• روابط نامتقارن مولری سمت چپ و راست که منجر به off شدن میدلاین گردیده است (شکل5-4 الی7-4).
• کمبود فضاهای زیاد (شکل8-4 و 9-4).
• بیمار high angle که میل به اپن بایت دارد (شکل10-4 و 11-4).
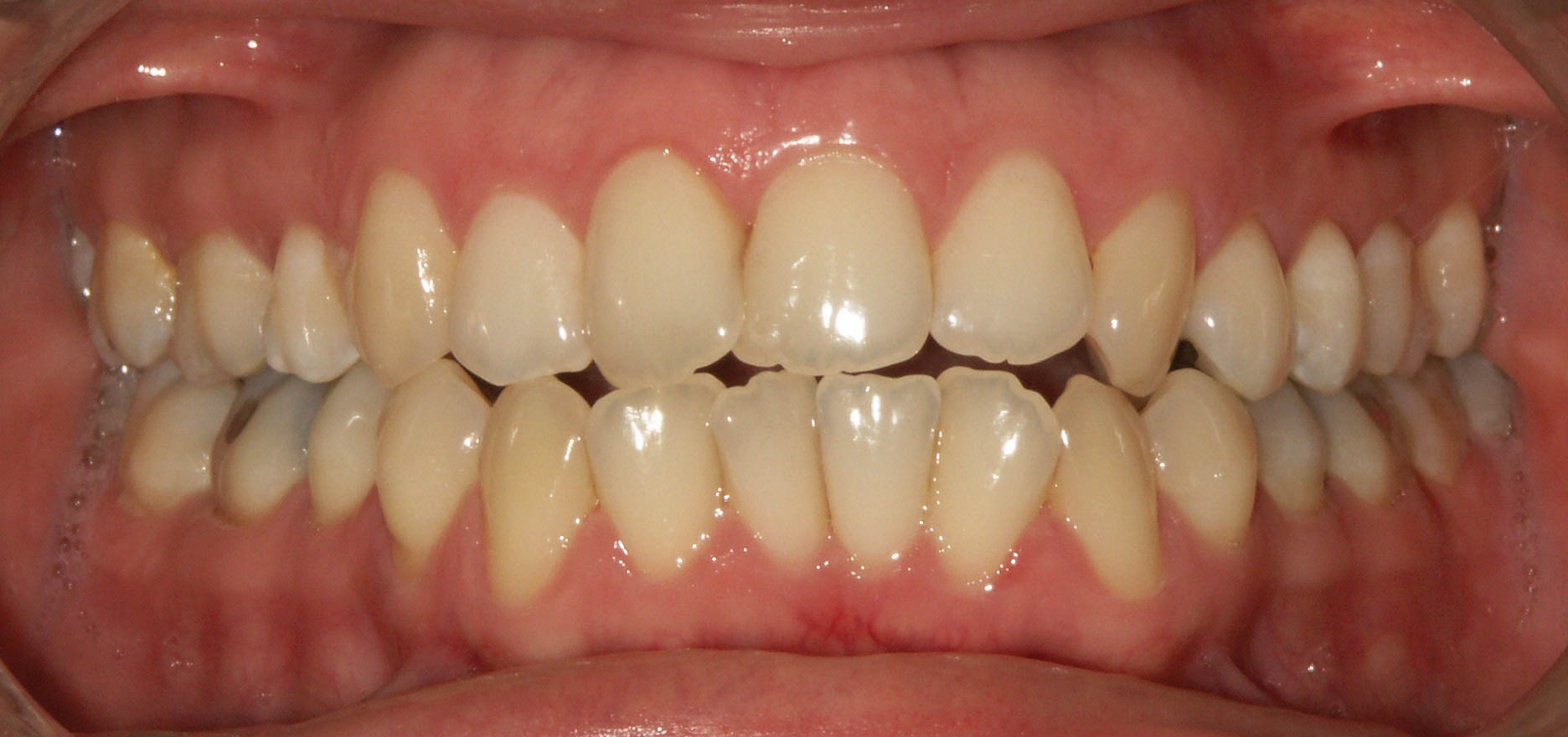
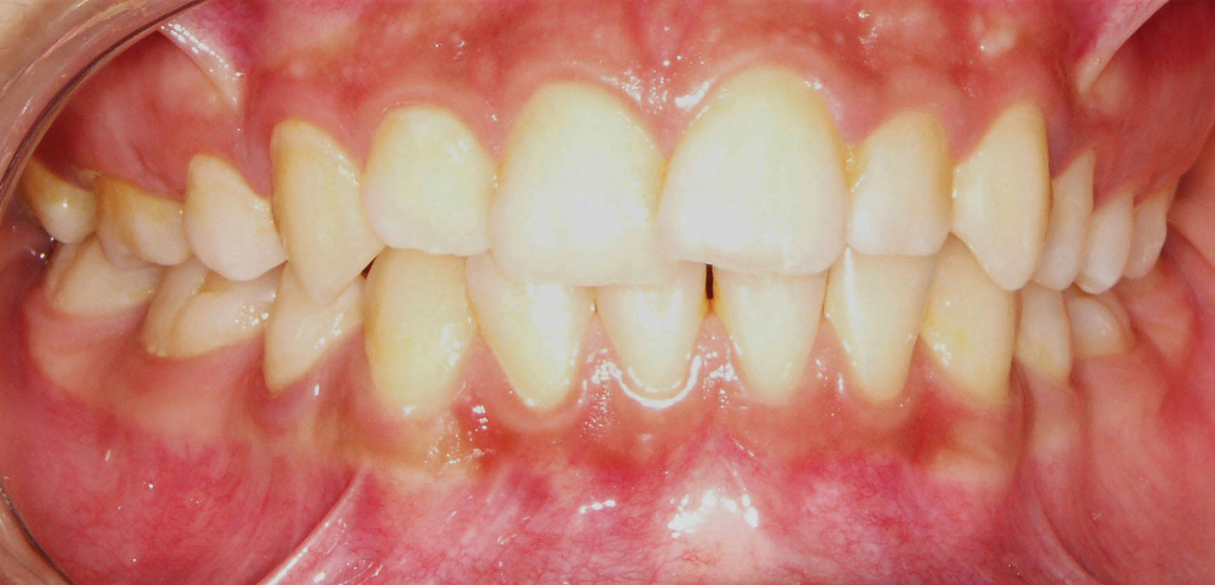
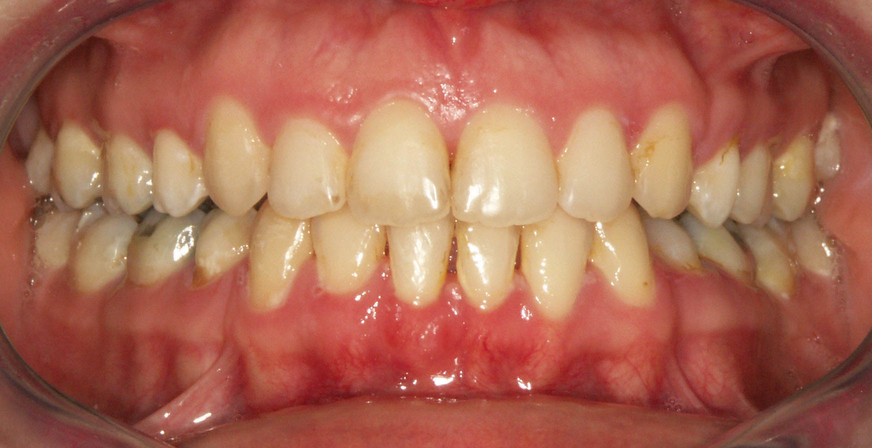
• پروتروژن (شکل12-4و13-4)،
در حال حاضر با رواج براکتهایSelf Ligating حتی برای کرادینگهای زیاد دندان نمیکشند اما برای دو مورد دیگر کماکان نیاز به کشیدن دندان وجود دارد (شکل14-4 و15-4).

شکل 5-4: کشیدن یک طرفه پر مولر منجر به انحراف میدلاین بالا شده است.

شکل 6-4: میدلاین بالا بیمار شکل 5-4 به سمت راست off است.

شکل 7-4: با کشیدن پرمولر سمت چپ بالا (درمان کشیدنی) میدلاین on میشود.

شکل 8-4: کمبود فضای زیاد و نیاز به کشیدن دندان جهت درمان

شکل 9-4: کشیدن دندان در کمبود فضای زیاد جهت حصول نتیجه مطلوب

شکل 10-4: بیمار High Angle و لزوم به کشیدن دندان

شکل 11-4: بسته شدن اوربایت متعاقب کشیدن دندان

شکل 12-4: لبها در ابتدای درمان بخاطر پروتروژن به هم نمیرسند

شکل 13-4: بعد از درمان کشیدنی و رفع پروتروژن لبها به هم میرسند.

شکل 14-4: کرادینگ زیاد

شکل 15-4: استفاده از براکتهای Self Ligating در شکل 14-4 و انجام غیر کشیدنی درمان
روش درمان در بیماران ارتودنسی در ابتدا همسطح و مرتب نمودن دندانها و سپس اصلاح بایت بیمار (اصلاح اوربایت و اورجت) است. اگر بیمار غیر کشیدنی باشد ارتودنسی تمام میشود ولی اگر از بیمار دندانی کشیده باشید و هنوز قدری از فضا، مانده باشد باید وارد مرحله بستن فضا بشوید.
بعد از کشیدن پرمولر مقداری از فضا برای رفع کرادینگهای احتمالی مصرف میشود (با زدن Laceback). سیم اولیه، 0.012 سوپرالاستیک است و به مرور که دندانها مرتب میشوند سیم را ضخیم میکنید تا به 0.019x0.025 حرارتی برسید. ماه بعد از آن باید یک ارزیابی از اوربایت و اورجت بیمار داشته باشید.
اگر امتداد سیم که از دندان مولر دوم شروع میشود تا به ناحیه قدام میرسد یک امتداد صاف نباشد و حالتی از انحنا داشته باشد باید از سیمهای کرو دار استفاده کنید تا کرو اسپی بیمار کاملاً صاف شود.
استفاده از سیمهای کرودار در عین حال که اوربایت را اصلاح میکند، منجر به پروترود یا رترود شدن انسیزورها هم میشود.
پروترود یا رترود شدن انسیزورها منجر به تغییر در میزان اورجت بیمار میشود. اگر در مرحله بستن فضا نیاز به استفاده از الاستیک کلاسII دارید یا در فک بالا نیاز به استفاده از فنر آیلتدار دارید باید اورجت کافی قبل از شروع مرحله بستن فضا باشد. اگر اورجت کافی نیست باید در این زمان از سیمهای تورکدار استفاده کنید تا انسیزورهای بالا پروترود و انسیزورهای پایین رترود شوند و اورجت بیمار افزایش یابد.
بعد از اصلاح اورجت و اوربایت به سیم 0.019x0.025 استیل میرسید. هر مقدار از فضا که مانده باشد در این مرحله با حرکت گروهی دندانها بسته میشود