مقدمه
وقتی صحبت از بستن فضا مطرح میشود، ناخودآگاه به فکر یک بیمار کشیدنی میافتیم ولی در یک بیمار غیرکشیدنی هم شاید نیاز به مرحله بستن فضا بشود.
بستن فضا در دو گروه از بیماران دیده میشود:
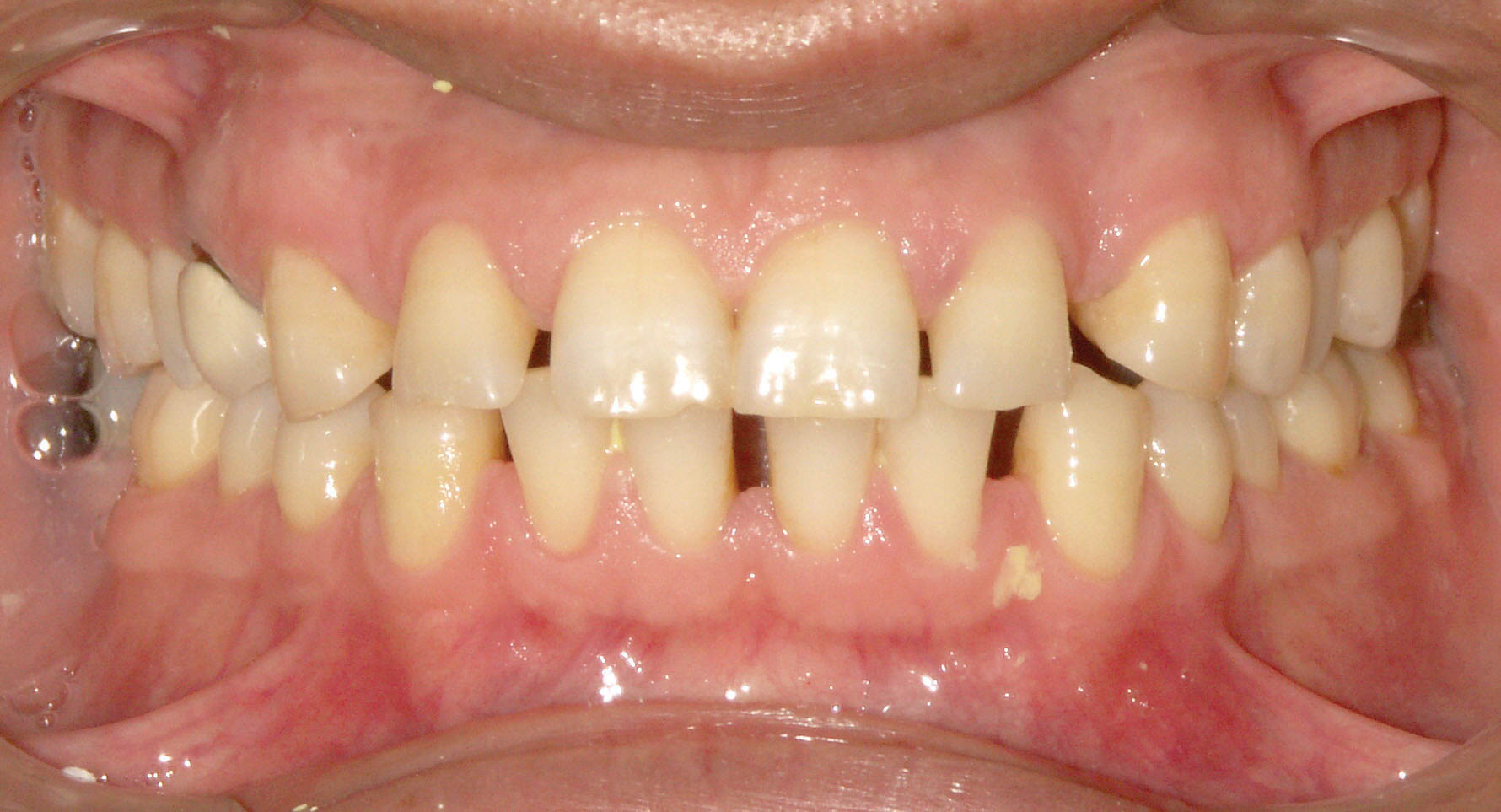
1. بین دندانها فضای منتشر باشد (شکل 1-4 و2-4)،
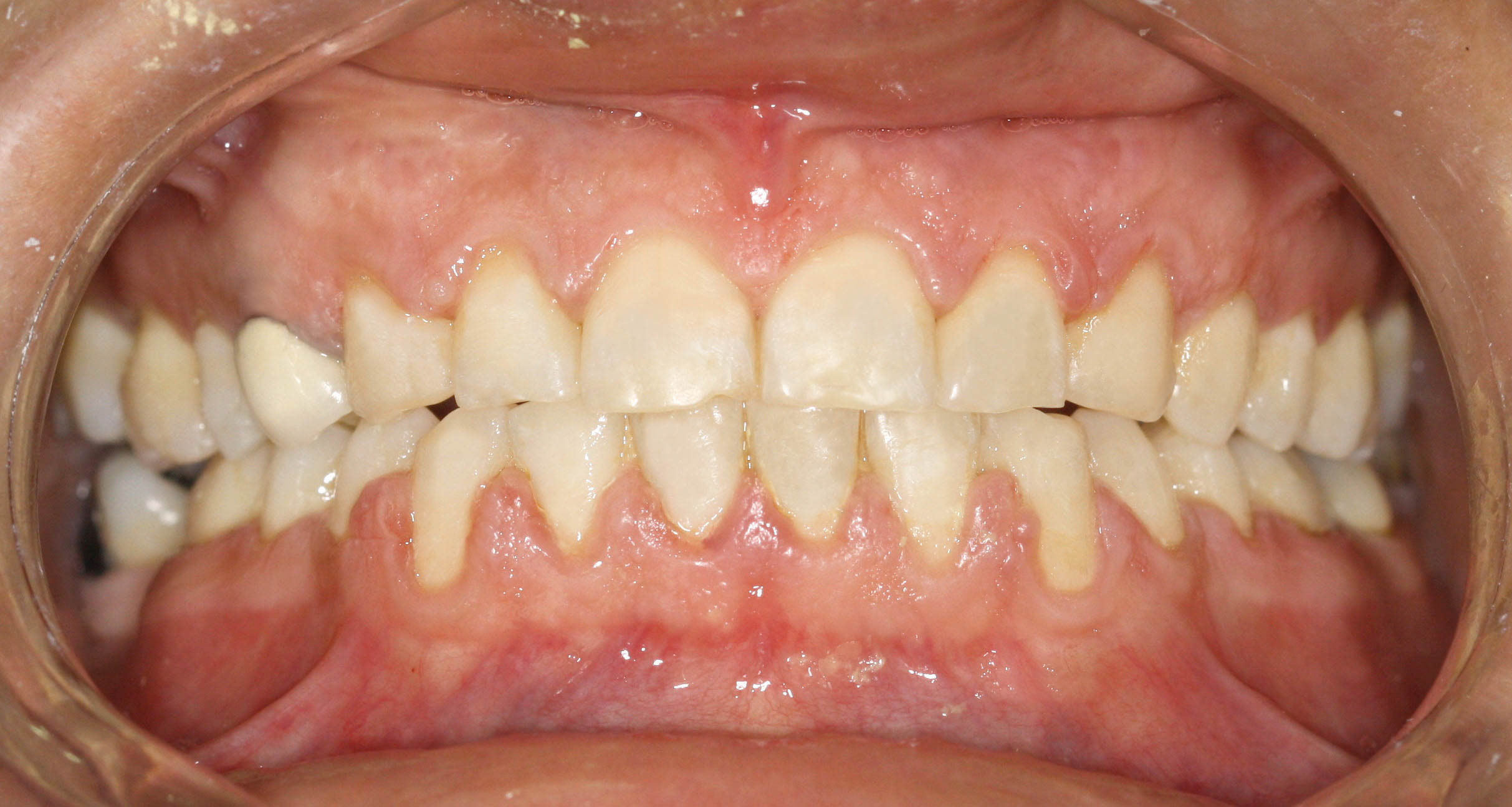
2. دندانی از بیمار کشیده شده باشد (شکل 3-4 و4-4).
اگر فضای منتشر بین دندانی باشد و ترجیح در بستن آن باشد بجای سیم 0.019x0.025 استیل باید 0.020 استیل قرار دهید و فضاهای قدامی را به کمک چین الاستیک ببندید. برای این منظور ابتدا Laceback بزنید تا کانینها جلو نیایند، بعد 0.020 استیل میگذارید، براکت کانینها را وایر لیگاچور نمائید و سپس از کانین تا کانین چین الاستیک بگذارید تا فضا قدامی بسته شود. وایر لیگاچور کانینها مانع چرخش کانینها میشود.

شکل 1-4: فضای منتشر بین دندانها

شکل 2-4: بستن فضای منتشر در زمان سیم استیل به کمک چین الاستیک

شکل 3-4: کشیدن پرمولر اول جهت اصلاح کرادینگ و رابطه نیم کاسپ کلاسII مولرها

شکل 4-4: رفع کرادینگ و رسیدن به یک کاسپ کامل کلاسII