موانع بستن فضا
بعد از آنکه یک ماه از سیم 0.019x0.025 استیل گذشت باید اورینگها را خارج نمایید و یک مرتبه سیم را بیرون آورده و مجدد جا بزنید. اگر به راحتی جا رفت نشان میدهد که اصطکاک بین سیم و براکت حداقل است و میتوانید بستن فضا را شروع کنید.
در هر جلسه که روابط مولری را چک میکنید باید bendback را هم ببینید که از باکال تیوب مولر دوم بیرون بیاید. اگر بیرون نیاید یعنی مانعی بر سر راه بسته شدن فضا وجود دارد. رایجترین علل آن اصطکاک زیاد در براکتهای ناحیه خلف است:
1. اورینگ براکت پرمولر دوم: اورینگ باعث ایجاد اصطکاک زیاد بین سیم و شیار براکت میشود. بهتر است از باکال تیوب پرمولر استفاده نمایید یا حداقل آن را با سیم لیگاچور بجای اورینگ ببندید (شکل 60-4).
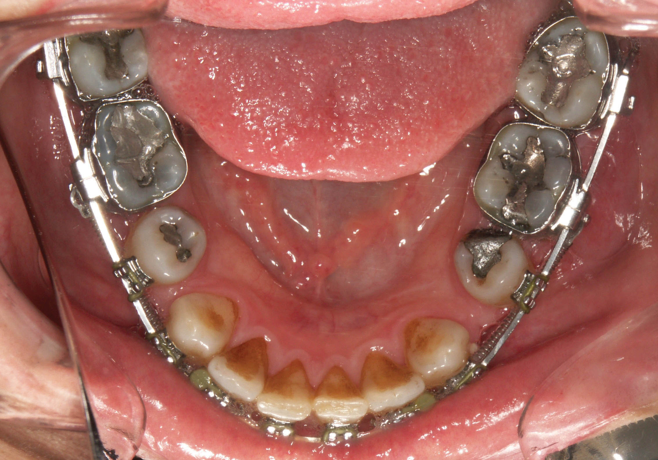
2. حتماً باید بند یا باکال تیوب هفت را بگذارید (شکل 61-4). اکثر پزشکان تا دندان مولر اول میبندند و نیرو را به آن اعمال میکنند. چون انتهای سیم در دندان6 است و انتهای سیم انعطاف پذیری زیادی دارد، لذا بعد از مدتی دندان6 دچار چرخش میشود. نیرو در سمت باکال به دندان اعمال میشود و نهایتاً سمت باکال بیشتر و سمت پالاتال (لینگوال) کمتر حرکت میکند، لذا شما با یک چرخش در دندان6 روبرو میشوید (شکل 62-4). این چرخش حتی اگر حداقل هم باشد خود مانعی بر سر بستن فضا میشود. باید انتهای سیم در دندان7 باشد و نیرو را به دندان6 اعمال نمایید تا وجو دندان7 مانع چرخش دندان6 شود. اگر تمایل به افزایش انکوریج دارید و میخواهید خلف کمتر جلو بیاید پس بهتر است که براکتهای 5 و6 و7 را با سیم لیگاچور figure∞ نمایید و اگر میخواهید خلف و قدام به یک نسبت حرکت کنند و فضا بسته شود دیگر نیازی به figure∞ نیست. هیچ وقت نیرو به دندان هفت اعمال نکنید، بعضی مواقع مجبور هستید دندان6 را بکشید. در این بیماران بستن فضا بسیار سخت و زمانگیر میشود چون دندان7 سریع دچار چرخش میشود و باید یک دورهی دوماهه بهمراه Passive Tieback صبر کنید و مجدداً بستن فضا را شروع کنید و از نیروی بسیار ملایم هم استفاده نمایید.
3. برای بستن فضا به صورت متقابل اگر از فنرهای eyeletدار استفاده نکردهاید و از سیم لیگاچور و اورینگ استفاده نمودهاید احتمال دارد که اورینگ را یک مرتبه کشیده باشید و رها کرده باشید و دوباره کشیده باشید. اورینگی که دوبار کشیده شده باشد بیخاصیت میشود و نیرو کمی اعمال میکند و نمیتواند فضا را ببندد.
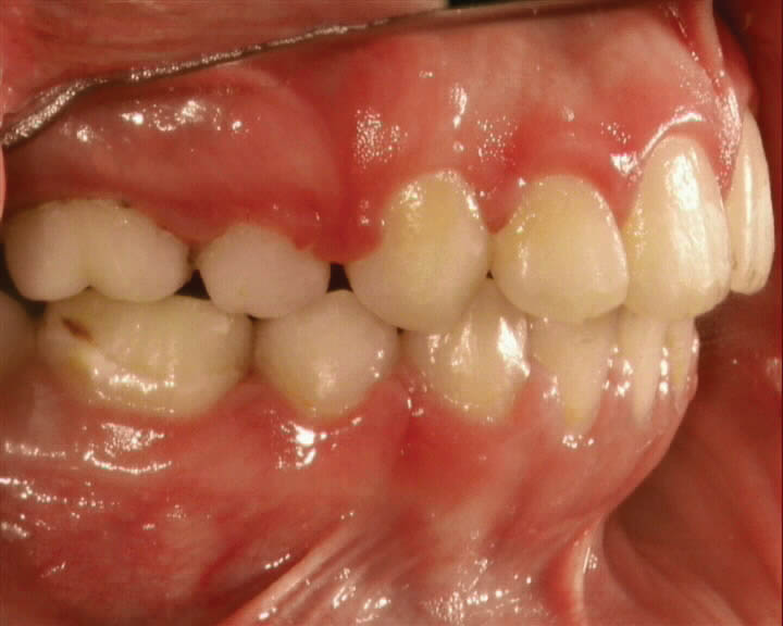
4. در بعضی از بیماران هایپرپلازی لثه در ناحیه دندان کشیده شده رخ میدهد که مانند بالشتکی عمل میکند و نمیگذارد فضا بسته شود (شکل 63-4). برای اصلاح آن باید کوتر بکشید تا لثه هیپرپلاستیک از بین برود. در زیر میکروسکوپ هم دیدهاند که بافت آن فیبروتیک است.
5. دیپبایت مانع دیگری است که بستن فضا را مشکل میکند. وقتی دندانهای پایین کرو اسپی یا دندانهای بالا آنتی کرو اسپی داشته باشند بستن فضا مشکل میشود. در این حالات سیم حالت صافی ندارد، لذا در زمان بستن فضا نمیتواند درون شیار براکتهای 5 و 6 و 7 بلغزد و عقب برود به همین دلیل اصطکاک زیادی بین آنها رخ میدهد و فضا بسته نمیشود.
با رفع این موارد حتماً فضای دندانها بسته میشود.
بعد از بسته شدن فضا در هر سمت باید یک Passive Tieback بزنید تا بسته بماند و روی سگمنتهای دیگر کار کنید. بعد از بسته شدن هر چهار سگمنت وارد مرحله استقرار دندانها میشوید.

شکل 60-4: وایر لیگاچور براکتهای 5 قبل از شروع مرحله بستن فضا

شکل 61-4: قراردادن بند 7 در بیماران کشیدنی الزامی است.

شکل 62-4 : نیروی بستن فضا روی مولر اول باعث چرخش آن شده است. چسباندن تیوب مولر دوم و قرار دادن سیم درون آن مانع چرخش مولر اول در زمان بستن فضا میشود

شکل 63-4: هیپرپلازی لثه در ناحیه دندان کشیده شده مانعی بر سر راه بستن فضا می باشد