیروی ملایم باعث حرکت باکالی دندانهای خلفی میشود اما نیرو بسیار زیاد یک بافت هیالینیزه در اطراف ریشه دندانها تشکیل میدهد. این بافت مانع حرکت باکالی دندانها میشود، لذا تمام نیروها از طریق دندانها به سوچور فک بالا منتقل میشود. سوچور تا حدی میتواند نیروها را تحمل کند اما معمولاً شاهد آن هستیم که بعد از حدود هفت روز (روزی دو نوبت) سوچور باز میشود. دیدن دیاستم بین سانترالهای بالا تاییدی بر باز شدن سوچور است (شکل 84-3).

شکل 84-3: بروز فضا بین سانترالهای بالا نشاندهنده باز شدن سوچور است.
وقت ملاقات بعدی هفته بعد خواهد بود. در هفته بعد که باز شدن فضا بین سانترالهای بالا را دیدیم در پرونده درج میکنیم. از این جلسه به بعد والدین بیمار میتوانند کماکان روزی دو نوبت پیچ را سفت کنند اما لزومی به این کار نیست. باز شدن سریع پیچ فقط در هفته اول توصیه میشود تا باعث ایجاد بافت هیالینیزه بشود و سوچور بتواند باز شود. از آن به بعد باز شدن سریع پیچ فقط احتمال ریلاپس درمان را زیاد میکند، لذا از این به بعد دو نوبت در هفته سفت میکند. سفت کردن پیچ تا زمانی ادامه مییابد که نه تنها کاسپهای مولرهای بالا به سانترال فوساهای مولرهای پایین برسد بلکه حدود 1mm هم بیشتر باز شود تا بعد از ریلاپس طبیعی گردد (شکل 85-3).

شکل 85-3: باز شدن کافی پیچ تا رسیدن به overtreatment
این نیرو در کل سوچورهای ناحیه صورت پخش میشود و بیمار احساس یک درد گنگ در ناحیه صورت دارد. احتمال خونریزی از بینی هم در این زمان وجود دارد تا روزی که شاهد ایجاد فضا بین سانترالهای بالا (باز شدن سوچور) باشیم.
درد ناحیه صورت یا خونریزی از بینی نباید وقفهای در درمان ایجاد کند.
از هفته دوم به بعد (زمانی که فضا بین سانترالها ایجاد میشود) سفت کردن پیچ باعث ایجاد درد نمیشود. از این به بعد چون هفتهای دو نوبت پیچ سفت میشود، الیاف لثهای میتوانند سانترالهای بالا را به هم نزدیک کنند و فضای به دست آمده را ببندند. والدین باید در جریان نداشتن درد و بسته شدن فضای بین دندانی در هفته دوم به بعد قرار بگیرند وگرنه فکر میکنند که پیچ خراب شده است.
در زمان پایان درمان نباید پیچ را سریع خارج کنید. ترجیحاً پنج ماه بدون اینکه سفت بکنید میماند. در این مدت احتمال دارد پیچ خراب بشود و درمان ریلاپس کند، لذا سوراخ پیچ را با سیم لیگاچور یا کامپوزیت یا آکریل پُر کنید تا برگشت نکند (شکل 86-3).

شکل 86-3: پُر کردن سوراخ پیچ جهت جلوگیری از هرز شدن آن