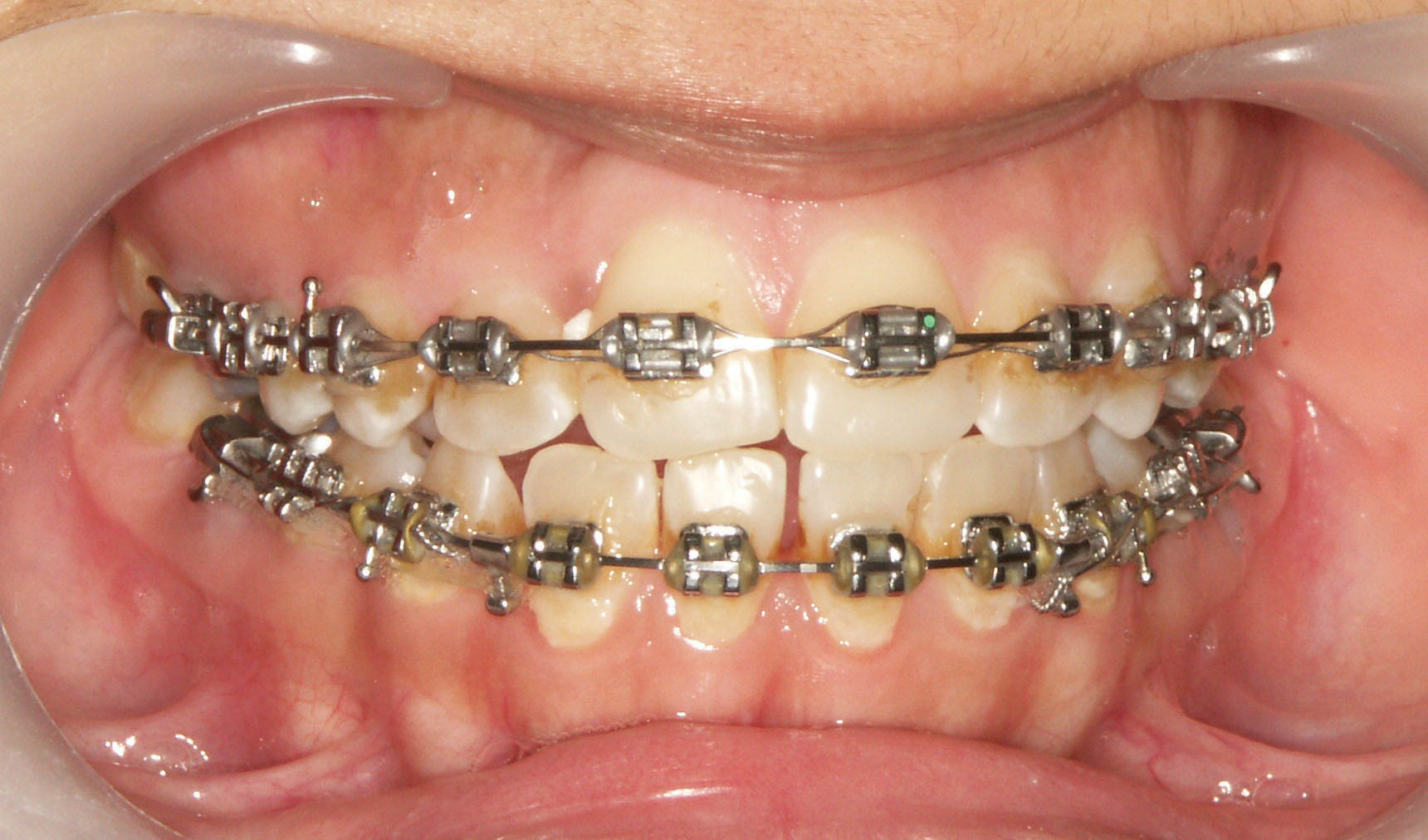
سیمهای استیل دارای دو عدد هوک هستند (شکل 16-4). این هوکها قطعهای سیم برنجی به ضخامت شش دهم میلیمتر است. قبل از جا گذاشتن آرچوایر بایستی سیم برنجی را از وسط به سمت مزیال خم کنیم. فاصله هوکها در سیم 0.019x0.025 استیل متنوع است و بین 22 الی 44mm میباشد. پرمصرفترین آن شامل:
36-38mm در فک بالا و 26-28mm در فک پایین میباشد.
این آرچ وایر را به خاطر وجود هوک Posted میگویند (posted arch wire). بعد از درگیر کردن آرچ وایر در براکتها، باید هوکها بین براکت دندان لترال و کانین قرار گیرند. ترجیحاً به براکت لترال تماس پیدا کند بهتر است (شکل 17-4).
میتوانید از هوکهای پیش ساخته به نام Crimpable Hook (شکل 18-4) استفاده کنید تا سیمهای بتاتایتانیوم یا استیلی که هوک ندارند را هوک دار نمائید. این هوکها Crimpable هستند یعنی قابل فشرده شدن هستند. ابتدا هوک را بر روی سیم قرار میدهید بعد با پلایر هوک آن را فشار میدهید تا درگیر سیم بشود، بعد به آن اعمال نیرو میکنید. بدین صورت در هر کجای سیم که مایل باشید میتوانید هوک درست کنید.
به هوک سیم هوک مزیالی یا قدامی و به هوک باکال تیوب هوک دیستالی یا خلفی هم میگویند. بهترین نام همین هوک قدامی و خلفی است چون هوک قدامی معرف سگمنت قدام و هوک خلفی معرف سگمنت خلف است

شکل 16-4: دو عدد هوک برنجی برروی سیمهای استیل لحیم شده است. سیم خارجی برای فک بالا و سیم درونی برای فک پائین است.

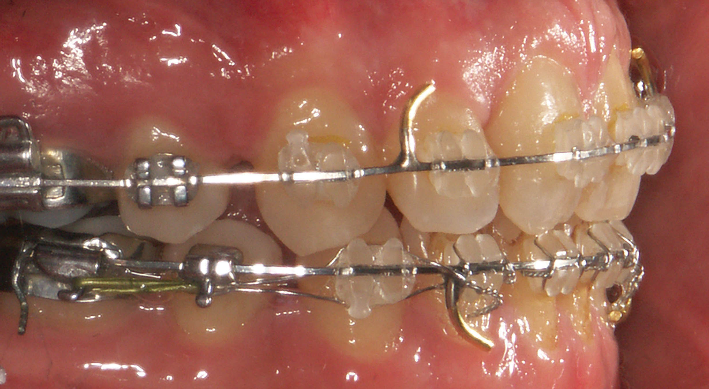
شکل 17-4: بهتر است هوک به دیستال براکت لترال بچسبد تا مانع ایجاد فضا بین انسیزورها گردد.

شکل 18-4: هوک کریمپبل L shape در بالا و T shape در پایین راست. در حال حاضر دیگر مدل L تولید نمیشود.
اگر در زمان 0.019x0.025 حرارتی با سیم لیگاچور براکت قدامیها را figure∞ نکنید یا در زمان 0.019x0.025 استیل، فاصله هوک سیم زیاد باشد (شکل 19-4 و20-4) و هوک با دیستال براکت لترال تماس نداشته باشد (شکل 21-4) آن موقع بین انسیزورها فاصله میافتد. برای بستن آن مجبور به استفاده از چند قطعه چین الاستیک از کانین تا کانین خواهید شد تا این فضا بسته شود. چین از کانین تا کانین بگذارید و حتماً براکت کانین را وایر لیگاچور نمایید تا مانع چرخش دندان کانین شوید. بعد از یکی دو جلسه تعویض چین که ماهانه انجام میشود حتماً براکتهای قدامی را با سیم لیگاچور figure∞ نمایید تا دوباره فاصله نیفتد.
اگر فضا بین قدامیها دارید و در حال بستن فضای پرمولر هستید تا زمانی که هوک آرچ وایر از براکت کانین فاصله داشته باشد، همزمان با بسته شدن فضای خلفی فضا بین قدامیها هم بسته میشود. همزمان با بسته شدن فضای بین قدامیها هوک آرچ وایر به براکت کانین نزدیک میشود (شکل 21-4) تا به آن تماس پیدا میکند. از آن زمان به بعد دیگر فضای قدامی بسته نمیشود حتی اگر چین الاستیک هم بگذارید باز بسته نمیشود. باید سیم را با سیم استیلی که فاصله هوکی آن کم است عوض نمایید.

شکل 19-4: فاصله هوک در فک پایین زیاد است و باعث ایجاد فضا بین قدامیها شده است.

شکل 20-4: ∞figure بالا مانع ایجاد فضا شده است ولی در فک پائین چون ∞figure ندارد و هوکها هم به دیستال براکت لترال تماس ندارند فضا ایجاد شده است.

شکل 21-4: هوک راست بالا با براکت کانین در تماس است، لذا باید از سیمی با فاصله هوکی کمتر استفاده نمایید.