بعد از گذشت یک هفته از پیچ که سوچور باز شد و درد بیمار بسیار کم گردید میتوانیم درمانهای ارتودنسی ثابت را شروع کنیم. بخاطر بدست آوردن فضا در قوس بالا کرادینگها خیلی زود از بین میروند و اگر بیمار اورجت مناسبی داشته باشد عمدتاً درمانها غیرکشیدنی میشوند. میتوانید براکتهای کانین تا کانین را در هفته دوم بچسبانید و اقدام به مرتب کردن دندانهای قدامی همزمان با درمان Expansion بکنید.

شکل 94-3: تماس کاسپهای پالاتال بالا با سطح باکال خلفیهای پایین
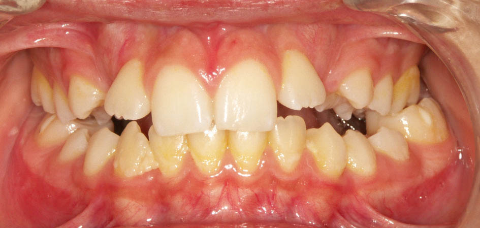
قوس پایین تمام افراد کوچکتر از قوس بالا میباشد اما مواردی را شاهد هستیم که این کوچکی بسیار زیاد است و منجر به این میشود که سطح باکال دندانهای خلفی پایین با سطح پالاتال دندانهای خلفی بالا در تماس باشند (شکل 94-3) و هر براکتی که روی دندانهای خلفی پایین میچسبانید با اولین تماس دندانها کنده بشود. یا شاید قوس بالا خیلی تنگ شده باشد و سطح باکال بالا با سطح لینگوال پایین در تماس قرار میگیرد.
در این موارد یک اسپلینت برای فک سالم میسازیم و براکتهای فک دیگر را میچسبانیم. اسپلینت مقابل دندانهای سیزورز بایت که قرار است حرکت باکالی داشته باشند را میتراشیم تا هیچ گونه تماسی با دندانها نداشته باشند (شکل 95-3). بدین صورت با ضخیم شدن سیم، این دندانها باکالی میشوند و scissors بایت بیمار درمان میشود. بعد از باکالی شدن دندانها، اسپلینت فک مقابل حذف و ارتودنسی ثابت شروع میشود.

شکل 95-3: تراش اسپلینت برای آزاد کردن دندانهای خلفی پایین جهت ایجاد حرکت باکالی در آنها
حالت اول: ابتدا کراس خلفی را نگاه کنید اگر نوع یک طرفه آن را دیدید سپس دنبال انحراف چانه (شکل 96-3) بگردید. اگر بود همان دو طرفههایی هستند که به خاطر انحراف مندیبل به چپ یا راست یک طرفه دیده میشوند (شکل 97-3).

شکل 96-3: انحراف چانه به سمت راست

شکل 97-3: انحراف مندیبل به سمت راست منجر به بروز کراس خلفی در همین سمت گردیده است. میدلاین دندانی پائین هم به راست منحرف گردیده است.
وقتی چانه به چپ یا راست منحرف میشود میدلاین دندانی هم off میشود. این یک قانون نیست چون در بیمار دیگر با کراس خلفی یکطرفه (شکل 98-3) میدلاین off نشده است.
چون میدلاین دندانی پایین او بخاطر کرادینگ بیشتر سمت راست (شکل 99-3)، به همین سمت (راست) منحرف شده است منتهی چون مندیبل به سمت مخالف آن (سمت چپ) منحرف گردیده، لذا شما هر دو میدلاین بالا و پایین را روی هم (شکل 100-3) میبینید.
نتیجه: در کراسهای خلفی یکطرفه انحراف چانه از انحراف میدلاین دندانی برای اثبات انحراف مندیبل مهمتر است.

شکل 98-3: انحراف مندیبل به چپ

شکل 99-3: انحراف میدلاین دندانی به راست به خاطر کرادینگ بیشتر سمت راست

شکل 100-3: میدلاین دندانی پائین به راست و خود مندیبل به چپ منحرف است نهایتاً میدلاین دندانهای بالا و پائین روی هم قرار دارند
حالت دوم: کراس خلفی یکطرفه را میبینید ولی انحراف چانه وجود ندارد. این حالت بسیار نادر است و اگر باشد بخاطر زاویه دندانها بوده، لذا به آن کراس دندانی گفته میشود.
نیاز به RPE نیست و گذاشتن براکتها و سیم کفایت میکند. البته سیمهای نازک اثری در درمان کراس دندانی ندارند ولی یک ماه که از سیم 0.016 حرارتی گذشت یک سیم 0.012 سوپرالاستیک روی آن بگذارید. ماه بعد به طرز محسوسی کراسهای دندانی اصلاح میشوند.
گذاشتن بایت پلن خلفی برای حذف تماس بین دندانی سرعت درمان را بیشتر میکند ولی باید در زمان بسیار کوتاه مصرف بشوند تا باعث بروز دیپ بایت در آینده نشود.
اگر چند باتن به پالاتال دندانهای بالا بچسبانید و لاتکس 1/4 مدیوم روی باتن بگذارید و سمت دیگر را به براکتهای باکال دندانهای پایین بیاندازید سرعت درمان کراس دندانی بیشتر میشود. چون دندانهای بالا معمولاً مقصر هستند پس ترجیحاً سیم بالا نازک و سیم پایین ضخیم باشد تا بیشترین حرکت روی دندانهای بالا اتفاق بیافتد.
بخاطر تنگی ماگزیلا و شکل گنبدی کام حفره بینی اشغال میشود و بیمار تنفس راحتی با بینی ندارد. این بیماران عمدتاً تنفس دهانی دارند و در خواب خُرخُر هم میکنند. بعد از Expansion مقداری از درمان ریلاپس میکند. برای ریلاپس سقف کام افت میکند و پایینتر قرار میگیرد. قرار گرفتن پایینتر سقف کام منجر به بزرگ شدن حفره بینی میشود. بدین صورت بیمار راحتتر میتواند نفس بکشد و تنفس دهانی او از بین میرود.
از طرف دیگر گونههای بیمار نیز بعد از RPE برجستهتر میشوند.
با درمانهای Expansion تغییرات زیادی در پروفایل بیمار شاهد هستیم